• 文献检索
  • 文档翻译
  • 深度研究
  • 学术资讯
  • Suppr Zotero 插件Zotero 插件
  • 邀请有礼
  • 套餐&价格
  • 历史记录
应用&插件
Suppr Zotero 插件Zotero 插件浏览器插件Mac 客户端Windows 客户端微信小程序
定价
高级版会员购买积分包购买API积分包
服务
文献检索文档翻译深度研究API 文档MCP 服务
关于我们
关于 Suppr公司介绍联系我们用户协议隐私条款
关注我们

Suppr 超能文献

核心技术专利:CN118964589B侵权必究
粤ICP备2023148730 号-1Suppr @ 2026

文献检索

告别复杂PubMed语法,用中文像聊天一样搜索,搜遍4000万医学文献。AI智能推荐,让科研检索更轻松。

立即免费搜索

文件翻译

保留排版,准确专业,支持PDF/Word/PPT等文件格式,支持 12+语言互译。

免费翻译文档

深度研究

AI帮你快速写综述,25分钟生成高质量综述,智能提取关键信息,辅助科研写作。

立即免费体验

用于分化型甲状腺癌靶向α治疗首次人体临床试验的[At]NaAt 单次扩展毒性研究在小鼠中的结果

Extended single-dose toxicity study of [At]NaAt in mice for the first-in-human clinical trial of targeted alpha therapy for differentiated thyroid cancer.

机构信息

Department of Nuclear Medicine and Tracer Kinetics, Graduate School of Medicine, Osaka University, 2-2 Yamadaoka, Suita, Osaka, 565-0871, Japan.

Institute for Radiation Sciences, Osaka University, Suita, Japan.

出版信息

Ann Nucl Med. 2021 Jun;35(6):702-718. doi: 10.1007/s12149-021-01612-9. Epub 2021 Apr 19.

DOI:10.1007/s12149-021-01612-9
PMID:33871803
原文链接:https://pmc.ncbi.nlm.nih.gov/articles/PMC8134311/
Abstract

OBJECTIVE

Astatine (At) is a promising alpha emitter as an alternative to iodine (I). We are preparing the first-in-human (FIH) clinical trial of targeted alpha therapy for differentiated thyroid cancer in consultation with Pharmaceuticals and Medical Devices Agency. Here, we performed an extended single-dose toxicity examination under a reliability standard, as a preclinical safety assessment of [At]NaAt to determine the FIH dose.

METHODS

[At]NaAt solution was injected into normal 6-week-old mice (male (n = 50) and female (n = 50), body weight: male 33.2 ± 1.7 g, female 27.3 ± 1.5 g), which were then divided into four groups: 5 MBq/kg (n = 20), 20 MBq/kg (n = 20), 50 MBq/kg (n = 30), saline control (n = 30). The mice were followed up for 5 days (primary evaluation point for acute toxicity: n = 80) or 14 days (n = 20: evaluation point for recovery) to monitor general condition and body weight change. At the end of the observation period, necropsy, blood test, organ weight measurement, and histopathological examination were performed. For body weight, blood test, and organ weight, statistical analyses were performed to compare data between the control and injected groups.

