• 文献检索
  • 文档翻译
  • 深度研究
  • 学术资讯
  • Suppr Zotero 插件Zotero 插件
  • 邀请有礼
  • 套餐&价格
  • 历史记录
应用&插件
Suppr Zotero 插件Zotero 插件浏览器插件Mac 客户端Windows 客户端微信小程序
定价
高级版会员购买积分包购买API积分包
服务
文献检索文档翻译深度研究API 文档MCP 服务
关于我们
关于 Suppr公司介绍联系我们用户协议隐私条款
关注我们

Suppr 超能文献

核心技术专利:CN118964589B侵权必究
粤ICP备2023148730 号-1Suppr @ 2026

文献检索

告别复杂PubMed语法,用中文像聊天一样搜索,搜遍4000万医学文献。AI智能推荐,让科研检索更轻松。

立即免费搜索

文件翻译

保留排版,准确专业,支持PDF/Word/PPT等文件格式,支持 12+语言互译。

免费翻译文档

深度研究

AI帮你快速写综述,25分钟生成高质量综述,智能提取关键信息,辅助科研写作。

立即免费体验

人脐带间充质干细胞负载于华通氏胶和硫酸软骨素的复合支架修复大鼠膝关节关节软骨缺损。

A composite scaffold of Wharton's jelly and chondroitin sulphate loaded with human umbilical cord mesenchymal stem cells repairs articular cartilage defects in rat knee.

机构信息

Institute of Sports Medicine, Shandong First Medical University & Shandong Academy Medical Sciences, 619 Changcheng Road, Taian, 271016, Shandong, PR China.

Clinical Center for Sports Medicine and Rehabilitation, the Affiliated Hospital of Shandong First Medical University, 706 Taishan Great Street, Taian, 271000, Shandong, PR China.

出版信息

J Mater Sci Mater Med. 2021 Mar 29;32(4):36. doi: 10.1007/s10856-021-06506-w.

DOI:10.1007/s10856-021-06506-w
PMID:33779853
原文链接:https://pmc.ncbi.nlm.nih.gov/articles/PMC8007499/
Abstract

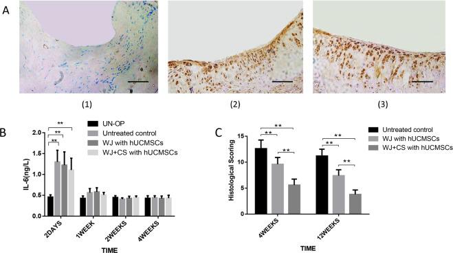
To evaluate the performance of a composite scaffold of Wharton's jelly (WJ) and chondroitin sulfate (CS) and the effect of the composite scaffold loaded with human umbilical cord mesenchymal stem cells (hUCMSCs) in repairing articular cartilage defects, two experiments were carried out. The in vitro experiments involved identification of the hUCMSCs, construction of the biomimetic composite scaffolds by the physical and chemical crosslinking of WJ and CS, and testing of the biomechanical properties of both the composite scaffold and the WJ scaffold. In the in vivo experiments, composite scaffolds loaded with hUCMSCs and WJ scaffolds loaded with hUCMSCs were applied to repair articular cartilage defects in the rat knee. Moreover, their repair effects were evaluated by the unaided eye, histological observations, and the immunogenicity of scaffolds and hUCMSCs. We found that in vitro, the Young's modulus of the composite scaffold (WJ-CS) was higher than that of the WJ scaffold. In vivo, the composite scaffold loaded with hUCMSCs repaired rat cartilage defects better than did the WJ scaffold loaded with hUCMSCs. Both the scaffold and hUCMSCs showed low immunogenicity. These results demonstrate that the in vitro construction of a human-derived WJ-CS composite scaffold enhances the biomechanical properties of WJ and that the repair of knee cartilage defects in rats is better with the composite scaffold than with the single WJ scaffold if the scaffold is loaded with hUCMSCs.

