Suppr超能文献

在F-氟脱氧葡萄糖正电子发射断层扫描/计算机断层扫描上表现为类似胆囊癌的黄色肉芽肿性胆囊炎

Xanthogranulomatous cholecystitis mimicking gallbladder cancer on F-fluorodeoxyglucose positron emission tomography/computed tomography scan.

作者信息

Gupta Nitin, Verma Ritu, Belho Ethel Shangne, Dhawan Shashi

机构信息

Department of Nuclear Medicine and PET/CT Mahajan Imaging Centre, Sir Ganga Ram Hospital, New Delhi, India.

Department of Pathology, Sir Ganga Ram Hospital, New Delhi, India.

出版信息

World J Nucl Med. 2020 Dec 12;20(1):93-95. doi: 10.4103/wjnm.WJNM_118_20. eCollection 2021 Jan-Mar.

Abstract

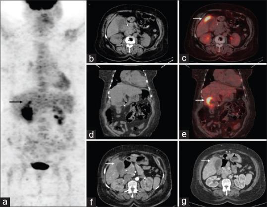
The abnormal thickening of the gallbladder (GB) wall can be caused by a malignant condition like gallbladder carcinoma or by benign lesions such as chronic cholecystitis or xanthogranulomatous cholecystitis (XGC). Mural thickening is a common finding between them as fluorodeoxyglucose (FDG) can be taken up by inflammatory cells also. Here, we present a patient with irregular thickening of the GB wall which was suspected to of GB carcinoma since FDG positron emission tomography/computed tomography scan showed increased tracer uptake in the lesion. However, after surgery the histopathological report was suggestive of XGC.

摘要

胆囊(GB)壁异常增厚可由胆囊癌等恶性疾病引起,也可由慢性胆囊炎或黄色肉芽肿性胆囊炎(XGC)等良性病变引起。壁增厚是它们之间的常见表现,因为氟脱氧葡萄糖(FDG)也可被炎症细胞摄取。在此,我们报告一例胆囊壁不规则增厚的患者,由于FDG正电子发射断层扫描/计算机断层扫描显示病变处示踪剂摄取增加,怀疑为胆囊癌。然而,手术后组织病理学报告提示为XGC。

https://cdn.ncbi.nlm.nih.gov/pmc/blobs/8d40/8034788/5043b0e0d160/WJNM-20-93-g001.jpg

文献AI研究员

20分钟写一篇综述,助力文献阅读效率提升50倍。

立即体验

用中文搜PubMed

大模型驱动的PubMed中文搜索引擎

马上搜索

文档翻译

学术文献翻译模型,支持多种主流文档格式。

立即体验