RESULTS

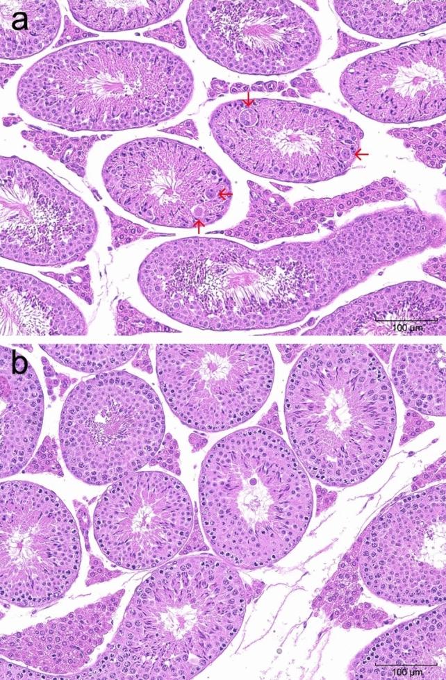
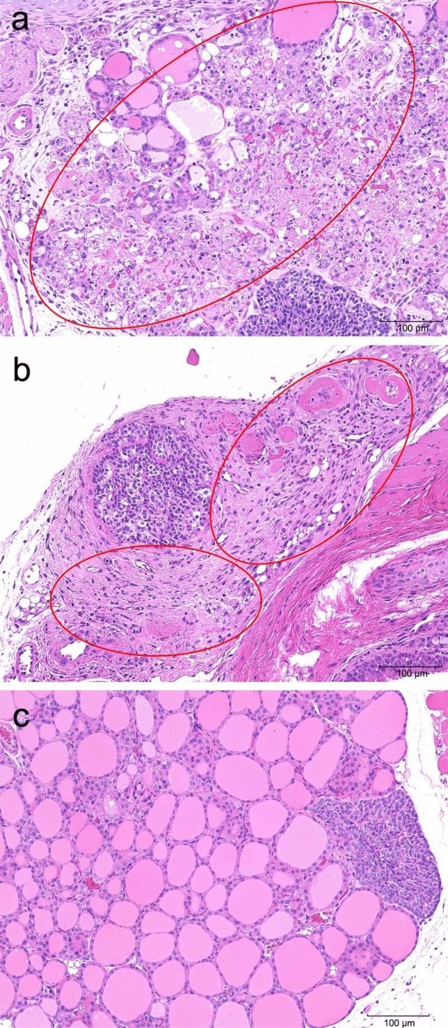
No abnormal findings were observed in the general condition of mice. In the 50 MBq/kg group, males (days 3 and 5) showed a significant decrease in body weight compared with the control. However, necropsy did not differ significantly beyond the range of spontaneous lesions. In the blood test, males (50 MBq/kg) and females (50 MBq/kg) showed a decrease in white blood cell and platelet counts on day 5, and recovery on day 14. In the testis, a considerable weight decrease was observed on day 14 (50 MBq/kg), and multinucleated giant cells were observed in all mice, indicating a significant change related to the administration of [At]NaAt.

CONCLUSIONS

In the extended single-dose toxicity study of [At]NaAt, administration of high doses resulted in weight loss, transient bone marrow suppression, and pathological changes in the testis, which require consideration in the FIH clinical trial.

摘要

目的

砹(At)作为碘(I)的替代物,是一种很有前途的α发射体。我们正在与药品和医疗器械管理局协商,准备进行甲状腺癌靶向α治疗的首次人体(FIH)临床试验。在这里,我们根据可靠性标准进行了扩展的单次剂量毒性检查,作为[At]NaAt 的临床前安全性评估,以确定 FIH 剂量。

方法

将[At]NaAt 溶液注入正常的 6 周龄小鼠(雄性(n=50)和雌性(n=50),体重:雄性 33.2±1.7g,雌性 27.3±1.5g),然后将它们分为四组:5MBq/kg(n=20)、20MBq/kg(n=20)、50MBq/kg(n=30)、生理盐水对照组(n=30)。对小鼠进行为期 5 天(急性毒性的主要评估点:n=80)或 14 天(n=20:恢复评估点)的随访,以监测一般情况和体重变化。在观察期结束时,进行尸检、血液检查、器官重量测量和组织病理学检查。对于体重、血液检查和器官重量,对对照组和注射组的数据进行了统计学分析。

结果

未观察到小鼠一般状况异常。在 50MBq/kg 组中,雄性(第 3 天和第 5 天)与对照组相比,体重明显下降。然而,尸检未显示超出自发性病变范围的显著差异。在血液检查中,雄性(50MBq/kg)和雌性(50MBq/kg)在第 5 天白细胞和血小板计数下降,第 14 天恢复。在睾丸中,第 14 天(50MBq/kg)观察到明显的重量减轻,并且所有小鼠均观察到多核巨细胞,表明与[At]NaAt 给药相关的显著变化。

