Suppr超能文献

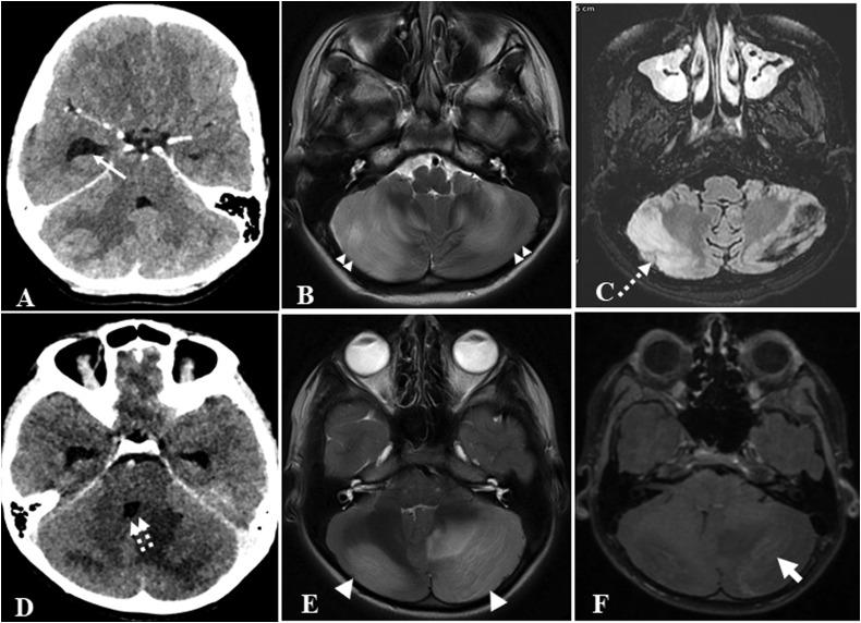
Acute Fulminant Cerebellitis in Children with COVID-19 Infection: A Rare But Treatable Complication.

作者信息

Sharma Sanjiv, Ruparelia Jigish, Bhaskar Suryanarayanan, Tiwari Sarbesh, Nag Vijaya Lakshmi, Panda Samhita

机构信息

Department of Neurology, All India Institute of Medical Sciences, Jodhpur, Rajasthan.

Department of Neurosurgery, All India Institute of Medical Sciences, Jodhpur, Rajasthan.

出版信息

Pediatr Neurol. 2021 Jun;119:45-47. doi: 10.1016/j.pediatrneurol.2021.03.004. Epub 2021 Mar 26.

Abstract
摘要
https://cdn.ncbi.nlm.nih.gov/pmc/blobs/f554/7997024/76ae30806e7d/gr1_lrg.jpg

文献AI研究员

20分钟写一篇综述,助力文献阅读效率提升50倍。

立即体验

用中文搜PubMed

大模型驱动的PubMed中文搜索引擎

马上搜索

文档翻译

学术文献翻译模型,支持多种主流文档格式。

立即体验