• 文献检索
  • 文档翻译
  • 深度研究
  • 学术资讯
  • Suppr Zotero 插件Zotero 插件
  • 邀请有礼
  • 套餐&价格
  • 历史记录
应用&插件
Suppr Zotero 插件Zotero 插件浏览器插件Mac 客户端Windows 客户端微信小程序
定价
高级版会员购买积分包购买API积分包
服务
文献检索文档翻译深度研究API 文档MCP 服务
关于我们
关于 Suppr公司介绍联系我们用户协议隐私条款
关注我们

Suppr 超能文献

核心技术专利:CN118964589B侵权必究
粤ICP备2023148730 号-1Suppr @ 2026

文献检索

告别复杂PubMed语法,用中文像聊天一样搜索,搜遍4000万医学文献。AI智能推荐,让科研检索更轻松。

立即免费搜索

文件翻译

保留排版,准确专业,支持PDF/Word/PPT等文件格式,支持 12+语言互译。

免费翻译文档

深度研究

AI帮你快速写综述,25分钟生成高质量综述,智能提取关键信息,辅助科研写作。

立即免费体验

载有利福平的黏膜黏附性原位直肠凝胶:提高生物利用度并减轻肝毒性的策略

Mucoadhesive In Situ Rectal Gel Loaded with Rifampicin: Strategy to Improve Bioavailability and Alleviate Liver Toxicity.

作者信息

Al-Joufi Fakhria, Elmowafy Mohammed, Alruwaili Nabil K, Alharbi Khalid S, Shalaby Khaled, Alsharari Shakir D, Ali Hazim M

机构信息

Department of Pharmacology, College of Pharmacy, Jouf University, Sakaka P.O. Box 2014, Saudi Arabia.

Department of Pharmaceutics, College of Pharmacy, Jouf University, Sakaka P.O. Box 2014, Saudi Arabia.

出版信息

Pharmaceutics. 2021 Mar 5;13(3):336. doi: 10.3390/pharmaceutics13030336.

DOI:10.3390/pharmaceutics13030336
PMID:33807729
原文链接:https://pmc.ncbi.nlm.nih.gov/articles/PMC8001001/
Abstract

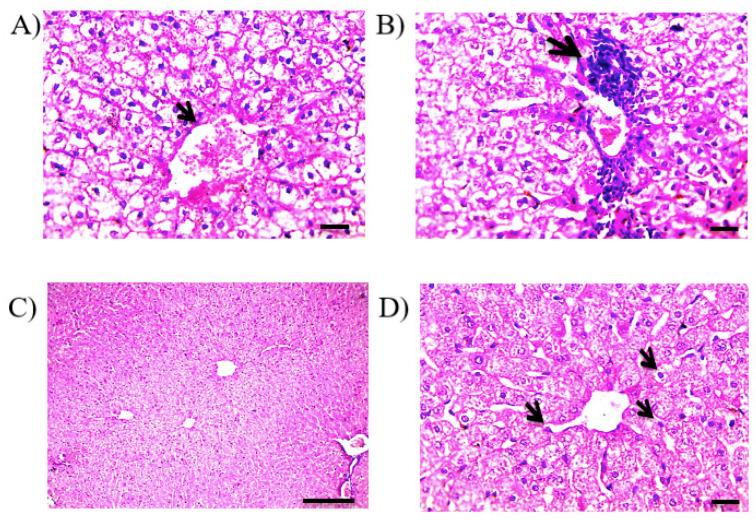
Although it is a front-line in tuberculosis treatment, rifampicin (RF) exhibits poor oral bioavailability and hepatotoxicity. Rectal mucoadhesive and in situ rectal gels were developed to overcome drug drawbacks. A RF/polyethylene glycol 6000 co-precipitate was first prepared in different ratios. Based on the drug solubility, the selected ratio was investigated for drug/polymer interaction and then incorporated into in situ rectal gels using Pluronic F127 (15%) and Pluronic F68 (10%) as a gel base and mucoadhesive polymers (HPMC, sodium alginate and chitosan). The formulations were assessed for gelation temperature and gel strength. The selected formulation was investigated for in vivo assessments. The results showed that a 1:1 drug/polymer ratio exhibited satisfying solubility with the recorded drug/polymer interaction. Depending on their concentrations, adding mucoadhesive polymers shifted the gelation temperature to lower temperatures and improved the gel strength. The selected formulation (F4) did not exhibit any anal leakage or marked rectal irritation. Using a validated chromatographic analytical method, F4 exhibited higher drug absorption with a 3.38-fold and 1.74-fold higher bioavailability when compared to oral drug suspension and solid suppositories, respectively. Toxicity studies showed unnoticeable hepatic injury in terms of biochemical, histopathological and immunohistochemical examinations. Together, F4 showed a potential of enhanced performance and also offered lower hepatic toxicity, thus offering an encouraging therapeutic alternative.

