• 文献检索
  • 文档翻译
  • 深度研究
  • 学术资讯
  • Suppr Zotero 插件Zotero 插件
  • 邀请有礼
  • 套餐&价格
  • 历史记录
应用&插件
Suppr Zotero 插件Zotero 插件浏览器插件Mac 客户端Windows 客户端微信小程序
定价
高级版会员购买积分包购买API积分包
服务
文献检索文档翻译深度研究API 文档MCP 服务
关于我们
关于 Suppr公司介绍联系我们用户协议隐私条款
关注我们

Suppr 超能文献

核心技术专利:CN118964589B侵权必究
粤ICP备2023148730 号-1Suppr @ 2026

文献检索

告别复杂PubMed语法,用中文像聊天一样搜索,搜遍4000万医学文献。AI智能推荐,让科研检索更轻松。

立即免费搜索

文件翻译

保留排版,准确专业,支持PDF/Word/PPT等文件格式,支持 12+语言互译。

免费翻译文档

深度研究

AI帮你快速写综述,25分钟生成高质量综述,智能提取关键信息,辅助科研写作。

立即免费体验

使用颌间弹力牵引有效且高效地矫治严重骨性安氏II类1分类错牙合畸形

Effective and Efficient Correction of Severe Skeletal Class II Division 1 Malocclusion with Intermaxillary Elastics.

作者信息

Badri Mohammed K

机构信息

Department of Pedodontics & Orthodontics, College of Dentistry, Taibah University, Madinah, Saudi Arabia.

出版信息

Case Rep Dent. 2021 Mar 2;2021:6663563. doi: 10.1155/2021/6663563. eCollection 2021.

DOI:10.1155/2021/6663563
PMID:33747573
原文链接:https://pmc.ncbi.nlm.nih.gov/articles/PMC7943309/
Abstract

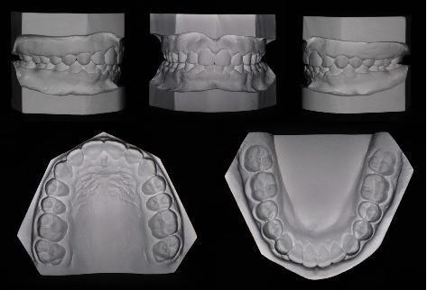
Treatment of Class II malocclusion accompanied with a skeletal discrepancy is challenging. The approach of correction depends on several factors such as the status and pattern of growth, severity of the malocclusion, and patient cooperation. This case report describes a successful management of a 12-year-old young adolescent boy that was presented with a Class II division 1 malocclusion with an underlying skeletal discrepancy in horizontal and vertical dimensions. Growth modification was achieved by means of bite opening and unlocking the mandible together with Class II elastics and mechanics. Treatment was highly effective and efficient by achieving all treatment goals within a period of 18 months.

摘要

治疗伴有骨骼不协调的安氏II类错牙合畸形具有挑战性。矫正方法取决于几个因素,如生长状态和模式、错牙合畸形的严重程度以及患者的配合情况。本病例报告描述了一名12岁青少年男性安氏II类1分类错牙合畸形伴水平和垂直方向潜在骨骼不协调的成功治疗。通过打开咬合和下颌解锁,同时使用II类弹性牵引和矫治器实现了生长改良。在18个月的时间内实现了所有治疗目标,治疗效果显著且高效。

