Suppr超能文献

相似文献

1
Cavernous internal carotid artery aneurysm presenting with ipsilateral oculomotor nerve palsy: A case report.
Radiol Case Rep. 2021 Apr 6;16(6):1339-1342. doi: 10.1016/j.radcr.2021.03.008. eCollection 2021 Jun.
4
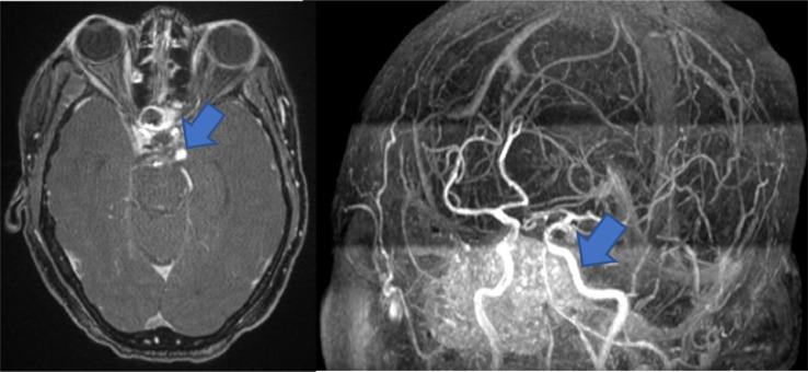
Internal carotid artery aneurysm with incomplete isolated oculomotor nerve palsy: a case report.
J Med Case Rep. 2023 Feb 20;17(1):77. doi: 10.1186/s13256-023-03758-8.
7
Pseudomyasthenia resulting from a posterior carotid artery wall aneurysm: a novel presentation: case report.
Neurosurgery. 2001 Dec;49(6):1466-8; discussion 1468-9. doi: 10.1097/00006123-200112000-00034.
8
Etiology, localization of the lesion, and prognosis for patients firstly diagnosed in ophthalmology department with oculomotor nerve palsy.
Zhong Nan Da Xue Xue Bao Yi Xue Ban. 2020 Dec 28;45(12):1425-1430. doi: 10.11817/j.issn.1672-7347.2020.190539.

引用本文的文献

1
A comprehensive assessment of self-reported symptoms among patients harboring an unruptured intracranial aneurysm.
Front Surg. 2023 Apr 21;10:1148274. doi: 10.3389/fsurg.2023.1148274. eCollection 2023.

本文引用的文献

1
Incidence and Etiologies of Acquired Third Nerve Palsy Using a Population-Based Method.
JAMA Ophthalmol. 2017 Jan 1;135(1):23-28. doi: 10.1001/jamaophthalmol.2016.4456.
2
Cavernous carotid artery aneurysms: epidemiology, natural history, diagnostic and treatment. An experience of a single institution.
Clin Neurol Neurosurg. 2014 Oct;125:32-5. doi: 10.1016/j.clineuro.2014.07.015. Epub 2014 Jul 20.
3
Posterior Communicating Artery Aneurysm in 20-year-old Female with Noonan's Syndrome.
West J Emerg Med. 2013 Mar;14(2):175-6. doi: 10.5811/westjem.2012.11.14368.
4
Oculomotor nerve palsy by posterior communicating artery aneurysms: influence of surgical strategy on recovery.
J Neurosurg. 2012 Nov;117(5):904-10. doi: 10.3171/2012.8.JNS111239. Epub 2012 Aug 31.
6
Unruptured Intracranial Aneurysms with Oculomotor Nerve Palsy : Clinical Outcome between Surgical Clipping and Coil Embolization.
J Korean Neurosurg Soc. 2010 Aug;48(2):109-14. doi: 10.3340/jkns.2010.48.2.109. Epub 2010 Aug 31.
7
Small unruptured cerebral aneurysms presenting with oculomotor nerve palsy.
Neurosurgery. 2003 Mar;52(3):553-7; discussion 556-7. doi: 10.1227/01.neu.0000047816.02757.39.
8
Pupil-sparing third nerve palsy with preoperative improvement from a posterior communicating artery aneurysm.
Surg Neurol. 2002 Jun;57(6):423-6; discussion 426-7. doi: 10.1016/s0090-3019(02)00717-6.
9
Aneurysms of the posterior communicating artery and oculomotor paresis.
J Neurol Neurosurg Psychiatry. 1974 Apr;37(4):475-84. doi: 10.1136/jnnp.37.4.475.
10
Third nerve palsy and the pupil. Footnotes to the rule.
Arch Ophthalmol. 1988 May;106(5):601-2. doi: 10.1001/archopht.1988.01060130655019.

文献AI研究员

20分钟写一篇综述,助力文献阅读效率提升50倍。

立即体验

用中文搜PubMed

大模型驱动的PubMed中文搜索引擎

马上搜索

文档翻译

学术文献翻译模型,支持多种主流文档格式。

立即体验