• 文献检索
  • 文档翻译
  • 深度研究
  • 学术资讯
  • Suppr Zotero 插件Zotero 插件
  • 邀请有礼
  • 套餐&价格
  • 历史记录
应用&插件
Suppr Zotero 插件Zotero 插件浏览器插件Mac 客户端Windows 客户端微信小程序
定价
高级版会员购买积分包购买API积分包
服务
文献检索文档翻译深度研究API 文档MCP 服务
关于我们
关于 Suppr公司介绍联系我们用户协议隐私条款
关注我们

Suppr 超能文献

核心技术专利:CN118964589B侵权必究
粤ICP备2023148730 号-1Suppr @ 2026

文献检索

告别复杂PubMed语法,用中文像聊天一样搜索,搜遍4000万医学文献。AI智能推荐,让科研检索更轻松。

立即免费搜索

文件翻译

保留排版,准确专业,支持PDF/Word/PPT等文件格式,支持 12+语言互译。

免费翻译文档

深度研究

AI帮你快速写综述,25分钟生成高质量综述,智能提取关键信息,辅助科研写作。

立即免费体验

赛庚啶是一种表观遗传修饰剂,通过逆转尿路上皮癌中IRF6的表观遗传沉默发挥抗肿瘤活性。

Cyproheptadine, an epigenetic modifier, exhibits anti-tumor activity by reversing the epigenetic silencing of IRF6 in urothelial carcinoma.

作者信息

Jou Yeong-Chin, Lin Guan-Ling, Lin Hon-Yi, Huang Wan-Hong, Chuang Yu-Ming, Lin Ru-Inn, Chen Pie-Che, Wu Shu-Fen, Shen Cheng-Huang, Chan Michael W Y

机构信息

Department of Urology, Ditmanson Medical Foundation, Chiayi Christian Hospital, Chiayi, Taiwan.

Department of Health and Nutrition Biotechnology, Asia University, Taichung, Taiwan.

出版信息

Cancer Cell Int. 2021 Apr 19;21(1):226. doi: 10.1186/s12935-021-01925-9.

DOI:10.1186/s12935-021-01925-9
PMID:33874979
原文链接:https://pmc.ncbi.nlm.nih.gov/articles/PMC8054409/
Abstract

BACKGROUND

Urothelial carcinoma (UC) is the second most common malignancy of the urinary system with high rate of recurrence, UC patients therefore needed to be treated with surgery followed by chemotherapy. Development of novel therapeutics with minimal side-effect is an urgent issue. Our previous study showed that cyproheptadine (CPH), an anti-histamine, exhibited antitumor activity in UC in vitro and in an xenograft model. However, the molecular mechanism of how CPH inhibits tumor progression is not fully understood.

METHODS

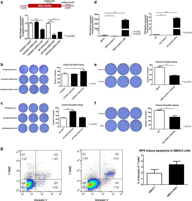
Genes that were upregulated after treatment with CPH in UC cells, were examined by RNA-Seq. Real-time quantitative PCR (RT-qPCR) was employed to detect IRF6 expression while COBRA assay and bisulphite pyrosequencing were used to examine promoter methylation of IRF6. Enrichment of total H3K27 acetylation and H3K4 mono-methylation were detected by western blotting. Colony formation and flow cytometry were used to examine proliferation and apoptosis in UC cells overexpressed or depleted with IRF6. Nude mice xenograft model was used to examine the effect of IRF6 in UC.

RESULTS

Our result showed that several genes, including IRF6 were upregulated after treatment with CPH in BFTC905 UC cells. Further experiments found that treatment of CPH could restore the expression of IRF6 in several other UC cell lines, probably due to promoter hypomethylation and enrichment of H3K27 acetylation and H3K4 mono-methylation. These results may be due to the fact that CPH could alter the activity, but not the expression of epigenetic modifiers. Finally, re-expression of IRF6 in UC inhibited tumor growth in vitro and in an xenograft mouse model, by inducing apoptosis.

CONCLUSION

In conclusion, our results suggested that CPH may be an epigenetic modifier, modulating the expression of the potential tumor suppressor IRF6, in inhibiting tumor growth in UC.