摘要

尽管利福平(RF)是结核病治疗的一线药物,但其口服生物利用度较差且具有肝毒性。为克服这些药物缺点,研发了直肠黏膜黏附原位凝胶。首先以不同比例制备了利福平/聚乙二醇6000共沉淀物。根据药物溶解度,研究了所选比例的药物/聚合物相互作用,然后使用普朗尼克F127(15%)和普朗尼克F68(10%)作为凝胶基质和黏膜黏附聚合物(羟丙基甲基纤维素、海藻酸钠和壳聚糖)将其掺入原位直肠凝胶中。对制剂的凝胶化温度和凝胶强度进行了评估。对所选制剂进行了体内评估。结果表明,药物/聚合物比例为1:1时具有令人满意的溶解度,并记录了药物/聚合物相互作用。根据其浓度,添加黏膜黏附聚合物可将凝胶化温度降低,并提高凝胶强度。所选制剂(F4)未出现任何肛门渗漏或明显的直肠刺激。使用经过验证的色谱分析方法,与口服药物混悬液和固体栓剂相比,F4的药物吸收更高,生物利用度分别高3.38倍和1.74倍。毒性研究表明,在生化、组织病理学和免疫组织化学检查方面,肝损伤不明显。总之,F4显示出增强性能的潜力,并且肝毒性较低,因此提供了一种令人鼓舞的治疗选择。

https://cdn.ncbi.nlm.nih.gov/pmc/blobs/b8ad/8001001/8f2935e3bd56/pharmaceutics-13-00336-g009.jpg
https://cdn.ncbi.nlm.nih.gov/pmc/blobs/b8ad/8001001/85c95aea43e3/pharmaceutics-13-00336-g001.jpg
https://cdn.ncbi.nlm.nih.gov/pmc/blobs/b8ad/8001001/c42874c51fd2/pharmaceutics-13-00336-g002.jpg
https://cdn.ncbi.nlm.nih.gov/pmc/blobs/b8ad/8001001/2b08e75b6533/pharmaceutics-13-00336-g003.jpg
https://cdn.ncbi.nlm.nih.gov/pmc/blobs/b8ad/8001001/c074e076e301/pharmaceutics-13-00336-g004.jpg
https://cdn.ncbi.nlm.nih.gov/pmc/blobs/b8ad/8001001/4f01cafab6ae/pharmaceutics-13-00336-g005.jpg
https://cdn.ncbi.nlm.nih.gov/pmc/blobs/b8ad/8001001/379cf9562b44/pharmaceutics-13-00336-g006.jpg
https://cdn.ncbi.nlm.nih.gov/pmc/blobs/b8ad/8001001/c47755305243/pharmaceutics-13-00336-g007.jpg
https://cdn.ncbi.nlm.nih.gov/pmc/blobs/b8ad/8001001/c531a2b7dc08/pharmaceutics-13-00336-g008.jpg
https://cdn.ncbi.nlm.nih.gov/pmc/blobs/b8ad/8001001/8f2935e3bd56/pharmaceutics-13-00336-g009.jpg
https://cdn.ncbi.nlm.nih.gov/pmc/blobs/b8ad/8001001/85c95aea43e3/pharmaceutics-13-00336-g001.jpg
https://cdn.ncbi.nlm.nih.gov/pmc/blobs/b8ad/8001001/c42874c51fd2/pharmaceutics-13-00336-g002.jpg
https://cdn.ncbi.nlm.nih.gov/pmc/blobs/b8ad/8001001/2b08e75b6533/pharmaceutics-13-00336-g003.jpg
https://cdn.ncbi.nlm.nih.gov/pmc/blobs/b8ad/8001001/c074e076e301/pharmaceutics-13-00336-g004.jpg
https://cdn.ncbi.nlm.nih.gov/pmc/blobs/b8ad/8001001/4f01cafab6ae/pharmaceutics-13-00336-g005.jpg
https://cdn.ncbi.nlm.nih.gov/pmc/blobs/b8ad/8001001/379cf9562b44/pharmaceutics-13-00336-g006.jpg
https://cdn.ncbi.nlm.nih.gov/pmc/blobs/b8ad/8001001/c47755305243/pharmaceutics-13-00336-g007.jpg
https://cdn.ncbi.nlm.nih.gov/pmc/blobs/b8ad/8001001/c531a2b7dc08/pharmaceutics-13-00336-g008.jpg
https://cdn.ncbi.nlm.nih.gov/pmc/blobs/b8ad/8001001/8f2935e3bd56/pharmaceutics-13-00336-g009.jpg

