• 文献检索
  • 文档翻译
  • 深度研究
  • 学术资讯
  • Suppr Zotero 插件Zotero 插件
  • 邀请有礼
  • 套餐&价格
  • 历史记录
应用&插件
Suppr Zotero 插件Zotero 插件浏览器插件Mac 客户端Windows 客户端微信小程序
定价
高级版会员购买积分包购买API积分包
服务
文献检索文档翻译深度研究API 文档MCP 服务
关于我们
关于 Suppr公司介绍联系我们用户协议隐私条款
关注我们

Suppr 超能文献

核心技术专利:CN118964589B侵权必究
粤ICP备2023148730 号-1Suppr @ 2026

文献检索

告别复杂PubMed语法,用中文像聊天一样搜索,搜遍4000万医学文献。AI智能推荐,让科研检索更轻松。

立即免费搜索

文件翻译

保留排版,准确专业,支持PDF/Word/PPT等文件格式,支持 12+语言互译。

免费翻译文档

深度研究

AI帮你快速写综述,25分钟生成高质量综述,智能提取关键信息,辅助科研写作。

立即免费体验

M323V 综合征表现为婴儿型眼球震颤。

M323V Syndrome Presents with Infantile Nystagmus.

机构信息

Department of Opthalmology, Yonsei University College of Medicine, Seoul 03722, Korea.

Department of Ophthalmology, Institute of Vision Research, Severance Hospital, Yonsei University College of Medicine, Seoul 03722, Korea.

出版信息

Genes (Basel). 2021 Apr 15;12(4):575. doi: 10.3390/genes12040575.

DOI:10.3390/genes12040575
PMID:33921132
原文链接:https://pmc.ncbi.nlm.nih.gov/articles/PMC8071555/
Abstract

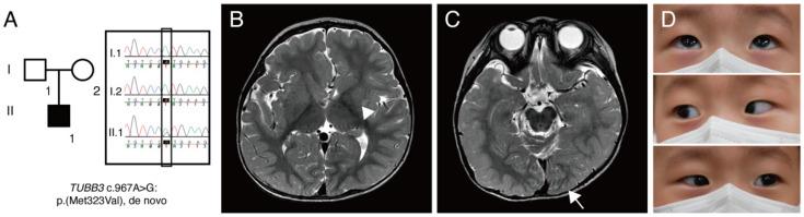
Variants in the gene, one of the tubulin-encoding genes, are known to cause congenital fibrosis of the extraocular muscles type 3 and/or malformations of cortical development. Herein, we report a case of a 6-month-old infant with c.967A>G:p.(M323V) variant in the gene, who had only infantile nystagmus without other ophthalmological abnormalities. Subsequent brain magnetic resonance imaging (MRI) revealed cortical dysplasia. Neurological examinations did not reveal gross or fine motor delay, which are inconsistent with the clinical characteristics of patients with the M323V syndrome reported so far. A protein modeling showed that the M323V mutation in the gene interferes with αβ heterodimer formation with the gene. This report emphasizes the importance of considering and tubulinopathy in infantile nystagmus. A brain MRI should also be considered for these patients, although in the absence of other neurologic signs or symptoms.

摘要

该基因中的变体,即微管蛋白编码基因之一,已知会导致 3 型先天性眼外肌纤维化和/或皮质发育畸形。在此,我们报告了一例 6 月龄婴儿携带 基因中的 c.967A>G:p.(M323V)变体,该婴儿仅表现为婴儿性眼球震颤,无其他眼科异常。随后的脑磁共振成像(MRI)显示皮质发育不良。神经学检查未发现粗大或精细运动延迟,这与迄今为止报道的 M323V 综合征患者的临床特征不一致。蛋白建模表明, 基因中的 M323V 突变会干扰与 基因形成的αβ异二聚体。本报告强调了在婴儿性眼球震颤中考虑 和 微管蛋白病的重要性。对于这些患者,即使没有其他神经体征或症状,也应考虑进行脑部 MRI。

https://cdn.ncbi.nlm.nih.gov/pmc/blobs/e233/8071555/1e939bb1cb1d/genes-12-00575-g003.jpg
https://cdn.ncbi.nlm.nih.gov/pmc/blobs/e233/8071555/ad38237a942e/genes-12-00575-g001.jpg
https://cdn.ncbi.nlm.nih.gov/pmc/blobs/e233/8071555/e66d79b87284/genes-12-00575-g002.jpg
https://cdn.ncbi.nlm.nih.gov/pmc/blobs/e233/8071555/1e939bb1cb1d/genes-12-00575-g003.jpg
https://cdn.ncbi.nlm.nih.gov/pmc/blobs/e233/8071555/ad38237a942e/genes-12-00575-g001.jpg
https://cdn.ncbi.nlm.nih.gov/pmc/blobs/e233/8071555/e66d79b87284/genes-12-00575-g002.jpg
https://cdn.ncbi.nlm.nih.gov/pmc/blobs/e233/8071555/1e939bb1cb1d/genes-12-00575-g003.jpg

