• 文献检索
  • 文档翻译
  • 深度研究
  • 学术资讯
  • Suppr Zotero 插件Zotero 插件
  • 邀请有礼
  • 套餐&价格
  • 历史记录
应用&插件
Suppr Zotero 插件Zotero 插件浏览器插件Mac 客户端Windows 客户端微信小程序
定价
高级版会员购买积分包购买API积分包
服务
文献检索文档翻译深度研究API 文档MCP 服务
关于我们
关于 Suppr公司介绍联系我们用户协议隐私条款
关注我们

Suppr 超能文献

核心技术专利:CN118964589B侵权必究
粤ICP备2023148730 号-1Suppr @ 2026

文献检索

告别复杂PubMed语法,用中文像聊天一样搜索,搜遍4000万医学文献。AI智能推荐,让科研检索更轻松。

立即免费搜索

文件翻译

保留排版,准确专业,支持PDF/Word/PPT等文件格式,支持 12+语言互译。

免费翻译文档

深度研究

AI帮你快速写综述,25分钟生成高质量综述,智能提取关键信息,辅助科研写作。

立即免费体验

原发性肾血管肉瘤的CT表现

CT Findings of Primary Renal Angiosarcoma.

作者信息

Komoto Hisashi, Kitajima Kazuhiro, Kawanaka Yusuke, Yoshimura Nahomi, Kunimoto Ryo, Yokoyama Hiroyuki, Shinkai Yukako, Kaizuka Yohei, Yamamoto Shingo, Kihara Takako, Kimura Neinei, Hirota Seiichi, Yamakado Koichiro

机构信息

Department of Radiology, Hyogo College of Medicine, Nishinomiya, Japan.

Department of Urology, Hyogo College of Medicine, Nishinomiya, Japan.

出版信息

Case Rep Oncol. 2021 Mar 1;14(1):212-216. doi: 10.1159/000512015. eCollection 2021 Jan-Apr.

DOI:10.1159/000512015
PMID:33776706
原文链接:https://pmc.ncbi.nlm.nih.gov/articles/PMC7983682/
Abstract

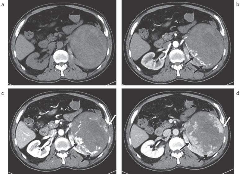
Primary angiosarcomas of the kidney are very rare but highly aggressive tumors showing poor prognosis. We present a case of primary renal angiosarcoma occurring in a 60-year-old man with left flank pain. CT images depicted a huge exophytic mass (14 cm in diameter) in the left kidney, exhibiting central extensive hemorrhage or necrosis without contrast enhancement. The mass showed centripetal peripheral nodular enhancement on dynamic contrast-enhanced CT images. We suggest its inclusion in the differential diagnosis of cases of hemorrhagic renal tumors with prominent vasculature.

摘要

原发性肾血管肉瘤非常罕见,但具有高度侵袭性,预后较差。我们报告一例发生在一名60岁男性身上的原发性肾血管肉瘤,该患者有左侧腰痛症状。CT图像显示左肾有一个巨大的外生性肿块(直径14厘米),中央有广泛出血或坏死,无对比增强。在动态对比增强CT图像上,该肿块呈向心性外周结节状强化。我们建议将其纳入对具有显著血管系统的出血性肾肿瘤病例的鉴别诊断中。

https://cdn.ncbi.nlm.nih.gov/pmc/blobs/3ef5/7983682/a213b8bce4d9/cro-0014-0212-g03.jpg
https://cdn.ncbi.nlm.nih.gov/pmc/blobs/3ef5/7983682/acf1016482c9/cro-0014-0212-g01.jpg
https://cdn.ncbi.nlm.nih.gov/pmc/blobs/3ef5/7983682/0aa2b10161e9/cro-0014-0212-g02.jpg
https://cdn.ncbi.nlm.nih.gov/pmc/blobs/3ef5/7983682/a213b8bce4d9/cro-0014-0212-g03.jpg
https://cdn.ncbi.nlm.nih.gov/pmc/blobs/3ef5/7983682/acf1016482c9/cro-0014-0212-g01.jpg
https://cdn.ncbi.nlm.nih.gov/pmc/blobs/3ef5/7983682/0aa2b10161e9/cro-0014-0212-g02.jpg
https://cdn.ncbi.nlm.nih.gov/pmc/blobs/3ef5/7983682/a213b8bce4d9/cro-0014-0212-g03.jpg

