• 文献检索
  • 文档翻译
  • 深度研究
  • 学术资讯
  • Suppr Zotero 插件Zotero 插件
  • 邀请有礼
  • 套餐&价格
  • 历史记录
应用&插件
Suppr Zotero 插件Zotero 插件浏览器插件Mac 客户端Windows 客户端微信小程序
定价
高级版会员购买积分包购买API积分包
服务
文献检索文档翻译深度研究API 文档MCP 服务
关于我们
关于 Suppr公司介绍联系我们用户协议隐私条款
关注我们

Suppr 超能文献

核心技术专利:CN118964589B侵权必究
粤ICP备2023148730 号-1Suppr @ 2026

文献检索

告别复杂PubMed语法,用中文像聊天一样搜索,搜遍4000万医学文献。AI智能推荐,让科研检索更轻松。

立即免费搜索

文件翻译

保留排版,准确专业,支持PDF/Word/PPT等文件格式,支持 12+语言互译。

免费翻译文档

深度研究

AI帮你快速写综述,25分钟生成高质量综述,智能提取关键信息,辅助科研写作。

立即免费体验

胎粪吸入综合征:一篇叙述性综述

Meconium Aspiration Syndrome: A Narrative Review.

作者信息

Monfredini Chiara, Cavallin Francesco, Villani Paolo Ernesto, Paterlini Giuseppe, Allais Benedetta, Trevisanuto Daniele

机构信息

Neonatal Intensive Care Unit, Department of Mother and Child Health, Fondazione Poliambulanza, 25124 Brescia, Italy.

Independent Statistician, 36020 Solagna, Italy.

出版信息

Children (Basel). 2021 Mar 17;8(3):230. doi: 10.3390/children8030230.

DOI:10.3390/children8030230
PMID:33802887
原文链接:https://pmc.ncbi.nlm.nih.gov/articles/PMC8002729/
Abstract

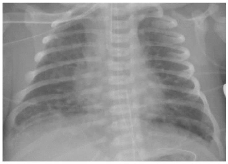
Meconium aspiration syndrome is a clinical condition characterized by respiratory failure occurring in neonates born through meconium-stained amniotic fluid. Worldwide, the incidence has declined in developed countries thanks to improved obstetric practices and perinatal care while challenges persist in developing countries. Despite the improved survival rate over the last decades, long-term morbidity among survivors remains a major concern. Since the 1960s, relevant changes have occurred in the perinatal and postnatal management of such patients but the most appropriate approach is still a matter of debate. This review offers an updated overview of the epidemiology, etiopathogenesis, diagnosis, management and prognosis of infants with meconium aspiration syndrome.

摘要

胎粪吸入综合征是一种临床病症,其特征为出生于羊水被胎粪污染的新生儿出现呼吸衰竭。在全球范围内,由于产科实践和围产期护理的改善,发达国家的发病率有所下降,而发展中国家仍面临挑战。尽管在过去几十年中存活率有所提高,但幸存者的长期发病率仍是一个主要问题。自20世纪60年代以来,此类患者的围产期和产后管理发生了相关变化,但最合适的方法仍存在争议。本综述提供了胎粪吸入综合征患儿的流行病学、病因发病机制、诊断、管理和预后的最新概述。

https://cdn.ncbi.nlm.nih.gov/pmc/blobs/050b/8002729/9de90e400f65/children-08-00230-g002.jpg
https://cdn.ncbi.nlm.nih.gov/pmc/blobs/050b/8002729/1012e4aebe42/children-08-00230-g001.jpg
https://cdn.ncbi.nlm.nih.gov/pmc/blobs/050b/8002729/9de90e400f65/children-08-00230-g002.jpg
https://cdn.ncbi.nlm.nih.gov/pmc/blobs/050b/8002729/1012e4aebe42/children-08-00230-g001.jpg
https://cdn.ncbi.nlm.nih.gov/pmc/blobs/050b/8002729/9de90e400f65/children-08-00230-g002.jpg

