• 文献检索
  • 文档翻译
  • 深度研究
  • 学术资讯
  • Suppr Zotero 插件Zotero 插件
  • 邀请有礼
  • 套餐&价格
  • 历史记录
应用&插件
Suppr Zotero 插件Zotero 插件浏览器插件Mac 客户端Windows 客户端微信小程序
定价
高级版会员购买积分包购买API积分包
服务
文献检索文档翻译深度研究API 文档MCP 服务
关于我们
关于 Suppr公司介绍联系我们用户协议隐私条款
关注我们

Suppr 超能文献

核心技术专利:CN118964589B侵权必究
粤ICP备2023148730 号-1Suppr @ 2026

文献检索

告别复杂PubMed语法,用中文像聊天一样搜索,搜遍4000万医学文献。AI智能推荐,让科研检索更轻松。

立即免费搜索

文件翻译

保留排版,准确专业,支持PDF/Word/PPT等文件格式,支持 12+语言互译。

免费翻译文档

深度研究

AI帮你快速写综述,25分钟生成高质量综述,智能提取关键信息,辅助科研写作。

立即免费体验

英夫利昔单抗治疗克罗恩病并发快速进展型结直肠癌:一例报告

Crohn's disease with infliximab treatment complicated by rapidly progressing colorectal cancer: A case report.

作者信息

Xiao Lin, Sun Lie, Zhao Kang, Pan Yi-Sheng

机构信息

Department of General Surgery, Peking University First Hospital, Beijing 100034, China.

出版信息

World J Gastrointest Oncol. 2021 Apr 15;13(4):305-311. doi: 10.4251/wjgo.v13.i4.305.

DOI:10.4251/wjgo.v13.i4.305
PMID:33889281
原文链接:https://pmc.ncbi.nlm.nih.gov/articles/PMC8040059/
Abstract

BACKGROUND

Crohn's disease (CD) causes a range of digestive symptoms including recurrent diarrhea, abdominalgia, and flatulence, and severely impacts the quality of life of patients. Infliximab, a monoclonal antibody against tumor necrosis factor alpha, has recently been promoted as a therapeutic treatment for CD, but its safety margins remain uncertain. We report a case of rapidly progressive colorectal cancer that was diagnosed in a patient with CD who had previously been treated with infliximab.

CASE SUMMARY

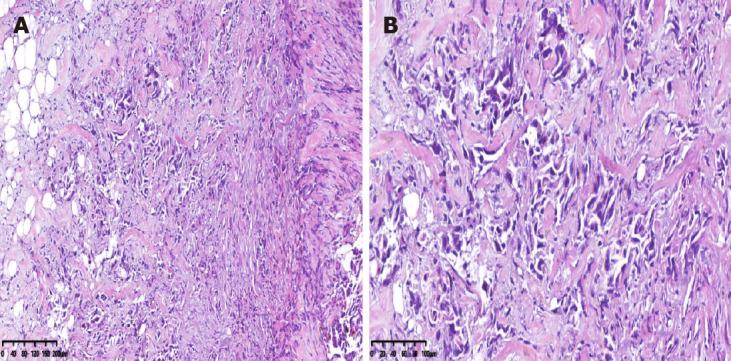
This case report refers to a 40-year-old male with a 6-year history of CD. The patient underwent transverse colostomy because of inflammatory ileus in 2017. He subsequently received infliximab treatment in 2018. Ten months later, worsening contracture of the transverse colostomy was observed. Imaging tests indicated that the patient may have developed colon cancer with extensive peritoneal implantation. At the same time, colonoscopy revealed a rectal mass and pathological examination indicated well-differentiated adenocarcinoma. Palliative ileostomy was performed to improve defecation in 2019. During the operation, a small nodular mass in the mesentery of the small intestine was identified and pathological examination of the mass revealed advanced adenocarcinoma. The patient was diagnosed with advanced colorectal cancer and administered palliative chemotherapy. He died in June 2020.

CONCLUSION

We stress the importance of recognizing the possible occurrence of malignance in patients with CD receiving infliximab.