结论

在[At]NaAt 的扩展单次剂量毒性研究中,高剂量给药导致体重减轻、短暂骨髓抑制和睾丸病理变化,这在 FIH 临床试验中需要考虑。

https://cdn.ncbi.nlm.nih.gov/pmc/blobs/7ee8/8134311/09325148a7e5/12149_2021_1612_Fig6_HTML.jpg
https://cdn.ncbi.nlm.nih.gov/pmc/blobs/7ee8/8134311/03e439429569/12149_2021_1612_Fig1_HTML.jpg
https://cdn.ncbi.nlm.nih.gov/pmc/blobs/7ee8/8134311/6d367d082dbb/12149_2021_1612_Fig2_HTML.jpg
https://cdn.ncbi.nlm.nih.gov/pmc/blobs/7ee8/8134311/8d0af7eb9306/12149_2021_1612_Fig3_HTML.jpg
https://cdn.ncbi.nlm.nih.gov/pmc/blobs/7ee8/8134311/d767ef24f3e2/12149_2021_1612_Fig4_HTML.jpg
https://cdn.ncbi.nlm.nih.gov/pmc/blobs/7ee8/8134311/327c694797f1/12149_2021_1612_Fig5_HTML.jpg
https://cdn.ncbi.nlm.nih.gov/pmc/blobs/7ee8/8134311/09325148a7e5/12149_2021_1612_Fig6_HTML.jpg
https://cdn.ncbi.nlm.nih.gov/pmc/blobs/7ee8/8134311/03e439429569/12149_2021_1612_Fig1_HTML.jpg
https://cdn.ncbi.nlm.nih.gov/pmc/blobs/7ee8/8134311/6d367d082dbb/12149_2021_1612_Fig2_HTML.jpg
https://cdn.ncbi.nlm.nih.gov/pmc/blobs/7ee8/8134311/8d0af7eb9306/12149_2021_1612_Fig3_HTML.jpg
https://cdn.ncbi.nlm.nih.gov/pmc/blobs/7ee8/8134311/d767ef24f3e2/12149_2021_1612_Fig4_HTML.jpg
https://cdn.ncbi.nlm.nih.gov/pmc/blobs/7ee8/8134311/327c694797f1/12149_2021_1612_Fig5_HTML.jpg
https://cdn.ncbi.nlm.nih.gov/pmc/blobs/7ee8/8134311/09325148a7e5/12149_2021_1612_Fig6_HTML.jpg

相似文献

1
Extended single-dose toxicity study of [At]NaAt in mice for the first-in-human clinical trial of targeted alpha therapy for differentiated thyroid cancer.用于分化型甲状腺癌靶向α治疗首次人体临床试验的[At]NaAt 单次扩展毒性研究在小鼠中的结果
Ann Nucl Med. 2021 Jun;35(6):702-718. doi: 10.1007/s12149-021-01612-9. Epub 2021 Apr 19.
2
Comparison of the Therapeutic Effects of [At]NaAt and [I]NaI in an NIS-Expressing Thyroid Cancer Mouse Model.在 NIS 表达甲状腺癌细胞模型中比较[At]NaAt 和 [I]NaI 的治疗效果。
Int J Mol Sci. 2022 Aug 21;23(16):9434. doi: 10.3390/ijms23169434.
3
Preclinical Evaluation of Radiation-Induced Toxicity in Targeted Alpha Therapy Using [At] NaAt in Mice: A Revisit.使用[砹]NaAt对小鼠进行靶向α治疗中辐射诱导毒性的临床前评估:再探讨
Transl Oncol. 2020 Apr;13(4):100757. doi: 10.1016/j.tranon.2020.100757. Epub 2020 Mar 25.
4
Preclinical Evaluation of Biodistribution and Toxicity of [At]PSMA-5 in Mice and Primates for the Targeted Alpha Therapy against Prostate Cancer.用于针对前列腺癌的靶向 alpha 治疗的 [At]PSMA-5 在小鼠和灵长类动物中的生物分布和毒性的临床前评价。
Int J Mol Sci. 2024 May 23;25(11):5667. doi: 10.3390/ijms25115667.
5
Enhancement of At Uptake via the Sodium Iodide Symporter by the Addition of Ascorbic Acid in Targeted α-Therapy of Thyroid Cancer.通过在甲状腺癌靶向 α 治疗中添加抗坏血酸来增强钠碘转运体对放射性碘的摄取。
J Nucl Med. 2019 Sep;60(9):1301-1307. doi: 10.2967/jnumed.118.222638. Epub 2019 Feb 22.
6
NTP Toxicology and Carcinogenesis Studies of Coumarin (CAS No. 91-64-5) in F344/N Rats and B6C3F1 Mice (Gavage Studies).香豆素(CAS编号91-64-5)在F344/N大鼠和B6C3F1小鼠中的NTP毒理学和致癌性研究(灌胃研究)
Natl Toxicol Program Tech Rep Ser. 1993 Sep;422:1-340.
7
NTP Toxicology and Carcinogenesis Studies of o-Benzyl-p-Chlorophenol (CAS No. 120-32-1) in F344/N Rats and B6C3F1 Mice (Gavage Studies).F344/N大鼠和B6C3F1小鼠经口给予邻苄基对氯苯酚(CAS编号:120-32-1)的NTP毒理学和致癌性研究(灌胃研究)
Natl Toxicol Program Tech Rep Ser. 1994 Jan;424:1-304.
8
NTP Toxicology and Carcinogenesis Studies of Salicylazosulfapyridine (CAS No. 599-79-1) in F344/N Rats and B6C3F1 Mice (Gavage Studies).柳氮磺胺吡啶(CAS编号:599-79-1)在F344/N大鼠和B6C3F1小鼠中的NTP毒理学与致癌性研究(灌胃研究)
Natl Toxicol Program Tech Rep Ser. 1997 May;457:1-327.
9
NTP technical report on the toxicity studies of Dibutyl Phthalate (CAS No. 84-74-2) Administered in Feed to F344/N Rats and B6C3F1 Mice.美国国家毒理学计划关于邻苯二甲酸二丁酯(化学物质登记号84 - 74 - 2)经饲料给予F344/N大鼠和B6C3F1小鼠的毒性研究技术报告。
Toxic Rep Ser. 1995 Apr;30:1-G5.
10
Toxicology and carcinogenesis studies of N,N-dimethyl-p-toluidine (CAS No. 99-97-8) in F344/N rats and B6C3F1/N mice (gavage studies).N,N-二甲基对甲苯胺(CAS编号:99-97-8)在F344/N大鼠和B6C3F1/N小鼠中的毒理学和致癌性研究(灌胃研究)
Natl Toxicol Program Tech Rep Ser. 2012 Sep(579):1-211.

