Suppr超能文献

拳师犬肾脏发育异常的临床和组织病理学特征:一项回顾性病例系列研究(1999 - 2018年)

Clinical and Histopathological Features of Renal Maldevelopment in Boxer Dogs: A Retrospective Case Series (1999-2018).

作者信息

Cavalera Maria Alfonsa, Gernone Floriana, Uva Annamaria, D'Ippolito Paola, Roura Xavier, Zatelli Andrea

机构信息

Department of Veterinary Medicine, University of Bari, 70010 Valenzano, Italy.

Veterinary diagnostic Lab ACV Triggiano, 70019 Triggiano, Italy.

出版信息

Animals (Basel). 2021 Mar 13;11(3):810. doi: 10.3390/ani11030810.

Abstract

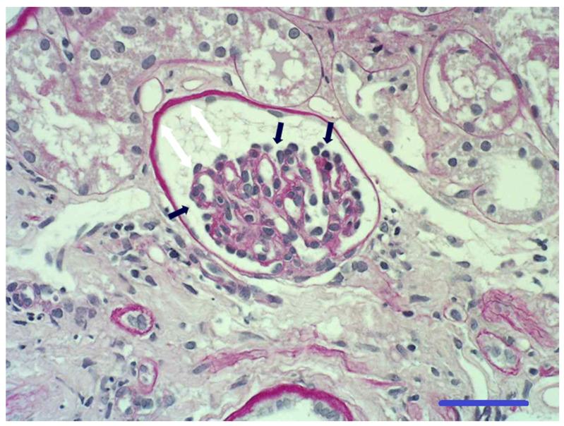
Renal maldevelopment (RM) has been proposed to replace the old and sometimes misused term "renal dysplasia" in dogs. Although renal dysplasia has been described in Boxers, hereditary transmission has only been hypothesized. This study reports clinical and renal histological findings in Boxer dogs with RM, proposing a possible mode of inheritance. Medical records of 9 female Boxer dogs, older than 5 months and with a clinical diagnosis of chronic kidney disease prior to one year of age, were retrospectively reviewed. Polyuria and polydipsia (PU/PD), decreased appetite, weight loss, lethargy and weakness were described in all affected dogs. Common laboratory findings were proteinuria, diluted urine, non-regenerative anemia, azotemia, hyperphosphatemia, hypoalbuminemia and hypercholesterolemia. Histopathology of the kidneys revealed the presence of immature glomeruli in all dogs, which is consistent with RM. In 7 related dogs, the pedigree analysis showed that a simple autosomal recessive trait may be a possible mode of inheritance. Renal maldevelopment should be suspected in young Boxer dogs with a history of PU/PD, decreased appetite, weight loss, lethargy, weakness and proteinuria. Due to its possible inheritance, an early diagnosis of RM may allow clinicians to promptly identify other potentially affected dogs among the relatives of the diagnosed case.

摘要

有人提议用肾发育不全(RM)取代犬类中旧的且有时被误用的术语“肾发育异常”。尽管拳师犬中已描述了肾发育异常,但遗传传递仅为推测。本研究报告了患有RM的拳师犬的临床和肾脏组织学发现,提出了一种可能的遗传模式。回顾性分析了9只5个月以上、1岁前临床诊断为慢性肾病的雌性拳师犬的病历。所有患病犬均出现多尿和多饮(PU/PD)、食欲减退、体重减轻、嗜睡和虚弱。常见的实验室检查结果为蛋白尿、尿液稀释、非再生性贫血、氮质血症、高磷血症、低白蛋白血症和高胆固醇血症。肾脏组织病理学检查显示所有犬均存在未成熟肾小球,这与RM一致。在7只相关犬中,系谱分析表明简单的常染色体隐性性状可能是一种可能的遗传模式。对于有PU/PD病史、食欲减退、体重减轻、嗜睡、虚弱和蛋白尿的年轻拳师犬,应怀疑肾发育不全。由于其可能的遗传性,RM的早期诊断可能使临床医生能够迅速在确诊病例的亲属中识别出其他可能受影响的犬。

https://cdn.ncbi.nlm.nih.gov/pmc/blobs/4908/8001074/57c61adb64f9/animals-11-00810-g001.jpg

文献检索

告别复杂PubMed语法,用中文像聊天一样搜索,搜遍4000万医学文献。AI智能推荐,让科研检索更轻松。

立即免费搜索

文件翻译

保留排版,准确专业,支持PDF/Word/PPT等文件格式,支持 12+语言互译。

免费翻译文档

深度研究

AI帮你快速写综述,25分钟生成高质量综述,智能提取关键信息,辅助科研写作。

立即免费体验