相似文献

1
M323V Syndrome Presents with Infantile Nystagmus.M323V 综合征表现为婴儿型眼球震颤。
Genes (Basel). 2021 Apr 15;12(4):575. doi: 10.3390/genes12040575.
2
Two unique TUBB3 mutations cause both CFEOM3 and malformations of cortical development.两种独特的TUBB3突变导致CFEOM3和皮质发育畸形。
Am J Med Genet A. 2016 Feb;170A(2):297-305. doi: 10.1002/ajmg.a.37362. Epub 2015 Dec 6.
3
The recurrent TUBB3 Gly98Ser substitution is the first described to inconsistently result in CFEOM3.反复出现的 TUBB3 Gly98Ser 取代是首次被描述为不一致地导致 CFEOM3。
Am J Med Genet A. 2020 Sep;182(9):2161-2167. doi: 10.1002/ajmg.a.61747. Epub 2020 Jul 24.
4
TUBB3 E410K syndrome: Case report and review of the clinical spectrum of TUBB3 mutations.TUBB3 E410K 综合征:病例报告及 TUBB3 突变临床谱的回顾。
Am J Med Genet A. 2020 Aug;182(8):1977-1984. doi: 10.1002/ajmg.a.61719. Epub 2020 Jun 23.
5
A novel TUBB3 mutation in a sporadic patient with asymmetric cortical dysplasia.一名散发性不对称皮质发育异常患者中的一种新型TUBB3突变。
Am J Med Genet A. 2016 Apr;170A(4):1076-9. doi: 10.1002/ajmg.a.37545. Epub 2016 Jan 6.
6
Mutations in the neuronal ß-tubulin subunit TUBB3 result in malformation of cortical development and neuronal migration defects.神经元β-微管蛋白亚基 TUBB3 的突变导致皮质发育畸形和神经元迁移缺陷。
Hum Mol Genet. 2010 Nov 15;19(22):4462-73. doi: 10.1093/hmg/ddq377. Epub 2010 Sep 9.
7
Evidence of an asymmetrical endophenotype in congenital fibrosis of extraocular muscles type 3 resulting from TUBB3 mutations.先天性眼外肌纤维化症 3 型 TUBB3 突变导致的非对称表型证据。
Invest Ophthalmol Vis Sci. 2010 Sep;51(9):4600-11. doi: 10.1167/iovs.10-5438. Epub 2010 Apr 14.
8
Novel variants in TUBA1A cause congenital fibrosis of the extraocular muscles with or without malformations of cortical brain development.TUBA1A 中的新型变异可导致伴或不伴皮质脑发育畸形的先天性眼外肌纤维化。
Eur J Hum Genet. 2021 May;29(5):816-826. doi: 10.1038/s41431-020-00804-7. Epub 2021 Mar 1.
9
Infantile esotropia in a family with mutation associated congenital fibrosis of extraocular muscles.家族性先天性眼外肌纤维化伴 突变所致婴儿型内斜视
Ophthalmic Genet. 2022 Oct;43(5):716-719. doi: 10.1080/13816810.2022.2092753. Epub 2022 Jun 29.
10
A Novel De Novo TUBB3 Variant Causing Developmental Delay, Epilepsy and Mild Ophthalmological Symptoms in a Chinese Child.一个新的 TUBB3 变异导致中国儿童发育迟缓、癫痫和轻度眼科症状。
J Mol Neurosci. 2022 Jan;72(1):37-44. doi: 10.1007/s12031-021-01909-4. Epub 2021 Sep 25.

引用本文的文献

1
Symptomatic treatment of infantile nystagmus: a systematic review.婴儿眼球震颤的对症治疗:一项系统评价
Front Neurosci. 2025 Jun 19;19:1612504. doi: 10.3389/fnins.2025.1612504. eCollection 2025.
2
The Etiology of Moebius Syndrome-Making the Case for Animal Models.默比厄斯综合征的病因——建立动物模型的理由
Int J Mol Sci. 2025 Apr 29;26(9):4217. doi: 10.3390/ijms26094217.
3
TUBB3 and KIF21A in neurodevelopment and disease.TUBB3和KIF21A在神经发育与疾病中的作用

