• 文献检索
  • 文档翻译
  • 深度研究
  • 学术资讯
  • Suppr Zotero 插件Zotero 插件
  • 邀请有礼
  • 套餐&价格
  • 历史记录
应用&插件
Suppr Zotero 插件Zotero 插件浏览器插件Mac 客户端Windows 客户端微信小程序
定价
高级版会员购买积分包购买API积分包
服务
文献检索文档翻译深度研究API 文档MCP 服务
关于我们
关于 Suppr公司介绍联系我们用户协议隐私条款
关注我们

Suppr 超能文献

核心技术专利:CN118964589B侵权必究
粤ICP备2023148730 号-1Suppr @ 2026

文献检索

告别复杂PubMed语法,用中文像聊天一样搜索,搜遍4000万医学文献。AI智能推荐,让科研检索更轻松。

立即免费搜索

文件翻译

保留排版,准确专业,支持PDF/Word/PPT等文件格式,支持 12+语言互译。

免费翻译文档

深度研究

AI帮你快速写综述,25分钟生成高质量综述,智能提取关键信息,辅助科研写作。

立即免费体验

一种采用卷积神经网络对牙齿有无进行影像学检测的验证方法。

A Validation Employing Convolutional Neural Network for the Radiographic Detection of Absence or Presence of Teeth.

作者信息

Prados-Privado María, García Villalón Javier, Blázquez Torres Antonio, Martínez-Martínez Carlos Hugo, Ivorra Carlos

机构信息

Asisa Dental, Research Department, C/José Abascal, 32, 28003 Madrid, Spain.

Department of Signal Theory and Communications, Higher Polytechnic School, Universidad de Alcalá de Henares, Ctra. Madrid-Barcelona, Km. 33,600, 28805 Alcala de Henares, Spain.

出版信息

J Clin Med. 2021 Mar 12;10(6):1186. doi: 10.3390/jcm10061186.

DOI:10.3390/jcm10061186
PMID:33809045
原文链接:https://pmc.ncbi.nlm.nih.gov/articles/PMC8001963/
Abstract

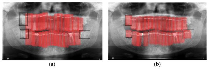
Dental radiography plays an important role in clinical diagnosis, treatment and making decisions. In recent years, efforts have been made on developing techniques to detect objects in images. The aim of this study was to detect the absence or presence of teeth using an effective convolutional neural network, which reduces calculation times and has success rates greater than 95%. A total of 8000 dental panoramic images were collected. Each image and each tooth was categorized, independently and manually, by two experts with more than three years of experience in general dentistry. The neural network used consists of two main layers: object detection and classification, which is the support of the previous one. A Matterport Mask RCNN was employed in the object detection. A ResNet (Atrous Convolution) was employed in the classification layer. The neural model achieved a total loss of 0.76% (accuracy of 99.24%). The architecture used in the present study returned an almost perfect accuracy in detecting teeth on images from different devices and different pathologies and ages.

摘要

口腔放射成像在临床诊断、治疗及决策过程中发挥着重要作用。近年来,人们致力于开发图像中物体检测技术。本研究的目的是使用一种有效的卷积神经网络来检测牙齿的有无,该网络可减少计算时间且成功率大于95%。共收集了8000张口腔全景图像。由两位具有三年以上普通牙科经验的专家对每张图像及每颗牙齿进行独立且手动的分类。所使用的神经网络由两个主要层组成:目标检测层和分类层,分类层以前者为支撑。目标检测采用了Matterport Mask RCNN。分类层采用了ResNet(空洞卷积)。该神经模型的总损失率为0.76%(准确率为99.24%)。本研究中使用的架构在检测来自不同设备、不同病理情况及不同年龄的图像中的牙齿时,返回了几乎完美的准确率。