摘要

背景

尿路上皮癌(UC)是泌尿系统第二常见的恶性肿瘤,复发率高,因此UC患者需要接受手术治疗并辅以化疗。开发副作用最小的新型治疗方法是一个紧迫的问题。我们之前的研究表明,抗组胺药赛庚啶(CPH)在体外和异种移植模型中对UC具有抗肿瘤活性。然而,CPH抑制肿瘤进展的分子机制尚未完全明确。

方法

通过RNA测序检测UC细胞经CPH处理后上调的基因。采用实时定量PCR(RT-qPCR)检测IRF6的表达,同时采用COBRA法和亚硫酸氢盐焦磷酸测序法检测IRF6的启动子甲基化。通过蛋白质印迹法检测总H3K27乙酰化和H3K4单甲基化的富集情况。采用集落形成和流式细胞术检测过表达或缺失IRF6的UC细胞的增殖和凋亡情况。利用裸鼠异种移植模型检测IRF6在UC中的作用。

结果

我们的结果显示,在BFTC905 UC细胞中,经CPH处理后,包括IRF6在内的几个基因上调。进一步的实验发现,CPH处理可以恢复其他几种UC细胞系中IRF6的表达,这可能是由于启动子低甲基化以及H3K27乙酰化和H3K4单甲基化的富集。这些结果可能是因为CPH可以改变表观遗传修饰因子活性,但不改变其表达。最后,UC中IRF6的重新表达通过诱导凋亡在体外和异种移植小鼠模型中抑制肿瘤生长。

结论

总之,我们的结果表明,CPH可能是一种表观遗传修饰因子,通过调节潜在肿瘤抑制因子IRF6的表达来抑制UC中的肿瘤生长。

https://cdn.ncbi.nlm.nih.gov/pmc/blobs/b9d2/8054409/890d8e32486a/12935_2021_1925_Fig6_HTML.jpg
https://cdn.ncbi.nlm.nih.gov/pmc/blobs/b9d2/8054409/8ed53eafa972/12935_2021_1925_Fig1_HTML.jpg
https://cdn.ncbi.nlm.nih.gov/pmc/blobs/b9d2/8054409/614f742fdb9e/12935_2021_1925_Fig2_HTML.jpg
https://cdn.ncbi.nlm.nih.gov/pmc/blobs/b9d2/8054409/b8fc5e518d7d/12935_2021_1925_Fig3_HTML.jpg
https://cdn.ncbi.nlm.nih.gov/pmc/blobs/b9d2/8054409/bb084df9881b/12935_2021_1925_Fig4_HTML.jpg
https://cdn.ncbi.nlm.nih.gov/pmc/blobs/b9d2/8054409/79db5bdaa762/12935_2021_1925_Fig5_HTML.jpg
https://cdn.ncbi.nlm.nih.gov/pmc/blobs/b9d2/8054409/890d8e32486a/12935_2021_1925_Fig6_HTML.jpg
https://cdn.ncbi.nlm.nih.gov/pmc/blobs/b9d2/8054409/8ed53eafa972/12935_2021_1925_Fig1_HTML.jpg
https://cdn.ncbi.nlm.nih.gov/pmc/blobs/b9d2/8054409/614f742fdb9e/12935_2021_1925_Fig2_HTML.jpg
https://cdn.ncbi.nlm.nih.gov/pmc/blobs/b9d2/8054409/b8fc5e518d7d/12935_2021_1925_Fig3_HTML.jpg
https://cdn.ncbi.nlm.nih.gov/pmc/blobs/b9d2/8054409/bb084df9881b/12935_2021_1925_Fig4_HTML.jpg
https://cdn.ncbi.nlm.nih.gov/pmc/blobs/b9d2/8054409/79db5bdaa762/12935_2021_1925_Fig5_HTML.jpg
https://cdn.ncbi.nlm.nih.gov/pmc/blobs/b9d2/8054409/890d8e32486a/12935_2021_1925_Fig6_HTML.jpg

