Suppr超能文献

肝移植术后早期并发症——倒灌性Takotsubo心肌病

Inverted Takotsubo Cardiomyopathy as an Early Complication After Liver Transplantation.

作者信息

Bedanova Helena, Ondrasek Jiri, Filipensky Petr, Nemec Petr, Dobsak Petr

机构信息

Department of Transplantology, Center of Cardiovascular and Transplant Surgery, Brno, Czech Republic.

Department of Urology, St. Ann's University Hospital and Masaryk University, Brno, Czech Republic.

出版信息

Am J Case Rep. 2021 Apr 24;22:e930484. doi: 10.12659/AJCR.930484.

Abstract

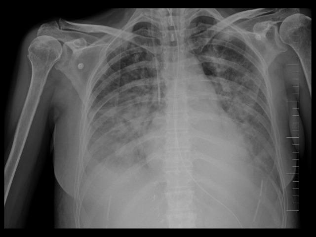
BACKGROUND Takotsubo cardiomyopathy (TTC) is a cardiac syndrome characterized by transient left ventricle (LV) dysfunction, typically showing apical ballooning due to apical akinesis with preserved basal segment contractility. The inverted form is very uncommon and is characterized by basal segment hypokinesis or akinesis and normal LV apical segment contractility. CASE REPORT We describe the case of a 49-year-old woman who developed inverted TTC after orthotopic liver transplantation. On day 1 (D1), dyspnea and oliguria suddenly appeared. A chest X-ray showed pulmonary edema, and echocardiography showed severe systolic LV dysfunction with an estimated ejection fraction of approximately 25% and akinesis of basal and midventricular LV segments, normal apical segment contractility, and mild mitral regurgitation. Elevated troponin T, creatine kinase-MB, and N-terminal pro B-type natriuretic peptide were found in the blood sample. Suspected inverted takotsubo cardiomyopathy was confirmed by left ventriculography, with normal apical part motion, akinesis in the other LV parts, and negative coronary angiography. The echocardiographic findings returned to normal on D14, and the patient was discharged from the hospital on D19 with normal LV motion and an ejection fraction of 65%. The transplanted liver function was excellent. CONCLUSIONS Organ transplantation is connected with a great emotional stress because the patient's life depends on the death of another person. Therefore, we have to think about the possibility of stress cardiomyopathy even after liver transplantation, because early diagnosis and treatment can be life-saving for the patient. To our knowledge, this is the first described case of inverted takotsubo cardiomyopathy after liver transplantation.

摘要

背景 应激性心肌病(TTC)是一种以短暂性左心室(LV)功能障碍为特征的心脏综合征,典型表现为心尖运动消失导致心尖部膨出,而基底节段收缩功能保留。倒置型非常罕见,其特征是基底节段运动减弱或消失,左心室心尖段收缩功能正常。病例报告 我们描述了一例49岁女性在原位肝移植后发生倒置型TTC的病例。在第1天(D1),突然出现呼吸困难和少尿。胸部X线显示肺水肿,超声心动图显示严重的左心室收缩功能障碍,估计射血分数约为25%,左心室基底和中间段运动消失,心尖段收缩功能正常,伴有轻度二尖瓣反流。血液样本中发现肌钙蛋白T、肌酸激酶-MB和N末端B型利钠肽前体升高。左心室造影证实为疑似倒置型应激性心肌病,心尖部运动正常,左心室其他部位运动消失,冠状动脉造影阴性。超声心动图检查结果在第14天恢复正常,患者于第19天出院,左心室运动正常,射血分数为65%。移植肝脏功能良好。结论 器官移植伴随着巨大的情感压力,因为患者的生命依赖于另一个人的死亡。因此,即使在肝移植后,我们也必须考虑应激性心肌病的可能性,因为早期诊断和治疗可能挽救患者生命。据我们所知,这是首例报道的肝移植后倒置型应激性心肌病病例。

https://cdn.ncbi.nlm.nih.gov/pmc/blobs/275e/8083814/ccf299acaf69/amjcaserep-22-e930484-g001.jpg

文献检索

告别复杂PubMed语法,用中文像聊天一样搜索,搜遍4000万医学文献。AI智能推荐,让科研检索更轻松。

立即免费搜索

文件翻译

保留排版,准确专业,支持PDF/Word/PPT等文件格式,支持 12+语言互译。

免费翻译文档

深度研究

AI帮你快速写综述,25分钟生成高质量综述,智能提取关键信息,辅助科研写作。

立即免费体验