• 文献检索
  • 文档翻译
  • 深度研究
  • 学术资讯
  • Suppr Zotero 插件Zotero 插件
  • 邀请有礼
  • 套餐&价格
  • 历史记录
应用&插件
Suppr Zotero 插件Zotero 插件浏览器插件Mac 客户端Windows 客户端微信小程序
定价
高级版会员购买积分包购买API积分包
服务
文献检索文档翻译深度研究API 文档MCP 服务
关于我们
关于 Suppr公司介绍联系我们用户协议隐私条款
关注我们

Suppr 超能文献

核心技术专利:CN118964589B侵权必究
粤ICP备2023148730 号-1Suppr @ 2026

文献检索

告别复杂PubMed语法,用中文像聊天一样搜索,搜遍4000万医学文献。AI智能推荐,让科研检索更轻松。

立即免费搜索

文件翻译

保留排版,准确专业,支持PDF/Word/PPT等文件格式,支持 12+语言互译。

免费翻译文档

深度研究

AI帮你快速写综述,25分钟生成高质量综述,智能提取关键信息,辅助科研写作。

立即免费体验

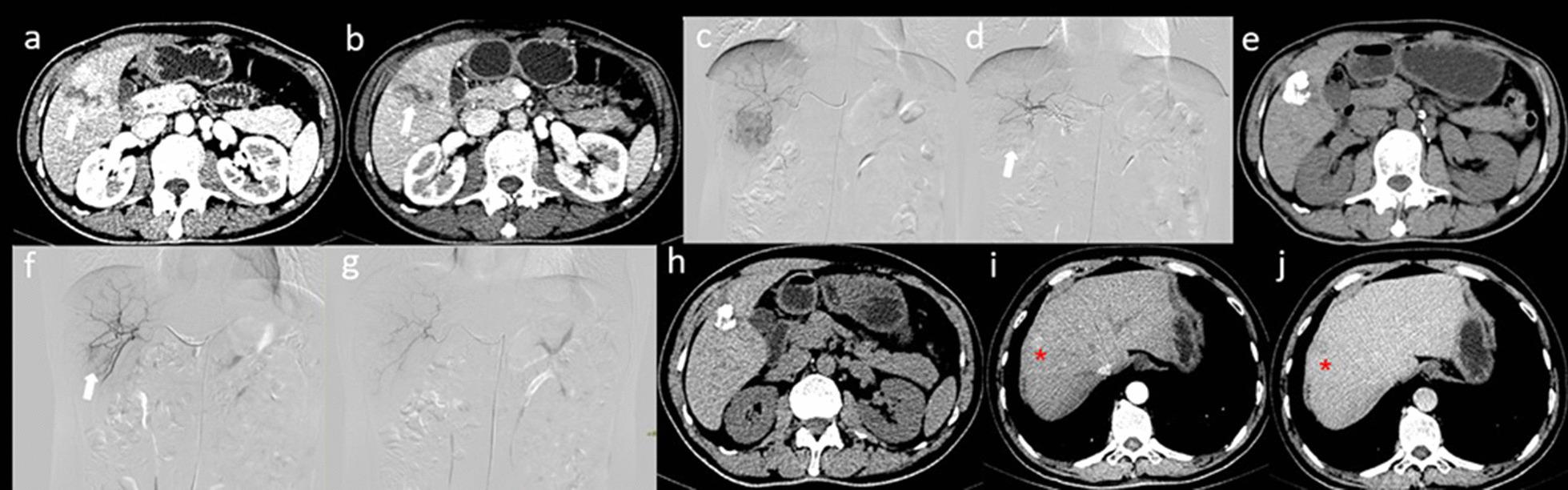
在一项为期10年的单中心比较研究中,序贯性经动脉化疗栓塞术和早期射频消融术可改善早期-中期肝细胞癌的临床结局。

Sequential transarterial chemoembolization and early radiofrequency ablation improves clinical outcomes for early-intermediate hepatocellular carcinoma in a 10-year single-center comparative study.

作者信息

Yan Liangliang, Ren Yanqiao, Qian Kun, Kan Xuefeng, Zhang Hongsen, Chen Lei, Liang Bin, Zheng Chuansheng

机构信息

Department of Radiology, Union Hospital, Tongji Medical College, Huazhong University of Science and Technology, Wuhan, 430022, China.

