• 文献检索
  • 文档翻译
  • 深度研究
  • 学术资讯
  • Suppr Zotero 插件Zotero 插件
  • 邀请有礼
  • 套餐&价格
  • 历史记录
应用&插件
Suppr Zotero 插件Zotero 插件浏览器插件Mac 客户端Windows 客户端微信小程序
定价
高级版会员购买积分包购买API积分包
服务
文献检索文档翻译深度研究API 文档MCP 服务
关于我们
关于 Suppr公司介绍联系我们用户协议隐私条款
关注我们

Suppr 超能文献

核心技术专利:CN118964589B侵权必究
粤ICP备2023148730 号-1Suppr @ 2026

文献检索

告别复杂PubMed语法,用中文像聊天一样搜索,搜遍4000万医学文献。AI智能推荐,让科研检索更轻松。

立即免费搜索

文件翻译

保留排版,准确专业,支持PDF/Word/PPT等文件格式,支持 12+语言互译。

免费翻译文档

深度研究

AI帮你快速写综述,25分钟生成高质量综述,智能提取关键信息,辅助科研写作。

立即免费体验

发现一种 AHR 锦葵素激动剂,可反向调节 Ace2 表达并减弱 ACE2-新型冠状病毒 2 相互作用。

Discovery of a AHR pelargonidin agonist that counter-regulates Ace2 expression and attenuates ACE2-SARS-CoV-2 interaction.

机构信息

Dipartimento di Medicina e Chirurgia, Università di Perugia, Perugia, Italy.

University of Naples Federico II, Department of Pharmacy, Naples, Italy.

出版信息

Biochem Pharmacol. 2021 Jun;188:114564. doi: 10.1016/j.bcp.2021.114564. Epub 2021 Apr 17.

DOI:10.1016/j.bcp.2021.114564
PMID:33872570
原文链接:https://pmc.ncbi.nlm.nih.gov/articles/PMC8052506/
Abstract

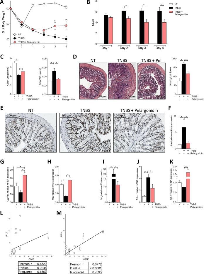
The severe acute respiratory syndrome (SARS)-CoV-2 is the pathogenetic agent of Corona Virus Induced Disease (COVID)19. The virus enters the human cells after binding to the angiotensin converting enzyme (ACE)2 receptor in target tissues. ACE2 expression is induced in response to inflammation. The colon expression of ACE2 is upregulated in patients with inflammatory bowel disease (IBD), highlighting a potential risk of intestinal inflammation in promoting viral entry in the human body. Because mechanisms that regulate ACE2 expression in the intestine are poorly understood and there is a need of anti-SARS-CoV-2 therapies, we have settled to investigate whether natural flavonoids might regulate the expression of Ace2 in intestinal models of inflammation. The results of these studies demonstrated that pelargonidin activates the Aryl hydrocarbon Receptor (AHR) in vitro and reverses intestinal inflammation caused by chronic exposure to high fat diet or to the intestinal braking-barrier agent TNBS in a AhR-dependent manner. In these two models, development of colon inflammation associated with upregulation of Ace2 mRNA expression. Colon levels of Ace2 mRNA were directly correlated with Tnf-α mRNA levels. Molecular docking studies suggested that pelargonidin binds a fatty acid binding pocket on the receptor binding domain of SARS-CoV-2 Spike protein. In vitro studies demonstrated that pelargonidin significantly reduces the binding of SARS-CoV-2 Spike protein to ACE2 and reduces the SARS-CoV-2 replication in a concentration-dependent manner. In summary, we have provided evidence that a natural flavonoid might hold potential in reducing intestinal inflammation and ACE2 induction in the inflamed colon in a AhR-dependent manner.