引用本文的文献

1
Extended single-dose toxicity study of [At]meta-astatobenzylguanidine in normal mice in preparation for the first-in-human clinical trial of targeted alpha therapy for pheochromocytoma and paraganglioma.[砹]间-砹苄基胍在正常小鼠中的扩展单剂量毒性研究,为嗜铬细胞瘤和副神经节瘤的靶向α治疗首次人体临床试验做准备。
Ann Nucl Med. 2025 Jun 18. doi: 10.1007/s12149-025-02065-0.
2
Preclinical Evaluation of Biodistribution and Toxicity of [At]PSMA-5 in Mice and Primates for the Targeted Alpha Therapy against Prostate Cancer.用于针对前列腺癌的靶向 alpha 治疗的 [At]PSMA-5 在小鼠和灵长类动物中的生物分布和毒性的临床前评价。
Int J Mol Sci. 2024 May 23;25(11):5667. doi: 10.3390/ijms25115667.
3
Production of [At]NaAt solution under GMP compliance for investigator-initiated clinical trial.
在符合药品生产质量管理规范(GMP)的条件下生产用于研究者发起的临床试验的[砹]砹化钠溶液。
EJNMMI Radiopharm Chem. 2024 Apr 15;9(1):29. doi: 10.1186/s41181-024-00257-z.
4
Recent advances in the development of Ac- and At-labeled radioligands for radiotheranostics.用于放射治疗诊断的锕和砹标记放射性配体开发的最新进展。
Anal Sci. 2024 May;40(5):803-826. doi: 10.1007/s44211-024-00514-w. Epub 2024 Apr 2.
5
Development of probes for radiotheranostics with albumin binding moiety to increase the therapeutic effects of astatine-211 (At).开发具有白蛋白结合部分的放射性治疗探针,以提高放射性核素 211 砹(At)的治疗效果。
Eur J Nucl Med Mol Imaging. 2024 Jan;51(2):412-421. doi: 10.1007/s00259-023-06457-0. Epub 2023 Oct 11.
6
The current status of prostate cancer treatment and PSMA theranostics.前列腺癌治疗及PSMA诊疗学的现状
Ther Adv Med Oncol. 2023 Jul 3;15:17588359231182293. doi: 10.1177/17588359231182293. eCollection 2023.
7
Astatine-211 based radionuclide therapy: Current clinical trial landscape.基于砹-211的放射性核素治疗:当前临床试验概况。
Front Med (Lausanne). 2023 Jan 6;9:1076210. doi: 10.3389/fmed.2022.1076210. eCollection 2022.
8
Astatine-211-Labeled Gold Nanoparticles for Targeted Alpha-Particle Therapy via Intravenous Injection.用于静脉注射靶向α粒子治疗的砹-211标记金纳米颗粒
Pharmaceutics. 2022 Dec 2;14(12):2705. doi: 10.3390/pharmaceutics14122705.
9
Effect to Therapy of Sodium-Iodine Symporter Expression by Alpha-Ray Therapeutic Agent via Sodium/Iodine Symporter.通过钠/碘转运体对 α 射线治疗剂的钠-碘转运体表达的治疗效果。
Int J Mol Sci. 2022 Dec 7;23(24):15509. doi: 10.3390/ijms232415509.
10
Pre-clinical investigation of astatine-211-parthanatine for high-risk neuroblastoma.替曲膦用于高危神经母细胞瘤的临床前研究。
Commun Biol. 2022 Nov 17;5(1):1260. doi: 10.1038/s42003-022-04209-8.