相似文献

1
Mucoadhesive In Situ Rectal Gel Loaded with Rifampicin: Strategy to Improve Bioavailability and Alleviate Liver Toxicity.载有利福平的黏膜黏附性原位直肠凝胶:提高生物利用度并减轻肝毒性的策略
Pharmaceutics. 2021 Mar 5;13(3):336. doi: 10.3390/pharmaceutics13030336.
2
Thermosensitive and mucoadhesive in situ gel based on poloxamer as new carrier for rectal administration of nimesulide.基于泊洛沙姆的热敏型和黏膜黏附型原位凝胶作为尼美舒利直肠给药的新载体。
Int J Pharm. 2012 Jul 1;430(1-2):114-9. doi: 10.1016/j.ijpharm.2012.03.054. Epub 2012 Apr 5.
3
Increased bioavailability of propranolol in rats by retaining thermally gelling liquid suppositories in the rectum.通过在大鼠直肠中保留热凝胶液体栓剂提高普萘洛尔的生物利用度。
J Control Release. 1999 May 20;59(2):163-72. doi: 10.1016/s0168-3659(98)00189-8.
4
Tolmetin sodium-loaded thermosensitive mucoadhesive liquid suppositories for rectal delivery; strategy to overcome oral delivery drawbacks.载有痛灭定钠的热敏型粘膜粘附性直肠用液体栓剂;克服口服给药缺陷的策略。
Drug Dev Ind Pharm. 2019 Feb;45(2):252-264. doi: 10.1080/03639045.2018.1534858. Epub 2018 Oct 31.
5
Development of thermosensitive and mucoadhesive gels of cabotegravir for enhanced permeation and retention profiles in vaginal tissue: A proof of concept study.卡泊三醇热敏型和黏膜黏附型凝胶的研制:增强阴道组织中的渗透和滞留特性:概念验证研究。
Int J Pharm. 2021 Nov 20;609:121182. doi: 10.1016/j.ijpharm.2021.121182. Epub 2021 Oct 12.
6
Mucoadhesive in situ forming gel for oral mucositis pain control.用于口腔黏膜炎疼痛控制的黏膜黏附型原位形成凝胶。
Int J Pharm. 2020 Apr 30;580:119238. doi: 10.1016/j.ijpharm.2020.119238. Epub 2020 Mar 16.
7
Development of a Cyclodextrin-Based Mucoadhesive-Thermosensitive In Situ Gel for Clonazepam Intranasal Delivery.用于氯硝西泮鼻腔给药的基于环糊精的粘膜粘附热敏原位凝胶的研制
Pharmaceutics. 2021 Jun 26;13(7):969. doi: 10.3390/pharmaceutics13070969.
8
Thermoreversible nasal in situ gel of venlafaxine hydrochloride: formulation, characterization, and pharmacodynamic evaluation.盐酸文拉法辛鼻用温敏原位凝胶的制剂、表征及药效学评价。
AAPS PharmSciTech. 2013 Mar;14(1):101-10. doi: 10.1208/s12249-012-9893-1. Epub 2012 Dec 11.
9
Thermosensitive In Situ Gel Based on Solid Dispersion for Rectal Delivery of Ibuprofen.基于固体分散体的直肠用温敏原位凝胶制剂.
AAPS PharmSciTech. 2018 Jan;19(1):338-347. doi: 10.1208/s12249-017-0839-5. Epub 2017 Jul 21.
10
In situ gelling systems based on Pluronic F127/Pluronic F68 formulations for ocular drug delivery.基于泊洛沙姆F127/泊洛沙姆F68配方的用于眼部给药的原位凝胶系统。
Int J Pharm. 2016 Apr 11;502(1-2):70-9. doi: 10.1016/j.ijpharm.2016.02.027. Epub 2016 Feb 17.

