Suppr超能文献

老年移位髋臼骨折的髋臼顶加强板治疗:59 例患者的结果。

The acetabular roof reinforcement plate for the treatment of displaced acetabular fractures in the elderly: results in 59 patients.

机构信息

Department of Trauma Surgery, Medical University of Innsbruck, Innsbruck, Austria.

Department of Orthopaedics and Traumatology, Paracelsus Medical University Salzburg, Muellner Hauptstrasse 48, 5020, Salzburg, Austria.

出版信息

Arch Orthop Trauma Surg. 2022 Aug;142(8):1835-1845. doi: 10.1007/s00402-021-03829-9. Epub 2021 Apr 11.

Abstract

INTRODUCTION

Open reduction and internal fixation is considered the gold standard of treatment for displaced acetabular fractures in younger patients. For elderly patients with osteoporotic bone quality, however, primary total hip arthroplasty (THA) with the advantage of immediate postoperative mobilization might be an option. The purpose of this study was to evaluate the clinical and radiological outcomes of surgical treatment of displaced osteoporotic acetabular fractures using the acetabular roof reinforcement plate (ARRP) combined with THA.

MATERIALS AND METHODS

Between 2009 and 2019, 84 patients were operated using the ARRP combined with THA. Inclusion criteria were displaced osteoporotic fractures of the acetabulum with or without previous hemi- or total hip arthroplasty, age above 65 years, and pre-injury ability to walk at least with use of a walking frame. Of the 84 patients, 59 could be followed up after 6 months clinically and radiographically. Forty-nine (83%) were primary fractures and 10 (17%) periprosthetic acetabular fractures.

RESULTS

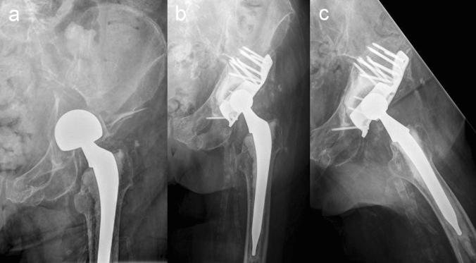
The mean age was 80.5 years (range 65-98 years). The average time from injury to surgery was 8.5 days (range 1-28). Mean time of surgery was 167 min (range 100-303 min). Immediate postoperative full weight bearing (FWB) was allowed for 51 patients (86%). At the 6-month follow-up, all 59 patients except one showed bony healing and incorporation of the ARRP. One case developed a non-union of the anterior column. No disruption, breakage or loosening of the ARRP was seen. Additional CT scans performed in 18 patients confirmed bony healing. Twenty-six patients (44%) had regained their pre-injury level of mobility. Complications requiring revision surgery occurred in 8 patients. Five of them were suffering from a prosthetic head dislocation, one from infection, one from hematoma and one from a heterotopic ossification.

CONCLUSIONS

The ARRP has proven to provide sufficient primary stability to allow for immediate FWB in most cases and represents a valuable option for the surgical management of displaced acetabular fractures in this challenging patient group.

摘要

介绍

对于年轻患者的移位髋臼骨折,切开复位内固定被认为是治疗的金标准。然而,对于骨质疏松骨质的老年患者,具有术后即刻活动能力的初次全髋关节置换术(THA)可能是一种选择。本研究的目的是评估使用髋臼顶加强板(ARRP)联合 THA 治疗移位骨质疏松性髋臼骨折的临床和影像学结果。

材料与方法

2009 年至 2019 年期间,84 例患者采用 ARRP 联合 THA 进行手术。纳入标准为有或无先前半髋或全髋关节置换术的移位骨质疏松性髋臼骨折,年龄大于 65 岁,受伤前至少能在助行器的帮助下行走。84 例患者中,59 例可在 6 个月时进行临床和影像学随访。49 例(83%)为初次骨折,10 例(17%)为髋关节假体周围骨折。

结果

平均年龄为 80.5 岁(65-98 岁)。从受伤到手术的平均时间为 8.5 天(1-28 天)。手术平均时间为 167 分钟(100-303 分钟)。51 例(86%)患者术后即刻可完全负重。在 6 个月的随访中,除 1 例患者外,其余 59 例患者均显示骨愈合和 ARRP 融合。1 例发生前柱骨不连。未见 ARRP 出现断裂、松动。18 例患者进一步行 CT 扫描证实骨愈合。26 例(44%)患者恢复了受伤前的活动水平。8 例患者需要进行翻修手术。其中 5 例为人工股骨头脱位,1 例为感染,1 例为血肿,1 例为异位骨化。

结论

ARRP 已被证明能提供足够的初始稳定性,允许大多数病例术后即刻完全负重,对于治疗此类具有挑战性的患者群体的移位髋臼骨折,是一种有价值的选择。

https://cdn.ncbi.nlm.nih.gov/pmc/blobs/0224/9296387/ed297c0cda04/402_2021_3829_Fig1_HTML.jpg

文献检索

告别复杂PubMed语法,用中文像聊天一样搜索,搜遍4000万医学文献。AI智能推荐,让科研检索更轻松。

立即免费搜索

文件翻译

保留排版,准确专业,支持PDF/Word/PPT等文件格式,支持 12+语言互译。

免费翻译文档

深度研究

AI帮你快速写综述,25分钟生成高质量综述,智能提取关键信息,辅助科研写作。

立即免费体验