• 文献检索
  • 文档翻译
  • 深度研究
  • 学术资讯
  • Suppr Zotero 插件Zotero 插件
  • 邀请有礼
  • 套餐&价格
  • 历史记录
应用&插件
Suppr Zotero 插件Zotero 插件浏览器插件Mac 客户端Windows 客户端微信小程序
定价
高级版会员购买积分包购买API积分包
服务
文献检索文档翻译深度研究API 文档MCP 服务
关于我们
关于 Suppr公司介绍联系我们用户协议隐私条款
关注我们

Suppr 超能文献

核心技术专利:CN118964589B侵权必究
粤ICP备2023148730 号-1Suppr @ 2026

文献检索

告别复杂PubMed语法,用中文像聊天一样搜索,搜遍4000万医学文献。AI智能推荐,让科研检索更轻松。

立即免费搜索

文件翻译

保留排版,准确专业,支持PDF/Word/PPT等文件格式,支持 12+语言互译。

免费翻译文档

深度研究

AI帮你快速写综述,25分钟生成高质量综述,智能提取关键信息,辅助科研写作。

立即免费体验

围绝经期妇女子宫平滑肌瘤自发破裂致腹腔积血

Hemoperitoneum Caused by Spontaneous Rupture of Uterine Leiomyoma in a Perimenopausal Woman.

作者信息

Choi Ji Hyun, Liu Hyun Ju, Heo Soo Min, Kim Soo Ah

机构信息

Department of Obstetrics and Gynecology, Chosun University Hospital, Chosun University School of Medicine, Gwangju, Korea.

出版信息

J Menopausal Med. 2021 Apr;27(1):42-45. doi: 10.6118/jmm.20037.

DOI:10.6118/jmm.20037
PMID:33942589
原文链接:https://pmc.ncbi.nlm.nih.gov/articles/PMC8102813/
Abstract

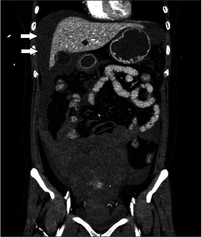
Uterine fibroid, or leiomyoma, is a common benign neoplasm in women, but serious complications are rarely reported. We present the case of a 48-year-old woman with acute onset of abdominal pain. She was hemodynamically unstable, and computed tomography revealed abundant fluid collection in the peritoneal cavity, suggesting hemoperitoneum. During emergency exploratory laparotomy, the subserosal vein overlying a uterine fibroid was identified as the source of bleeding. Hemostasis was accomplished with fibroid excision. Spontaneous hemorrhage originating from a uterine fibroid is extremely rare, but may lead to life-threatening conditions. Therefore, in female patients with acute abdominal pain and hemoperitoneum, uterine fibroid may be a potential etiology and emergency exploratory laparotomy should be considered.

摘要

子宫肌瘤,又称平滑肌瘤,是女性常见的良性肿瘤,但严重并发症鲜有报道。我们报告一例48岁急性腹痛女性病例。她血流动力学不稳定,计算机断层扫描显示腹腔内有大量积液,提示腹腔积血。在急诊剖腹探查术中,发现子宫肌瘤表面的浆膜下静脉是出血来源。通过切除肌瘤实现了止血。子宫肌瘤自发出血极为罕见,但可能导致危及生命的情况。因此,对于急性腹痛和腹腔积血的女性患者,子宫肌瘤可能是潜在病因,应考虑急诊剖腹探查术。

https://cdn.ncbi.nlm.nih.gov/pmc/blobs/12de/8102813/0df5d4b2d389/jmm-27-42-g002.jpg
https://cdn.ncbi.nlm.nih.gov/pmc/blobs/12de/8102813/e81d70188e15/jmm-27-42-g001.jpg
https://cdn.ncbi.nlm.nih.gov/pmc/blobs/12de/8102813/0df5d4b2d389/jmm-27-42-g002.jpg
https://cdn.ncbi.nlm.nih.gov/pmc/blobs/12de/8102813/e81d70188e15/jmm-27-42-g001.jpg
https://cdn.ncbi.nlm.nih.gov/pmc/blobs/12de/8102813/0df5d4b2d389/jmm-27-42-g002.jpg