相似文献

1
CT Findings of Primary Renal Angiosarcoma.原发性肾血管肉瘤的CT表现
Case Rep Oncol. 2021 Mar 1;14(1):212-216. doi: 10.1159/000512015. eCollection 2021 Jan-Apr.
2
Primary renal angiosarcoma with extensive hemorrhage: CT and MRI findings.原发性肾血管肉瘤伴广泛出血:CT 和 MRI 表现。
Int Braz J Urol. 2019 Mar-Apr;45(2):402-405. doi: 10.1590/S1677-5538.IBJU.2018.0375.
3
Primary renal angiosarcoma.原发性肾血管肉瘤
Int Braz J Urol. 2006 Jul-Aug;32(4):448-50. doi: 10.1590/s1677-55382006000400011.
4
Clinical and Pathologic Features of Primary Angiosarcoma of the Kidney.肾原发性血管肉瘤的临床及病理特征
Curr Urol Rep. 2018 Jan 31;19(2):4. doi: 10.1007/s11934-018-0755-6.
5
Hepatic angiosarcoma: cross-sectional imaging findings in seven patients with emphasis on dynamic contrast-enhanced and diffusion-weighted MRI.肝血管肉瘤:7例患者的横断面成像表现,重点关注动态对比增强和扩散加权磁共振成像
Abdom Imaging. 2013 Aug;38(4):745-54. doi: 10.1007/s00261-012-9967-2.
6
Primary renal angiosarcoma with extensive necrosis: a difficult diagnosis.伴有广泛坏死的原发性肾血管肉瘤:诊断困难
Case Rep Pathol. 2014;2014:416170. doi: 10.1155/2014/416170. Epub 2014 Jul 15.
7
Oral and salivary gland angiosarcoma: a clinicopathologic study of 29 cases.口腔及涎腺血管肉瘤:29例临床病理研究
Mod Pathol. 2003 Mar;16(3):263-71. doi: 10.1097/01.MP.0000056986.08999.FD.
8
Primary vascular tumours of the kidney.肾脏原发性血管肿瘤
World J Clin Oncol. 2021 Dec 24;12(12):1157-1168. doi: 10.5306/wjco.v12.i12.1157.
9
Primary renal angiosarcoma: a rare malignancy. A case report and review of the literature.原发性肾血管肉瘤:一种罕见的恶性肿瘤。病例报告及文献复习
Urol Oncol. 2006 Jul-Aug;24(4):307-12. doi: 10.1016/j.urolonc.2005.10.002.
10
Imaging findings of primary hepatic angiosarcoma on gadoxetate disodium-enhanced liver MRI: comparison with hepatic haemangiomas of similar size.钆塞酸二钠增强肝脏MRI上原发性肝血管肉瘤的影像学表现:与相似大小的肝血管瘤比较
Clin Radiol. 2018 Mar;73(3):244-253. doi: 10.1016/j.crad.2017.09.015. Epub 2017 Oct 27.

引用本文的文献

1
Primary Renal Angiosarcoma: Rare Tumour with Lethal Outcomes.原发性肾血管肉瘤:一种罕见的致命性肿瘤。
Medicina (Kaunas). 2024 May 28;60(6):885. doi: 10.3390/medicina60060885.
2
Radiologic and pathologic correlation of a renal venous hemangioma.肾静脉血管瘤的放射学与病理学相关性
Int Cancer Conf J. 2023 Aug 4;12(4):227-232. doi: 10.1007/s13691-023-00626-6. eCollection 2023 Oct.
3
Primary vascular tumours of the kidney.肾脏原发性血管肿瘤

本文引用的文献

1
Primary Angiosarcoma of the Kidney: Case Report and Comprehensive Literature Review.肾原发性血管肉瘤:病例报告及文献综述
Open Med (Wars). 2019 Jul 31;14:443-455. doi: 10.1515/med-2019-0048. eCollection 2019.
2
Primary renal angiosarcoma with extensive hemorrhage: CT and MRI findings.原发性肾血管肉瘤伴广泛出血:CT 和 MRI 表现。
Int Braz J Urol. 2019 Mar-Apr;45(2):402-405. doi: 10.1590/S1677-5538.IBJU.2018.0375.
3
Clinical and Pathologic Features of Primary Angiosarcoma of the Kidney.肾原发性血管肉瘤的临床及病理特征
World J Clin Oncol. 2021 Dec 24;12(12):1157-1168. doi: 10.5306/wjco.v12.i12.1157.
Curr Urol Rep. 2018 Jan 31;19(2):4. doi: 10.1007/s11934-018-0755-6.
4
Clinicopathological features of primary angiosarcoma of the kidney: a review of 62 cases.肾原发性血管肉瘤的临床病理特征:62例病例回顾
Transl Androl Urol. 2015 Aug;4(4):464-73. doi: 10.3978/j.issn.2223-4683.2015.05.04.
5
Primary renal angiosarcoma with extensive necrosis: a difficult diagnosis.伴有广泛坏死的原发性肾血管肉瘤:诊断困难
Case Rep Pathol. 2014;2014:416170. doi: 10.1155/2014/416170. Epub 2014 Jul 15.
6
Primary angiosarcoma of the kidney: case analysis and literature review.肾原发性血管肉瘤:病例分析与文献复习
Int J Clin Exp Pathol. 2014 Jun 15;7(7):3555-62. eCollection 2014.
7
Irradiation-induced angiosarcoma and anti-angiogenic therapy: a therapeutic hope?辐射诱导性血管肉瘤与抗血管生成治疗:一种治疗希望?
Exp Cell Res. 2014 Feb 15;321(2):240-7. doi: 10.1016/j.yexcr.2013.12.018. Epub 2013 Dec 31.
8
Primary renal angiosarcoma.原发性肾血管肉瘤
Int Braz J Urol. 2006 Jul-Aug;32(4):448-50. doi: 10.1590/s1677-55382006000400011.
9
Primary renal angiosarcoma: a case report and review of the literature.原发性肾血管肉瘤:一例病例报告并文献复习
Pathol Int. 1997 Nov;47(11):778-83. doi: 10.1111/j.1440-1827.1997.tb04457.x.