相似文献

1
Cyproheptadine, an epigenetic modifier, exhibits anti-tumor activity by reversing the epigenetic silencing of IRF6 in urothelial carcinoma.赛庚啶是一种表观遗传修饰剂,通过逆转尿路上皮癌中IRF6的表观遗传沉默发挥抗肿瘤活性。
Cancer Cell Int. 2021 Apr 19;21(1):226. doi: 10.1186/s12935-021-01925-9.
2
Epigenetic silencing of the dual-role signal mediator, ANGPTL4 in tumor tissues and its overexpression in the urothelial carcinoma microenvironment.肿瘤组织中双重作用信号介质 ANGPTL4 的表观遗传沉默及其在尿路上皮癌微环境中的过表达。
Oncogene. 2018 Feb 1;37(5):673-686. doi: 10.1038/onc.2017.375. Epub 2017 Oct 16.
3
Methylomics analysis identifies ZNF671 as an epigenetically repressed novel tumor suppressor and a potential non-invasive biomarker for the detection of urothelial carcinoma.甲基化组学分析确定ZNF671是一种表观遗传抑制的新型肿瘤抑制因子,也是检测尿路上皮癌的潜在非侵入性生物标志物。
Oncotarget. 2015 Oct 6;6(30):29555-72. doi: 10.18632/oncotarget.4986.
4
Cyproheptadine exhibits antitumor activity in urothelial carcinoma cells by targeting GSK3β to suppress mTOR and β-catenin signaling pathways.赛庚啶通过靶向 GSK3β 抑制 mTOR 和 β-连环蛋白信号通路在尿路上皮癌细胞中发挥抗肿瘤活性。
Cancer Lett. 2016 Jan 1;370(1):56-65. doi: 10.1016/j.canlet.2015.09.018. Epub 2015 Oct 21.
5
Effects of novel HDAC inhibitors on urothelial carcinoma cells.新型 HDAC 抑制剂对尿路上皮癌细胞的影响。
Clin Epigenetics. 2018 Jul 31;10(1):100. doi: 10.1186/s13148-018-0531-y.
6
MLN4924, a novel protein neddylation inhibitor, suppresses proliferation and migration of human urothelial carcinoma: In vitro and in vivo studies.MLN4924,一种新型的蛋白 neddylation 抑制剂,抑制人尿路移行细胞癌的增殖和迁移:体内外研究。
Cancer Lett. 2015 Jul 28;363(2):127-36. doi: 10.1016/j.canlet.2015.01.015. Epub 2015 Jan 20.
7
Combined inhibition of BET proteins and class I HDACs synergistically induces apoptosis in urothelial carcinoma cell lines.联合抑制 BET 蛋白和 I 类 HDACs 可协同诱导尿路上皮癌细胞系凋亡。
Clin Epigenetics. 2018 Jan 4;10:1. doi: 10.1186/s13148-017-0434-3. eCollection 2018.
8
Evaluation of carbonic anhydrase IX as a potential therapeutic target in urothelial carcinoma.评估碳酸酐酶 IX 作为膀胱癌潜在治疗靶点的研究
Urol Oncol. 2021 Aug;39(8):498.e1-498.e11. doi: 10.1016/j.urolonc.2021.04.011. Epub 2021 Jun 1.
9
Lin28A promotes IRF6-regulated aerobic glycolysis in glioma cells by stabilizing SNHG14.Lin28A 通过稳定 SNHG14 促进胶质瘤细胞中 IRF6 调控的糖酵解。
Cell Death Dis. 2020 Jun 11;11(6):447. doi: 10.1038/s41419-020-2650-6.
10
Hydrostatic pressure enhances mitomycin C induced apoptosis in urothelial carcinoma cells.静水压增强丝裂霉素 C 诱导尿路上皮癌细胞凋亡。
Urol Oncol. 2014 Jan;32(1):26.e17-24. doi: 10.1016/j.urolonc.2012.09.004. Epub 2013 Feb 9.

