Suppr超能文献

慢性嗜酸性粒细胞性肺炎:一例报告

Chronic Eosinophilic Pneumonia: a Case Report.

作者信息

Bemanian Mohammad Hasan, Nabavi Mohammad, Arshi Saba, Fallahpor Morteza, Baniadam Leila, Zaremehrjardi Fatemeh, Salari Fereshteh, Pahlavan Rojin

机构信息

Department of Allergy and Clinical Immunology, Rasool-E-Akram Hospital, Iran University of Medical Sciences, Tehran, Iran.

出版信息

Tanaffos. 2020 Jul;19(3):262-266.

Abstract

UNLABELLED

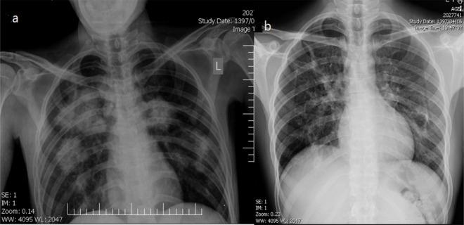
Chronic eosinophilic pneumonia (CEP) is a rare idiopathic interstitial lung disease, predominantly observed in females. Eosinophilia is present in most cases, and alveolar eosinophilia is a diagnostic criterion in more than 40% of bronchoalveolar lavage (BAL) samples. The current study reported a 27-year-old male patient, non-smoker, with a history of uncontrolled asthma, presented to the emergency room with a complaint of cough, fever, and moderate dyspnea. A 30% eosinophilia was reported in his peripheral blood sample. A chest-X ray examination showed an upper and middle lobe consolidation, especially in the left lung. Broad-spectrum antibiotics were then started with a presumptive diagnosis of pneumonia, but no improvements were evident. The chest computed tomography scan showed air space opacities with septal thickening and predominant involvement of upper and middle lobes. Flexible bronchoscopy was performed, and the BAL sample analysis showed eosinophil infiltration, while negative culture. No parasites were identified. Transbronchial biopsies demonstrated eosinophil accumulation in alveoli and interstitium.

CONCLUSION

Early recognition, diagnosis, and prompt treatment with corticosteroids are the main therapeutic approaches to CEP.

摘要

未标注

慢性嗜酸性粒细胞性肺炎(CEP)是一种罕见的特发性间质性肺疾病,主要见于女性。大多数病例存在嗜酸性粒细胞增多,且在超过40%的支气管肺泡灌洗(BAL)样本中,肺泡嗜酸性粒细胞增多是一项诊断标准。本研究报告了一名27岁男性患者,不吸烟,有哮喘控制不佳病史,因咳嗽、发热和中度呼吸困难主诉就诊于急诊室。其外周血样本报告有30%的嗜酸性粒细胞增多。胸部X线检查显示上叶和中叶实变,尤其是左肺。随后开始使用广谱抗生素,初步诊断为肺炎,但未见明显改善。胸部计算机断层扫描显示气腔混浊伴间隔增厚,以上叶和中叶受累为主。进行了可弯曲支气管镜检查,BAL样本分析显示嗜酸性粒细胞浸润,而培养结果为阴性。未发现寄生虫。经支气管活检显示肺泡和间质中有嗜酸性粒细胞聚集。

结论

早期识别、诊断并及时使用糖皮质激素治疗是CEP的主要治疗方法。

https://cdn.ncbi.nlm.nih.gov/pmc/blobs/aca5/8008414/2a74b54b8592/Tanaffos-19-262-g001.jpg

文献检索

告别复杂PubMed语法,用中文像聊天一样搜索,搜遍4000万医学文献。AI智能推荐,让科研检索更轻松。

立即免费搜索

文件翻译

保留排版,准确专业,支持PDF/Word/PPT等文件格式,支持 12+语言互译。

免费翻译文档

深度研究

AI帮你快速写综述,25分钟生成高质量综述,智能提取关键信息,辅助科研写作。

立即免费体验