Suppr超能文献

中国西南地区儿童自身抗体相关中枢神经系统脱髓鞘疾病的临床及预后分析

Clinical and Prognostic Analysis of Autoantibody-Associated CNS Demyelinating Disorders in Children in Southwest China.

作者信息

Li Ziyan, Sun Hong, Fan Xiao, Yuan Ping, Jiang Yan, Wu Peng, Zhong Min, Ma Jiannan, Jiang Li, Li Xiujuan

机构信息

Department of Neurology, Children's Hospital of Chongqing Medical University, Chongqing, China.

Chongqing Key Laboratory of Pediatrics, Ministry of Education Key Laboratory of Child Development and Disorders, National Clinical Research Center for Child Health and Disorders, China International Science and Technology Cooperation Base of Child Development and Critical Disorders, Children's Hospital of Chongqing Medical University, Chongqing, China.

出版信息

Front Neurol. 2021 Mar 26;12:642664. doi: 10.3389/fneur.2021.642664. eCollection 2021.

Abstract

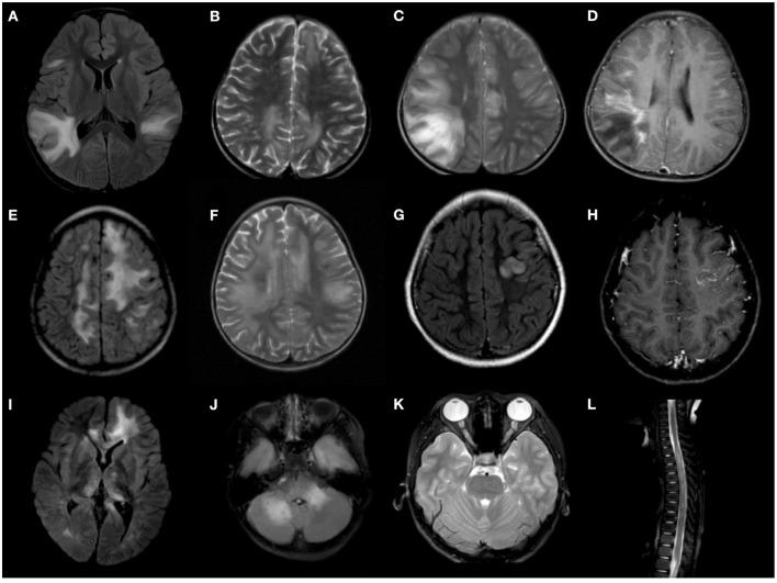
To analyze the positive and recurrence rates of different autoantibody-associated demyelination disorders in children in Southwest China, and describe the clinical, radiological, and prognostic features of the myelin oligodendrocyte glycoprotein antibody (MOG-ab) and aquaporin-4 antibody (AQP4-ab) associated disease. This study also summarizes steroid maintenance therapy approaches for MOG-ab-positive children. A total of 160 children presenting with acquired demyelinating syndromes (ADS) between January 2016 and December 2019 were tested for MOG-ab and AQP4-ab. Clinical data, MRI scans, and survival analyses were compared between MOG-ab-positive and AQP4-ab-positive children. Evolution of serologic status and treatment response to immunosuppressants were collected in MOG-ab-positive children. Of the 160 included children, the MOG-ab positivity rate (47.4%) was significantly higher than the AQP4-ab (5%) positivity rate. The recurrence rate for AQP4-ab disease (71.4%) was higher than that of MOG-ab disease (30.1%). For 135 children with both MOG-ab and AQP4-ab tested, the median age at onset was 7 (interquartile range [IQR] 5-10) years, and the median follow-up period was 19 (IQR 13-27.5) months. MOG-ab-positive children more frequently presented with acute disseminated encephalomyelitis, had deep gray matter lesions on MRI, had a better clinical and radiological recovery, and were less likely to have sustained disability than AQP4-ab-positive children. In MOG-ab-positive and AQP4-ab-positive children, maintenance therapy was a protective factor for recurrence, but presenting optic neuritis was a predictor of earlier relapse. A high Expanded Disability Status Scale score at onset was associated with sustained disability. Steroid maintenance therapy longer than 6 months after the initial attack was associated with a lower risk of a second relapse in MOG-ab-positive children. On serial serum MOG antibody analysis, clinical relapse occurred in 34.6% of children with persistent seropositivity, but none of the children who converted to seronegative status experienced relapse. The MOG antibody is more common in children with ADS than the AQP4 antibody. MOG-ab-positive children are characterized by distinct clinical and radiological features. Although some MOG-ab-positive children experience relapsing courses or have persistently seropositive status, they still predict a better outcome than AQP4-ab-positive children.

摘要

分析中国西南地区儿童不同自身抗体相关脱髓鞘疾病的阳性率和复发率,描述髓鞘少突胶质细胞糖蛋白抗体(MOG-ab)和水通道蛋白4抗体(AQP4-ab)相关疾病的临床、影像学及预后特征。本研究还总结了MOG-ab阳性儿童的激素维持治疗方法。对2016年1月至2019年12月期间共160例出现获得性脱髓鞘综合征(ADS)的儿童进行了MOG-ab和AQP4-ab检测。比较了MOG-ab阳性和AQP4-ab阳性儿童的临床资料、MRI扫描结果及生存分析。收集了MOG-ab阳性儿童的血清学状态演变及免疫抑制剂治疗反应情况。在纳入的160例儿童中,MOG-ab阳性率(47.4%)显著高于AQP4-ab阳性率(5%)。AQP4-ab相关疾病的复发率(71.4%)高于MOG-ab相关疾病(30.1%)。在135例同时检测了MOG-ab和AQP4-ab的儿童中,发病年龄中位数为7(四分位间距[IQR]5 - 10)岁,中位随访时间为19(IQR 13 - 27.5)个月。与AQP4-ab阳性儿童相比,MOG-ab阳性儿童更常表现为急性播散性脑脊髓炎,MRI上有深部灰质病变,临床和影像学恢复较好,且持续残疾的可能性较小。在MOG-ab阳性和AQP4-ab阳性儿童中,维持治疗是复发的保护因素,但出现视神经炎是早期复发的预测因素。发病时高扩展残疾状态量表评分与持续残疾相关。首次发作后激素维持治疗超过6个月与MOG-ab阳性儿童第二次复发风险较低相关。在系列血清MOG抗体分析中,持续血清阳性的儿童中有34.6%发生临床复发,但转为血清阴性的儿童均未复发。与AQP4抗体相比,MOG抗体在ADS儿童中更常见。MOG-ab阳性儿童具有独特的临床和影像学特征。尽管一些MOG-ab阳性儿童经历复发病程或血清持续阳性,但他们的预后仍比AQP4-ab阳性儿童好。

https://cdn.ncbi.nlm.nih.gov/pmc/blobs/bb0b/8033000/1f5f56dc344a/fneur-12-642664-g0002.jpg

文献AI研究员

20分钟写一篇综述,助力文献阅读效率提升50倍。

立即体验

用中文搜PubMed

大模型驱动的PubMed中文搜索引擎

马上搜索

文档翻译

学术文献翻译模型,支持多种主流文档格式。

立即体验