摘要

背景

克罗恩病(CD)会引发一系列消化症状,包括反复腹泻、腹痛和气胀,严重影响患者的生活质量。英夫利昔单抗是一种抗肿瘤坏死因子α的单克隆抗体,最近被推广用于CD的治疗,但其安全边际仍不确定。我们报告了一例在先前接受英夫利昔单抗治疗的CD患者中诊断出的快速进展性结直肠癌病例。

病例摘要

本病例报告涉及一名有6年CD病史的40岁男性。该患者因2017年的炎性肠梗阻接受了横结肠造口术。他随后在2018年接受了英夫利昔单抗治疗。十个月后,观察到横结肠造口术挛缩加重。影像学检查表明患者可能已发展为伴有广泛腹膜种植的结肠癌。同时,结肠镜检查发现直肠肿物,病理检查显示为高分化腺癌。2019年进行了姑息性回肠造口术以改善排便。手术期间,在小肠系膜中发现一个小结节状肿物,肿物的病理检查显示为晚期腺癌。该患者被诊断为晚期结直肠癌并接受了姑息化疗。他于2020年6月去世。

结论

我们强调认识到接受英夫利昔单抗治疗的CD患者可能发生恶性肿瘤的重要性。

https://cdn.ncbi.nlm.nih.gov/pmc/blobs/e908/8040059/a5efc7bbeca2/WJGO-13-305-g004.jpg
https://cdn.ncbi.nlm.nih.gov/pmc/blobs/e908/8040059/f7cb9d4d2d2d/WJGO-13-305-g001.jpg
https://cdn.ncbi.nlm.nih.gov/pmc/blobs/e908/8040059/3d2af868fc58/WJGO-13-305-g002.jpg
https://cdn.ncbi.nlm.nih.gov/pmc/blobs/e908/8040059/f9fe3a993ad0/WJGO-13-305-g003.jpg
https://cdn.ncbi.nlm.nih.gov/pmc/blobs/e908/8040059/a5efc7bbeca2/WJGO-13-305-g004.jpg
https://cdn.ncbi.nlm.nih.gov/pmc/blobs/e908/8040059/f7cb9d4d2d2d/WJGO-13-305-g001.jpg
https://cdn.ncbi.nlm.nih.gov/pmc/blobs/e908/8040059/3d2af868fc58/WJGO-13-305-g002.jpg
https://cdn.ncbi.nlm.nih.gov/pmc/blobs/e908/8040059/f9fe3a993ad0/WJGO-13-305-g003.jpg
https://cdn.ncbi.nlm.nih.gov/pmc/blobs/e908/8040059/a5efc7bbeca2/WJGO-13-305-g004.jpg

相似文献

1
Crohn's disease with infliximab treatment complicated by rapidly progressing colorectal cancer: A case report.英夫利昔单抗治疗克罗恩病并发快速进展型结直肠癌:一例报告
World J Gastrointest Oncol. 2021 Apr 15;13(4):305-311. doi: 10.4251/wjgo.v13.i4.305.
2
Generalized Pyoderma Gangrenosum Associated with Ulcerative Colitis: Successful Treatment with Infliximab and Azathioprine.与溃疡性结肠炎相关的泛发性坏疽性脓皮病:英夫利昔单抗和硫唑嘌呤治疗成功
Acta Dermatovenerol Croat. 2016 Apr;24(1):83-5.
3
Crohn's disease-associated colorectal cancer in Japan: report of four cases.日本克罗恩病相关结直肠癌:4例报告
Int J Colorectal Dis. 2007 Dec;22(12):1537-42. doi: 10.1007/s00384-007-0371-2. Epub 2007 Aug 24.
4
Large Bowel Progressive Stricture after Infliximab Therapy for Crohn's Disease.英夫利昔单抗治疗克罗恩病后出现的大肠进行性狭窄
Intern Med. 2018 Aug 1;57(15):2179-2183. doi: 10.2169/internalmedicine.0583-17. Epub 2018 Mar 9.
5
Carcinoma in the residual rectum of a long-standing Crohn's disease patient following subtotal colectomy: A case report.全结肠切除术后长期克罗恩病患者残留直肠发生癌:一例报告
Mol Clin Oncol. 2018 Jul;9(1):50-53. doi: 10.3892/mco.2018.1626. Epub 2018 May 14.
6
Lymphomatoid Papulosis Type B in a Patient with Crohn's Disease Treated with TNF-Alpha Inhibitors Infliximab and Adalimumab.一名克罗恩病患者患B型淋巴瘤样丘疹病,接受肿瘤坏死因子-α抑制剂英夫利昔单抗和阿达木单抗治疗。
Acta Dermatovenerol Croat. 2019 Sep;27(3):202-204.
7
[Rectal cancer with multiple metastases complicated by Crohn's disease 5 years after surgery:a case report].[直肠癌术后5年多发转移合并克罗恩病:一例报告]
Nihon Shokakibyo Gakkai Zasshi. 2023;120(8):671-679. doi: 10.11405/nisshoshi.120.671.
8
Small bowel adenocarcinoma in a patient with a 5-year history of untreated Crohn's disease: a case report.一名有5年未治疗克罗恩病病史患者的小肠腺癌:病例报告
G Chir. 2018 Nov-Dec;39(6):383-387.
9
A patient with colitis-associated cancer who developed clinically manifest Crohn's disease only after surgery.一名患有结肠炎相关癌症的患者,仅在手术后出现了临床表现明显的克罗恩病。
Surg Case Rep. 2020 Apr 10;6(1):68. doi: 10.1186/s40792-020-0779-2.
10
Colon cancer after infliximab therapy for Crohn's disease.克罗恩病应用英夫利昔单抗治疗后发生结肠癌。
BioDrugs. 2010 Dec 14;24 Suppl 1:18-21. doi: 10.2165/11586280-000000000-00000.