Hubei Key Laboratory of Molecular Imaging, Wuhan, 430022, China.

出版信息

BMC Gastroenterol. 2021 Apr 20;21(1):182. doi: 10.1186/s12876-021-01765-x.

DOI:10.1186/s12876-021-01765-x
PMID:33879085
原文链接:https://pmc.ncbi.nlm.nih.gov/articles/PMC8056675/
Abstract

BACKGROUND

Transarterial chemoembolization (TACE) and radiofrequency ablation (RFA) are effective treatment methods for unresectable hepatocellular carcinoma (HCC). However, there is still a lack of clinical research on whether early sequential RFA, compared with late combination therapy, can improve the long-term efficacy of initial TACE treatment.

METHODS

This retrospective study investigated a cohort of patients who underwent combination therapy using TACE and RFA (TACE followed by RFA) from January 2010 to January 2020 at our medical centre. A total of 96 patients underwent TACE combined with early RFA (usually during the first hospitalization), which was called TACE + eRFA. Thirty-four patients received 1-2 palliative TACE treatments first and then underwent TACE treatment combined with late RFA (TACE + lRFA). All patients continued to receive palliative TACE treatments after intrahepatic lesion progression until reaching intolerance. The overall survival (OS) rate, time to tumour progression (TTP), tumour response rate and major complication rates were compared between the two groups.

RESULTS

There were significant differences in the median OS (46 months vs 33 months; P = 0.013), median TTP (28 months vs 14 months; P < 0.00), objective response rate (ORR) (89.6% vs 61.8%, P = 0.000) and disease control rate (DCR) (94.8% vs 73.5% P = 0.002) between the two groups. Multivariable analysis revealed that the Barcelona Clinic Liver Cancer stage was an independent risk factor for OS. Meanwhile, multivariable analysis revealed that TACE + eRFA was associated with an enhanced TTP.

CONCLUSION

Early sequential RFA treatment in patients with early-intermediate HCC can improve local tumour control and clinical outcomes while reducing the frequency of TACE treatment. In clinical practice, in HCC patients initially treated with TACE, it is recommended to combine RFA as soon as possible to obtain long-term survival.

摘要

背景

经动脉化疗栓塞术(TACE)和射频消融术(RFA)是不可切除肝细胞癌(HCC)的有效治疗方法。然而,与晚期联合治疗相比,早期序贯RFA是否能提高初始TACE治疗的长期疗效,目前仍缺乏临床研究。

方法

这项回顾性研究调查了2010年1月至2020年1月在我们医疗中心接受TACE和RFA联合治疗(TACE后行RFA)的一组患者。共有96例患者接受了TACE联合早期RFA(通常在首次住院期间),称为TACE + eRFA。34例患者先接受1 - 2次姑息性TACE治疗,然后接受TACE联合晚期RFA治疗(TACE + lRFA)。所有患者在肝内病变进展后继续接受姑息性TACE治疗,直至出现不耐受。比较两组的总生存率(OS)、肿瘤进展时间(TTP)、肿瘤反应率和主要并发症发生率。

结果

两组患者的中位OS(46个月 vs 33个月;P = 0.013)、中位TTP(28个月 vs 14个月;P < 0.00)、客观缓解率(ORR)(89.6% vs 61.8%,P = 0.000)和疾病控制率(DCR)(94.8% vs 73.5%,P = 0.002)存在显著差异。多变量分析显示,巴塞罗那临床肝癌分期是OS的独立危险因素。同时,多变量分析显示TACE + eRFA与延长的TTP相关。

结论

早期 - 中期HCC患者早期序贯RFA治疗可改善局部肿瘤控制和临床结局,同时减少TACE治疗的频率。在临床实践中,对于初始接受TACE治疗的HCC患者,建议尽早联合RFA以获得长期生存。

