• 文献检索
  • 文档翻译
  • 深度研究
  • 学术资讯
  • Suppr Zotero 插件Zotero 插件
  • 邀请有礼
  • 套餐&价格
  • 历史记录
应用&插件
Suppr Zotero 插件Zotero 插件浏览器插件Mac 客户端Windows 客户端微信小程序
定价
高级版会员购买积分包购买API积分包
服务
文献检索文档翻译深度研究API 文档MCP 服务
关于我们
关于 Suppr公司介绍联系我们用户协议隐私条款
关注我们

Suppr 超能文献

核心技术专利:CN118964589B侵权必究
粤ICP备2023148730 号-1Suppr @ 2026

文献检索

告别复杂PubMed语法,用中文像聊天一样搜索,搜遍4000万医学文献。AI智能推荐,让科研检索更轻松。

立即免费搜索

文件翻译

保留排版,准确专业,支持PDF/Word/PPT等文件格式,支持 12+语言互译。

免费翻译文档

深度研究

AI帮你快速写综述,25分钟生成高质量综述,智能提取关键信息,辅助科研写作。

立即免费体验

卡波美迪克斯人工二尖瓣瓣叶断裂及栓塞:病例报告

Leaflet Fracture and Embolization of a CarboMedics Prosthetic Mitral Valve: Case Report.

作者信息

Kim Tae Yeon, Kim Myoung Young

机构信息

Department of Thoracic and Cardiovascular Surgery, Samsung Changwon Hospital, Sungkyunkwan University School of Medicine, Changwon, Korea.

出版信息

J Chest Surg. 2021 Oct 5;54(5):419-421. doi: 10.5090/jcs.20.050.

DOI:10.5090/jcs.20.050
PMID:33767012
原文链接:https://pmc.ncbi.nlm.nih.gov/articles/PMC8548205/
Abstract

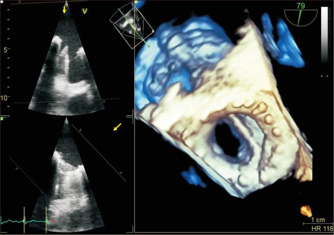
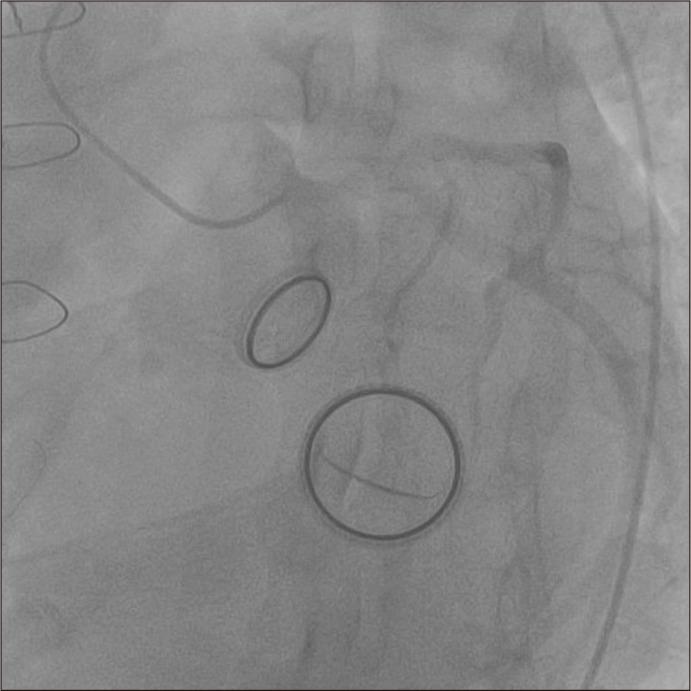
Fracture of prosthetic valve leaflets in the absence of traumatic injury is very rare. Leaflet fracture can cause acute pulmonary edema and cardiogenic shock and is potentially life-threatening, requiring emergency surgery. Thus, a leaflet fracture must be diagnosed quickly and accurately. We present the case of a 46-year-old man with CarboMedics prosthetic aortic and mitral valve replacements implanted 24 years previously. The patient presented at our emergency department with abrupt dyspnea and fever. We diagnosed severe mitral valve regurgitation with anterior leaflet fracture. The patient underwent venoarterial extracorporeal membrane oxygenation and delayed mitral valve replacement. The foreign body was removed step by step because the diagnosis was missed. Two pieces of broken leaflets were found in the left common iliac artery and left external iliac artery. The patient was treated successfully and remains asymptomatic 1 year following surgery.

