Suppr超能文献

细粒棘球蚴(Echinococcus granulosus sensu stricto)感染的牛羊囊包外膜层的反应模式。

Response patterns in adventitial layer of Echinococcus granulosus sensu stricto cysts from naturally infected cattle and sheep.

机构信息

Instituto de Ciencias Agroalimentarias, Animales y Ambientales (ICA3), Universidad de O'Higgins, San Fernando, Chile.

Laboratorio de Medicina Veterinaria, Escuela de Medicina Veterinaria, Facultad de Ciencias de la Vida, Universidad Andres Bello, Santiago, Chile.

出版信息

Vet Res. 2021 May 7;52(1):66. doi: 10.1186/s13567-021-00936-8.

Abstract

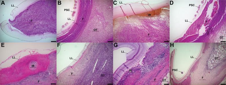
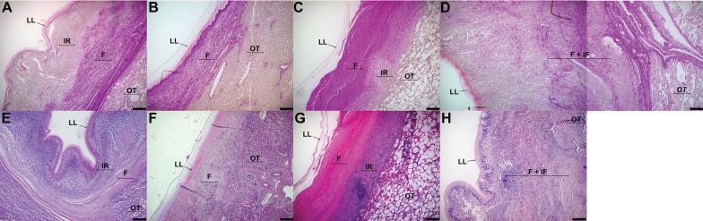
Cystic echinococcosis is a zoonotic disease caused by the metacestode of Echinococcus granulosus sensu lato. The disease is characterized by the development of cystic structures inside viscera of the intermediate host, mainly liver and lungs. These cysts are formed by three layers: germinal, laminated, and adventitial layer, the latter being the local host immune response. Metacestodes that develop protoscoleces, the infective stage to the definitive host, are termed fertile, whereas cysts that do not produce protoscoleces are termed non-fertile. Sheep usually harbor fertile cysts while cattle usually harbor non-fertile cysts. Adventitial layers with fibrotic resolution are associated to fertile cysts, whereas a granulomatous reaction is associated with non-fertile cysts. The aim of this study was to analyze cellular distribution in the adventitial layer of fertile and non-fertile E. granulosus sensu stricto cysts found in liver and lungs of cattle and sheep. A total of 418 cysts were analyzed, 203 from cattle (8 fertile and 195 non-fertile) and 215 from sheep (64 fertile and 151 non-fertile). Fertile cysts from cattle showed mixed patterns of response, with fibrotic resolution and presence of granulomatous response in direct contact with the laminated layer, while sheep fertile cysts always displayed fibrotic resolution next to the laminated layer. Cattle non-fertile cysts display a granulomatous reaction in direct contact with the laminated layer, whereas sheep non-fertile cysts display a granulomatous reaction, but in direct contact with the fibrotic resolution. This shows that cattle and sheep cystic echinococcosis cysts have distinct local immune response patterns, which are associated to metacestode fertility.

摘要

泡型包虫病是一种由细粒棘球绦虫的中绦期幼虫引起的人畜共患疾病。该疾病的特征是在中间宿主的内脏中形成囊状结构,主要是在肝脏和肺部。这些囊肿由三层组成:生发层、层状层和外膜层,后者是局部宿主免疫反应。发育出原头蚴(感染终末宿主的感染阶段)的幼虫被称为有活力的,而不产生原头蚴的幼虫被称为无活力的。绵羊通常携带有活力的囊肿,而牛通常携带无活力的囊肿。纤维化消退的外膜层与有活力的囊肿有关,而肉芽肿反应与无活力的囊肿有关。本研究旨在分析在牛和羊的肝、肺中发现的有活力和无活力的细粒棘球绦虫的外膜层中的细胞分布。共分析了 418 个囊肿,其中 203 个来自牛(8 个有活力和 195 个无活力),215 个来自绵羊(64 个有活力和 151 个无活力)。来自牛的有活力的囊肿显示出混合的反应模式,纤维化消退并在与层状层直接接触的地方存在肉芽肿反应,而绵羊的有活力的囊肿总是在层状层旁边显示纤维化消退。牛的无活力囊肿在与层状层直接接触的地方显示出肉芽肿反应,而绵羊的无活力囊肿显示出肉芽肿反应,但在与纤维化消退直接接触的地方。这表明牛和绵羊的泡型包虫病囊肿具有不同的局部免疫反应模式,这些模式与幼虫的活力有关。

https://cdn.ncbi.nlm.nih.gov/pmc/blobs/5ddf/8105927/16c1151df6b5/13567_2021_936_Fig1_HTML.jpg

文献AI研究员

20分钟写一篇综述,助力文献阅读效率提升50倍。

立即体验

用中文搜PubMed

大模型驱动的PubMed中文搜索引擎

马上搜索

文档翻译

学术文献翻译模型,支持多种主流文档格式。

立即体验