• 文献检索
  • 文档翻译
  • 深度研究
  • 学术资讯
  • Suppr Zotero 插件Zotero 插件
  • 邀请有礼
  • 套餐&价格
  • 历史记录
应用&插件
Suppr Zotero 插件Zotero 插件浏览器插件Mac 客户端Windows 客户端微信小程序
定价
高级版会员购买积分包购买API积分包
服务
文献检索文档翻译深度研究API 文档MCP 服务
关于我们
关于 Suppr公司介绍联系我们用户协议隐私条款
关注我们

Suppr 超能文献

核心技术专利:CN118964589B侵权必究
粤ICP备2023148730 号-1Suppr @ 2026

文献检索

告别复杂PubMed语法,用中文像聊天一样搜索,搜遍4000万医学文献。AI智能推荐,让科研检索更轻松。

立即免费搜索

文件翻译

保留排版,准确专业,支持PDF/Word/PPT等文件格式,支持 12+语言互译。

免费翻译文档

深度研究

AI帮你快速写综述,25分钟生成高质量综述,智能提取关键信息,辅助科研写作。

立即免费体验

成功运用砷化镓铝低强度激光治疗腭部自伤性热烧伤。

Successful GaAlAs low-level laser therapy of self-inflicted thermal burns of the palate.

作者信息

Goldemberg Daniel Cohen, de Melo Pino Livia Cristina, de Lima Araujo Luiz Henrique, de Melo Andreia Cristina, Antunes Héliton Spindola

机构信息

Leblon Medical Center, Rio de Janeiro, Brazil.

Clinical Research Division of the National Cancer Institute (INCA), Rio de Janeiro, Brazil.

出版信息

SAGE Open Med Case Rep. 2021 Mar 3;9:2050313X21997205. doi: 10.1177/2050313X21997205. eCollection 2021.

DOI:10.1177/2050313X21997205
PMID:33747516
原文链接:https://pmc.ncbi.nlm.nih.gov/articles/PMC7940780/
Abstract

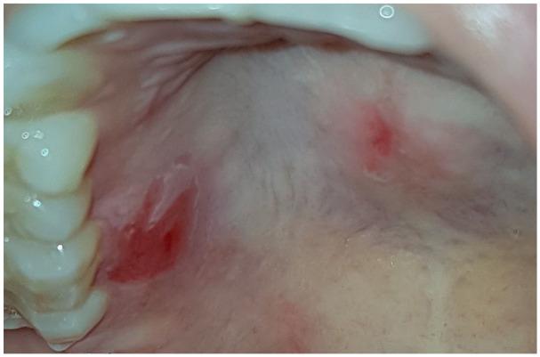
Thermal burns of the oral cavity usually arise from ingestion of hot foods or beverages. A 38-year-old female patient presented with two painful ulcerative erythematous patches of the palate. The patient was consulted on the same day lesions appeared. Medical history was unremarkable. Clinically significant self-inflicted injuries may result in wide ulcers in the mouth and usually do not take less than 2 weeks to heal, whereas our patient, treated with low-level laser therapy, had a complete response in day 4, after 2 days of treatment. The fact that multiple lesions were present signaled against the World Health Organization exclusion diagnosis of erythroplakia for red patches. A traumatic ulcer, regardless of its cause of origin, usually heals within 2 weeks, after the source of injury is resolved. A thermal burn in the oral cavity usually takes longer than that to heal, but whenever this time frame is not respected, the suspicion of a potentially malignant disorder should always arise, and a biopsy should be performed. The present case showed two painful thermal burns with great results in terms of speeding up the relieve of symptoms and healing time with soft laser as opposed to the traditional treatment with oral topical corticosteroid.