https://cdn.ncbi.nlm.nih.gov/pmc/blobs/50b8/8056675/39e2ef235dfa/12876_2021_1765_Fig4_HTML.jpg
https://cdn.ncbi.nlm.nih.gov/pmc/blobs/50b8/8056675/e84b6aa444b0/12876_2021_1765_Fig1_HTML.jpg
https://cdn.ncbi.nlm.nih.gov/pmc/blobs/50b8/8056675/dcae1e1fad10/12876_2021_1765_Fig2_HTML.jpg
https://cdn.ncbi.nlm.nih.gov/pmc/blobs/50b8/8056675/76721ffa2f80/12876_2021_1765_Fig3_HTML.jpg
https://cdn.ncbi.nlm.nih.gov/pmc/blobs/50b8/8056675/39e2ef235dfa/12876_2021_1765_Fig4_HTML.jpg
https://cdn.ncbi.nlm.nih.gov/pmc/blobs/50b8/8056675/e84b6aa444b0/12876_2021_1765_Fig1_HTML.jpg
https://cdn.ncbi.nlm.nih.gov/pmc/blobs/50b8/8056675/dcae1e1fad10/12876_2021_1765_Fig2_HTML.jpg
https://cdn.ncbi.nlm.nih.gov/pmc/blobs/50b8/8056675/76721ffa2f80/12876_2021_1765_Fig3_HTML.jpg
https://cdn.ncbi.nlm.nih.gov/pmc/blobs/50b8/8056675/39e2ef235dfa/12876_2021_1765_Fig4_HTML.jpg

相似文献

1
Sequential transarterial chemoembolization and early radiofrequency ablation improves clinical outcomes for early-intermediate hepatocellular carcinoma in a 10-year single-center comparative study.在一项为期10年的单中心比较研究中,序贯性经动脉化疗栓塞术和早期射频消融术可改善早期-中期肝细胞癌的临床结局。
BMC Gastroenterol. 2021 Apr 20;21(1):182. doi: 10.1186/s12876-021-01765-x.
2
Transarterial chemoembolization combined with iodine 125 seeds versus transarterial chemoembolization combined with radiofrequency ablation in the treatment of early- and intermediate-stage hepatocellular carcinoma.经动脉化疗栓塞联合碘 125 种子与经动脉化疗栓塞联合射频消融治疗早期和中期肝细胞癌。
BMC Gastroenterol. 2020 Jun 29;20(1):205. doi: 10.1186/s12876-020-01355-3.
3
Early Stage Hepatocellular Carcinomas Not Feasible for Ultrasound-Guided Radiofrequency Ablation: Comparison of Transarterial Chemoembolization Alone and Combined Therapy with Transarterial Chemoembolization and Radiofrequency Ablation.早期肝细胞癌不适于超声引导射频消融治疗:单纯经动脉化疗栓塞治疗与联合经动脉化疗栓塞和射频消融治疗的比较。
Cardiovasc Intervent Radiol. 2016 Mar;39(3):417-25. doi: 10.1007/s00270-015-1194-0. Epub 2015 Aug 6.
4
Improved clinical outcome using transarterial chemoembolization combined with radiofrequency ablation for patients in Barcelona clinic liver cancer stage A or B hepatocellular carcinoma regardless of tumor size: results of a single-center retrospective case control study.经导管动脉化疗栓塞联合射频消融治疗巴塞罗那临床肝癌分期 A 或 B 期肝细胞癌患者的临床结局改善,无论肿瘤大小:单中心回顾性病例对照研究结果。
BMC Cancer. 2019 Oct 22;19(1):983. doi: 10.1186/s12885-019-6237-5.
5
Effectiveness of combined therapy radiofrequency ablation/transarterial chemoembolization versus transarterial chemoembolization/radiofrequency ablation on management of hepatocellular carcinoma.联合治疗射频消融/经动脉化疗栓塞与经动脉化疗栓塞/射频消融治疗肝细胞癌的效果比较。
Eur J Gastroenterol Hepatol. 2021 Dec 1;33(12):1573-1577. doi: 10.1097/MEG.0000000000001878.
6
Comparison of transarterial chemoembolization with radiofrequency ablation for unresectable Barcelona Clinic Liver Cancer stage 0/A hepatocellular carcinoma: a propensity score matching.经动脉化疗栓塞术与射频消融术治疗不可切除的巴塞罗那临床肝癌分期0/A期肝细胞癌的比较:倾向评分匹配法
J Gastroenterol Hepatol. 2016 Feb;31(2):442-9. doi: 10.1111/jgh.13077.
7
Comparison of the Efficacy Among Transcatheter Arterial Chemoembolization (TACE)-Radiofrequency Ablation Plus Apatinib, TACE Plus Apatinib, and TACE Alone for Hepatocellular Carcinoma: A Retrospective Study.经导管动脉化疗栓塞(TACE)-射频消融联合阿帕替尼、TACE 联合阿帕替尼与单纯 TACE 治疗肝细胞癌疗效比较:一项回顾性研究。
Cardiovasc Intervent Radiol. 2022 Jun;45(6):780-790. doi: 10.1007/s00270-022-03141-y. Epub 2022 Apr 11.
8
Combination Therapy of Radiofrequency Ablation and Transarterial Chemoembolization for Unresectable Hepatocellular Carcinoma: A Retrospective Study.射频消融与经动脉化疗栓塞联合治疗不可切除肝细胞癌:一项回顾性研究
Medicine (Baltimore). 2016 May;95(20):e3754. doi: 10.1097/MD.0000000000003754.
9
Comparison of overall survival on surgical resection versus transarterial chemoembolization with or without radiofrequency ablation in intermediate stage hepatocellular carcinoma: a propensity score matching analysis.对比中期肝细胞癌手术切除与肝动脉化疗栓塞联合或不联合射频消融的总生存率:倾向评分匹配分析。
BMC Gastroenterol. 2020 Apr 10;20(1):99. doi: 10.1186/s12876-020-01235-w.
10
Long-term outcome of transcatheter arterial chemoembolization after radiofrequency ablation as a combined therapy for Chinese patients with hepatocellular carcinoma.经导管动脉化疗栓塞术联合射频消融术治疗中国肝细胞癌患者的长期疗效
Curr Med Res Opin. 2015 Aug;31(8):1553-60. doi: 10.1185/03007995.2015.1058249. Epub 2015 Jul 9.

