Suppr超能文献

胸椎硬膜内髓外结核瘤——一例截瘫罕见病例报告

Intradural extramedullary tuberculoma of the thoracic spine - A rare case report of paraparesis.

作者信息

Kangabam Boris, Amataleima Thokchom, Amitkumar Mayanglambam, Umesh Takhelmayum

机构信息

Department of Surgery, Jawaharlal Nehru Institute of Medical Sciences, Imphal, Manipur, India.

Department of Neurosurgery, Jawaharlal Nehru Institute of Medical Sciences, Imphal, Manipur, India.

出版信息

Surg Neurol Int. 2021 Apr 8;12:136. doi: 10.25259/SNI_197_2021. eCollection 2021.

Abstract

BACKGROUND

Intradural extramedullary tuberculoma of the spinal cord (IETSC) is an extremely rare form of spinal tuberculosis (TB) that is believed to be due to a host's immune reaction against the protein derivatives.

CASE DESCRIPTION

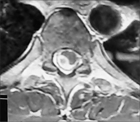
A 25-year-old male with human immunodeficiency virus, hepatitis C virus, and disseminated TB on antitubercular therapy for the past 8 months, presented with paraplegia of 2 months duration. When the MRI spine revealed multiple peripheral rim enhancing intradural extramedullary lesions from T6 to T8 and dorsally from T10 to T11, the patient was diagnosed with IETSC. At surgery, we countered cystic lesions adherent to the dura and the spinal cord, containing a whitish material. Postoperatively, the patient showed clinical improvement in motor power and sensation.

CONCLUSION

Intradural extramedullary spinal tuberculomas in patients with a history of TB and spinal cord compression, although rare, should be considered among the differential diagnoses.

摘要

背景

脊髓硬膜内髓外结核瘤(IETSC)是一种极为罕见的脊柱结核形式,据信是由于宿主对蛋白质衍生物的免疫反应所致。

病例描述

一名25岁男性,感染人类免疫缺陷病毒、丙型肝炎病毒,过去8个月一直在接受抗结核治疗,患有播散性结核病,出现了持续2个月的截瘫症状。当脊柱MRI显示从T6至T8以及从T10至T11背侧有多个周边环形强化的硬膜内髓外病变时,该患者被诊断为IETSC。手术中,我们遇到了与硬脑膜和脊髓粘连的囊性病变,其中含有白色物质。术后,患者的运动能力和感觉在临床上有所改善。

结论

有结核病史且伴有脊髓压迫的患者出现硬膜内髓外脊柱结核瘤,尽管罕见,但在鉴别诊断时应予以考虑。

https://cdn.ncbi.nlm.nih.gov/pmc/blobs/a52a/8088537/c1315b7907bf/SNI-12-136-g001.jpg

相似文献

1
Intradural extramedullary tuberculoma of the thoracic spine - A rare case report of paraparesis.
Surg Neurol Int. 2021 Apr 8;12:136. doi: 10.25259/SNI_197_2021. eCollection 2021.
3
Intradural extramedullary tuberculoma of the spinal cord in patient of tubercular meningitis - an uncommon scenario.
Indian J Tuberc. 2020 Jul;67(3):426-429. doi: 10.1016/j.ijtb.2020.05.001. Epub 2020 May 12.
4
Intradural extramedullary tuberculoma of the thoracic spine: paradoxical response to antituberculous therapy.
Intern Med. 2008;47(8):797-8. doi: 10.2169/internalmedicine.47.0839. Epub 2008 Apr 16.
5
Non-osseous intradural tuberculoma of the thoracic spine with compressive myelopathy.
Clin Case Rep. 2023 Nov 2;11(11):e8131. doi: 10.1002/ccr3.8131. eCollection 2023 Nov.
6
Intradural extramedullary tuberculoma of the spinal cord: a review of reported cases.
J Infect. 2005 Jun;50(5):425-31. doi: 10.1016/j.jinf.2004.07.012.
8
A Case of Partial Resection of an Intradural Extramedullary Tuberculoma Resulting in Improvement of Lower Limb Paralysis.
Cureus. 2023 Sep 11;15(9):e45017. doi: 10.7759/cureus.45017. eCollection 2023 Sep.
9
Stretched intradural extramedullary tanycytic ependymoma of the thoracic spine.
Surg Neurol Int. 2022 Sep 16;13:426. doi: 10.25259/SNI_647_2022. eCollection 2022.
10
Intradural Extramedullary Tuberculoma of the Spinal Cord Following Tuberculous Meningitis.
Korean J Spine. 2015 Jun;12(2):107-10. doi: 10.14245/kjs.2015.12.2.107. Epub 2015 Jun 30.

引用本文的文献

1
Intradural extramedullary tuberculoma in a case of disseminated tuberculosis: A case report.
Surg Neurol Int. 2024 Dec 27;15:477. doi: 10.25259/SNI_664_2024. eCollection 2024.
2
A Case of Partial Resection of an Intradural Extramedullary Tuberculoma Resulting in Improvement of Lower Limb Paralysis.
Cureus. 2023 Sep 11;15(9):e45017. doi: 10.7759/cureus.45017. eCollection 2023 Sep.

本文引用的文献

1
Intradural extramedullary tuberculoma of the spinal cord in patient of tubercular meningitis - an uncommon scenario.
Indian J Tuberc. 2020 Jul;67(3):426-429. doi: 10.1016/j.ijtb.2020.05.001. Epub 2020 May 12.
3
Intradural Extramedullary Tuberculoma of the Spinal Cord Following Tuberculous Meningitis.
Korean J Spine. 2015 Jun;12(2):107-10. doi: 10.14245/kjs.2015.12.2.107. Epub 2015 Jun 30.
4
Intradural extramedullary tuberculoma of the thoracic spine: paradoxical response to antituberculous therapy.
Intern Med. 2008;47(8):797-8. doi: 10.2169/internalmedicine.47.0839. Epub 2008 Apr 16.
5
Diagnosis and neurosurgical treatment of tuberculous disease of the CNS.
Neurosurg Rev. 1983;6(3):111-7. doi: 10.1007/BF01742762.

文献AI研究员

20分钟写一篇综述,助力文献阅读效率提升50倍。

立即体验

用中文搜PubMed

大模型驱动的PubMed中文搜索引擎

马上搜索

文档翻译

学术文献翻译模型,支持多种主流文档格式。

立即体验