摘要

口腔热烧伤通常由摄入过热的食物或饮料引起。一名38岁女性患者腭部出现两处疼痛性溃疡性红斑。病变出现当天患者前来就诊。病史无异常。具有临床意义的自残伤可能导致口腔内出现广泛溃疡,通常愈合时间不少于2周,而我们的患者接受低强度激光治疗后,治疗2天后在第4天完全康复。存在多个病变这一事实排除了世界卫生组织对红斑性增殖性红斑的排除诊断。创伤性溃疡无论其起源原因如何,在损伤源消除后通常在2周内愈合。口腔热烧伤通常愈合时间更长,但只要不符合这个时间框架,就应始终怀疑可能存在恶性疾病,并应进行活检。本病例显示两处疼痛性热烧伤,与口服局部用皮质类固醇的传统治疗相比,软激光在加速症状缓解和愈合时间方面效果显著。

https://cdn.ncbi.nlm.nih.gov/pmc/blobs/9493/7940780/bf989784b9b2/10.1177_2050313X21997205-fig4.jpg
https://cdn.ncbi.nlm.nih.gov/pmc/blobs/9493/7940780/0788dc0fe2ad/10.1177_2050313X21997205-fig1.jpg
https://cdn.ncbi.nlm.nih.gov/pmc/blobs/9493/7940780/a795a3a700b2/10.1177_2050313X21997205-fig2.jpg
https://cdn.ncbi.nlm.nih.gov/pmc/blobs/9493/7940780/39c10e6f81d5/10.1177_2050313X21997205-fig3.jpg
https://cdn.ncbi.nlm.nih.gov/pmc/blobs/9493/7940780/bf989784b9b2/10.1177_2050313X21997205-fig4.jpg
https://cdn.ncbi.nlm.nih.gov/pmc/blobs/9493/7940780/0788dc0fe2ad/10.1177_2050313X21997205-fig1.jpg
https://cdn.ncbi.nlm.nih.gov/pmc/blobs/9493/7940780/a795a3a700b2/10.1177_2050313X21997205-fig2.jpg
https://cdn.ncbi.nlm.nih.gov/pmc/blobs/9493/7940780/39c10e6f81d5/10.1177_2050313X21997205-fig3.jpg
https://cdn.ncbi.nlm.nih.gov/pmc/blobs/9493/7940780/bf989784b9b2/10.1177_2050313X21997205-fig4.jpg

相似文献

1
Successful GaAlAs low-level laser therapy of self-inflicted thermal burns of the palate.成功运用砷化镓铝低强度激光治疗腭部自伤性热烧伤。
SAGE Open Med Case Rep. 2021 Mar 3;9:2050313X21997205. doi: 10.1177/2050313X21997205. eCollection 2021.
2
Healing of self-inflicted thermal injury of palatal mucosa by low-level laser therapy.低强度激光疗法治疗腭黏膜自伤性热损伤
Spec Care Dentist. 2017 Nov;37(6):314-317. doi: 10.1111/scd.12256. Epub 2017 Nov 23.
3
Thermal burn of palate in an elderly diabetic patient.一名老年糖尿病患者的腭部热烧伤
Gerodontology. 2014 Jun;31(2):149-52. doi: 10.1111/ger.12010.
4
Generalized Pyoderma Gangrenosum Associated with Ulcerative Colitis: Successful Treatment with Infliximab and Azathioprine.与溃疡性结肠炎相关的泛发性坏疽性脓皮病:英夫利昔单抗和硫唑嘌呤治疗成功
Acta Dermatovenerol Croat. 2016 Apr;24(1):83-5.
5
Curcumin on Camphor-Induced Chemical Burn on the Palate: Report of a Peculiar Self-Inflicted Case.姜黄素治疗樟脑所致腭部化学灼伤:1例特殊自伤病例报告
Cureus. 2021 Dec 21;13(12):e20589. doi: 10.7759/cureus.20589. eCollection 2021 Dec.
6
Self-inflicted burn injuries: Etiologies, risk factors and impact on institutional resources.自伤性烧伤:病因、危险因素及对机构资源的影响。
Burns. 2019 Feb;45(1):213-219. doi: 10.1016/j.burns.2017.07.016. Epub 2018 Nov 19.
7
Mortality risk and length of stay associated with self-inflicted burn injury: evidence from a national sample of 30,382 adult patients.与自伤性烧伤相关的死亡风险和住院时间:来自30382名成年患者全国样本的证据。
Crit Care Med. 2008 Jan;36(1):118-25. doi: 10.1097/01.CCM.0000293122.43433.72.
8
Burns inflicted by self or by others--an 11 year snapshot.自我或他人造成的烧伤——11年的概况
Burns. 2007 Feb;33(1):92-7. doi: 10.1016/j.burns.2006.04.008. Epub 2006 Oct 30.
9
Beware of thermal epiglottis! A case report describing 'teapot syndrome'.警惕热烫伤性会厌炎!一例描述“茶壶综合征”的病例报告。
BMC Anesthesiol. 2018 Dec 22;18(1):203. doi: 10.1186/s12871-018-0665-7.
10
Cold burn injuries in the UK: the 11-year experience of a tertiary burns centre.英国的低温烧伤:一家三级烧伤中心的11年经验
Burns Trauma. 2016 Nov 11;4:36. doi: 10.1186/s41038-016-0060-x. eCollection 2016.