摘要

为了评估 Wharton 胶(WJ)和硫酸软骨素(CS)复合支架的性能以及负载人脐带间充质干细胞(hUCMSCs)的复合支架在修复关节软骨缺损方面的效果,进行了两项实验。体外实验包括 hUCMSCs 的鉴定、WJ 和 CS 的物理化学交联构建仿生复合支架以及复合支架和 WJ 支架的生物力学性能测试。在体内实验中,负载 hUCMSCs 的复合支架和负载 hUCMSCs 的 WJ 支架被应用于修复大鼠膝关节的关节软骨缺损。此外,通过肉眼观察、组织学观察以及支架和 hUCMSCs 的免疫原性评估它们的修复效果。我们发现,体外,复合支架(WJ-CS)的杨氏模量高于 WJ 支架。在体内,负载 hUCMSCs 的复合支架比负载 hUCMSCs 的 WJ 支架更能修复大鼠软骨缺损。支架和 hUCMSCs 的免疫原性均较低。这些结果表明,体外构建的人源性 WJ-CS 复合支架增强了 WJ 的生物力学性能,如果支架负载 hUCMSCs,则复合支架修复大鼠膝关节软骨缺损的效果优于单一 WJ 支架。

https://cdn.ncbi.nlm.nih.gov/pmc/blobs/6d23/8007499/56bd0db2f83b/10856_2021_6506_Fig4_HTML.jpg
https://cdn.ncbi.nlm.nih.gov/pmc/blobs/6d23/8007499/c8c56259fdcf/10856_2021_6506_Fig1_HTML.jpg
https://cdn.ncbi.nlm.nih.gov/pmc/blobs/6d23/8007499/5586afb6522a/10856_2021_6506_Fig2_HTML.jpg
https://cdn.ncbi.nlm.nih.gov/pmc/blobs/6d23/8007499/9f59baf7cb79/10856_2021_6506_Fig3_HTML.jpg
https://cdn.ncbi.nlm.nih.gov/pmc/blobs/6d23/8007499/56bd0db2f83b/10856_2021_6506_Fig4_HTML.jpg
https://cdn.ncbi.nlm.nih.gov/pmc/blobs/6d23/8007499/c8c56259fdcf/10856_2021_6506_Fig1_HTML.jpg
https://cdn.ncbi.nlm.nih.gov/pmc/blobs/6d23/8007499/5586afb6522a/10856_2021_6506_Fig2_HTML.jpg
https://cdn.ncbi.nlm.nih.gov/pmc/blobs/6d23/8007499/9f59baf7cb79/10856_2021_6506_Fig3_HTML.jpg
https://cdn.ncbi.nlm.nih.gov/pmc/blobs/6d23/8007499/56bd0db2f83b/10856_2021_6506_Fig4_HTML.jpg

