Suppr超能文献

前交叉韧带断裂合并内侧副韧带撕裂、外侧半月板后根部撕裂及胫骨后外侧骨软骨骨折:一种新的膝关节损伤四联征

Anterior Cruciate Ligament Rupture with Medial Collateral Ligament Tear with Lateral Meniscus Posterior Root Tear with Posterolateral Tibia Osteochondral Fracture: A New Injury Tetrad of the Knee.

作者信息

Shekhar Anshu, Singh Ankur, Laturkar Amit, Tapasvi Sachin

机构信息

The Orthopaedic Speciality Clinic, Pune, Maharashtra, India.

出版信息

J Orthop Case Rep. 2020 May-Jun;10(3):36-42. doi: 10.13107/jocr.2020.v10.i03.1738.

Abstract

INTRODUCTION

Injuries to the knee ligaments, menisci, and cartilage are possible in high-velocity trauma as in road traffic accidents. Similarly, these structures can be disrupted in proximal tibia fractures. We present a series of three cases which had a previously undescribed injury combination.

CASE PRESENTATION

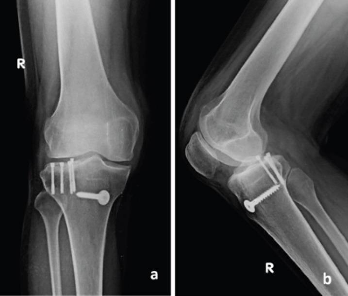
The first and second patients presented primarily to us following fall from motorbikes. Both these patients had injuries of the anterior cruciate ligament (ACL), medial collateral ligament (MCL), lateral meniscus body and posterior root tear, and osteochondral fracture of posterolateral tibia. The osteochondral fracture was managed by internal fixation with headless compression screws. The ligaments were either repaired or reconstructed and meniscus root tear was treated by transtibial pull through repair. The third patient also had the same injury but was treated at another center. He presented with early arthritis of the lateral tibiofemoral joint and valgus malalignment. Treatment for him was in the form of lateral distal femur open-wedge osteotomy and MCL reconstruction. All three patients had good outcome at the end of 1year.

CONCLUSION

We report a new injury tetrad of ACL tear, MCL tear, lateral meniscus posterior root tear, and posterolateral tibia osteochondral fracture. The mechanism of injury is most likely a violent external rotation and anterior translation of the tibia with a valgus directed force during impact. The treatment of this injury can be performed in single or two stages based on the merits of the case. Anatomic reduction and fixation of the fracture takes precedence to avoid later devastating sequel for the knee.

摘要

引言

膝关节韧带、半月板和软骨损伤在诸如道路交通事故等高速度创伤中是可能发生的。同样,这些结构在胫骨近端骨折时也可能受到破坏。我们报告一系列三例具有先前未描述的损伤组合的病例。

病例报告

第一例和第二例患者最初是在骑摩托车摔倒后前来我们这里就诊的。这两名患者均有前交叉韧带(ACL)损伤、内侧副韧带(MCL)损伤、外侧半月板体部和后根部撕裂,以及胫骨后外侧骨软骨骨折。骨软骨骨折采用无头加压螺钉内固定治疗。韧带进行了修复或重建,半月板根部撕裂采用经胫骨牵拉缝合修复治疗。第三例患者也有相同的损伤,但在另一家中心接受治疗。他表现为胫股外侧关节早期关节炎和外翻畸形。对他的治疗方式为股骨远端外侧开放楔形截骨术和MCL重建。所有三名患者在1年末均取得了良好的疗效。

结论

我们报告了一种新的损伤四联征,即ACL撕裂、MCL撕裂、外侧半月板后根部撕裂和胫骨后外侧骨软骨骨折。损伤机制很可能是在撞击过程中,胫骨受到暴力外旋和向前平移,同时伴有外翻方向的力。这种损伤的治疗可根据具体情况分一期或两期进行。骨折块的解剖复位和固定优先进行,以避免膝关节后期出现严重的后遗症。

https://cdn.ncbi.nlm.nih.gov/pmc/blobs/3b16/8051566/b4993fb438f3/JOCR-10-36-g001.jpg

