• 文献检索
  • 文档翻译
  • 深度研究
  • 学术资讯
  • Suppr Zotero 插件Zotero 插件
  • 邀请有礼
  • 套餐&价格
  • 历史记录
应用&插件
Suppr Zotero 插件Zotero 插件浏览器插件Mac 客户端Windows 客户端微信小程序
定价
高级版会员购买积分包购买API积分包
服务
文献检索文档翻译深度研究API 文档MCP 服务
关于我们
关于 Suppr公司介绍联系我们用户协议隐私条款
关注我们

Suppr 超能文献

核心技术专利:CN118964589B侵权必究
粤ICP备2023148730 号-1Suppr @ 2026

文献检索

告别复杂PubMed语法,用中文像聊天一样搜索,搜遍4000万医学文献。AI智能推荐,让科研检索更轻松。

立即免费搜索

文件翻译

保留排版,准确专业,支持PDF/Word/PPT等文件格式,支持 12+语言互译。

免费翻译文档

深度研究

AI帮你快速写综述,25分钟生成高质量综述,智能提取关键信息,辅助科研写作。

立即免费体验

序贯性异步转移至胰腺、甲状腺、皮肤、对侧肾脏和肺的转移性肾细胞癌的转移灶切除术及超过10年的累积生存率:病例报告及临床病理回顾

Metastasectomy of Sequential Asynchronous Metastatic Renal Cell Carcinoma to the Pancreas, Thyroid, Skin, Contralateral Kidney, and Lung with Cumulative Survival Beyond 10 Years: A Case Report and Clinicopathologic Review.

作者信息

Alzahrani Abdullah Mousa, Aggamy Mohamed A, Joudeh Amani A, Alabdullatif Hanoof A, Alzahrani Hassan, Gomha Mohamed A

机构信息

Department of Urology, College of Medicine, Imam Abdulrahman Bin Faisal University, Dammam, Saudi Arabia.

Department of Urology, King Fahad Specialist Hospital, Dammam, Saudi Arabia.

出版信息

Am J Case Rep. 2021 May 6;22:e931696. doi: 10.12659/AJCR.931696.

DOI:10.12659/AJCR.931696
PMID:33956773
原文链接:https://pmc.ncbi.nlm.nih.gov/articles/PMC8112462/
Abstract

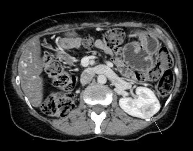
BACKGROUND One-third of renal cell carcinoma cases present with an initial metastasis to various organs, emphasizing the tumor's unpredictable behavior. Prognosis is poor once metastasis is discovered. Multiple-organ involvement with metastatic lesions has a particularly dismal survival rate. Surgical resection alone of metastatic masses can extend patient survival with reasonable quality of life. CASE REPORT Here, we present the case of a healthy 46-year-old woman who initially presented with an incidental localized clear cell renal cell carcinoma. During the follow-up period, she presented with sequential asynchronous metastasis to the pancreas, thyroid, skin, contralateral kidney, and lung. She has no family history of malignancy. Her physical examination and laboratory investigations were normal even upon presentation of most of her metastatic organs. The first metastasis was in her sixth year of follow-up. She underwent consecutive metastasectomy of all the organs described above, excluding the lung. She eventually was started on sunitinib after non-resectable lung nodules were discovered. Her survival is now over 10 years since her first metastasectomy, with good performance status. CONCLUSIONS Metastasis to a single organ has a poor prognosis and dramatically affects survival. Nevertheless, our patient had multiple consecutive examples of metachronous metastasis, yet she has survived for over a decade since the occurrence of metastasis. Our case offers more information to fill the gaps in understanding the favorable role of surgical resection in advanced renal cell carcinoma metastasis.

