Department of Gynecology, Jiangxi Provincial People's Hospital Affiliated to Nanchang University, Nanchang, 330006, China.
Department of Radiology, Jiangxi Provincial People's Hospital Affiliated to Nanchang University, Nanchang, 330006, China.
Sci Rep. 2021 Apr 22;11(1):8730. doi: 10.1038/s41598-021-87775-x.
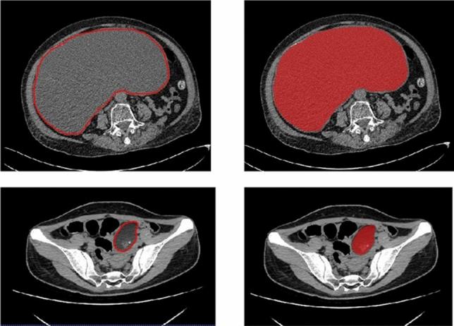
This paper develops a two-dimensional (2D) radiomics approach with computed tomography (CT) to differentiate between benign and malignant ovarian neoplasms. A retrospective study was conducted from July 2017 to June 2019 for 134 patients with surgically-verified benign or malignant ovarian tumors. The patients were randomly divided in a ratio of 7:3 into two sets, namely a training set (of n = 95) and a test set (of n = 39). The ITK-SNAP software was used to delineate the regions of interest (ROI) associated with lesions of the largest diameters in plain CT image slices. Texture features were extracted by the Analysis Kit (AK) software. The training set was used to select the best features according to the maximum-relevance minimum-redundancy (mRMR) criterion, in addition to the algorithm of the least absolute shrinkage and selection operator (LASSO). Then, we employed a radiomics model for classification via multivariate logistic regression. Finally, we evaluated the overall performance of our method using the receiver operating characteristics (ROC), the DeLong test. and tested in an external validation test sample of patients of ovarian neoplasm. We created a radiomics prediction model from 14 selected features. The radiomic signature was found to be highly discriminative according to the area under the ROC curve (AUC) for both the training set (AUC = 0.88), and the test set (AUC = 0.87). The radiomics nomogram also demonstrated good calibration and differentiation for both the training (AUC = 0.95) and test (AUC = 0.96) samples. External validation tests gave a good performance in radiomic signature (AUC = 0.83) and radiomics nomogram (AUC = 0.95). The decision curve explicitly indicated the clinical usefulness of our nomogram method in the sense that it can influence major clinical events such as the ordering or abortion of other tests, treatments or invasive procedures. Our radiomics model based on plain CT images has a high diagnostic efficiency, which is helpful for the identification and prediction of benign and malignant ovarian neoplasms.
本文提出了一种基于二维(2D)计算机断层扫描(CT)的放射组学方法,用于区分良性和恶性卵巢肿瘤。这是一项回顾性研究,纳入了 2017 年 7 月至 2019 年 6 月期间经手术证实的 134 例良性或恶性卵巢肿瘤患者。患者按照 7:3 的比例随机分为训练集(n=95)和测试集(n=39)。使用 ITK-SNAP 软件在平扫 CT 图像切片上勾勒出最大直径病变的感兴趣区域(ROI)。使用 Analysis Kit(AK)软件提取纹理特征。通过最大相关性最小冗余度(mRMR)准则以及最小绝对值收缩和选择算子(LASSO)算法,在训练集中选择最佳特征。然后,我们采用多元逻辑回归进行分类的放射组学模型。最后,我们使用受试者工作特征(ROC)曲线、DeLong 检验以及卵巢肿瘤患者的外部验证测试样本评估方法的整体性能。我们从 14 个选定特征中创建了一个放射组学预测模型。根据 ROC 曲线下面积(AUC),该放射组学特征在训练集(AUC=0.88)和测试集(AUC=0.87)中均具有高度的区分能力。放射组学列线图在训练集(AUC=0.95)和测试集(AUC=0.96)中也表现出良好的校准和区分能力。外部验证测试在放射组学特征(AUC=0.83)和放射组学列线图(AUC=0.95)中表现出良好的性能。决策曲线明确表明,我们的列线图方法在临床上具有实用性,因为它可以影响其他检查、治疗或有创操作的医嘱或中止等重大临床事件。基于平扫 CT 图像的放射组学模型具有较高的诊断效率,有助于识别和预测良性和恶性卵巢肿瘤。