相似文献

1
A composite scaffold of Wharton's jelly and chondroitin sulphate loaded with human umbilical cord mesenchymal stem cells repairs articular cartilage defects in rat knee.人脐带间充质干细胞负载于华通氏胶和硫酸软骨素的复合支架修复大鼠膝关节关节软骨缺损。
J Mater Sci Mater Med. 2021 Mar 29;32(4):36. doi: 10.1007/s10856-021-06506-w.
2
Human umbilical cord Wharton's jelly mesenchymal stem cells combined with an acellular cartilage extracellular matrix scaffold improve cartilage repair compared with microfracture in a caprine model.人脐带华通氏胶间充质干细胞联合去细胞软骨细胞外基质支架修复软骨优于微骨折在山羊模型。
Osteoarthritis Cartilage. 2018 Jul;26(7):954-965. doi: 10.1016/j.joca.2018.01.019. Epub 2018 Jan 31.
3
Auricular cartilage regeneration using chondroitin sulfate-based hydrogel with mesenchymal stem cells in rabbits.在兔中使用基于硫酸软骨素的水凝胶与间充质干细胞进行耳软骨再生。
Artif Organs. 2024 Oct;48(10):1100-1111. doi: 10.1111/aor.14807. Epub 2024 Jul 19.
4
Feasibility study on intact human umbilical cord Wharton's jelly as a scaffold for human autologous chondrocyte: In-vitro study.完整人脐带华通氏胶作为人自体软骨细胞支架的可行性研究:体外研究
Int J Artif Organs. 2022 Nov;45(11):936-944. doi: 10.1177/03913988221118102. Epub 2022 Aug 18.
5
Characteristics of mesenchymal stem cells derived from Wharton's jelly of human umbilical cord and for fabrication of non-scaffold tissue-engineered cartilage.人脐带华通氏胶来源间充质干细胞的特性及其在非支架组织工程软骨构建中的应用。
J Biosci Bioeng. 2014 Feb;117(2):229-235. doi: 10.1016/j.jbiosc.2013.07.001. Epub 2013 Jul 27.
6
[In vitro evaluation of chondrocytes combined with Wharton's jelly of human umbilical cord oriented scaffold].软骨细胞与人类脐带华通氏胶定向支架结合的体外评估
Zhongguo Xiu Fu Chong Jian Wai Ke Za Zhi. 2014 Aug;28(8):1017-22.
7
hWJECM-Derived Oriented Scaffolds with Autologous Chondrocytes for Rabbit Cartilage Defect Repairing.hWJECM 来源的定向支架与自体软骨细胞用于兔软骨缺损修复。
Tissue Eng Part A. 2018 Jun;24(11-12):905-914. doi: 10.1089/ten.TEA.2017.0223. Epub 2018 Feb 2.
8
Cartilage Injury Repair by Human Umbilical Cord Wharton's Jelly/Hydrogel Combined with Chondrocyte.人脐带华通氏胶/水凝胶联合软骨细胞修复软骨损伤。
Tissue Eng Part C Methods. 2023 Mar;29(3):110-120. doi: 10.1089/ten.tec.2022.0202.
9
Osteogenic differentiation of Wharton's jelly-derived mesenchymal stem cells cultured on WJ-scaffold through conventional signalling mechanism.通过传统信号机制在 WJ 支架上培养的牙髓间充质干细胞的成骨分化。
Artif Cells Nanomed Biotechnol. 2018;46(sup3):S1032-S1042. doi: 10.1080/21691401.2018.1528981. Epub 2018 Nov 19.
10
Biomimetic microenvironmental preconditioning enhance neuroprotective properties of human mesenchymal stem cells derived from Wharton's Jelly (WJ-MSCs).仿生微环境预处理增强了源自华通氏胶(WJ-MSCs)的人骨髓间充质干细胞的神经保护特性。
Sci Rep. 2020 Oct 9;10(1):16946. doi: 10.1038/s41598-020-74066-0.

引用本文的文献

1
Decellularized cartilage scaffolds derived from wharton's jelly facilitate cartilage regeneration and inhibit angiogenesis.源自脐带华通氏胶的脱细胞软骨支架促进软骨再生并抑制血管生成。
Mater Today Bio. 2025 Jun 25;33:102023. doi: 10.1016/j.mtbio.2025.102023. eCollection 2025 Aug.
2
Resveratrol's Impact on the Chondrogenic Reagents' Effects in Cell Sheet Cultures of Wharton's Jelly-Derived MSCs.白藜芦醇对源自牙髓基质细胞的细胞片层培养物中软骨生成试剂效果的影响。
Cells. 2023 Dec 15;12(24):2845. doi: 10.3390/cells12242845.
3
Wharton's jelly and osteoarthritis of the knee.