本文引用的文献

1
Optic Nerve Head and Retinal Abnormalities Associated with Congenital Fibrosis of the Extraocular Muscles.与先天性眼外肌纤维化相关的视神经头和视网膜异常。
Int J Mol Sci. 2021 Mar 4;22(5):2575. doi: 10.3390/ijms22052575.
2
DYNC2H1 variants cause Leber congenital amaurosis without syndromic features.DYNC2H1基因变异导致无综合征特征的莱伯先天性黑蒙。
Clin Genet. 2021 Jul;100(1):111-113. doi: 10.1111/cge.13958. Epub 2021 Mar 23.
3
Clinical utility gene card for FRMD7-related infantile nystagmus.与FRMD7相关的婴儿性眼球震颤临床应用基因卡片
Front Neurosci. 2023 Aug 4;17:1226181. doi: 10.3389/fnins.2023.1226181. eCollection 2023.
4
Clinical and genetic characteristics of Chinese patients with congenital cranial dysinnervation disorders.中国先天性颅神经发育障碍患者的临床和遗传特征。
Orphanet J Rare Dis. 2022 Dec 9;17(1):431. doi: 10.1186/s13023-022-02582-5.
5
Congenital Fibrosis of the Extraocular Muscles: An Overview from Genetics to Management.先天性眼外肌纤维化:从遗传学至治疗的概述
Children (Basel). 2022 Oct 22;9(11):1605. doi: 10.3390/children9111605.
6
Noncanonical Splice Site and Deep Intronic FRMD7 Variants Activate Cryptic Exons in X-linked Infantile Nystagmus.非规范剪接位点和 FRMD7 内含子深位变异激活 X 连锁婴儿型眼球震颤中的隐匿外显子。
Transl Vis Sci Technol. 2022 Jun 1;11(6):25. doi: 10.1167/tvst.11.6.25.
7
Establishment and Analysis of an Individualized Immune-Related Gene Signature for the Prognosis of Gastric Cancer.用于胃癌预后的个性化免疫相关基因特征的建立与分析
Front Surg. 2022 Jan 31;9:829237. doi: 10.3389/fsurg.2022.829237. eCollection 2022.
8
Precision Medicine through Next-Generation Sequencing in Inherited Eye Diseases in a Korean Cohort.通过下一代测序技术在韩国队列中对遗传性眼病进行精准医疗。
Genes (Basel). 2021 Dec 23;13(1):27. doi: 10.3390/genes13010027.
Eur J Hum Genet. 2021 Oct;29(10):1584-1588. doi: 10.1038/s41431-021-00826-9. Epub 2021 Feb 25.
4
Clinical utility gene card for oculocutaneous (OCA) and ocular albinism (OA)-an update.眼皮肤白化病(OCA)和眼白化病(OA)的临床应用基因卡——最新进展
Eur J Hum Genet. 2021 Oct;29(10):1577-1583. doi: 10.1038/s41431-021-00809-w. Epub 2021 Jan 27.
5
UCSF ChimeraX: Structure visualization for researchers, educators, and developers.UCSF ChimeraX:面向研究人员、教育工作者和开发者的结构可视化工具。
Protein Sci. 2021 Jan;30(1):70-82. doi: 10.1002/pro.3943. Epub 2020 Oct 22.
6
SLC38A8 mutations result in arrested retinal development with loss of cone photoreceptor specialization.SLC38A8 突变导致视网膜发育停滞,并丧失视锥细胞特化。
Hum Mol Genet. 2020 Nov 4;29(18):2989-3002. doi: 10.1093/hmg/ddaa166.
7
Copy number variations and multiallelic variants in Korean patients with Leber congenital amaurosis.韩国莱伯先天性黑矇患者的拷贝数变异和多等位基因变异。
Mol Vis. 2020 Feb 24;26:26-35. eCollection 2020.
8
RP2 Rod-Cone Dystrophy Causes Spasmus Nutans-Like Nystagmus.
J Neuroophthalmol. 2021 Mar 1;41(1):e91-e93. doi: 10.1097/WNO.0000000000000880.
9
Evaluation of Metabolite Changes in the Occipital Cortex of Patients with Idiopathic Infantile Nystagmus or Bilateral Ametropic Amblyopia by Magnetic Resonance Spectroscopy.磁共振波谱法评估特发性婴儿型眼球震颤或双侧屈光不正性弱视患者枕叶皮质的代谢物变化
Korean J Ophthalmol. 2019 Oct;33(5):406-413. doi: 10.3341/kjo.2019.0022.
10
Congenital monocular elevation deficiency associated with a novel gene variant.先天性单眼上提不足与一种新的基因突变相关。
Br J Ophthalmol. 2020 Apr;104(4):547-550. doi: 10.1136/bjophthalmol-2019-314293. Epub 2019 Jul 13.