Suppr超能文献

一名右心室双出口合并严重红细胞增多症患儿的麻醉管理:病例报告

Anesthetic management of a child with double outlet right ventricle and severe polycythemia: A case report.

作者信息

Tan Ling-Can, Zhang Wei-Yi, Zuo Yi-Ding, Chen Hong-Yang, Jiang Chun-Ling

机构信息

Department of Anesthesiology, West China Hospital, Sichuan University and The Research Units of West China (2018RU012), Chinese Academy of Medical Sciences, Chengdu 610041, Sichuan Province, China.

出版信息

World J Clin Cases. 2021 Apr 16;9(11):2634-2640. doi: 10.12998/wjcc.v9.i11.2634.

Abstract

BACKGROUND

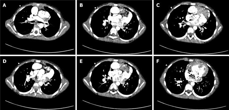
Double outlet right ventricle (DORV) is a rare and complex congenital heart defect, and the surgical repairs vary with type and pathophysiology consequences. Due to prolonged progressive hypoxemia, severe polycythemia is common in patients with DORV, which ultimately leads to coagulation dysfunction and increases the risk of thrombosis and infarction. Consequently, the anesthetic management is challenging and how to manage severe polycythemia and avoid hypoxia-related complications in such patients is of great significance.

CASE SUMMARY

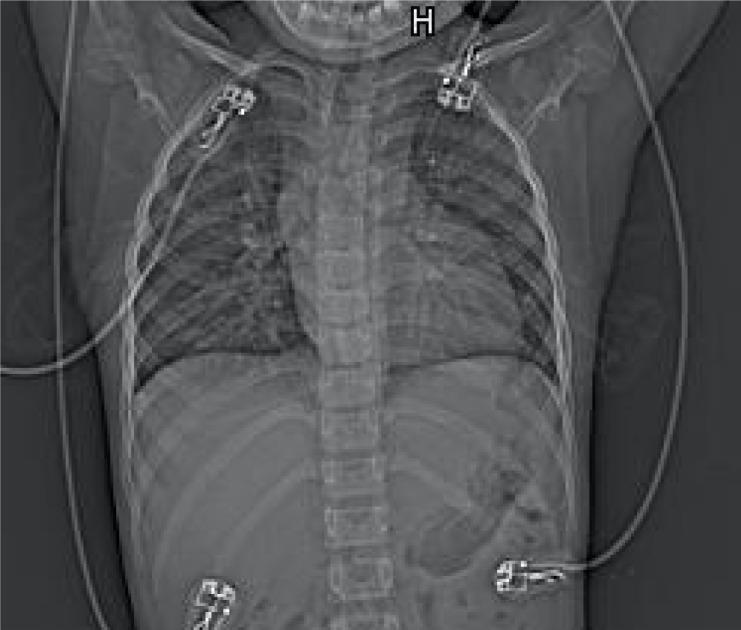
Herein, we report the anesthetic management of a 10-year-old female patient with a DORV. She lived in the low-oxygen Qinghai-Tibet Plateau, and presented with severe polycythemia (hemoglobin, 24.8 g/dL; hematocrit, 75%). She underwent a modified Fontan surgery, which was satisfactory and without any perioperative complications. Our anesthetic management highlights the importance of perioperative hemodilution in decreasing the risk of thromboembolism and the importance of correcting coagulopathy in preventing hemorrhage.

CONCLUSION

Anesthetic management is challenging in rare cyanotic congenital heart disease patients with severe polycythemia. It is important to adopt perioperative hemodilution and correction of coagulopathy in preventing thrombosis and hemorrhage.

摘要

背景

右心室双出口(DORV)是一种罕见且复杂的先天性心脏缺陷,手术修复方式因类型和病理生理后果而异。由于进行性低氧血症持续时间较长,DORV患者中严重红细胞增多症很常见,这最终会导致凝血功能障碍,并增加血栓形成和梗死的风险。因此,麻醉管理具有挑战性,如何处理此类患者的严重红细胞增多症并避免缺氧相关并发症具有重要意义。

病例摘要

在此,我们报告一名10岁DORV女性患者的麻醉管理情况。她生活在低氧的青藏高原,患有严重红细胞增多症(血红蛋白24.8 g/dL;血细胞比容75%)。她接受了改良Fontan手术,手术效果满意,围手术期无任何并发症。我们的麻醉管理突出了围手术期血液稀释在降低血栓栓塞风险方面的重要性以及纠正凝血障碍在预防出血方面的重要性。

结论

对于患有严重红细胞增多症的罕见青紫型先天性心脏病患者,麻醉管理具有挑战性。采用围手术期血液稀释和纠正凝血障碍对于预防血栓形成和出血很重要。

https://cdn.ncbi.nlm.nih.gov/pmc/blobs/3ab3/8040181/4cb1af14292f/WJCC-9-2634-g001.jpg

文献AI研究员

20分钟写一篇综述,助力文献阅读效率提升50倍。

立即体验

用中文搜PubMed

大模型驱动的PubMed中文搜索引擎

马上搜索

文档翻译

学术文献翻译模型,支持多种主流文档格式。

立即体验