摘要

在无创伤性损伤的情况下,人工瓣膜小叶骨折非常罕见。小叶骨折可导致急性肺水肿和心源性休克,有潜在生命危险,需要紧急手术。因此,必须快速准确地诊断小叶骨折。我们报告一例46岁男性病例,其24年前植入了CarboMedics人工主动脉瓣和二尖瓣。该患者因突发呼吸困难和发热就诊于我院急诊科。我们诊断为严重二尖瓣反流伴前叶骨折。患者接受了静脉-动脉体外膜肺氧合及延迟二尖瓣置换术。由于漏诊,异物被逐步取出。在左髂总动脉和左髂外动脉中发现了两片破碎的小叶。患者治疗成功,术后1年无症状。

https://cdn.ncbi.nlm.nih.gov/pmc/blobs/9b66/8548205/907a239fa8dc/jcs-54-5-419-f3.jpg
https://cdn.ncbi.nlm.nih.gov/pmc/blobs/9b66/8548205/c52adcdcf66d/jcs-54-5-419-f1.jpg
https://cdn.ncbi.nlm.nih.gov/pmc/blobs/9b66/8548205/a880c44325a2/jcs-54-5-419-f2.jpg
https://cdn.ncbi.nlm.nih.gov/pmc/blobs/9b66/8548205/907a239fa8dc/jcs-54-5-419-f3.jpg
https://cdn.ncbi.nlm.nih.gov/pmc/blobs/9b66/8548205/c52adcdcf66d/jcs-54-5-419-f1.jpg
https://cdn.ncbi.nlm.nih.gov/pmc/blobs/9b66/8548205/a880c44325a2/jcs-54-5-419-f2.jpg
https://cdn.ncbi.nlm.nih.gov/pmc/blobs/9b66/8548205/907a239fa8dc/jcs-54-5-419-f3.jpg

相似文献

1
Leaflet Fracture and Embolization of a CarboMedics Prosthetic Mitral Valve: Case Report.卡波美迪克斯人工二尖瓣瓣叶断裂及栓塞:病例报告
J Chest Surg. 2021 Oct 5;54(5):419-421. doi: 10.5090/jcs.20.050.
2
Acute Mitral Valve Dysfunction Due to Escape of Prosthetic Mechanical Leaflet and Peripheral Leaftlet Embolization.人工机械瓣叶脱出及外周瓣叶栓塞导致的急性二尖瓣功能障碍
Heart Surg Forum. 2015 Dec 14;18(6):E245-9. doi: 10.1532/hsf.1316.
3
Late leaflet fracture and embolization of a Duromedics mitral prosthesis.Duromedics二尖瓣假体的晚期瓣叶破裂和栓塞
Jpn J Thorac Cardiovasc Surg. 2000 Aug;48(8):520-3. doi: 10.1007/BF03218190.
4
On-X mitral valve leaflet embolization presenting as acute pulmonary oedema.On-X二尖瓣瓣叶栓塞表现为急性肺水肿。
Egypt Heart J. 2022 May 4;74(1):36. doi: 10.1186/s43044-022-00270-0.
5
Cardiogenic shock following balloon post-dilatation in transcatheter aortic valve implantation: first case report of all three stuck leaflets.经导管主动脉瓣植入术中球囊后扩张后发生的心源性休克:三枚瓣叶均卡瓣的首例报告
Eur Heart J Case Rep. 2018 Jul 2;2(3):1-5. doi: 10.1093/ehjcr/yty073. eCollection 2018 Sep.
6
Retrieval of a leaflet escaped in a Tri-technologies bileaflet mechanical prosthetic valve.取出在三技术双叶机械人工心脏瓣膜中逸出的瓣叶。
Eur J Echocardiogr. 2008 Jan;9(1):65-8. doi: 10.1016/j.euje.2006.08.018.
7
Transventricular Cardioscopic Release of a Trapped Prosthetic Mitral Valve Leaflet.
Innovations (Phila). 2023 Sep-Oct;18(5):494-497. doi: 10.1177/15569845231190608. Epub 2023 Aug 23.
8
Prosthetic mitral valve leaflet escape.人工二尖瓣瓣叶脱垂
J Cardiovasc Ultrasound. 2013 Jun;21(2):96-9. doi: 10.4250/jcu.2013.21.2.96. Epub 2013 Jun 26.
9
Venoarterial Extracorporeal Membrane Oxygenation to Facilitate Transcutaneous Mitral Valve Replacement in Critical Mitral Stenosis.静脉-动脉体外膜肺氧合辅助经皮二尖瓣置换术治疗严重二尖瓣狭窄
JACC Case Rep. 2022 Apr 6;4(7):385-390. doi: 10.1016/j.jaccas.2021.12.032.
10
Leaflet escape in an Edwards TEKNA mitral prosthesis.爱德华兹TEKNA二尖瓣假体瓣叶脱出
Gen Thorac Cardiovasc Surg. 2018 Dec;66(12):744-747. doi: 10.1007/s11748-018-0891-4. Epub 2018 Mar 13.

本文引用的文献

1
Spontaneous leaflet fracture resulting in embolization from mechanical valve prostheses.机械瓣膜假体导致的自发性瓣叶破裂并引起栓塞。
J Card Surg. 2019 Mar;34(3):124-130. doi: 10.1111/jocs.13975. Epub 2018 Dec 30.
2
Twenty-year experience with the CarboMedics mechanical valve prosthesis.二十年来对 CarboMedics 机械瓣膜假体的应用经验。
Ann Thorac Surg. 2014 Mar;97(3):816-23. doi: 10.1016/j.athoracsur.2013.09.098. Epub 2013 Nov 23.
3
The CarboMedics prosthetic heart valve: experience with 1,084 implants.卡博梅迪克斯人工心脏瓣膜:1084例植入经验。
J Heart Valve Dis. 2002 Jan;11(1):121-6; discussion 27.
4
Cineradiography for determination of normal and abnormal function in mechanical heart valves.
Am J Cardiol. 1993 Jan 15;71(2):225-32. doi: 10.1016/0002-9149(93)90742-u.