本文引用的文献

1
A silk fibroin/decellularized extract of Wharton's jelly hydrogel intended for cartilage tissue engineering.一种用于软骨组织工程的丝素蛋白/脐带华通氏胶脱细胞提取物水凝胶。
Prog Biomater. 2019 Mar;8(1):31-42. doi: 10.1007/s40204-019-0108-7. Epub 2019 Jan 31.
2
Versatile effects of magnesium hydroxide nanoparticles in PLGA scaffold-mediated chondrogenesis.氢氧化镁纳米颗粒在 PLGA 支架介导的软骨生成中的多功能作用。
Acta Biomater. 2018 Jun;73:204-216. doi: 10.1016/j.actbio.2018.04.022. Epub 2018 Apr 16.
3
Human umbilical cord Wharton's jelly mesenchymal stem cells combined with an acellular cartilage extracellular matrix scaffold improve cartilage repair compared with microfracture in a caprine model.
牙髓基质和膝关节骨关节炎。
Br Med Bull. 2024 Mar 13;149(1):13-31. doi: 10.1093/bmb/ldad030.
4
Construction of 3D-Bioprinted cartilage-mimicking substitute based on photo-crosslinkable Wharton's jelly bioinks for full-thickness articular cartilage defect repair.基于可光交联的脐带华通氏胶生物墨水构建3D生物打印软骨模拟替代物用于全层关节软骨缺损修复
Mater Today Bio. 2023 Jun 9;21:100695. doi: 10.1016/j.mtbio.2023.100695. eCollection 2023 Aug.
5
Experimental study on repair of cartilage defects in the rabbits with GelMA-MSCs scaffold prepared by three-dimensional bioprinting.三维生物打印制备的GelMA-MSCs支架修复兔软骨缺损的实验研究
Int J Bioprint. 2023 Jan 5;9(2):662. doi: 10.18063/ijb.v9i2.662. eCollection 2023.
6
Umbilical Cord Mesenchymal Stromal Cells for Cartilage Regeneration Applications.用于软骨再生应用的脐带间充质基质细胞。
Stem Cells Int. 2022 Jan 6;2022:2454168. doi: 10.1155/2022/2454168. eCollection 2022.
人脐带华通氏胶间充质干细胞联合去细胞软骨细胞外基质支架修复软骨优于微骨折在山羊模型。
Osteoarthritis Cartilage. 2018 Jul;26(7):954-965. doi: 10.1016/j.joca.2018.01.019. Epub 2018 Jan 31.
4
hWJECM-Derived Oriented Scaffolds with Autologous Chondrocytes for Rabbit Cartilage Defect Repairing.hWJECM 来源的定向支架与自体软骨细胞用于兔软骨缺损修复。
Tissue Eng Part A. 2018 Jun;24(11-12):905-914. doi: 10.1089/ten.TEA.2017.0223. Epub 2018 Feb 2.
5
Fabrication and In Vitro Study of Tissue-Engineered Cartilage Scaffold Derived from Wharton's Jelly Extracellular Matrix.源自华通氏胶细胞外基质的组织工程软骨支架的构建及体外研究。
Biomed Res Int. 2017;2017:5839071. doi: 10.1155/2017/5839071. Epub 2017 Oct 29.
6
Stem Cell Therapy for Articular Cartilage Repair: Review of the Entity of Cell Populations Used and the Result of the Clinical Application of Each Entity.干细胞治疗关节软骨修复:对所使用细胞群体的实体的综述,以及每个实体的临床应用结果。
Am J Sports Med. 2018 Aug;46(10):2540-2552. doi: 10.1177/0363546517729152. Epub 2017 Oct 12.
7
Enhanced nutrient transport improves the depth-dependent properties of tri-layered engineered cartilage constructs with zonal co-culture of chondrocytes and MSCs.增强的营养物质运输改善了通过软骨细胞与间充质干细胞的区域共培养构建的三层工程软骨构建体的深度依赖性特性。
Acta Biomater. 2017 Aug;58:1-11. doi: 10.1016/j.actbio.2017.06.025. Epub 2017 Jun 16.
8
Repair of Osteochondral Defects Using Human Umbilical Cord Wharton's Jelly-Derived Mesenchymal Stem Cells in a Rabbit Model.在兔模型中使用人脐带华通氏胶源性间充质干细胞修复骨软骨缺损
Biomed Res Int. 2017;2017:8760383. doi: 10.1155/2017/8760383. Epub 2017 Feb 5.
9
Biomaterials for hollow organ tissue engineering.用于中空器官组织工程的生物材料。
Fibrogenesis Tissue Repair. 2016 Mar 23;9:3. doi: 10.1186/s13069-016-0040-6. eCollection 2016.
10
Progress and perspectives of neural tissue engineering.神经组织工程的进展与展望。
Front Med. 2015 Dec;9(4):401-11. doi: 10.1007/s11684-015-0415-x.