引用本文的文献

1
Radiofrequency ablation of hepatocellular carcinoma: Current status, challenges, and prospects.肝细胞癌的射频消融:现状、挑战与前景
Liver Res. 2023 May 31;7(2):108-115. doi: 10.1016/j.livres.2023.05.002. eCollection 2023 Jun.
2
Long-term outcomes of more than a decade treating patients with stereotactic body radiation therapy for hepatocellular carcinoma.十多年来使用立体定向体部放射治疗肝细胞癌患者的长期疗效。
Clin Transl Radiat Oncol. 2024 Oct 18;49:100878. doi: 10.1016/j.ctro.2024.100878. eCollection 2024 Nov.
3
Initial Trans-Arterial Chemo-Embolisation (TACE) Is Associated with Similar Survival Outcomes as Compared to Upfront Percutaneous Ablation Allowing for Follow-Up Treatment in Those with Single Hepatocellular Carcinoma (HCC) ≤ 3 cm: Results of a Real-World Propensity-Matched Multi-Centre Australian Cohort Study.

本文引用的文献

1
Global Cancer Statistics 2020: GLOBOCAN Estimates of Incidence and Mortality Worldwide for 36 Cancers in 185 Countries.《全球癌症统计数据 2020:全球 185 个国家和地区 36 种癌症的发病率和死亡率估计》。
CA Cancer J Clin. 2021 May;71(3):209-249. doi: 10.3322/caac.21660. Epub 2021 Feb 4.
2
Cancer statistics, 2020.癌症统计数据,2020 年。
CA Cancer J Clin. 2020 Jan;70(1):7-30. doi: 10.3322/caac.21590. Epub 2020 Jan 8.
3
Improved clinical outcome using transarterial chemoembolization combined with radiofrequency ablation for patients in Barcelona clinic liver cancer stage A or B hepatocellular carcinoma regardless of tumor size: results of a single-center retrospective case control study.
与 upfront 经皮消融相比,初始经动脉化疗栓塞术(TACE)对单个直径≤3 cm 的肝细胞癌(HCC)患者的生存结果相似,且允许对这些患者进行后续治疗:一项澳大利亚多中心真实世界倾向匹配队列研究的结果
Cancers (Basel). 2024 Aug 29;16(17):3010. doi: 10.3390/cancers16173010.
4
Microwave ablation followed by cTACE in 5-cm HCC lesions: does a single-session approach affect liver function?5cm 肝癌病灶微波消融联合 cTACE:单次治疗方案是否影响肝功能?
Radiol Med. 2024 Aug;129(8):1252-1264. doi: 10.1007/s11547-024-01842-7. Epub 2024 Jul 3.
5
Hug sign in intraprocedural cone-beam-CT to predict short-term response to combined treatment of hepatocellular carcinoma.术中锥形束 CT 的 Hug 征预测肝细胞癌联合治疗的短期反应。
Radiol Med. 2024 May;129(5):807-816. doi: 10.1007/s11547-024-01805-y. Epub 2024 Mar 21.
6
Evaluation of the efficacy of transarterial chemoembolization combined with microwave ablation followed by adjuvant therapy in patients with hepatocellular carcinoma.评价经肝动脉化疗栓塞联合微波消融辅助治疗肝细胞癌的疗效。
Front Immunol. 2024 Feb 6;15:1337396. doi: 10.3389/fimmu.2024.1337396. eCollection 2024.
7