https://cdn.ncbi.nlm.nih.gov/pmc/blobs/f3ad/7943309/eb51992faa46/CRID2021-6663563.010.jpg
https://cdn.ncbi.nlm.nih.gov/pmc/blobs/f3ad/7943309/14f4a8e0e851/CRID2021-6663563.001.jpg
https://cdn.ncbi.nlm.nih.gov/pmc/blobs/f3ad/7943309/31152ef1168d/CRID2021-6663563.002.jpg
https://cdn.ncbi.nlm.nih.gov/pmc/blobs/f3ad/7943309/4356b31d3dd4/CRID2021-6663563.003.jpg
https://cdn.ncbi.nlm.nih.gov/pmc/blobs/f3ad/7943309/0fca926dcfca/CRID2021-6663563.004.jpg
https://cdn.ncbi.nlm.nih.gov/pmc/blobs/f3ad/7943309/023d6384d719/CRID2021-6663563.005.jpg
https://cdn.ncbi.nlm.nih.gov/pmc/blobs/f3ad/7943309/71b1fd3aaea6/CRID2021-6663563.006.jpg
https://cdn.ncbi.nlm.nih.gov/pmc/blobs/f3ad/7943309/132915f5b465/CRID2021-6663563.007.jpg
https://cdn.ncbi.nlm.nih.gov/pmc/blobs/f3ad/7943309/22f49c6bf29f/CRID2021-6663563.008.jpg
https://cdn.ncbi.nlm.nih.gov/pmc/blobs/f3ad/7943309/1544981aec0b/CRID2021-6663563.009.jpg
https://cdn.ncbi.nlm.nih.gov/pmc/blobs/f3ad/7943309/eb51992faa46/CRID2021-6663563.010.jpg
https://cdn.ncbi.nlm.nih.gov/pmc/blobs/f3ad/7943309/14f4a8e0e851/CRID2021-6663563.001.jpg
https://cdn.ncbi.nlm.nih.gov/pmc/blobs/f3ad/7943309/31152ef1168d/CRID2021-6663563.002.jpg
https://cdn.ncbi.nlm.nih.gov/pmc/blobs/f3ad/7943309/4356b31d3dd4/CRID2021-6663563.003.jpg
https://cdn.ncbi.nlm.nih.gov/pmc/blobs/f3ad/7943309/0fca926dcfca/CRID2021-6663563.004.jpg
https://cdn.ncbi.nlm.nih.gov/pmc/blobs/f3ad/7943309/023d6384d719/CRID2021-6663563.005.jpg
https://cdn.ncbi.nlm.nih.gov/pmc/blobs/f3ad/7943309/71b1fd3aaea6/CRID2021-6663563.006.jpg
https://cdn.ncbi.nlm.nih.gov/pmc/blobs/f3ad/7943309/132915f5b465/CRID2021-6663563.007.jpg
https://cdn.ncbi.nlm.nih.gov/pmc/blobs/f3ad/7943309/22f49c6bf29f/CRID2021-6663563.008.jpg
https://cdn.ncbi.nlm.nih.gov/pmc/blobs/f3ad/7943309/1544981aec0b/CRID2021-6663563.009.jpg
https://cdn.ncbi.nlm.nih.gov/pmc/blobs/f3ad/7943309/eb51992faa46/CRID2021-6663563.010.jpg

相似文献

1
Effective and Efficient Correction of Severe Skeletal Class II Division 1 Malocclusion with Intermaxillary Elastics.使用颌间弹力牵引有效且高效地矫治严重骨性安氏II类1分类错牙合畸形
Case Rep Dent. 2021 Mar 2;2021:6663563. doi: 10.1155/2021/6663563. eCollection 2021.
2
Severe Open Bite Correction and 5-mm Mandibular Arch Distalisation without Skeletal Anchorage: 4-year Follow-up of a Case of Nonsurgical Orthodontic Treatment of Adult Skeletal Class III Malocclusion.严重开颌矫正及 5mm 下颌弓远移,不使用骨支抗:成人骨性 III 类错颌非手术正畸治疗的 4 年随访。
Chin J Dent Res. 2020;23(4):297-307. doi: 10.3290/j.cjdr.b867899.
3
Skeletal Class III malocclusion treatment using mandibular and maxillary skeletal anchorage and intermaxillary elastics: a case report.使用下颌和上颌骨锚固及颌间弹力牵引治疗安氏III类错牙合畸形:一例报告
Dental Press J Orthod. 2019 Nov 11;24(5):52-59. doi: 10.1590/2177-6709.24.5.052-059.oar. eCollection 2019.
4
Bone-anchored intermaxillary elastics in an asymmetric Class II malocclusion: A case report.不对称安氏II类错牙合畸形中骨锚式颌间弹力牵引:病例报告
Int Orthod. 2017 Jun;15(2):263-277. doi: 10.1016/j.ortho.2017.03.011. Epub 2017 Apr 25.
5
Evaluating the treatment effectiveness and efficiency of Carriere Distalizer: a cephalometric and study model comparison of Class II appliances.评估 Carriere Distalizer 的治疗效果和效率:二类矫治器的头影测量和研究模型比较。
Prog Orthod. 2019 Jun 18;20(1):24. doi: 10.1186/s40510-019-0280-2.
6
Pharyngeal dimensional changes in class II malocclusion treatment when using Forsus® or intermaxillary elastics - An exploratory study.使用Forsus®或颌间弹力牵引治疗安氏II类错颌畸形时的咽部尺寸变化——一项探索性研究。
Int Orthod. 2019 Dec;17(4):667-677. doi: 10.1016/j.ortho.2019.08.023. Epub 2019 Sep 3.
7
The influence of text messages on the cooperation of Class II patients regarding the use of intermaxillary elastics.短信对 II 类患者使用颌间橡皮圈合作的影响。
Angle Orthod. 2019 Jan;89(1):111-116. doi: 10.2319/011218-31.1. Epub 2018 Aug 3.
8
Realities of craniofacial growth modification.颅面生长改建的实际情况。
Atlas Oral Maxillofac Surg Clin North Am. 2001 Mar;9(1):23-51.
9
Correction of a Overjet and Overbite In Class II Division 1 Malocclusion Using Twin Block Appliance Therapy: A Case Report.使用双阻板矫治器治疗安氏II类1分类错牙合的覆盖和覆牙合矫治:一例报告
Int J Orthod Milwaukee. 2015 Winter;26(4):19-22.
10
Comparison of AdvanSync and intermaxillary elastics in the correction of Class II malocclusions: A retrospective clinical study.AdvanSync与颌间弹力牵引在矫治安氏II类错牙合中的比较:一项回顾性临床研究。
Am J Orthod Dentofacial Orthop. 2016 Dec;150(6):979-988. doi: 10.1016/j.ajodo.2016.05.008.