摘要

背景

三分之一的肾细胞癌病例初诊时即已出现远处转移,这凸显了该肿瘤行为的不可预测性。一旦发现转移,预后较差。多器官转移的患者生存率尤其低。单纯手术切除转移灶可延长患者生存期并维持较好的生活质量。病例报告:在此,我们报告一例46岁健康女性患者,最初偶然发现局限性透明细胞肾细胞癌。随访期间,她先后出现胰腺、甲状腺、皮肤、对侧肾脏和肺部的异时转移。她无恶性肿瘤家族史。即使在多数转移器官出现症状时,其体格检查和实验室检查仍正常。首次转移发生在随访的第6年。她接受了上述所有器官(不包括肺部)的连续转移灶切除术。在发现肺部有不可切除的结节后,她最终开始使用舒尼替尼治疗。自首次转移灶切除术后,她已存活超过10年,身体状况良好。结论:单一器官转移预后较差,显著影响生存率。然而,我们的患者出现了多次异时转移,但自转移发生后已存活超过十年。我们的病例为理解手术切除在晚期肾细胞癌转移中的有利作用提供了更多信息。

https://cdn.ncbi.nlm.nih.gov/pmc/blobs/b3da/8112462/68f22a582e5d/amjcaserep-22-e931696-g002.jpg
https://cdn.ncbi.nlm.nih.gov/pmc/blobs/b3da/8112462/af5c22092b3b/amjcaserep-22-e931696-g001.jpg
https://cdn.ncbi.nlm.nih.gov/pmc/blobs/b3da/8112462/68f22a582e5d/amjcaserep-22-e931696-g002.jpg
https://cdn.ncbi.nlm.nih.gov/pmc/blobs/b3da/8112462/af5c22092b3b/amjcaserep-22-e931696-g001.jpg
https://cdn.ncbi.nlm.nih.gov/pmc/blobs/b3da/8112462/68f22a582e5d/amjcaserep-22-e931696-g002.jpg

相似文献

1
Metastasectomy of Sequential Asynchronous Metastatic Renal Cell Carcinoma to the Pancreas, Thyroid, Skin, Contralateral Kidney, and Lung with Cumulative Survival Beyond 10 Years: A Case Report and Clinicopathologic Review.序贯性异步转移至胰腺、甲状腺、皮肤、对侧肾脏和肺的转移性肾细胞癌的转移灶切除术及超过10年的累积生存率:病例报告及临床病理回顾
Am J Case Rep. 2021 May 6;22:e931696. doi: 10.12659/AJCR.931696.
2
Metastatic renal cell carcinoma to the pancreas: Clinical features and treatment outcome.胰腺转移性肾细胞癌:临床特征与治疗结果
J Surg Oncol. 2021 Jan;123(1):204-213. doi: 10.1002/jso.26251. Epub 2020 Oct 12.
3
[The significance of metastasectomy in patients with metastatic renal cell carcinoma].[转移性肾细胞癌患者行转移灶切除术的意义]
Hinyokika Kiyo. 2015 Feb;61(2):49-54.
4
Surgical treatment of atypical metastasis from renal cell carcinoma (RCC).肾细胞癌(RCC)非典型转移的外科治疗。
BJU Int. 2012 Dec;110(11 Pt B):E559-63. doi: 10.1111/j.1464-410X.2012.11271.x. Epub 2012 May 28.
5
Metastasis of renal cell carcinoma to the thyroid gland 9 years after nephrectomy: A case report and literature review.肾切除术后9年肾细胞癌转移至甲状腺:一例报告及文献复习
Arch Ital Urol Androl. 2017 Jun 30;89(2):151-153. doi: 10.4081/aiua.2017.2.151.
6
Clear cell renal cancer metastasis in the contralateral ureter: a case report.透明细胞肾细胞癌对侧输尿管转移:1 例报告。
J Med Case Rep. 2021 May 30;15(1):309. doi: 10.1186/s13256-021-02839-w.
7
Surgical treatment of adrenal metastasis from renal cell carcinoma: a single-centre experience of 45 patients.肾细胞癌肾上腺转移的外科治疗:45例患者的单中心经验
BJU Int. 2006 Mar;97(3):505-8. doi: 10.1111/j.1464-410X.2006.05934.x.
8
Complete metastasectomy for renal cell carcinoma: Comparison of five solid organ sites.肾细胞癌的完全性转移灶切除术:五个实体器官部位的比较
J Surg Oncol. 2016 Sep;114(3):375-9. doi: 10.1002/jso.24327. Epub 2016 Jun 23.
9
[Surgical treatment of pulmonary metastases in metastatic renal cell carcinoma].[转移性肾细胞癌肺转移的外科治疗]
Aktuelle Urol. 2020 Jun;51(3):271-274. doi: 10.1055/a-1140-5623. Epub 2020 Apr 23.
10
The Role of Metastasectomy in Patients with Renal Cell Carcinoma with Sarcomatoid Dedifferentiation: A Matched Controlled Analysis.肉瘤样去分化的肾细胞癌患者行转移灶切除术的作用:一项匹配对照分析。
J Urol. 2016 Sep;196(3):678-84. doi: 10.1016/j.juro.2016.03.144. Epub 2016 Mar 29.