摘要

严重急性呼吸系统综合症(SARS)-冠状病毒 2 是导致 2019 年冠状病毒疾病(COVID)的病原体。该病毒在与靶组织中的血管紧张素转化酶(ACE)2 受体结合后进入人体细胞。ACE2 的表达是在炎症反应的刺激下诱导产生的。炎症性肠病(IBD)患者的结肠 ACE2 表达上调,突出了肠道炎症促进病毒进入人体的潜在风险。由于调节肠道中 ACE2 表达的机制尚不清楚,且需要 SARS-CoV-2 的治疗方法,我们决定研究天然类黄酮是否可能调节肠道炎症模型中 Ace2 的表达。这些研究的结果表明,锦葵素在体外激活芳香烃受体(AHR),并以 AHR 依赖的方式逆转慢性高脂肪饮食或肠道制动-屏障剂 TNBS 引起的肠道炎症。在这两种模型中,结肠炎症的发展与 Ace2 mRNA 表达的上调有关。结肠 Ace2 mRNA 水平与 Tnf-α mRNA 水平直接相关。分子对接研究表明,锦葵素结合 SARS-CoV-2 刺突蛋白受体结合域上的一个脂肪酸结合口袋。体外研究表明,锦葵素可显著降低 SARS-CoV-2 刺突蛋白与 ACE2 的结合,并以浓度依赖的方式降低 SARS-CoV-2 的复制。总之,我们提供的证据表明,天然类黄酮可能以 AHR 依赖的方式具有减少肠道炎症和炎症结肠中 Ace2 诱导的潜力。

https://cdn.ncbi.nlm.nih.gov/pmc/blobs/b055/8052506/ad856ab01c94/gr5_lrg.jpg
https://cdn.ncbi.nlm.nih.gov/pmc/blobs/b055/8052506/27732fb428a5/gr3_lrg.jpg
https://cdn.ncbi.nlm.nih.gov/pmc/blobs/b055/8052506/ad856ab01c94/gr5_lrg.jpg
https://cdn.ncbi.nlm.nih.gov/pmc/blobs/b055/8052506/27732fb428a5/gr3_lrg.jpg
https://cdn.ncbi.nlm.nih.gov/pmc/blobs/b055/8052506/ad856ab01c94/gr5_lrg.jpg

相似文献

1
Discovery of a AHR pelargonidin agonist that counter-regulates Ace2 expression and attenuates ACE2-SARS-CoV-2 interaction.发现一种 AHR 锦葵素激动剂,可反向调节 Ace2 表达并减弱 ACE2-新型冠状病毒 2 相互作用。
Biochem Pharmacol. 2021 Jun;188:114564. doi: 10.1016/j.bcp.2021.114564. Epub 2021 Apr 17.
2
Inhibiting SARS-CoV-2 infection in vitro by suppressing its receptor, angiotensin-converting enzyme 2, via aryl-hydrocarbon receptor signal.通过抑制芳香烃受体信号抑制血管紧张素转化酶 2 来抑制 SARS-CoV-2 体外感染。
Sci Rep. 2021 Aug 17;11(1):16629. doi: 10.1038/s41598-021-96109-w.
3
The Aryl Hydrocarbon Receptor (AhR) Mediates the Counter-Regulatory Effects of Pelargonidins in Models of Inflammation and Metabolic Dysfunctions.芳基烃受体(AhR)介导锦葵素在炎症和代谢功能障碍模型中的抗调控作用。
Nutrients. 2019 Aug 7;11(8):1820. doi: 10.3390/nu11081820.
4
ILRUN Downregulates ACE2 Expression and Blocks Infection of Human Cells by SARS-CoV-2.ILRUN 下调 ACE2 表达并阻止 SARS-CoV-2 感染人体细胞。
J Virol. 2021 Jul 12;95(15):e0032721. doi: 10.1128/JVI.00327-21.
5
Cigarette Smoke Stimulates SARS-CoV-2 Internalization by Activating AhR and Increasing ACE2 Expression in Human Gingival Epithelial Cells.香烟烟雾通过激活 AhR 和增加人牙龈上皮细胞中 ACE2 的表达来刺激 SARS-CoV-2 的内化。
Int J Mol Sci. 2021 Jul 18;22(14):7669. doi: 10.3390/ijms22147669.
6
Identification of SARS-CoV-2 Receptor Binding Inhibitors by In Vitro Screening of Drug Libraries.通过药物文库的体外筛选鉴定 SARS-CoV-2 受体结合抑制剂。
Molecules. 2021 May 27;26(11):3213. doi: 10.3390/molecules26113213.
7
Stapled Peptides Based on Human Angiotensin-Converting Enzyme 2 (ACE2) Potently Inhibit SARS-CoV-2 Infection .基于人血管紧张素转化酶 2(ACE2)的订书肽强烈抑制 SARS-CoV-2 感染。
mBio. 2020 Dec 11;11(6):e02451-20. doi: 10.1128/mBio.02451-20.
8
The OM-85 bacterial lysate inhibits SARS-CoV-2 infection of epithelial cells by downregulating SARS-CoV-2 receptor expression.OM-85 细菌裂解物通过下调 SARS-CoV-2 受体表达来抑制上皮细胞中的 SARS-CoV-2 感染。
J Allergy Clin Immunol. 2022 Mar;149(3):923-933.e6. doi: 10.1016/j.jaci.2021.11.019. Epub 2021 Dec 10.
9
Antiviral Activity of Type I, II, and III Interferons Counterbalances ACE2 Inducibility and Restricts SARS-CoV-2.I型、II型和III型干扰素的抗病毒活性可抵消ACE2的诱导性并限制新型冠状病毒。
mBio. 2020 Sep 10;11(5):e01928-20. doi: 10.1128/mBio.01928-20.
10
ACE2-like carboxypeptidase B38-CAP protects from SARS-CoV-2-induced lung injury.ACE2 样羧肽酶 B38-CAP 可预防 SARS-CoV-2 诱导的肺损伤。
Nat Commun. 2021 Nov 23;12(1):6791. doi: 10.1038/s41467-021-27097-8.