相似文献

3
Partial meniscectomy does not affect the biomechanics of anterior cruciate ligament reconstructed knee with a lateral posterior meniscal root tear.
Knee Surg Sports Traumatol Arthrosc. 2020 Nov;28(11):3481-3487. doi: 10.1007/s00167-020-06209-9. Epub 2020 Sep 5.
4
Lateral Meniscal Posterior Root Repair With Anterior Cruciate Ligament Reconstruction Better Restores Knee Stability.
Am J Sports Med. 2019 Jan;47(1):59-65. doi: 10.1177/0363546518808004. Epub 2018 Nov 19.
5
Effect of lateral meniscal root tear on the stability of the anterior cruciate ligament-deficient knee.
Am J Sports Med. 2015 Apr;43(4):905-11. doi: 10.1177/0363546514563910. Epub 2015 Jan 14.
6
Repair of the lateral posterior meniscal root improves stability in an ACL-deficient knee.
Knee Surg Sports Traumatol Arthrosc. 2018 Aug;26(8):2302-2309. doi: 10.1007/s00167-018-4949-8. Epub 2018 Apr 27.
7
Posterior Medial Meniscus Root Tears Potentiate the Effect of Increased Tibial Slope on Anterior Cruciate Ligament Graft Forces.
Am J Sports Med. 2020 Feb;48(2):334-340. doi: 10.1177/0363546519889628. Epub 2019 Dec 10.
10
Association of Meniscus Injuries in Patients With Anterior Cruciate Ligament Injuries.
Cureus. 2022 Jun 12;14(6):e25878. doi: 10.7759/cureus.25878. eCollection 2022 Jun.

本文引用的文献

2
Major concern in the multiligament-injured knee treatment: A systematic review.
Injury. 2019 Jul;50 Suppl 2:S89-S94. doi: 10.1016/j.injury.2019.01.052. Epub 2019 Feb 15.
3
Displaced osteochondral fracture of the posterolateral tibial plateau associated with an acute anterior cruciate ligament injury.
Trauma Case Rep. 2019 Feb 8;20:100172. doi: 10.1016/j.tcr.2019.100172. eCollection 2019 Apr.
4
The ACL-deficient knee and the prevalence of meniscus and cartilage lesions: a systematic review and meta-analysis (CRD42017076897).
Arch Orthop Trauma Surg. 2019 Jun;139(6):819-841. doi: 10.1007/s00402-019-03128-4. Epub 2019 Feb 13.
6
Fracture and Dislocation Classification Compendium-2018.
J Orthop Trauma. 2018 Jan;32 Suppl 1:S1-S170. doi: 10.1097/BOT.0000000000001063.
7
Two Cases of Contact Anterior Cruciate Ligament Rupture Combined with a Posterolateral Tibial Plateau Fracture.
Case Rep Orthop. 2015;2015:250487. doi: 10.1155/2015/250487. Epub 2015 Jul 8.
8
The lateral femoral notch sign following ACL injury: frequency, morphology and relation to meniscal injury and sports activity.
Knee Surg Sports Traumatol Arthrosc. 2015 Aug;23(8):2250-2258. doi: 10.1007/s00167-014-3022-5. Epub 2014 May 6.
9
Combined osteochondral fracture of the posterolateral tibial plateau and Segond fracture with anterior cruciate ligament injury in a skeletally immature patient.
Knee Surg Sports Traumatol Arthrosc. 2012 Feb;20(2):252-5. doi: 10.1007/s00167-011-1533-x. Epub 2011 May 11.

文献AI研究员

20分钟写一篇综述,助力文献阅读效率提升50倍。

立即体验

用中文搜PubMed

大模型驱动的PubMed中文搜索引擎

马上搜索

文档翻译

学术文献翻译模型,支持多种主流文档格式。

立即体验