Suppr超能文献

CRTC1-MAML2 融合是黏液表皮样癌的主要致癌驱动因素。

The CRTC1-MAML2 fusion is the major oncogenic driver in mucoepidermoid carcinoma.

机构信息

Department of Molecular Genetics and Microbiology.

UF Health Cancer Center, and.

出版信息

JCI Insight. 2021 Apr 8;6(7):139497. doi: 10.1172/jci.insight.139497.

Abstract

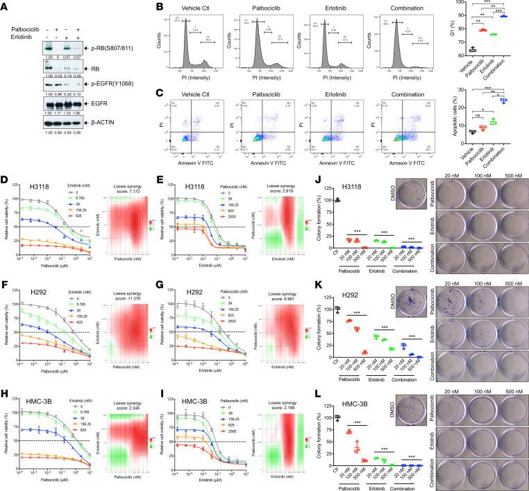
No effective systemic treatment is available for patients with unresectable, recurrent, or metastatic mucoepidermoid carcinoma (MEC), the most common salivary gland malignancy. MEC is frequently associated with a t(11;19)(q14-21;p12-13) translocation that creates a CRTC1-MAML2 fusion gene. The CRTC1-MAML2 fusion exhibited transforming activity in vitro; however, whether it serves as an oncogenic driver for MEC establishment and maintenance in vivo remains unknown. Here, we show that doxycycline-induced CRTC1-MAML2 knockdown blocked the growth of established MEC xenografts, validating CRTC1-MAML2 as a therapeutic target. We further generated a conditional transgenic mouse model and observed that Cre-induced CRTC1-MAML2 expression caused 100% penetrant formation of salivary gland tumors resembling histological and molecular characteristics of human MEC. Molecular analysis of MEC tumors revealed altered p16-CDK4/6-RB pathway activity as a potential cooperating event in promoting CRTC1-MAML2-induced tumorigenesis. Cotargeting of aberrant p16-CDK4/6-RB signaling and CRTC1-MAML2 fusion-activated AREG/EGFR signaling with the respective CDK4/6 inhibitor Palbociclib and EGFR inhibitor Erlotinib produced enhanced antitumor responses in vitro and in vivo. Collectively, this study provides direct evidence for CRTC1-MAML2 as a key driver for MEC development and maintenance and identifies a potentially novel combination therapy with FDA-approved EGFR and CDK4/6 inhibitors as a potential viable strategy for patients with MEC.

摘要

对于无法切除、复发或转移性黏液表皮样癌 (MEC) 患者,目前尚无有效的全身性治疗方法,MEC 是最常见的涎腺癌。MEC 常伴有 t(11;19)(q14-21;p12-13) 易位,导致 CRTC1-MAML2 融合基因的产生。CRTC1-MAML2 融合在体外具有转化活性;然而,它是否作为致癌驱动因素在体内促进 MEC 的建立和维持仍不清楚。在这里,我们表明,强力霉素诱导的 CRTC1-MAML2 敲低阻断了已建立的 MEC 异种移植物的生长,验证了 CRTC1-MAML2 作为治疗靶点。我们进一步生成了一种条件性转基因小鼠模型,并观察到 Cre 诱导的 CRTC1-MAML2 表达导致唾液腺肿瘤的 100%外显率,其组织学和分子特征类似于人类 MEC。MEC 肿瘤的分子分析显示,p16-CDK4/6-RB 通路活性改变可能是促进 CRTC1-MAML2 诱导肿瘤发生的潜在协同事件。针对异常的 p16-CDK4/6-RB 信号和 CRTC1-MAML2 融合激活的 AREG/EGFR 信号的联合靶向治疗,分别使用 CDK4/6 抑制剂 Palbociclib 和 EGFR 抑制剂 Erlotinib,在体外和体内均产生了增强的抗肿瘤反应。总之,这项研究为 CRTC1-MAML2 作为 MEC 发展和维持的关键驱动因素提供了直接证据,并确定了一种潜在的新的联合治疗方法,使用 FDA 批准的 EGFR 和 CDK4/6 抑制剂作为 MEC 患者的潜在可行策略。

https://cdn.ncbi.nlm.nih.gov/pmc/blobs/c92b/8119194/fe348ea0facc/jciinsight-6-139497-g017.jpg

文献检索

告别复杂PubMed语法,用中文像聊天一样搜索,搜遍4000万医学文献。AI智能推荐,让科研检索更轻松。

立即免费搜索

文件翻译

保留排版,准确专业,支持PDF/Word/PPT等文件格式,支持 12+语言互译。

免费翻译文档

深度研究

AI帮你快速写综述,25分钟生成高质量综述,智能提取关键信息,辅助科研写作。

立即免费体验