引用本文的文献

1
The role of aryl hydrocarbon receptor signalling in COVID-19 pathology and its therapeutic potential.芳烃受体信号传导在新冠病毒疾病病理学中的作用及其治疗潜力。
Front Mol Med. 2025 Aug 29;5:1599785. doi: 10.3389/fmmed.2025.1599785. eCollection 2025.
2
Prenylation of Flavanones by an Aromatic Prenyltransferase from .来自……的一种芳香族异戊烯基转移酶对黄酮酮的异戊烯基化作用 。 (你提供的原文不完整,这里只是根据现有内容尽量准确翻译)
Molecules. 2025 Mar 31;30(7):1558. doi: 10.3390/molecules30071558.
3
Bile acids and their receptors in hepatic immunity.肝脏免疫中的胆汁酸及其受体

本文引用的文献

1
An perception for newly isolated flavonoids from peach fruit as privileged avenue for a countermeasure outbreak of COVID-19.对桃果实中新分离的黄酮类化合物作为应对COVID-19爆发对策的优先途径的一种认识。
RSC Adv. 2020 Aug 13;10(50):29983-29998. doi: 10.1039/d0ra05265e. eCollection 2020 Aug 10.
2
Down-Regulation of Colonic ACE2 Expression in Patients With Inflammatory Bowel Disease Responding to Anti-TNF Therapy: Implications for COVID-19.抗TNF治疗有效的炎症性肠病患者结肠ACE2表达下调:对COVID-19的影响
Front Med (Lausanne). 2021 Jan 12;7:613475. doi: 10.3389/fmed.2020.613475. eCollection 2020.
3
Molecular Simulations suggest Vitamins, Retinoids and Steroids as Ligands of the Free Fatty Acid Pocket of the SARS-CoV-2 Spike Protein*.
Liver Res. 2025 Jan 28;9(1):1-16. doi: 10.1016/j.livres.2025.01.005. eCollection 2025 Mar.
4
Colloidal Aggregation Confounds Cell-Based Covid-19 Antiviral Screens.胶粒聚集使基于细胞的新冠病毒抗病毒筛选复杂化。
J Med Chem. 2024 Jun 27;67(12):10263-10274. doi: 10.1021/acs.jmedchem.4c00597. Epub 2024 Jun 12.
5
Role of aryl hydrocarbon receptors in infection and inflammation.芳基烃受体在感染和炎症中的作用。
Front Immunol. 2024 Apr 12;15:1367734. doi: 10.3389/fimmu.2024.1367734. eCollection 2024.
6
Colloidal aggregation confounds cell-based Covid-19 antiviral screens.胶体聚集干扰了基于细胞的新冠病毒抗病毒筛选。
bioRxiv. 2023 Oct 30:2023.10.27.564435. doi: 10.1101/2023.10.27.564435.
7
Anti-Entry Activity of Natural Flavonoids against SARS-CoV-2 by Targeting Spike RBD.天然类黄酮通过靶向刺突 RBD 对 SARS-CoV-2 的抗入侵活性。
Viruses. 2023 Jan 4;15(1):160. doi: 10.3390/v15010160.
8
The Development of Pharmacophore Models for the Search of New Natural Inhibitors of SARS-CoV-2 Spike RBD-ACE2 Binding Interface.基于配体药效团模型搜索 SARS-CoV-2 刺突 RBD-ACE2 结合界面新型天然抑制剂。
Molecules. 2022 Dec 15;27(24):8938. doi: 10.3390/molecules27248938.
9
