Suppr超能文献

沿脑室腹腔分流管切除升结肠癌孤立性腹壁转移瘤:一例报告

Resection of solitary abdominal wall metastasis of ascending colon cancer along the ventriculoperitoneal shunt: A case report.

作者信息

Kataoka Masahiro, Kondo Hiroka, Hirano Yasumitsu

机构信息

Saitama Medical University International Medical Center, Department of Gastroenterological Surgery, 1397-1 Yamane, Hidaka, Saitama, Japan.

Saitama Medical University International Medical Center, Department of Gastroenterological Surgery, 1397-1 Yamane, Hidaka, Saitama, Japan.

出版信息

Int J Surg Case Rep. 2021 May;82:105869. doi: 10.1016/j.ijscr.2021.105869. Epub 2021 Apr 7.

Abstract

INTRODUCTION

Ventriculoperitoneal (VP) shunt is often placed as a treatment for hydrocephalus. Additionally, it is also not uncommon to perform laparoscopic surgery for colon cancer with a VP shunt in place. It is very rare for colorectal cancer to metastasize to an implanted VP shunt. We report a case of VP shunt-related metastasis of the ascending colon that was successfully resected.

PRESENTATION OF CASE

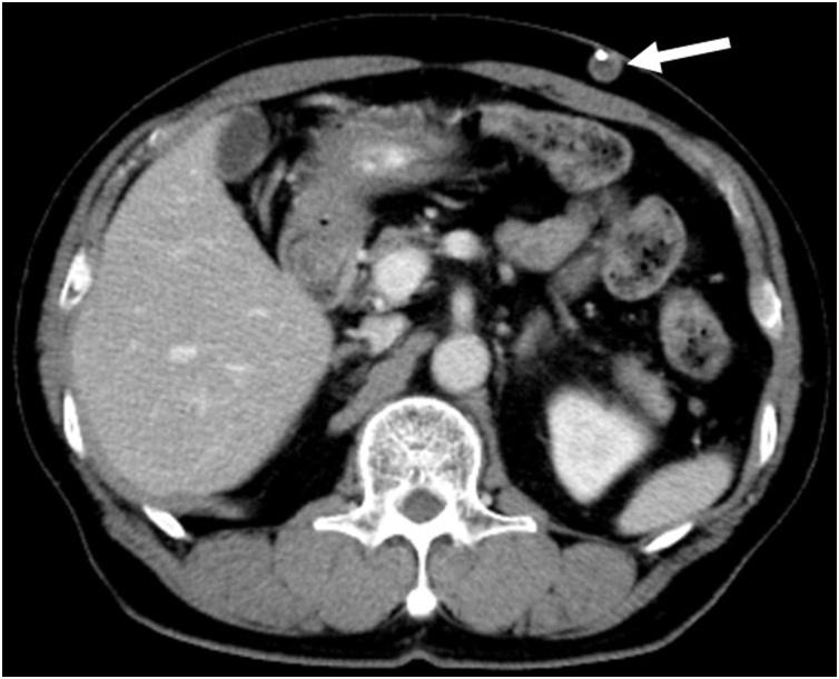
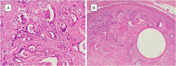
A 79-year-old man who had a VP shunt for hydrocephalus two years earlier underwent laparoscopic right colectomy for ascending colon cancer. Six months after the colectomy, imaging examinations showed mass formation in the subcutaneous tissue of the abdominal wall along the VP shunt. Because of the possible metastasis of colorectal cancer and the fact that it was a solitary lesion, a tumor resection with replacement of the VP shunt was performed. Histopathological examination revealed that the mass was a metastasis of colon cancer.

DISCUSSION

This case involves the metastasis of colorectal cancer in the subcutaneous tissue of the abdominal wall after laparoscopic surgery, and since the tumor had reached the serosa, the possibility of metastasis by pneumoperitoneum was considered. Careful intraoperative manipulation is considered to be important for prevention.

CONCLUSION

Metastasis of colorectal cancer to the VP shunt is extremely rare, but possible. In such cases, intraoperative prevention and careful postoperative follow-up are required.

摘要

引言

脑室腹腔(VP)分流术常用于治疗脑积水。此外,在已有VP分流管的情况下进行腹腔镜结肠癌手术也并不罕见。结直肠癌转移至植入的VP分流管极为罕见。我们报告一例成功切除的升结肠癌伴VP分流管相关转移的病例。

病例介绍

一名79岁男性,两年前因脑积水置入VP分流管,此次因升结肠癌接受腹腔镜右半结肠切除术。结肠切除术后六个月,影像学检查显示沿VP分流管的腹壁皮下组织有肿块形成。鉴于结直肠癌可能发生转移且为孤立性病变,遂行肿瘤切除并更换VP分流管。组织病理学检查显示该肿块为结肠癌转移灶。

讨论

该病例涉及腹腔镜手术后腹壁皮下组织的结直肠癌转移,由于肿瘤已侵犯浆膜层,考虑存在气腹导致转移的可能性。术中谨慎操作被认为对预防至关重要。

结论

结直肠癌转移至VP分流管极为罕见,但有可能发生。在此类病例中,需要术中预防及术后仔细随访。

https://cdn.ncbi.nlm.nih.gov/pmc/blobs/8de0/8065276/eb997e6cbdde/gr1.jpg

文献AI研究员

20分钟写一篇综述,助力文献阅读效率提升50倍。

立即体验

用中文搜PubMed

大模型驱动的PubMed中文搜索引擎

马上搜索

文档翻译

学术文献翻译模型,支持多种主流文档格式。

立即体验