Suppr超能文献

抗菌肽 Lasioglossin III 的作用机制研究进展

Insights into the Action Mechanism of the Antimicrobial Peptide Lasioglossin III.

机构信息

Department of Chemical Sciences, University of Naples Federico II, Via Cintia, 4, 80126 Naples, Italy.

Faculty of Chemistry and Chemical Biology, Physical Chemistry I, TU Dortmund University, Otto-Hahn-Str. 4a, 44227 Dortmund, Germany.

出版信息

Int J Mol Sci. 2021 Mar 11;22(6):2857. doi: 10.3390/ijms22062857.

Abstract

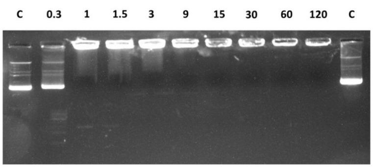
Lasioglossin III (LL-III) is a cationic antimicrobial peptide derived from the venom of the eusocial bee . LL-III is extremely toxic to both Gram-positive and Gram-negative bacteria, and it exhibits antifungal as well as antitumor activity. Moreover, it shows low hemolytic activity, and it has almost no toxic effects on eukaryotic cells. However, the molecular basis of the LL-III mechanism of action is still unclear. In this study, we characterized by means of calorimetric (DSC) and spectroscopic (CD, fluorescence) techniques its interaction with liposomes composed of a mixture of 1-palmitoyl-2-oleoyl--glycero-3-phosphocholine (POPC) and 1-palmitoyl-2-oleoyl--glycero-3--phosphoglycerol (POPG) lipids as a model of the negatively charged membrane of pathogens. For comparison, the interaction of LL-III with the uncharged POPC liposomes was also studied. Our data showed that LL-III preferentially interacted with anionic lipids in the POPC/POPG liposomes and induces the formation of lipid domains. Furthermore, the leakage experiments showed that the peptide could permeabilize the membrane. Interestingly, our DSC results showed that the peptide-membrane interaction occurs in a non-disruptive manner, indicating an intracellular targeting mode of action for this peptide. Consistent with this hypothesis, our gel-retardation assay experiments showed that LL-III could interact with plasmid DNA, suggesting a possible intracellular target.

摘要

拉西奥格辛 III(LL-III)是一种来源于社会性蜜蜂毒液的阳离子抗菌肽。LL-III 对革兰氏阳性和革兰氏阴性菌都具有极强的毒性,并且具有抗真菌和抗肿瘤活性。此外,它还表现出低溶血活性,对真核细胞几乎没有毒性作用。然而,LL-III 作用机制的分子基础仍不清楚。在这项研究中,我们通过量热法(DSC)和光谱学(CD、荧光)技术对其与由 1-棕榈酰基-2-油酰基-甘油-3-磷酸胆碱(POPC)和 1-棕榈酰基-2-油酰基-甘油-3-磷酸甘油(POPG)脂质组成的混合脂质体的相互作用进行了表征,作为病原体带负电荷的膜的模型。为了进行比较,还研究了 LL-III 与不带电的 POPC 脂质体的相互作用。我们的数据表明,LL-III 优先与 POPC/POPG 脂质体中的阴离子脂质相互作用,并诱导脂质域的形成。此外,渗漏实验表明该肽可以穿透膜。有趣的是,我们的 DSC 结果表明,肽与膜的相互作用是非破坏性的,这表明该肽具有细胞内靶向作用模式。与该假设一致,我们的凝胶阻滞实验表明,LL-III 可以与质粒 DNA 相互作用,这表明可能存在细胞内靶标。

https://cdn.ncbi.nlm.nih.gov/pmc/blobs/d4ac/8001998/726f2966aa3d/ijms-22-02857-g0A1.jpg

文献检索

告别复杂PubMed语法,用中文像聊天一样搜索,搜遍4000万医学文献。AI智能推荐,让科研检索更轻松。

立即免费搜索

文件翻译

保留排版,准确专业,支持PDF/Word/PPT等文件格式,支持 12+语言互译。

免费翻译文档

深度研究

AI帮你快速写综述,25分钟生成高质量综述,智能提取关键信息,辅助科研写作。

立即免费体验