Suppr超能文献

Retrograde migration of a vesicoureteric junction calculus: A potential pitfall of the noncontrast limited pelvic computerized tomography.

作者信息

Miah Saiful, Connor Martin J, Wiseman Oliver, Shah Nimish

机构信息

Department of Urology, Buckinghamshire NHS Trust, Wycombe Hospital, Wycombe, UK.

Department of Surgery and Cancer, Imperial College, Charing Cross Hospital, London, UK.

出版信息

Urol Ann. 2021 Jan-Mar;13(1):80-82. doi: 10.4103/UA.UA_25_20. Epub 2021 Jan 19.

Abstract

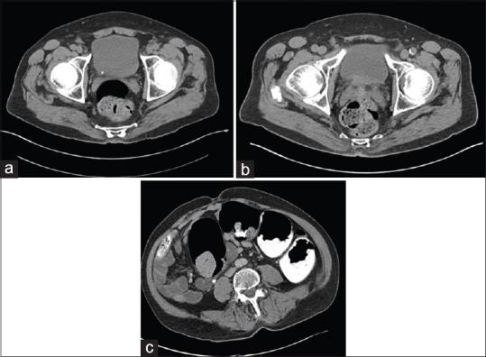
Retrograde ureteric calculus migration is a rare phenomenon. Herein, we report two such cases where each patient presented with a calculus, measured at 5 mm and 6 mm, respectively, at the vesicoureteric junction (VUJ) on noncontrast computerized tomography kidneys, ureters, and bladder (CTKUB). Following acute presentation with renal colic, each patient opted for conservative management of their ureteric stone and became asymptomatic when undergoing their follow-up imaging. The first patient underwent a follow-up noncontrast limited pelvic computerized tomography (CT) where it had appeared that the radiolucent VUJ calculus had passed. This stone was then discovered incidentally 3 months later in the upper ureter when the patient had undergone a CT colonography. The other patient underwent a follow-up X-ray KUB where the stone was shown to have migrated to the lower renal pole calyx which was confirmed with noncontrast CTKUB imaging. In all reported cases of retrograde VUJ calculus migration, the use of a noncontrast limited pelvic CT scan either missed or would have missed this phenomenon. This potential pitfall of the noncontrast limited pelvic CT scan should be appreciated and the use of full upper renal tract imaging should be considered for the follow-up of radiolucent VUJ calculus cases whereby there is no clear history of calculus passage.

摘要
https://cdn.ncbi.nlm.nih.gov/pmc/blobs/c5a5/8052898/9bc5741f9a7a/UA-13-80-g001.jpg

文献检索

告别复杂PubMed语法,用中文像聊天一样搜索,搜遍4000万医学文献。AI智能推荐,让科研检索更轻松。

立即免费搜索

文件翻译

保留排版,准确专业,支持PDF/Word/PPT等文件格式,支持 12+语言互译。

免费翻译文档

深度研究

AI帮你快速写综述,25分钟生成高质量综述,智能提取关键信息,辅助科研写作。

立即免费体验