引用本文的文献

1
Metastatic Clear Cell Renal Cell Carcinoma to Pancreas and Distant Organs 24 Years After Radical Nephrectomy: A Case Report and Literature Review.根治性肾切除术后24年发生胰腺及远处器官转移的透明细胞肾细胞癌:1例报告并文献复习
Front Surg. 2022 Jul 5;9:894272. doi: 10.3389/fsurg.2022.894272. eCollection 2022.

本文引用的文献

1
Metastasectomy in patients with renal cell carcinoma: when and how?转移性肾细胞癌患者的转移灶切除术:何时以及如何进行?
Curr Opin Urol. 2020 Jul;30(4):602-609. doi: 10.1097/MOU.0000000000000768.
2
Risk factors for metachronous bilateral renal cell carcinoma: A surveillance, epidemiology, and end results analysis.同期双侧肾癌的风险因素:监测、流行病学和最终结果分析。
Cancer. 2019 Jan 15;125(2):232-238. doi: 10.1002/cncr.31689. Epub 2018 Dec 18.
3
Outcomes of synchronous and metachronous bilateral small renal masses (< 4 cm): a population-based cohort study.
同步性和异时性双侧小肾肿块(<4厘米)的结局:一项基于人群的队列研究。
Int Urol Nephrol. 2018 Apr;50(4):657-663. doi: 10.1007/s11255-018-1817-x. Epub 2018 Feb 10.
4
Histology is a Prognostic Indicator After Pulmonary Metastasectomy from Renal Cell Carcinoma.组织学是肾细胞癌肺转移切除术后的一个预后指标。
World J Surg. 2017 Mar;41(3):771-779. doi: 10.1007/s00268-016-3802-9.
5
Role of metastasectomy in metastatic renal cell carcinoma.肾转移癌中转移灶切除术的作用
Curr Opin Urol. 2015 Sep;25(5):381-9. doi: 10.1097/MOU.0000000000000196.
6
The role of metastasectomy in renal cell carcinoma in the era of targeted therapy.转移性肾细胞癌在靶向治疗时代中的作用。
Curr Urol Rep. 2013 Feb;14(1):19-25. doi: 10.1007/s11934-012-0293-6.
7
Systematic review of pancreatic surgery for metastatic renal cell carcinoma.转移性肾细胞癌胰腺手术的系统评价
Br J Surg. 2009 Jun;96(6):579-92. doi: 10.1002/bjs.6606.
8
Secondary malignant tumors of the thyroid gland.甲状腺继发性恶性肿瘤
Cancer. 1956 Mar-Apr;9(2):306-9. doi: 10.1002/1097-0142(195603/04)9:2<306::aid-cncr2820090217>3.0.co;2-i.
9
Metastatic hypernephroma of the thyroid gland.甲状腺转移性肾细胞癌
Proc Staff Meet Mayo Clin. 1953 Apr 8;28(7):205-16.
10
Metastatic renal cell carcinoma.转移性肾细胞癌
Curr Treat Options Oncol. 2003 Oct;4(5):385-90. doi: 10.1007/s11864-003-0039-2.