本文引用的文献

1
Quantum biology in low level light therapy: death of a dogma.低强度光疗中的量子生物学:一个教条的终结
Ann Transl Med. 2020 Apr;8(7):440. doi: 10.21037/atm.2020.03.159.
2
Healing of self-inflicted thermal injury of palatal mucosa by low-level laser therapy.低强度激光疗法治疗腭黏膜自伤性热损伤
Spec Care Dentist. 2017 Nov;37(6):314-317. doi: 10.1111/scd.12256. Epub 2017 Nov 23.
3
Long-term survival of a randomized phase III trial of head and neck cancer patients receiving concurrent chemoradiation therapy with or without low-level laser therapy (LLLT) to prevent oral mucositis.
头颈部癌症患者在接受同期放化疗时是否联合低水平激光治疗(LLLT)预防口腔黏膜炎的随机 III 期临床试验的长期生存结果。
Oral Oncol. 2017 Aug;71:11-15. doi: 10.1016/j.oraloncology.2017.05.018. Epub 2017 Jun 3.
4
Riga-Fede disease in the upper jaw in an infant.婴儿上颌的里加-费德病。
Dermatol Ther. 2017 Sep;30(5). doi: 10.1111/dth.12517. Epub 2017 Jul 4.
5
Wound Healing Problems in the Mouth.口腔伤口愈合问题
Front Physiol. 2016 Nov 2;7:507. doi: 10.3389/fphys.2016.00507. eCollection 2016.
6
Two cases of thermal burns of the larynx in older men.两例老年男性喉部热烧伤病例。
Auris Nasus Larynx. 2017 Oct;44(5):620-623. doi: 10.1016/j.anl.2016.09.006. Epub 2016 Oct 7.
7
Could the biological robustness of low level laser therapy (Photobiomodulation) impact its use in the management of mucositis in head and neck cancer patients.低强度激光疗法(光生物调节作用)的生物学稳健性会影响其在头颈部癌症患者黏膜炎管理中的应用吗?
Oral Oncol. 2016 Mar;54:7-14. doi: 10.1016/j.oraloncology.2016.01.005. Epub 2016 Feb 3.
8
Thermal burn of palate in an elderly diabetic patient.一名老年糖尿病患者的腭部热烧伤
Gerodontology. 2014 Jun;31(2):149-52. doi: 10.1111/ger.12010.
9
The association of low and high laser treatments on self-inflicted lip injury: a case report.低能量与高能量激光治疗对自我造成的唇部损伤的关联:一例病例报告。
Photomed Laser Surg. 2010 Aug;28(4):565-8. doi: 10.1089/pho.2009.2594.
10
Oro-facial thermal injury caused by food heated in a microwave oven.微波炉加热食物导致的口腔面部热损伤。
Dent Update. 2009 Jan-Feb;36(1):26-7. doi: 10.12968/denu.2009.36.1.26.