Suppr超能文献

伴有不可复位先天性髌骨脱位的脊椎骨骺发育不良患者的全膝关节置换术:病例报告及文献综述

Total Knee Arthroplasty in Spondyloepiphyseal Dysplasia with Irreducible Congenital Dislocation of the Patella: Case Report and Literature Review.

作者信息

Sponer Pavel, Korbel Martin, Kucera Tomas

机构信息

Department of Orthopedic Surgery, Charles University, Faculty of Medicine in Hradec Kralove, Hradec Kralove, Czech Republic.

出版信息

Ther Clin Risk Manag. 2021 Mar 30;17:275-283. doi: 10.2147/TCRM.S294876. eCollection 2021.

Abstract

BACKGROUND

Spondyloepiphyseal dysplasia is the clinical term applied to a group of rare genetic disorders with primary involvement of the vertebrae and epiphyses, predisposing the afflicted individuals toward the premature development of osteoarthritis. There are few reports concerning joint replacement therapy in these patients, particularly describing the role of total hip arthroplasty. In this report, we describe the anatomical and technical aspects of spondyloepiphyseal dysplasia that must be considered during surgical planning and performance of total knee arthroplasty.

CASE PRESENTATION

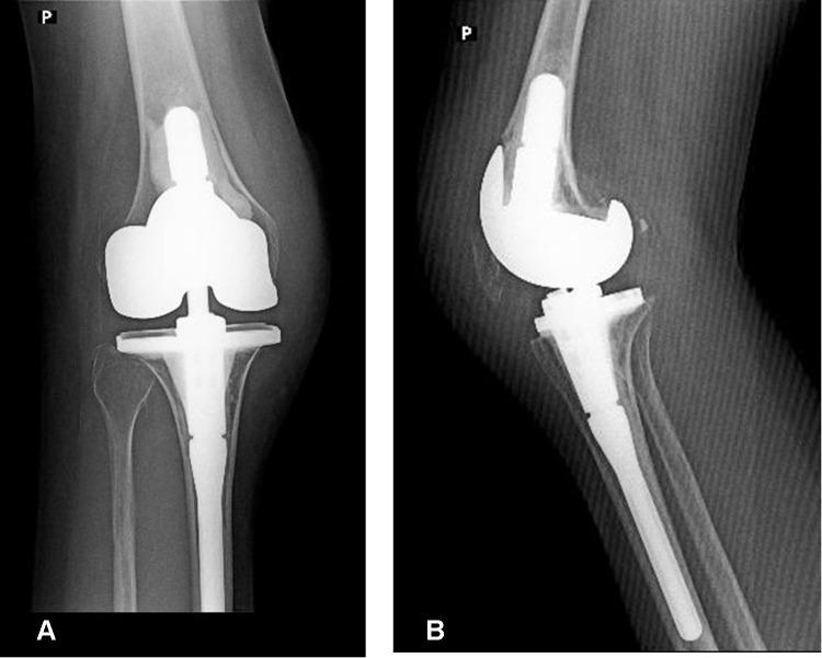
A 49-year old woman with a history of spondyloepiphyseal dysplasia suffered from severe osteoarthritis of the knee and irreducible congenital dislocation of the patella. After careful preoperative evaluations and planning, the knee joint deformity was solved by knee joint replacement with realignment of the extensor mechanism using quadricepsplasty. After 2 years of surgery, the patient showed no pain and was able to walk with the help of elbow crutches. The Hospital for Special Surgery knee score increased from preoperative 51 points to 85 points during the final follow-up. The postoperative range of motion increased to final flexion of 0-115°.

CONCLUSION

The advances made so far in the medical care for patients with skeletal dysplasia have improved their overall survival during adulthood. The case report described herein demonstrates the numerous challenges and technical aspects of a successful total knee arthroplasty in cases of spondyloepiphyseal dysplasia, highlighting the need to consider skeletal and soft tissue abnormalities of skeletal dysplasia during the planning and performance of joint replacement surgery.

摘要

背景

脊椎骨骺发育不良是一个临床术语,用于描述一组罕见的遗传性疾病,主要累及脊椎和骨骺,使患病个体易患早发性骨关节炎。关于这些患者关节置换治疗的报道很少,特别是描述全髋关节置换术的作用。在本报告中,我们描述了在全膝关节置换术的手术规划和实施过程中必须考虑的脊椎骨骺发育不良的解剖学和技术方面。

病例介绍

一名49岁患有脊椎骨骺发育不良的女性,患有严重的膝关节骨关节炎和不可复位的先天性髌骨脱位。经过仔细的术前评估和规划,通过膝关节置换术并采用股四头肌成形术重新调整伸肌机制,解决了膝关节畸形问题。术后2年,患者无疼痛,能够借助肘拐行走。在最后一次随访时,特种外科医院膝关节评分从术前的51分提高到85分。术后活动范围增加到最终屈曲0 - 115°。

结论

到目前为止,骨骼发育不良患者医疗护理方面取得的进展提高了他们成年后的总体生存率。本文所述的病例报告展示了脊椎骨骺发育不良患者成功进行全膝关节置换术的诸多挑战和技术方面,强调在关节置换手术的规划和实施过程中需要考虑骨骼发育不良的骨骼和软组织异常情况。

https://cdn.ncbi.nlm.nih.gov/pmc/blobs/895e/8020459/6605bf47dec4/TCRM-17-275-g0001.jpg

文献AI研究员

20分钟写一篇综述,助力文献阅读效率提升50倍。

立即体验

用中文搜PubMed

大模型驱动的PubMed中文搜索引擎

马上搜索

文档翻译

学术文献翻译模型,支持多种主流文档格式。

立即体验