https://cdn.ncbi.nlm.nih.gov/pmc/blobs/2591/8001963/fc504232b303/jcm-10-01186-g010.jpg
https://cdn.ncbi.nlm.nih.gov/pmc/blobs/2591/8001963/6aa6245fe758/jcm-10-01186-g001.jpg
https://cdn.ncbi.nlm.nih.gov/pmc/blobs/2591/8001963/750aa0bb6846/jcm-10-01186-g002.jpg
https://cdn.ncbi.nlm.nih.gov/pmc/blobs/2591/8001963/a16349c4432d/jcm-10-01186-g003.jpg
https://cdn.ncbi.nlm.nih.gov/pmc/blobs/2591/8001963/59f59e3912c4/jcm-10-01186-g004.jpg
https://cdn.ncbi.nlm.nih.gov/pmc/blobs/2591/8001963/593a27eabe66/jcm-10-01186-g005.jpg
https://cdn.ncbi.nlm.nih.gov/pmc/blobs/2591/8001963/e6957f5ad55a/jcm-10-01186-g006.jpg
https://cdn.ncbi.nlm.nih.gov/pmc/blobs/2591/8001963/0dd7d919c78b/jcm-10-01186-g007.jpg
https://cdn.ncbi.nlm.nih.gov/pmc/blobs/2591/8001963/2dac2793f1c6/jcm-10-01186-g008.jpg
https://cdn.ncbi.nlm.nih.gov/pmc/blobs/2591/8001963/8dbd9e4fad2a/jcm-10-01186-g009.jpg
https://cdn.ncbi.nlm.nih.gov/pmc/blobs/2591/8001963/fc504232b303/jcm-10-01186-g010.jpg
https://cdn.ncbi.nlm.nih.gov/pmc/blobs/2591/8001963/6aa6245fe758/jcm-10-01186-g001.jpg
https://cdn.ncbi.nlm.nih.gov/pmc/blobs/2591/8001963/750aa0bb6846/jcm-10-01186-g002.jpg
https://cdn.ncbi.nlm.nih.gov/pmc/blobs/2591/8001963/a16349c4432d/jcm-10-01186-g003.jpg
https://cdn.ncbi.nlm.nih.gov/pmc/blobs/2591/8001963/59f59e3912c4/jcm-10-01186-g004.jpg
https://cdn.ncbi.nlm.nih.gov/pmc/blobs/2591/8001963/593a27eabe66/jcm-10-01186-g005.jpg
https://cdn.ncbi.nlm.nih.gov/pmc/blobs/2591/8001963/e6957f5ad55a/jcm-10-01186-g006.jpg
https://cdn.ncbi.nlm.nih.gov/pmc/blobs/2591/8001963/0dd7d919c78b/jcm-10-01186-g007.jpg
https://cdn.ncbi.nlm.nih.gov/pmc/blobs/2591/8001963/2dac2793f1c6/jcm-10-01186-g008.jpg
https://cdn.ncbi.nlm.nih.gov/pmc/blobs/2591/8001963/8dbd9e4fad2a/jcm-10-01186-g009.jpg
https://cdn.ncbi.nlm.nih.gov/pmc/blobs/2591/8001963/fc504232b303/jcm-10-01186-g010.jpg

相似文献

1
A Validation Employing Convolutional Neural Network for the Radiographic Detection of Absence or Presence of Teeth.一种采用卷积神经网络对牙齿有无进行影像学检测的验证方法。
J Clin Med. 2021 Mar 12;10(6):1186. doi: 10.3390/jcm10061186.
2
A Convolutional Neural Network for Automatic Tooth Numbering in Panoramic Images.卷积神经网络在全景图像中自动牙齿编号。
Biomed Res Int. 2021 Dec 14;2021:3625386. doi: 10.1155/2021/3625386. eCollection 2021.
3
Tooth detection and classification on panoramic radiographs for automatic dental chart filing: improved classification by multi-sized input data.全景 X 光片上的牙齿检测和分类,用于自动牙科图表归档:通过多尺寸输入数据提高分类准确性。
Oral Radiol. 2021 Jan;37(1):13-19. doi: 10.1007/s11282-019-00418-w. Epub 2020 Jan 1.
4
Classification of teeth in cone-beam CT using deep convolutional neural network.使用深度卷积神经网络对锥形束CT中的牙齿进行分类
Comput Biol Med. 2017 Jan 1;80:24-29. doi: 10.1016/j.compbiomed.2016.11.003. Epub 2016 Nov 12.
5
Tooth-Related Disease Detection System Based on Panoramic Images and Optimization Through Automation: Development Study.基于全景图像的牙齿相关疾病检测系统及自动化优化:开发研究
JMIR Med Inform. 2022 Oct 31;10(10):e38640. doi: 10.2196/38640.
6
Automatic detection of periodontal compromised teeth in digital panoramic radiographs using faster regional convolutional neural networks.使用更快的区域卷积神经网络自动检测数字化全景X线片中的牙周受损牙齿。
Imaging Sci Dent. 2020 Jun;50(2):169-174. doi: 10.5624/isd.2020.50.2.169. Epub 2020 Jun 18.
7
Detection of Dental Diseases through X-Ray Images Using Neural Search Architecture Network.基于神经搜索架构网络的 X 射线图像牙齿疾病检测。
Comput Intell Neurosci. 2022 Apr 30;2022:3500552. doi: 10.1155/2022/3500552. eCollection 2022.
8
Application of a fully deep convolutional neural network to the automation of tooth segmentation on panoramic radiographs.应用完全卷积神经网络实现全景片上牙齿分割的自动化。
Oral Surg Oral Med Oral Pathol Oral Radiol. 2020 Jun;129(6):635-642. doi: 10.1016/j.oooo.2019.11.007. Epub 2019 Nov 15.
9
Individual tooth detection and identification from dental panoramic X-ray images via point-wise localization and distance regularization.基于逐点定位和距离正则化的口腔全景 X 射线图像中单个牙齿的检测与识别。
Artif Intell Med. 2021 Jan;111:101996. doi: 10.1016/j.artmed.2020.101996. Epub 2020 Nov 21.
10
An effective teeth recognition method using label tree with cascade network structure.基于级联网络结构标签树的有效牙齿识别方法。
Comput Med Imaging Graph. 2018 Sep;68:61-70. doi: 10.1016/j.compmedimag.2018.07.001. Epub 2018 Jul 17.