引用本文的文献

1
Development and optimization of an injectable in-situ gel system for sustained release of anti-tuberculosis drugs.用于抗结核药物持续释放的可注射原位凝胶系统的研发与优化
Sci Rep. 2025 Jul 1;15(1):21383. doi: 10.1038/s41598-025-05644-3.
2
Rectal Administration of Rifampicin and Isoniazid Suppositories: An Alternative Approach for the Treatment of Tuberculosis in a Patient with Multiple Comorbidities.利福平与异烟肼栓剂直肠给药:治疗合并多种疾病患者结核病的一种替代方法
Life (Basel). 2025 May 12;15(5):773. doi: 10.3390/life15050773.
3
Gels as Promising Delivery Systems: Physicochemical Property Characterization and Recent Applications.

本文引用的文献

1
Soy isoflavone-loaded alginate microspheres in thermosensitive gel base: attempts to improve wound-healing efficacy.载有大豆异黄酮的海藻酸钠微球在温敏凝胶基质中的应用:改善创伤愈合效果的尝试。
J Pharm Pharmacol. 2019 May;71(5):774-787. doi: 10.1111/jphp.13066. Epub 2019 Jan 14.
2
Multifunctional carbamazepine loaded nanostructured lipid carrier (NLC) formulation.载有多功能卡马西平的纳米结构化脂质载体(NLC)制剂。
Int J Pharm. 2018 Oct 25;550(1-2):359-371. doi: 10.1016/j.ijpharm.2018.08.062. Epub 2018 Sep 1.
3
Electrospun amorphous solid dispersions of poorly water-soluble drugs: A review.
凝胶作为有前景的给药系统:物理化学性质表征及近期应用
Pharmaceutics. 2025 Feb 14;17(2):249. doi: 10.3390/pharmaceutics17020249.
4
A rifamycin SV in situ gelling formulation for the treatment of pouchitis.一种用于治疗袋炎的利福霉素SV原位凝胶制剂。
Drug Deliv Transl Res. 2025 Feb 13. doi: 10.1007/s13346-025-01808-w.
5
pH-Sensitive In Situ Gel of Mirtazapine Invasomes for Rectal Drug Delivery: Protruded Bioavailability and Anti-Depressant Efficacy.用于直肠给药的米氮平泡囊pH敏感原位凝胶:突出的生物利用度和抗抑郁疗效。
Pharmaceuticals (Basel). 2024 Jul 24;17(8):978. doi: 10.3390/ph17080978.
6
State of the Art on Developments of (Bio)Sensors and Analytical Methods for Rifamycin Antibiotics Determination.利福霉素类抗生素检测用(生物)传感器和分析方法的最新进展。
Sensors (Basel). 2023 Jan 14;23(2):976. doi: 10.3390/s23020976.
7
Polymeric ethosomal gel loaded with nimodipine: Optimisation, pharmacokinetic and histopathological analysis.载有尼莫地平的聚合物乙醇脂质体凝胶:优化、药代动力学和组织病理学分析。
Saudi Pharm J. 2022 Nov;30(11):1603-1611. doi: 10.1016/j.jsps.2022.09.003. Epub 2022 Sep 9.
8
Glycerosomal thermosensitive in situ gel of duloxetine HCl as a novel nanoplatform for rectal delivery: in vitro optimization and in vivo appraisal.盐酸度洛西汀甘油体温敏原位凝胶作为一种新型直肠给药纳米平台:体外优化和体内评价。