相似文献

1
Meconium Aspiration Syndrome: A Narrative Review.胎粪吸入综合征:一篇叙述性综述
Children (Basel). 2021 Mar 17;8(3):230. doi: 10.3390/children8030230.
2
Meconium aspiration syndrome: from pathophysiology to treatment.胎粪吸入综合征:从病理生理学到治疗
Ann Med Surg (Lond). 2024 Feb 15;86(4):2023-2031. doi: 10.1097/MS9.0000000000001835. eCollection 2024 Apr.
3
Associated Factors and Outcome of Babies Born Through Meconium Stained Amniotic Fluid.胎粪污染羊水分娩新生儿的相关因素及结局
Kathmandu Univ Med J (KUMJ). 2018;16(61):65-68.
4
Antibiotics for neonates born through meconium-stained amniotic fluid.用于通过胎粪污染羊水出生的新生儿的抗生素。
Cochrane Database Syst Rev. 2017 Jun 28;6(6):CD006183. doi: 10.1002/14651858.CD006183.pub2.
5
Neonates Born Through Meconium-stained Amniotic Fluid among Deliveries in a Tertiary Care Centre: A Descriptive Cross-sectional Study.羊水粪染新生儿在三级医疗中心分娩中的描述性横断面研究。
JNMA J Nepal Med Assoc. 2022 Dec 1;60(256):1004-1007. doi: 10.31729/jnma.7917.
6
Developing a systems approach to prevent meconium aspiration syndrome: lessons learned from multinational studies.开发一种预防胎粪吸入综合征的系统方法:多国研究的经验教训。
J Perinatol. 2008 Dec;28 Suppl 3:S30-5. doi: 10.1038/jp.2008.159.
7
The Collaborative Randomised Amnioinfusion for Meconium Project (CRAMP): 1. South Africa.胎粪协作随机羊膜腔灌注项目(CRAMP):1. 南非
Br J Obstet Gynaecol. 1998 Mar;105(3):304-8. doi: 10.1111/j.1471-0528.1998.tb10091.x.
8
Tracheal suction at birth in non-vigorous neonates born through meconium-stained amniotic fluid.羊水胎粪污染新生儿无活力时生后气管内吸引。
Cochrane Database Syst Rev. 2021 Jun 16;6(6):CD012671. doi: 10.1002/14651858.CD012671.pub2.
9
Gastric lavage for prevention of feeding problems in neonates with meconium-stained amniotic fluid: a randomised controlled trial.洗胃预防羊水胎粪污染新生儿喂养问题的随机对照试验
Paediatr Int Child Health. 2014 May;34(2):115-9. doi: 10.1179/2046905513Y.0000000103. Epub 2013 Dec 6.
10
Meconium-stained amniotic fluid and meconium aspiration syndrome: a prospective study.胎粪污染羊水与胎粪吸入综合征:一项前瞻性研究。
Ann Trop Paediatr. 2008 Sep;28(3):199-203. doi: 10.1179/146532808X335642.

引用本文的文献

1
Risk Factors and Predictors of Mechanical Ventilation in Neonates With Meconium Aspiration Syndrome: A Retrospective Study at King Salman Armed Forces Hospital, Tabuk, Saudi Arabia.胎粪吸入综合征新生儿机械通气的危险因素及预测因素:沙特阿拉伯塔布克国王萨勒曼武装部队医院的一项回顾性研究
Cureus. 2025 Jul 22;17(7):e88486. doi: 10.7759/cureus.88486. eCollection 2025 Jul.
2
Less invasive surfactant administration for meconium aspiration syndrome.用于胎粪吸入综合征的微创表面活性剂给药
BMJ Paediatr Open. 2025 May 12;9(1):e003317. doi: 10.1136/bmjpo-2025-003317.
3
Association of Meconium-Stained Amniotic Fluid and Histological Chorioamnionitis with Fetal Inflammatory Response in Preterm Deliveries.