引用本文的文献

1
Hard and soft tissue shape variation and changes in Class II division 1 malocclusion during orthodontic treatment: a geometric morphometric analysis.正畸治疗中 II 类 1 分类错颌的硬组织和软组织形态变化及变化:几何形态测量分析。
BMC Oral Health. 2023 Nov 27;23(1):931. doi: 10.1186/s12903-023-03684-7.
2
Assessment of Changes in Craniofacial Structures, Bite Force and Periodontal Status Following Fixed Functional Appliance Therapy.固定功能矫治器治疗后颅面结构、咬合力和牙周状况变化的评估
Turk J Orthod. 2023 Mar 21;36(1):22-29. doi: 10.4274/TurkJOrthod.2022.2021.0229.

本文引用的文献

1
Comparison of AdvanSync and intermaxillary elastics in the correction of Class II malocclusions: A retrospective clinical study.AdvanSync与颌间弹力牵引在矫治安氏II类错牙合中的比较:一项回顾性临床研究。
Am J Orthod Dentofacial Orthop. 2016 Dec;150(6):979-988. doi: 10.1016/j.ajodo.2016.05.008.
2
Evaluate the Malocclusion in Subjects Reporting for Orthodontic Treatment among Saudi Population in Asser Region.评估阿西尔地区沙特人群中前来接受正畸治疗者的错牙合情况。
J Int Oral Health. 2014 Jul;6(4):42-6.
3
Correction of Class II malocclusion with Class II elastics: a systematic review.
II 类错颌畸形的 II 类弹性矫正:系统评价。
Am J Orthod Dentofacial Orthop. 2013 Mar;143(3):383-92. doi: 10.1016/j.ajodo.2012.10.015.
4
Therapeutic changes in the occlusal plane inclination using intermaxillary elastics.使用颌间弹力牵引对咬合平面倾斜度的治疗性改变。
J Orofac Orthop. 2012 Sep;73(5):377-86. doi: 10.1007/s00056-012-0100-5. Epub 2012 Sep 7.
5
A nonsurgical approach to treatment of high-angle Class II malocclusion.一种治疗高角Ⅱ类错牙合畸形的非手术方法。
Angle Orthod. 2008 May;78(3):553-60. doi: 10.2319/052307-248.1.
6
Sagittal mandibular changes with overbite correction in subjects with different mandibular growth directions: late mixed-dentition treatment effects.不同下颌生长方向的受试者在纠正覆合时的下颌矢状面变化:混合牙列晚期治疗效果
Am J Orthod Dentofacial Orthop. 2008 Mar;133(3):388-94. doi: 10.1016/j.ajodo.2006.03.037.
7
Class II non-extraction patients treated with the Forsus Fatigue Resistant Device versus intermaxillary elastics.使用Forsus抗疲劳装置与颌间弹力牵引治疗的II类不拔牙患者。
Angle Orthod. 2008 Mar;78(2):332-8. doi: 10.2319/030607-115.1.
8
A long-term follow-up study of Class II malocclusion correction after treatment with Class II elastics or fixed functional appliances.一项关于使用II类弹性牵引或固定功能矫治器治疗后II类错牙合畸形矫治的长期随访研究。
Am J Orthod Dentofacial Orthop. 2007 Oct;132(4):499-503. doi: 10.1016/j.ajodo.2005.10.027.
9
Malocclusion and crowding in an orthodontically referred Turkish population.正畸转诊的土耳其人群中的错颌畸形与牙列拥挤情况。
Angle Orthod. 2004 Oct;74(5):635-9. doi: 10.1043/0003-3219(2004)074<0635:MACIAO>2.0.CO;2.
10
The "Wits" appraisal of jaw disharmony. 1975.
Am J Orthod Dentofacial Orthop. 2003 Nov;124(5):470-9. doi: 10.1016/S0889540603005407.