Suppr超能文献

使用CD163评估口腔鳞状细胞癌组织学分级中肿瘤相关巨噬细胞的密度:一项免疫组织化学研究

Evaluation of density of tumor-associated macrophages using CD163 in histological grades of oral squamous cell carcinoma, an immunohistochemical study.

作者信息

Chaudhari Nayana, Prakash Nilima, Pradeep G L, Mahajan Aarti, Lunawat Snehal, Salunkhe Vaibhavi

机构信息

Department of Oral and Maxillofacial Pathology, MGV'S K.B.H. Dental College and Hospital, Nashik, Maharashtra, India.

Department of Oral and Maxillofacial Pathology, SMBT College and Hospital Research Center, Ghoti, Maharashtra, India.

出版信息

J Oral Maxillofac Pathol. 2020 Sep-Dec;24(3):577. doi: 10.4103/jomfp.JOMFP_109_20. Epub 2021 Jan 9.

Abstract

BACKGROUND

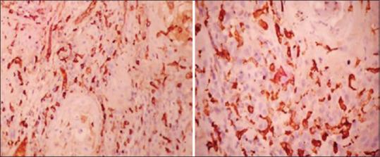
Macrophages account for 30%-50% of the total inflammatory cell population of ''tumor microenvironment'' that plays an important role in cancer metastasis. M2 macrophages are designated as tumor-associated macrophages (TAMs). They are known to orchestrate all the stages of tumor progression. CD163 is TAMs-M2-specific marker.

AIMS

The aim of the study was to evaluate the role of TAMs using CD163 in different histological grades of oral squamous cell carcinoma (OSCC).

SETTING AND DESIGN

Expression of CD 163 was investigated in 30 histopthologically diagnosed cases of OSCC.

MATERIALS AND METHODS

Two sections of 4-μ thickness were stained with hematoxylin and eosin, CD163 (Cell Marque, USA). The expression of TAMs with CD163-positive cells was done by counting the number of macrophages in three high-power fields (×400), and the mean number of macrophages per HPF was evaluated.

STATISTICAL ANALYSIS

The statistical analysis was performed using Statistical Software SPSS version 20.0.

RESULTS

CD163 TAMs score increasing in higher tumor, node, metastasis stages with significant positive correlation.

CONCLUSION

With higher histological grades, CD163 TAMs score increased. Thus, TAMs may be considered as an independent factor for determining the progression of the tumor. The immunotherapeutic approaches to control M2 TAM numbers could protect against progression to malignancy.

摘要

背景

巨噬细胞占“肿瘤微环境”中炎性细胞总数的30%-50%,在癌症转移中起重要作用。M2巨噬细胞被指定为肿瘤相关巨噬细胞(TAMs)。已知它们在肿瘤进展的所有阶段发挥协调作用。CD163是TAMs-M2特异性标志物。

目的

本研究的目的是评估使用CD163的TAMs在不同组织学分级的口腔鳞状细胞癌(OSCC)中的作用。

设置与设计

在30例经组织病理学诊断的OSCC病例中研究CD163的表达。

材料与方法

取4μm厚的两片组织切片,用苏木精和伊红、CD163(美国Cell Marque公司)染色。通过计数三个高倍视野(×400)中的巨噬细胞数量来确定CD163阳性细胞的TAMs表达情况,并评估每个高倍视野中巨噬细胞的平均数量。

统计分析

使用统计软件SPSS 20.0进行统计分析。

结果

CD163 TAMs评分在肿瘤、淋巴结、转移分期较高时增加,具有显著正相关。

结论

随着组织学分级升高,CD163 TAMs评分增加。因此,TAMs可被视为决定肿瘤进展的独立因素。控制M2 TAM数量的免疫治疗方法可预防肿瘤进展为恶性肿瘤。

https://cdn.ncbi.nlm.nih.gov/pmc/blobs/5bd0/8083437/15faa6b1e655/JOMFP-24-577-g001.jpg

文献检索

告别复杂PubMed语法,用中文像聊天一样搜索,搜遍4000万医学文献。AI智能推荐,让科研检索更轻松。

立即免费搜索

文件翻译

保留排版,准确专业,支持PDF/Word/PPT等文件格式,支持 12+语言互译。

免费翻译文档

深度研究

AI帮你快速写综述,25分钟生成高质量综述,智能提取关键信息,辅助科研写作。

立即免费体验