相似文献

1
Hemoperitoneum Caused by Spontaneous Rupture of Uterine Leiomyoma in a Perimenopausal Woman.围绝经期妇女子宫平滑肌瘤自发破裂致腹腔积血
J Menopausal Med. 2021 Apr;27(1):42-45. doi: 10.6118/jmm.20037.
2
Hemoperitoneum from spontaneous bleeding of a uterine leiomyoma: a case report.子宫平滑肌瘤自发性出血导致的腹腔积血:一例报告
Am Surg. 1999 Dec;65(12):1180-2.
3
A Case of Hemoperitoneum Due to Spontaneous Bleeding from a Uterine Leiomyoma.一例因子宫平滑肌瘤自发出血导致的腹腔积血病例。
Am J Case Rep. 2019 Feb 8;20:167-170. doi: 10.12659/AJCR.914573.
4
Hemoperitoneum caused by spontaneous rupture of a leiomyoma: A case report.平滑肌瘤自发性破裂致腹腔积血:1例报告
Case Rep Womens Health. 2024 Apr 12;42:e00609. doi: 10.1016/j.crwh.2024.e00609. eCollection 2024 Jun.
5
Massive hemoperitoneum resulting from spontaneous rupture of uterine leiomyoma.子宫平滑肌瘤自发破裂导致大量腹腔积血。
Am J Emerg Med. 2008 Oct;26(8):974.e1-2. doi: 10.1016/j.ajem.2008.02.029.
6
Hemoperitoneum due to rupture of a subserosal vein overlying a uterine leiomyoma.子宫平滑肌瘤上方浆膜下静脉破裂导致腹腔积血。
Am J Forensic Med Pathol. 2008 Jun;29(2):177-80. doi: 10.1097/PAF.0b013e3181744091.
7
Successful laparoscopic management of acute abdominal pain due to spontaneous rupture of subserosal vessels overlying a uterine fibroid: a case report and surgical video.腹腔镜成功治疗子宫肌瘤表面浆膜下血管自发性破裂导致的急性腹痛:病例报告和手术视频。
BMC Womens Health. 2022 Sep 23;22(1):388. doi: 10.1186/s12905-022-01970-0.
8
Rare complication of fibroids in pregnancy: Spontaneous fibroid rupture.妊娠子宫肌瘤的罕见并发症:子宫肌瘤自发性破裂。
J Obstet Gynaecol Res. 2017 Sep;43(9):1485-1488. doi: 10.1111/jog.13405. Epub 2017 Jul 10.
9
Spontaneous subserosal venous rupture overlying a uterine leiomyoma in a young woman.一名年轻女性子宫平滑肌瘤上方的自发性浆膜下静脉破裂。
Pan Afr Med J. 2017 Nov 7;28:205. doi: 10.11604/pamj.2017.28.205.12135. eCollection 2017.
10
Hemoperitoneum associated with uterine fibroids: A case report.与子宫肌瘤相关的腹腔积血:病例报告。
Medicine (Baltimore). 2021 Mar 12;100(10):e24024. doi: 10.1097/MD.0000000000024024.

引用本文的文献

1
Large-volume hemoperitoneum and hemodynamic instability in uterine fibroid rupture: A case report.子宫肌瘤破裂致大量腹腔积血及血流动力学不稳定:一例报告
Case Rep Womens Health. 2023 Dec 1;41:e00572. doi: 10.1016/j.crwh.2023.e00572. eCollection 2024 Mar.

本文引用的文献

1
Hemoperitoneum due to bleeding from a vein overlying a subserous uterine myoma: a case report.因覆盖于浆膜下子宫肌瘤表面的静脉出血导致的血腹:病例报告。
J Med Case Rep. 2020 May 8;14(1):55. doi: 10.1186/s13256-020-02383-z.
2
Intra-abdominal haemorrhage from uterine fibroids: a systematic review of the literature.子宫肌瘤引起的腹腔内出血:文献系统综述
BMC Surg. 2020 Apr 15;20(1):70. doi: 10.1186/s12893-020-00736-5.
3
A Case of Hemoperitoneum Due to Spontaneous Bleeding from a Uterine Leiomyoma.一例因子宫平滑肌瘤自发出血导致的腹腔积血病例。
Am J Case Rep. 2019 Feb 8;20:167-170. doi: 10.12659/AJCR.914573.
4
Hypovolemic Shock and Hemoperitoneum from Spontaneous Avulsion of a Large Pedunculated Uterine Leiomyoma.巨大带蒂子宫平滑肌瘤自发性撕脱致低血容量性休克及腹腔积血
J Radiol Case Rep. 2017 Mar 31;11(3):15-21. doi: 10.3941/jrcr.v11i3.3054. eCollection 2017 Mar.
5
Epidemiology of uterine fibroids: a systematic review.子宫肌瘤的流行病学:系统评价。
BJOG. 2017 Sep;124(10):1501-1512. doi: 10.1111/1471-0528.14640. Epub 2017 May 13.
6
Acute complications of benign uterine leiomyomas: treatment of intraperitoneal haemorrhage by embolisation of the uterine arteries.子宫平滑肌瘤的急性并发症:通过子宫动脉栓塞术治疗腹腔内出血
Diagn Interv Imaging. 2013 Sep;94(9):885-90. doi: 10.1016/j.diii.2013.01.021. Epub 2013 Apr 17.
7
Severe life-threatening hemoperitoneum from posttraumatic avulsion of a pedunculated uterine leiomyoma.创伤后带蒂子宫肌瘤撕脱导致严重危及生命的血腹症。
J Minim Invasive Gynecol. 2010 Sep-Oct;17(5):651-2. doi: 10.1016/j.jmig.2010.04.006.
8
Acute complications of fibroids.子宫肌瘤的急性并发症。
Best Pract Res Clin Obstet Gynaecol. 2009 Oct;23(5):609-17. doi: 10.1016/j.bpobgyn.2009.01.012. Epub 2009 Mar 4.
9
Incidence, aetiology and epidemiology of uterine fibroids.子宫肌瘤的发病率、病因学及流行病学
Best Pract Res Clin Obstet Gynaecol. 2008 Aug;22(4):571-88. doi: 10.1016/j.bpobgyn.2008.04.002. Epub 2008 Jun 4.
10
Hemoperitoneum due to rupture of a subserosal vein overlying a uterine leiomyoma.子宫平滑肌瘤上方浆膜下静脉破裂导致腹腔积血。
Am J Forensic Med Pathol. 2008 Jun;29(2):177-80. doi: 10.1097/PAF.0b013e3181744091.