Suppr超能文献

截指术联合双蒂指动脉皮瓣修复第二趾巨趾畸形:1例报告

Phalangectomy combination double-pedicled digital artery flap for second-toe macrodactyly reconstruction: A case report.

作者信息

Josh Fonny, Soekamto Tomie Hermawan, Faruk Muhammad, Rieuwpassa August Jacob

机构信息

Division of Plastic and Reconstructive Surgery, Department of Surgery, Faculty of Medicine, Hasanuddin University, Makassar, Indonesia; Division of Plastic and Reconstructive Surgery, Department of Surgery, Dr. Wahidin Sudirohusodo Hospital, Makassar, Indonesia.

Department of Plastic and Reconstructive Surgery, Koja Hospital, Jakarta, Indonesia.

出版信息

Int J Surg Case Rep. 2021 Apr;81:105767. doi: 10.1016/j.ijscr.2021.105767. Epub 2021 Mar 13.

Abstract

INTRODUCTION

Pedal macrodactyly is a rare form of congenital deformity in which the toes and underlying structures are enlarged. The goal of most macrodactyly reconstruction surgeries is to reconstruct the affected toes to resemble the normal size such that the patient is able to wear shoes of the same size.

CASE PRESENTATION

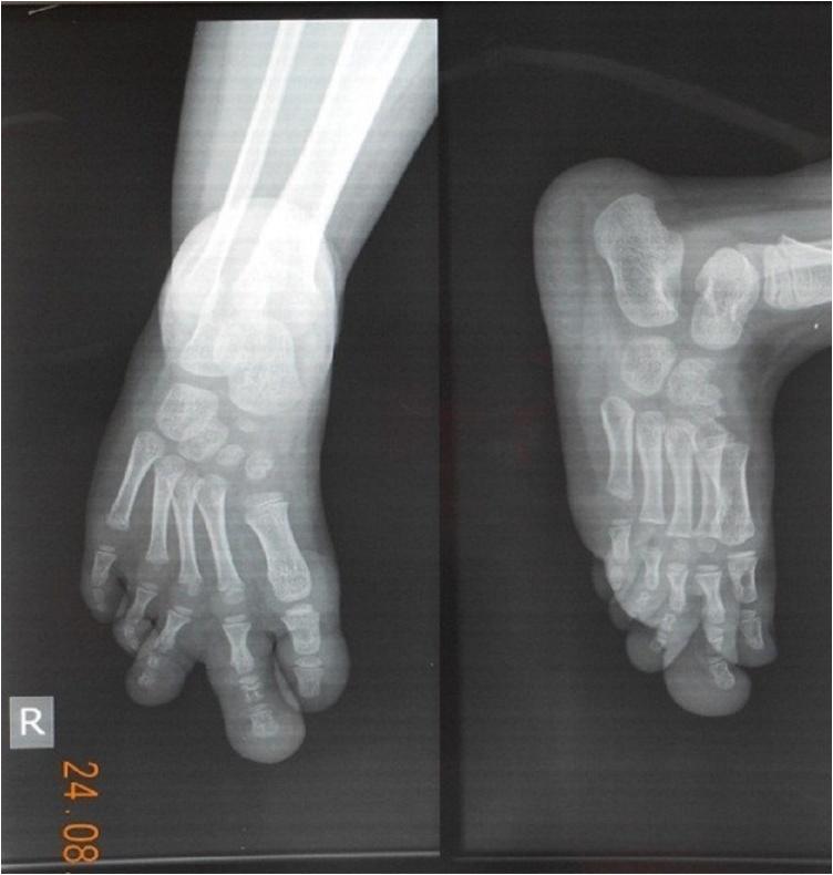
We report a three-year-old female patient presenting with an enlargement of the right foot index and middle toes. The anomaly was noticed at two months of age and grew progressively. X-ray imaging revealed enlarged bones and soft-tissue hypertrophy proximal to the distal phalanx of the second and third digits. There was no history of other systemic or syndromic diseases. The patient underwent phalangectomy surgery involving reduction of the fibrofatty tissue, double-pedicle medial and lateral digital artery flap. Satisfactory results were noted at evaluation two months of after surgery.

CONCLUSION

Macrodactyly reduction surgeries are generally composed of several kinds of surgical techniques to provide the best results. The management of macrodactyly depends on the surgeon's experience while considering the most suitable surgical technique to be performed in each case. Therefore, it was deemed necessary to report this case and its surgical technique. We hope that this case report will enrich the existing literature and be useful for the management of macrodactyly cases.

摘要

引言

足巨趾畸形是一种罕见的先天性畸形,表现为脚趾及深部结构增大。大多数巨趾畸形重建手术的目标是将患趾重建至接近正常大小,使患者能够穿同样尺码的鞋子。

病例介绍

我们报告一名3岁女性患者,其右足示趾和中趾增大。该畸形在患儿2个月大时被发现,并逐渐发展。X线成像显示第二和第三趾远节指骨近端骨骼增大及软组织肥厚。无其他全身性或综合征性疾病史。患者接受了包括减少纤维脂肪组织的指骨切除术及双蒂内外侧指动脉皮瓣手术。术后2个月评估时效果满意。

结论

巨趾畸形矫正手术通常由多种手术技术组成以获得最佳效果。巨趾畸形的治疗取决于外科医生的经验,同时要考虑每种情况下最适合的手术技术。因此,认为有必要报告该病例及其手术技术。我们希望本病例报告能丰富现有文献,并对巨趾畸形病例的治疗有所帮助。

https://cdn.ncbi.nlm.nih.gov/pmc/blobs/08ce/7985412/005067cb7dde/gr1.jpg

文献检索

告别复杂PubMed语法,用中文像聊天一样搜索,搜遍4000万医学文献。AI智能推荐,让科研检索更轻松。

立即免费搜索

文件翻译

保留排版,准确专业,支持PDF/Word/PPT等文件格式,支持 12+语言互译。

免费翻译文档

深度研究

AI帮你快速写综述,25分钟生成高质量综述,智能提取关键信息,辅助科研写作。

立即免费体验