Suppr超能文献

南非的无声疫情:从头到脚的肺外结核病

The silent pandemic in South Africa: Extra-pulmonary tuberculosis from head to heel.

作者信息

Le Roux Camilla E, Vlok Sucari S C

机构信息

Department of Medical Imaging and Clinical Oncology, Medicine and Health Sciences, Tygerberg Hospital, Stellenbosch University, Cape Town, South Africa.

出版信息

SA J Radiol. 2021 Apr 16;25(1):2026. doi: 10.4102/sajr.v25i1.2026. eCollection 2021.

Abstract

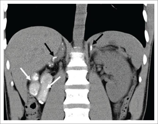
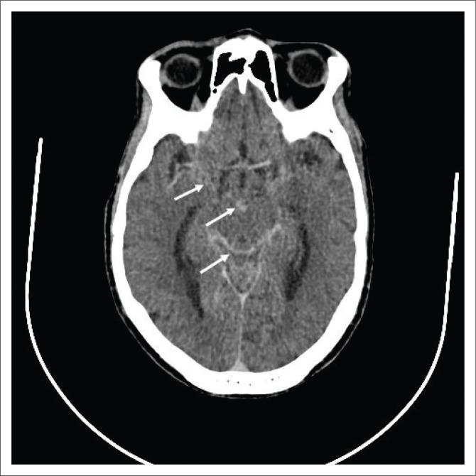
Extra-pulmonary tuberculosis (EPTB), caused by , is the leading cause of communicable disease-related deaths in people with human immunodeficiency virus (HIV) worldwide and in South Africa. disseminates haematogenously from an active primary lung focus and may affect extra-pulmonary sites in up to 15% of patients. Extra-pulmonary TB may present with a normal chest radiograph, which often causes a significant diagnostic dilemma. This review describes the main sites of involvement in EPTB, which is illustrated by local imaging examples.

摘要

由……引起的肺外结核病(EPTB)是全球和南非人类免疫缺陷病毒(HIV)感染者中与传染病相关死亡的主要原因。……从活跃的原发性肺部病灶经血行播散,高达15%的患者可能累及肺外部位。肺外结核病可能胸部X线片表现正常,这常常造成重大的诊断困境。本综述描述了肺外结核病的主要受累部位,并通过局部影像学实例进行说明。 (注:原文中“caused by ”和“disseminates haematogenously from an active primary lung focus and may affect extra-pulmonary sites in up to 15% of patients.”前缺失关键信息)

https://cdn.ncbi.nlm.nih.gov/pmc/blobs/6b73/8063767/201cdf0640bd/SAJR-25-2026-g001.jpg

文献检索

告别复杂PubMed语法,用中文像聊天一样搜索,搜遍4000万医学文献。AI智能推荐,让科研检索更轻松。

立即免费搜索

文件翻译

保留排版,准确专业,支持PDF/Word/PPT等文件格式,支持 12+语言互译。

免费翻译文档

深度研究

AI帮你快速写综述,25分钟生成高质量综述,智能提取关键信息,辅助科研写作。

立即免费体验