Drug Deliv Transl Res. 2022 Dec;12(12):3083-3103. doi: 10.1007/s13346-022-01172-z. Epub 2022 May 27.
9
Ethosomal gel for rectal transmucosal delivery of domperidone: design of experiment, and evaluation.依托咪酯脂质体凝胶经直肠黏膜给药系统的设计、实验与评价
Drug Deliv. 2022 Dec;29(1):1477-1491. doi: 10.1080/10717544.2022.2072542.
静电纺丝技术制备的难溶性药物无定形固体分散体:综述
J Control Release. 2018 Dec 28;292:91-110. doi: 10.1016/j.jconrel.2018.08.016. Epub 2018 Aug 14.
4
Rifampicin Lipid-Polymer hybrid nanoparticles (LIPOMER) for enhanced Peyer's patch uptake.用于增强派尔集合淋巴结摄取的利福平脂质-聚合物杂化纳米颗粒(LIPOMER)
Int J Pharm. 2017 Oct 30;532(1):612-622. doi: 10.1016/j.ijpharm.2017.09.040. Epub 2017 Sep 19.
5
Thermosensitive In Situ Gel Based on Solid Dispersion for Rectal Delivery of Ibuprofen.基于固体分散体的直肠用温敏原位凝胶制剂.
AAPS PharmSciTech. 2018 Jan;19(1):338-347. doi: 10.1208/s12249-017-0839-5. Epub 2017 Jul 21.
6
Rifampicin-Induced Hepatic Lipid Accumulation: Association with Up-Regulation of Peroxisome Proliferator-Activated Receptor γ in Mouse Liver.利福平诱导的肝脏脂质蓄积:与小鼠肝脏中过氧化物酶体增殖物激活受体γ的上调相关
PLoS One. 2016 Nov 2;11(11):e0165787. doi: 10.1371/journal.pone.0165787. eCollection 2016.
7
Biphasic Effect of Rifampicin on Bilirubin- A Case Report.利福平对胆红素的双相效应——病例报告
J Clin Diagn Res. 2016 Apr;10(4):OD14-5. doi: 10.7860/JCDR/2016/18040.7614. Epub 2016 Apr 1.
8
Phase behavior, intermolecular interaction, and solid state characterization of amorphous solid dispersion of Febuxostat.非布司他无定形固体分散体的相行为、分子间相互作用及固态表征
Pharm Dev Technol. 2017 Feb;22(1):45-57. doi: 10.3109/10837450.2016.1138130. Epub 2016 Feb 5.
9
Potential of aerosolized rifampicin lipospheres for modulation of pulmonary pharmacokinetics and bio-distribution.雾化利福平脂质体对肺部药代动力学和生物分布的调节潜力。
Int J Pharm. 2015 Nov 30;495(2):627-32. doi: 10.1016/j.ijpharm.2015.09.036. Epub 2015 Sep 21.
10
Novel dual-reverse thermosensitive solid lipid nanoparticle-loaded hydrogel for rectal administration of flurbiprofen with improved bioavailability and reduced initial burst effect.新型双相热敏脂质纳米粒载药凝胶用于氟比洛芬直肠给药,可提高生物利用度并降低初始突释效应。
Eur J Pharm Biopharm. 2015 Aug;94:64-72. doi: 10.1016/j.ejpb.2015.04.019. Epub 2015 May 12.