Chemoembolization Plus Ablation: Current Status.化疗栓塞联合消融:现状
Semin Intervent Radiol. 2024 Jan 24;40(6):505-510. doi: 10.1055/s-0043-1777715. eCollection 2023 Dec.
8
Transarterial chemoembolization combined with radiofrequency ablation in the treatment of large hepatocellular carcinoma with stage C.经动脉化疗栓塞联合射频消融治疗C期大肝细胞癌
World J Clin Cases. 2022 Nov 26;10(33):12156-12163. doi: 10.12998/wjcc.v10.i33.12156.
9
The monocyte to lymphocyte ratio not only at baseline but also at relapse predicts poor outcomes in patients with hepatocellular carcinoma receiving locoregional therapy.单核细胞与淋巴细胞比值不仅在基线时,而且在复发时,均可预测接受局部区域治疗的肝细胞癌患者的不良结局。
BMC Gastroenterol. 2022 Mar 4;22(1):98. doi: 10.1186/s12876-022-02180-6.
经导管动脉化疗栓塞联合射频消融治疗巴塞罗那临床肝癌分期 A 或 B 期肝细胞癌患者的临床结局改善,无论肿瘤大小:单中心回顾性病例对照研究结果。
BMC Cancer. 2019 Oct 22;19(1):983. doi: 10.1186/s12885-019-6237-5.
4
Combined ultrasound/computed tomography guidance in percutaneous radiofrequency ablation after transarterial chemoembolization for hepatocellular carcinoma in the hepatic dome.经动脉化疗栓塞术后肝顶部肝细胞癌经皮射频消融术中超声/计算机断层扫描联合引导
Cancer Manag Res. 2019 Aug 15;11:7751-7757. doi: 10.2147/CMAR.S212127. eCollection 2019.
5
Mortality, morbidity, and risk factors in China and its provinces, 1990-2017: a systematic analysis for the Global Burden of Disease Study 2017.死亡率、发病率和风险因素在中国及其省份,1990-2017 年:2017 年全球疾病负担研究的系统分析。
Lancet. 2019 Sep 28;394(10204):1145-1158. doi: 10.1016/S0140-6736(19)30427-1. Epub 2019 Jun 24.
6
Current status of the combination therapy of transarterial chemoembolization and local ablation for hepatocellular carcinoma.经导管肝动脉化疗栓塞术联合局部消融治疗肝细胞癌的现状。
Abdom Radiol (NY). 2019 Jun;44(6):2268-2275. doi: 10.1007/s00261-019-01943-2.
7
Hepatocellular Carcinoma.肝细胞癌
N Engl J Med. 2019 Apr 11;380(15):1450-1462. doi: 10.1056/NEJMra1713263.
8
[Report of cancer epidemiology in China, 2015].《2015年中国癌症流行病学报告》
Zhonghua Zhong Liu Za Zhi. 2019 Jan 23;41(1):19-28. doi: 10.3760/cma.j.issn.0253-3766.2019.01.005.
9
Tumor Location Influences Oncologic Outcomes of Hepatocellular Carcinoma Patients Undergoing Radiofrequency Ablation.肿瘤位置对接受射频消融治疗的肝细胞癌患者肿瘤学结局的影响。
Cancers (Basel). 2018 Oct 10;10(10):378. doi: 10.3390/cancers10100378.
10
Global cancer statistics 2018: GLOBOCAN estimates of incidence and mortality worldwide for 36 cancers in 185 countries.全球癌症统计数据 2018:GLOBOCAN 对全球 185 个国家/地区 36 种癌症的发病率和死亡率的估计。
CA Cancer J Clin. 2018 Nov;68(6):394-424. doi: 10.3322/caac.21492. Epub 2018 Sep 12.