本文引用的文献

1
The "Hub and Spoke" (HandS) ECMO for "Resuscitating" Neonates with Respiratory Life-Threatening Conditions.用于“挽救”患有危及生命的呼吸疾病新生儿的“中心与辐条式”(Hub and Spoke,HandS)体外膜肺氧合(ECMO)
Children (Basel). 2021 Jan 5;8(1):24. doi: 10.3390/children8010024.
2
Neonatal Life Support: 2020 International Consensus on Cardiopulmonary Resuscitation and Emergency Cardiovascular Care Science With Treatment Recommendations.新生儿生命支持:2020 国际心肺复苏与紧急心血管急救科学共识及治疗推荐。
Circulation. 2020 Oct 20;142(16_suppl_1):S185-S221. doi: 10.1161/CIR.0000000000000895. Epub 2020 Oct 21.
3
胎粪污染羊水及组织学绒毛膜羊膜炎与早产胎儿炎症反应的关联
Children (Basel). 2025 Apr 7;12(4):477. doi: 10.3390/children12040477.
4
Meconium aspiration syndrome and associated factors among neonates admitted at neonatal intensive care unit at Northwest Ethiopia comprehensive specialized hospitals Northwest Ethiopia 2023.埃塞俄比亚西北部2023年西北埃塞俄比亚综合专科医院新生儿重症监护病房收治新生儿的胎粪吸入综合征及相关因素
BMC Pediatr. 2025 Mar 5;25(1):167. doi: 10.1186/s12887-024-05181-4.
5
Management and Follow-Up of a Cohort of Neonates With Meconium Aspiration Syndrome Before and After the Revision of the 2015 Neonatal Resuscitation Program.2015年新生儿复苏项目修订前后胎粪吸入综合征新生儿队列的管理与随访
Cureus. 2024 Nov 2;16(11):e72894. doi: 10.7759/cureus.72894. eCollection 2024 Nov.
6
Perinatal Hypoxia and Immune System Activation in Schizophrenia Pathogenesis: Critical Considerations During COVID-19 Pandemic.围产期缺氧与精神分裂症发病机制中的免疫系统激活:COVID-19 大流行期间的关键思考。
Physiol Res. 2024 Nov 29;73(S2):S615-S639. doi: 10.33549/physiolres.935501.
7
The Care of Preterm and Term Newborns with Respiratory Conditions: A Systematic Synthesis of Evidence from Low- and Middle-Income Countries.低收入和中等收入国家呼吸疾病早产儿和足月儿的护理:证据的系统综合分析
Neonatology. 2025;122(Suppl 1):152-172. doi: 10.1159/000542482. Epub 2024 Nov 14.
8
A Comprehensive Case Report Emphasizing the Role of Caesarean Section, Antibiotic Prophylaxis, and Post-operative Care in Meconium-Stained Fetal Distress Syndrome.一份综合病例报告,强调剖宫产、抗生素预防及术后护理在胎粪污染胎儿窘迫综合征中的作用。
Cureus. 2024 Aug 4;16(8):e66123. doi: 10.7759/cureus.66123. eCollection 2024 Aug.
9
Time, cause of early neonatal death, and its predictors among neonates admitted to neonatal intensive care units at Bahir Dar City public hospitals, northwest Ethiopia: a prospective follow-up study.埃塞俄比亚西北部巴赫达尔市公立医院新生儿重症监护病房收治新生儿的早期新生儿死亡时间、原因及其预测因素:一项前瞻性随访研究
Front Pediatr. 2024 Jun 11;12:1335858. doi: 10.3389/fped.2024.1335858. eCollection 2024.
10
Clear amniotic fluid aspiration syndrome: A novel description of an old entity.羊水清晰抽吸综合征:一种对旧实体的新描述。
PLoS One. 2024 Jun 10;19(6):e0301595. doi: 10.1371/journal.pone.0301595. eCollection 2024.
Resuscitation of non-vigorous neonates born through meconium-stained amniotic fluid: post policy change impact analysis.
复苏无活力新生儿:羊水胎粪污染后政策变化影响分析。
Arch Dis Child Fetal Neonatal Ed. 2021 May;106(3):324-326. doi: 10.1136/archdischild-2020-319771. Epub 2020 Sep 22.
4
Neonatal Sepsis: A Review of Pathophysiology and Current Management Strategies.新生儿败血症:病理生理学与当前管理策略综述
Adv Neonatal Care. 2021 Feb 1;21(1):49-60. doi: 10.1097/ANC.0000000000000769.
5
Time needed to intubate and suction a manikin prior to instituting positive pressure ventilation: a simulation trial.在进行正压通气之前对人体模型进行插管和吸痰所需的时间:一项模拟试验。
Eur J Pediatr. 2021 Jan;180(1):247-252. doi: 10.1007/s00431-020-03759-5. Epub 2020 Aug 4.
6
Value of lung ultrasonography to predict weaning success in ventilated neonates.肺部超声检查对预测机械通气新生儿撤机成功的价值。
Pediatr Pulmonol. 2020 Sep;55(9):2452-2456. doi: 10.1002/ppul.24934. Epub 2020 Jul 8.
7
Outcomes of endotracheal suctioning in non-vigorous neonates born through meconium-stained amniotic fluid: a systematic review and meta-analysis.经胎粪污染羊水娩出的非活力新生儿行气管内吸引术的结局:系统评价和荟萃分析。
Arch Dis Child Fetal Neonatal Ed. 2021 Jan;106(1):31-38. doi: 10.1136/archdischild-2020-318941. Epub 2020 Jun 19.
8
Does meconium passage in term stillbirth correlate with autopsy and placental findings of hypoxia or inflammation?足月产时胎粪排出与缺氧或炎症的尸检和胎盘发现是否相关?
J Matern Fetal Neonatal Med. 2022 May;35(10):1853-1859. doi: 10.1080/14767058.2020.1770217. Epub 2020 May 27.
9
Lung ultrasound in the neonatal intensive care unit: Review of the literature and future perspectives.新生儿重症监护病房中的肺部超声:文献回顾与未来展望。
Pediatr Pulmonol. 2020 Jul;55(7):1550-1562. doi: 10.1002/ppul.24792. Epub 2020 Apr 27.
10
Extracorporeal Life Support Organization (ELSO): Guidelines for Neonatal Respiratory Failure.体外生命支持组织(ELSO):新生儿呼吸衰竭指南
ASAIO J. 2020 May;66(5):463-470. doi: 10.1097/MAT.0000000000001153.