Suppr超能文献

来那度胺联合疗法对由EBV阳性弥漫性大B细胞淋巴瘤和血管免疫母细胞性T细胞淋巴瘤组成的异质性淋巴瘤有显著疗效:一例报告

Promising Response to Lenalidomide-Combination Therapy in a Discordant Lymphoma Consisting of EBV-Positive Diffuse Large B-Cell Lymphoma and Angioimmunoblastic T-Cell Lymphoma: A Case Report.

作者信息

Hu Pan, Ben Yu, Liu Juan, Zheng Weicheng, Yan Xiyue, Zhang Yaping, Shi Wenyu

机构信息

Department of Oncology, Affiliated Hospital of Nantong University, Nantong, Jiangsu, 226001, People's Republic of China.

Department of Hematology, Affiliated Hospital of Nantong University, Nantong, Jiangsu, 226001, People's Republic of China.

出版信息

Onco Targets Ther. 2021 Apr 12;14:2489-2495. doi: 10.2147/OTT.S297539. eCollection 2021.

Abstract

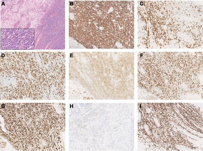
Epstein-Barr virus (EBV)-positive diffuse large B-cell lymphoma (DLBCL) complicated with angioimmunoblastic T-cell lymphoma (AITL) is extremely rare and typically shows an aggressive clinical course and unsatisfactory prognosis. Here, we describe the case of a 77-year-old man who was referred to the hospital because of repeated fever, night sweats, and weight loss. He was finally diagnosed with a discordant lymphoma consisting of AITL and DLBCL, with significantly different maximum standardized uptake values on positron emission tomography/computed tomography. Based on his complex illness and poor performance status, the patient received six cycles of lenalidomide combined with R-miniCHOP regimen and achieved complete remission with tolerable and controlled toxicity. He subsequently received lenalidomide maintenance therapy and achieved sustained remission. We consider the possible causes of this discordance involved AITL and EBV-positive DLBCL, and the possible mechanism of lenalidomide action in both T-cell and B-cell non-Hodgkin lymphomas. Lenalidomide-combination therapy may be a preferable choice in patients with an EBV-associated discordant lymphoma.

摘要

爱泼斯坦-巴尔病毒(EBV)阳性弥漫性大B细胞淋巴瘤(DLBCL)合并血管免疫母细胞性T细胞淋巴瘤(AITL)极为罕见,通常表现出侵袭性临床病程且预后不佳。在此,我们描述了一名77岁男性患者的病例,该患者因反复发热、盗汗和体重减轻而入院。他最终被诊断为一种由AITL和DLBCL组成的不一致性淋巴瘤,在正电子发射断层扫描/计算机断层扫描上具有显著不同的最大标准化摄取值。基于其复杂病情和较差的体能状态,该患者接受了六个周期的来那度胺联合R-miniCHOP方案治疗,并实现了完全缓解,且毒性可耐受和可控。随后他接受了来那度胺维持治疗并实现了持续缓解。我们考虑了这种不一致性的可能原因,涉及AITL和EBV阳性DLBCL,以及来那度胺在T细胞和B细胞非霍奇金淋巴瘤中的可能作用机制。来那度胺联合治疗可能是EBV相关不一致性淋巴瘤患者的一个较好选择。

https://cdn.ncbi.nlm.nih.gov/pmc/blobs/73a4/8053605/4cf4acbaba49/OTT-14-2489-g0001.jpg

文献AI研究员

20分钟写一篇综述,助力文献阅读效率提升50倍。

立即体验

用中文搜PubMed

大模型驱动的PubMed中文搜索引擎

马上搜索

文档翻译

学术文献翻译模型,支持多种主流文档格式。

立即体验