State Key Laboratory of Experimental Hematology, Institute of Hematology & Blood Diseases Hospital, Center for Stem Cell Medicine, Chinese Academy of Medical Sciences and Peking Union Medical College, Tianjin, China.
Key Laboratory of Pediatric Hematology and Oncology Ministry of Health, Department of Hematology & Oncology, Shanghai Children's Medical Center, Shanghai Jiao Tong University School of medicine, Shanghai, China.
Signal Transduct Target Ther. 2021 Mar 31;6(1):129. doi: 10.1038/s41392-021-00510-w.
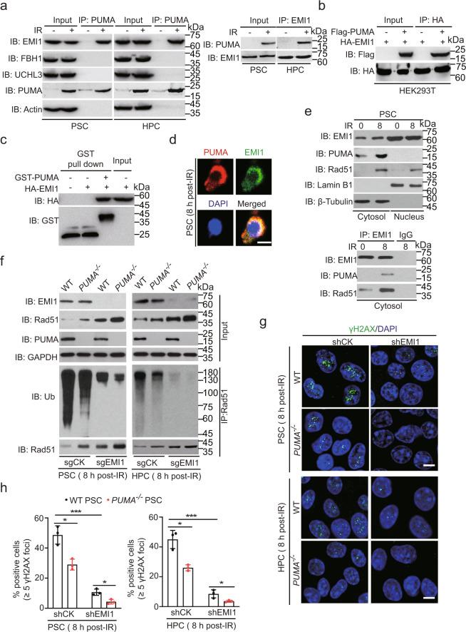
Maintenance of genetic stability via proper DNA repair in stem and progenitor cells is essential for the tissue repair and regeneration, while preventing cell transformation after damage. Loss of PUMA dramatically increases the survival of mice after exposure to a lethal dose of ionizing radiation (IR), while without promoting tumorigenesis in the long-term survivors. This finding suggests that PUMA (p53 upregulated modulator of apoptosis) may have a function other than regulates apoptosis. Here, we identify a novel role of PUMA in regulation of DNA repair in embryonic or induced pluripotent stem cells (PSCs) and immortalized hematopoietic progenitor cells (HPCs) after IR. We found that PUMA-deficient PSCs and HPCs exhibited a significant higher double-strand break (DSB) DNA repair activity via Rad51-mediated homologous recombination (HR). This is because PUMA can be associated with early mitotic inhibitor 1 (EMI1) and Rad51 in the cytoplasm to facilitate EMI1-mediated cytoplasmic Rad51 ubiquitination and degradation, thereby inhibiting Rad51 nuclear translocation and HR DNA repair. Our data demonstrate that PUMA acts as a repressor for DSB DNA repair and thus offers a new rationale for therapeutic targeting of PUMA in regenerative cells in the context of DNA damage.
通过适当的 DNA 修复来维持干细胞和祖细胞中的遗传稳定性,对于组织修复和再生至关重要,同时可以防止损伤后的细胞转化。PUMA 的缺失显著增加了小鼠在暴露于致死剂量电离辐射 (IR) 后的存活率,而在长期存活者中并没有促进肿瘤发生。这一发现表明,PUMA(p53 上调凋亡调节剂)可能具有除调节细胞凋亡之外的其他功能。在这里,我们鉴定了 PUMA 在调节胚胎或诱导多能干细胞 (PSCs) 和永生化造血祖细胞 (HPCs) 在 IR 后的 DNA 修复中的新作用。我们发现,缺乏 PUMA 的 PSCs 和 HPCs 通过 Rad51 介导的同源重组 (HR) 表现出显著更高的双链断裂 (DSB) DNA 修复活性。这是因为 PUMA 可以与细胞质中的早期有丝分裂抑制剂 1 (EMI1) 和 Rad51 相关联,以促进 EMI1 介导的细胞质 Rad51 泛素化和降解,从而抑制 Rad51 的核易位和 HR DNA 修复。我们的数据表明,PUMA 作为 DSB DNA 修复的抑制剂,为在 DNA 损伤情况下针对再生细胞中的 PUMA 进行治疗靶向提供了新的依据。