Suppr超能文献

经皮椎体成形术后胆囊坏疽,一种少见的血管并发症表现:病例报告并分析其病因。

Gallbladder gangrene after percutaneous vertebroplasty, an uncommon presentation of vascular complication: a case report and analysis of the causes.

机构信息

Department of Hepatobiliary, Pancreatic, and Splenic Surgery, 117872Hebei General Hospital, Shijiazhuang, China.

出版信息

J Int Med Res. 2021 Mar;49(3):3000605211001720. doi: 10.1177/03000605211001720.

Abstract

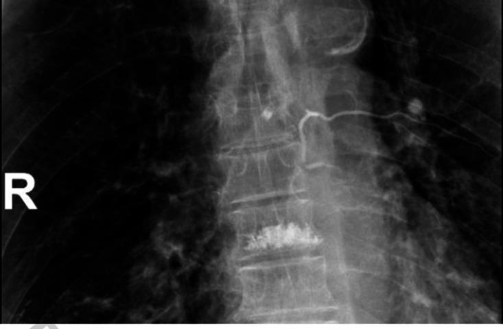
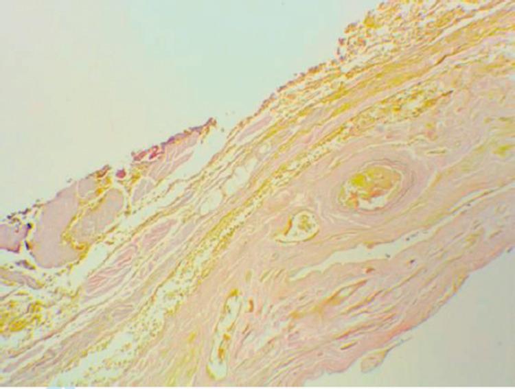
We present a case of an 81-year-old man with gallbladder gangrene after percutaneous vertebroplasty (PV) that was successfully treated via laparoscopic cholecystectomy (LC). The patient underwent multilevel, thoracic PV for painful osteoporotic compression fractures. PV performed at the T6 level was complicated by severe abdominal pain owing to direct embolization of the right T6 segmental artery with penetration of bone cement into the radicular artery beneath the pedicle. Cement leakage, especially arterial embolization of cement into the general circulation, is a known potential complication following PV. Serious complications related to PV augmentation procedures, such as vertebroplasty and kyphoplasty, are rare and most often result from local cement leakage or venous embolization. Combined with this case report, we reviewed the literature regarding the unusual occurrence of direct arterial cement embolization during PV and analyzed the causes to alert clinicians to this potentially rare vascular complication.

摘要

我们报告了一例 81 岁男性患者,在经皮椎体成形术(PV)后发生胆囊坏疽,通过腹腔镜胆囊切除术(LC)成功治疗。患者因多节段胸段 PV 治疗骨质疏松性压缩性骨折而出现疼痛。T6 水平的 PV 出现严重腹痛,原因是骨水泥直接栓塞右 T6 节段动脉,并穿透椎弓根下的神经根动脉。骨水泥渗漏,特别是骨水泥动脉栓塞进入体循环,是 PV 后已知的潜在并发症。与 PV 增强术相关的严重并发症,如椎体成形术和后凸成形术,较为罕见,且通常由局部骨水泥渗漏或静脉栓塞引起。结合本病例报告,我们复习了关于 PV 期间直接动脉骨水泥栓塞罕见发生的文献,并分析了其原因,以提醒临床医生注意这种潜在的罕见血管并发症。

https://cdn.ncbi.nlm.nih.gov/pmc/blobs/d952/8020101/f507c777232d/10.1177_03000605211001720-fig1.jpg

文献AI研究员

20分钟写一篇综述,助力文献阅读效率提升50倍。

立即体验

用中文搜PubMed

大模型驱动的PubMed中文搜索引擎

马上搜索

文档翻译

学术文献翻译模型,支持多种主流文档格式。

立即体验