引用本文的文献

1
Crohn's disease and clinical management today: How it does?当今的克罗恩病与临床管理:现状如何?
World J Methodol. 2023 Dec 20;13(5):399-413. doi: 10.5662/wjm.v13.i5.399.
2
Primary Retroperitoneal Mucinous Cystadenocarcinoma during Long-term Administration of Infliximab for the Treatment of Crohn's Disease.原发性腹膜后黏液性囊腺癌在长期使用英夫利昔单抗治疗克罗恩病期间发生。
Intern Med. 2023 Dec 15;62(24):3619-3624. doi: 10.2169/internalmedicine.1593-23. Epub 2023 May 10.
3
Small bowel adenocarcinoma in neoterminal ileum in setting of stricturing Crohn's disease: A case report and review of literature.

本文引用的文献

1
Anti-TNF Therapy in Crohn's Disease.抗 TNF 治疗克罗恩病。
Int J Mol Sci. 2018 Jul 31;19(8):2244. doi: 10.3390/ijms19082244.
2
Progression of undiagnosed cutaneous lymphoma after anti-tumor necrosis factor-alpha therapy.抗肿瘤坏死因子-α治疗后未诊断的皮肤淋巴瘤进展。
J Am Acad Dermatol. 2018 Jun;78(6):1068-1076. doi: 10.1016/j.jaad.2017.12.068. Epub 2018 Jan 4.
3
Hodgkin's Lymphoma in Crohn's Disease Treated with Infliximab.英夫利昔单抗治疗克罗恩病合并霍奇金淋巴瘤
狭窄性克罗恩病背景下新末端回肠的小肠腺癌:一例报告及文献复习
World J Clin Cases. 2023 Mar 26;11(9):2021-2028. doi: 10.12998/wjcc.v11.i9.2021.
GE Port J Gastroenterol. 2017 Nov;24(6):279-284. doi: 10.1159/000455180. Epub 2017 Sep 6.
4
The Impact of Anti-TNF Therapy on CD4+ and CD8+ Cell Subsets in Ankylosing Spondylitis.抗 TNF 治疗对强直性脊柱炎患者 CD4+和 CD8+细胞亚群的影响。
Pathobiology. 2018;85(3):201-210. doi: 10.1159/000484250. Epub 2017 Dec 6.
5
Gastrointestinal: Adenocarcinoma in ileal Crohn's disease: A devil in disguise.胃肠道:回肠克罗恩病中的腺癌:伪装的恶魔。
J Gastroenterol Hepatol. 2017 Sep;32(9):1535. doi: 10.1111/jgh.13673.
6
[Anorectal adenocarcinoma after Infliximab treatment for fistulizing Crohn's disease].英夫利昔单抗治疗瘘管性克罗恩病后发生的肛管腺癌
Pan Afr Med J. 2017 Mar 24;26:172. doi: 10.11604/pamj.2017.26.172.10218. eCollection 2017.
7
Infection and Malignancy Risk in Patients Treated with TNF Inhibitors for Immune-Mediated Inflammatory Diseases.接受肿瘤坏死因子抑制剂治疗的免疫介导炎症性疾病患者的感染和恶性肿瘤风险
Curr Drug Saf. 2017;12(3):162-170. doi: 10.2174/1574886312666170616085228.
8
Small bowel adenocarcinoma complicating Crohn's disease: a single-centre experience emphasizing the importance of screening for dysplasia.克罗恩病并发小肠腺癌:单中心经验强调发育异常筛查的重要性。
Virchows Arch. 2017 Nov;471(5):611-617. doi: 10.1007/s00428-017-2125-z. Epub 2017 Apr 18.
9
Impact of anti-TNF therapy on NK cells function and on immunosurveillance against B-cell lymphomas.抗 TNF 治疗对 NK 细胞功能和对 B 细胞淋巴瘤免疫监视的影响。
J Autoimmun. 2017 Jun;80:56-64. doi: 10.1016/j.jaut.2017.02.001. Epub 2017 Feb 14.
10
Mechanism of Action of Anti-TNF Therapy in Inflammatory Bowel Disease.抗 TNF 疗法在炎症性肠病中的作用机制
J Crohns Colitis. 2016 Aug;10(8):989-97. doi: 10.1093/ecco-jcc/jjw053. Epub 2016 Feb 19.