引用本文的文献

1
Automated Workflow for Processing and Classifying Dental Radiographs: A Hands-On Approach.用于处理和分类牙科X光片的自动化工作流程:实践方法
Cureus. 2025 May 26;17(5):e84816. doi: 10.7759/cureus.84816. eCollection 2025 May.
2
Mapping the Use of Artificial Intelligence-Based Image Analysis for Clinical Decision-Making in Dentistry: A Scoping Review.基于人工智能的图像分析在牙科临床决策中的应用研究:范围综述。
Clin Exp Dent Res. 2024 Dec;10(6):e70035. doi: 10.1002/cre2.70035.
3
Deep learning for tooth identification and numbering on dental radiography: a systematic review and meta-analysis.

本文引用的文献

1
Artificial intelligence-driven novel tool for tooth detection and segmentation on panoramic radiographs.人工智能驱动的新型工具,用于全景片上的牙齿检测和分割。
Clin Oral Investig. 2021 Apr;25(4):2257-2267. doi: 10.1007/s00784-020-03544-6. Epub 2020 Aug 26.
2
Artificial intelligence and the future of global health.人工智能与全球健康的未来。
Lancet. 2020 May 16;395(10236):1579-1586. doi: 10.1016/S0140-6736(20)30226-9.
3
Tooth detection and classification on panoramic radiographs for automatic dental chart filing: improved classification by multi-sized input data.
深度学习在口腔 X 光片上的牙齿识别和编号中的应用:系统评价和荟萃分析。
Dentomaxillofac Radiol. 2024 Jan 11;53(1):5-21. doi: 10.1093/dmfr/twad001.
4
A Convolutional Neural Network for Automatic Tooth Numbering in Panoramic Images.卷积神经网络在全景图像中自动牙齿编号。
Biomed Res Int. 2021 Dec 14;2021:3625386. doi: 10.1155/2021/3625386. eCollection 2021.
全景 X 光片上的牙齿检测和分类,用于自动牙科图表归档:通过多尺寸输入数据提高分类准确性。
Oral Radiol. 2021 Jan;37(1):13-19. doi: 10.1007/s11282-019-00418-w. Epub 2020 Jan 1.
4
[A review of deep learning methods for the detection and classification of pulmonary nodules].[深度学习方法在肺结节检测与分类中的综述]
Sheng Wu Yi Xue Gong Cheng Xue Za Zhi. 2019 Dec 25;36(6):1060-1068. doi: 10.7507/1001-5515.201903027.
5
Deep learning for caries lesion detection in near-infrared light transillumination images: A pilot study.深度学习在近红外光透射图像中龋病病变检测的应用:一项初步研究。
J Dent. 2020 Jan;92:103260. doi: 10.1016/j.jdent.2019.103260. Epub 2019 Dec 9.
6
Artificial intelligence in healthcare: An essential guide for health leaders.医疗保健领域的人工智能:健康领域领导者必备指南。
Healthc Manage Forum. 2020 Jan;33(1):10-18. doi: 10.1177/0840470419873123. Epub 2019 Sep 24.
7
A new method for automatic counting of ovarian follicles on whole slide histological images based on convolutional neural network.基于卷积神经网络的全幻灯片组织学图像中卵巢滤泡自动计数的新方法。
Comput Biol Med. 2019 Sep;112:103350. doi: 10.1016/j.compbiomed.2019.103350. Epub 2019 Jul 9.
8
A deep learning approach to automatic teeth detection and numbering based on object detection in dental periapical films.基于口腔根尖片目标检测的深度学习自动牙齿检测与编号方法。
Sci Rep. 2019 Mar 7;9(1):3840. doi: 10.1038/s41598-019-40414-y.
9
Tooth detection and numbering in panoramic radiographs using convolutional neural networks.使用卷积神经网络进行全景片的牙齿检测和编号。
Dentomaxillofac Radiol. 2019 May;48(4):20180051. doi: 10.1259/dmfr.20180051. Epub 2019 Mar 5.
10
Artificial intelligence system of faster region-based convolutional neural network surpassing senior radiologists in evaluation of metastatic lymph nodes of rectal cancer.基于更快区域卷积神经网络的人工智能系统在评估直肠癌转移性淋巴结方面超越资深放射科医生。
Chin Med J (Engl). 2019 Feb;132(4):379-387. doi: 10.1097/CM9.0000000000000095.