Exploring the Relationship between G-Quadruplex Nucleic Acids and Plants: From Plant G-Quadruplex Function to Phytochemical G4 Ligands with Pharmaceutic Potential.探索G-四链体核酸与植物之间的关系:从植物G-四链体功能到具有药学潜力的植物化学G4配体
Pharmaceutics. 2022 Nov 4;14(11):2377. doi: 10.3390/pharmaceutics14112377.
10
Real-World Evidence for COVID-19 Delta Variant's Effects on the Digestive System and Protection of Inactivated Vaccines from a Medical Center in Yangzhou, China: A Retrospective Observational Study.中国扬州一家医疗中心的真实世界证据表明,新冠病毒 Delta 变异株对消化系统的影响,以及灭活疫苗的保护作用:一项回顾性观察研究。
Int J Clin Pract. 2022 Aug 19;2022:7405448. doi: 10.1155/2022/7405448. eCollection 2022.
分子模拟表明维生素、类视黄醇和甾体作为 SARS-CoV-2 刺突蛋白游离脂肪酸口袋的配体*。
Angew Chem Int Ed Engl. 2021 Mar 22;60(13):7098-7110. doi: 10.1002/anie.202015639. Epub 2021 Feb 22.
4
The role of obesity in inflammatory markers in COVID-19 patients.肥胖在 COVID-19 患者炎症标志物中的作用。
Obes Res Clin Pract. 2021 Jan-Feb;15(1):96-99. doi: 10.1016/j.orcp.2020.12.004. Epub 2020 Dec 23.
5
Unexpected Receptor Functional Mimicry Elucidates Activation of Coronavirus Fusion.意外的受体功能模拟揭示了冠状病毒融合的激活机制。
Cell. 2020 Dec 10;183(6):1732. doi: 10.1016/j.cell.2020.11.031.
6
Hijacking SARS-CoV-2/ACE2 Receptor Interaction by Natural and Semi-synthetic Steroidal Agents Acting on Functional Pockets on the Receptor Binding Domain.通过作用于受体结合域功能口袋的天然和半合成甾体药物劫持严重急性呼吸综合征冠状病毒2/血管紧张素转换酶2受体相互作用
Front Chem. 2020 Oct 23;8:572885. doi: 10.3389/fchem.2020.572885. eCollection 2020.
7
Altered Intestinal ACE2 Levels Are Associated With Inflammation, Severe Disease, and Response to Anti-Cytokine Therapy in Inflammatory Bowel Disease.肠道 ACE2 水平的改变与炎症、严重疾病以及炎症性肠病对细胞因子治疗的反应有关。
Gastroenterology. 2021 Feb;160(3):809-822.e7. doi: 10.1053/j.gastro.2020.10.041. Epub 2020 Nov 5.
8
Expression of SARS-CoV-2 entry factors in lung epithelial stem cells and its potential implications for COVID-19.新冠病毒(SARS-CoV-2)进入因子在肺上皮干细胞中的表达及其对 COVID-19 的潜在影响。
Sci Rep. 2020 Oct 20;10(1):17772. doi: 10.1038/s41598-020-74598-5.
9
Is recurrence possible in coronavirus disease 2019 (COVID-19)? Case series and systematic review of literature.新冠病毒病 2019(COVID-19)是否会复发?病例系列和文献系统评价。
Eur J Clin Microbiol Infect Dis. 2021 Jan;40(1):1-12. doi: 10.1007/s10096-020-04057-6. Epub 2020 Oct 10.
10
Free fatty acid binding pocket in the locked structure of SARS-CoV-2 spike protein.新冠病毒 Spike 蛋白锁闭结构中的游离脂肪酸结合口袋。
Science. 2020 Nov 6;370(6517):725-730. doi: 10.1126/science.abd3255. Epub 2020 Sep 21.