引用本文的文献

1
Epigenetic modulation elicits an NK cell-mediated immune response in urothelial carcinoma.表观遗传调控在尿路上皮癌中引发自然杀伤细胞介导的免疫反应。
Mol Med. 2025 Jun 24;31(1):247. doi: 10.1186/s10020-025-01264-9.
2
Cyproheptadine inhibits in vitro and in vivo lung metastasis and drives metabolic rewiring.赛庚啶抑制体外和体内肺转移并驱动代谢重编程。
Mol Biol Rep. 2024 Nov 10;51(1):1139. doi: 10.1007/s11033-024-10033-6.
3
Pathophysiological role of histamine signaling and its implications in glioblastoma.组蛋白信号在胶质母细胞瘤中的病理生理学作用及其意义。

本文引用的文献

1
Combinatorial Epigenetic and Immunotherapy in Breast Cancer Management: A Literature Review.乳腺癌管理中的组合表观遗传学与免疫疗法:文献综述
Epigenomes. 2020 Dec 4;4(4):27. doi: 10.3390/epigenomes4040027.
2
Epigenetics of Bladder Cancer: Where Biomarkers and Therapeutic Targets Meet.膀胱癌的表观遗传学:生物标志物与治疗靶点的交汇之处
Front Genet. 2019 Nov 18;10:1125. doi: 10.3389/fgene.2019.01125. eCollection 2019.
3
Combining epigenetic drugs with other therapies for solid tumours - past lessons and future promise.将表观遗传学药物与其他疗法联合用于实体瘤——过去的经验教训和未来的前景。
Biochim Biophys Acta Rev Cancer. 2024 Sep;1879(5):189146. doi: 10.1016/j.bbcan.2024.189146. Epub 2024 Jun 30.
4
Decreased interferon regulatory factor 6 expression due to DNA hypermethylation predicts an unfavorable prognosis in clear cell renal cell carcinoma.DNA高甲基化导致干扰素调节因子6表达降低预示着透明细胞肾细胞癌的预后不良。
J Cancer. 2021 Sep 13;12(22):6640-6655. doi: 10.7150/jca.62394. eCollection 2021.
5
Current Development and Application of Anaerobic Glycolytic Enzymes in Urothelial Cancer.尿路上皮癌中厌氧糖酵解酶的最新发展与应用
Int J Mol Sci. 2021 Sep 30;22(19):10612. doi: 10.3390/ijms221910612.
Nat Rev Clin Oncol. 2020 Feb;17(2):91-107. doi: 10.1038/s41571-019-0267-4. Epub 2019 Sep 30.
4
Existing and Emerging Biomarkers for Immune Checkpoint Immunotherapy in Solid Tumors.实体瘤免疫检查点免疫治疗的现有和新兴生物标志物。
Adv Ther. 2019 Oct;36(10):2638-2678. doi: 10.1007/s12325-019-01051-z. Epub 2019 Aug 13.
5
Inhibition of a G9a/DNMT network triggers immune-mediated bladder cancer regression.抑制 G9a/DNMT 网络可触发免疫介导的膀胱癌消退。
Nat Med. 2019 Jul;25(7):1073-1081. doi: 10.1038/s41591-019-0499-y. Epub 2019 Jul 3.
6
IRF6 Is Directly Regulated by ZEB1 and ELF3, and Predicts a Favorable Prognosis in Gastric Cancer.IRF6受ZEB1和ELF3直接调控,并预测胃癌的预后良好。
Front Oncol. 2019 Apr 4;9:220. doi: 10.3389/fonc.2019.00220. eCollection 2019.
7
Epigenetic Alterations in Bladder Cancer.膀胱癌中的表观遗传改变
Curr Urol Rep. 2018 Oct 24;19(12):102. doi: 10.1007/s11934-018-0861-5.
8
Updates and novel treatments in urothelial carcinoma.尿路上皮癌的最新进展与新型治疗方法
J Oncol Pharm Pract. 2019 Apr;25(3):648-656. doi: 10.1177/1078155218805141. Epub 2018 Oct 10.
9
Global cancer statistics 2018: GLOBOCAN estimates of incidence and mortality worldwide for 36 cancers in 185 countries.全球癌症统计数据 2018:GLOBOCAN 对全球 185 个国家/地区 36 种癌症的发病率和死亡率的估计。
CA Cancer J Clin. 2018 Nov;68(6):394-424. doi: 10.3322/caac.21492. Epub 2018 Sep 12.
10
Systematic Review: Characteristics and Preclinical Uses of Bladder Cancer Cell Lines.系统评价:膀胱癌细胞系的特征及临床前应用
Bladder Cancer. 2018 Apr 26;4(2):169-183. doi: 10.3233/BLC-180167.