• 文献检索
  • 文档翻译
  • 深度研究
  • 学术资讯
  • Suppr Zotero 插件Zotero 插件
  • 邀请有礼
  • 套餐&价格
  • 历史记录
应用&插件
Suppr Zotero 插件Zotero 插件浏览器插件Mac 客户端Windows 客户端微信小程序
定价
高级版会员购买积分包购买API积分包
服务
文献检索文档翻译深度研究API 文档MCP 服务
关于我们
关于 Suppr公司介绍联系我们用户协议隐私条款
关注我们

Suppr 超能文献

核心技术专利:CN118964589B侵权必究
粤ICP备2023148730 号-1Suppr @ 2026

文献检索

告别复杂PubMed语法,用中文像聊天一样搜索,搜遍4000万医学文献。AI智能推荐,让科研检索更轻松。

立即免费搜索

文件翻译

保留排版,准确专业,支持PDF/Word/PPT等文件格式,支持 12+语言互译。

免费翻译文档

深度研究

AI帮你快速写综述,25分钟生成高质量综述,智能提取关键信息,辅助科研写作。

立即免费体验

特发性牙龈增生导致社会污名化。

Idiopathic Gingival Enlargement Causing Social Stigma.

作者信息

Kothari Divya

机构信息

Professor and Head, Department of Periodontics, Pacific Dental College and Research Centre, Udaipur, Rajasthan, India.

出版信息

Contemp Clin Dent. 2021 Jan-Mar;12(1):63-66. doi: 10.4103/ccd.ccd_181_20. Epub 2021 Mar 20.

DOI:10.4103/ccd.ccd_181_20
PMID:33967540
原文链接:https://pmc.ncbi.nlm.nih.gov/articles/PMC8092100/
Abstract

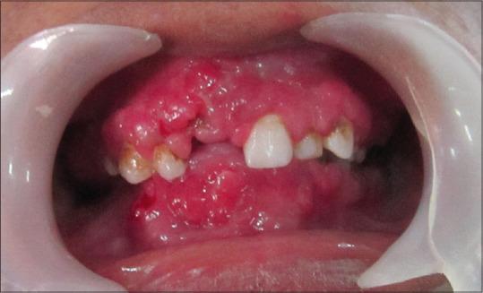
Gingival enlargement can be multifactorial; it can be due to nutritional deficiency or can be because of several drugs. Poor oral hygiene may further worsen the gingival hyperplasia, because of which the patient may have difficulty in chewing the food, and the speech may get affected. It may end up in psychosocial stigma for the patient as the patient is even neglected by friends or relatives due to poor oral hygiene and horrifying look of gingival overgrowth. Here, we report a case of gingival enlargement in a 22-year-old married female. The enlargement was massive, such that the teeth were barely visible in the anterior mandible. Based on history and histological findings, the case was diagnosed as idiopathic gingival enlargement. Conventional gingivectomy was planned. The patient was kept on the maintenance phase, and no recurrence was recorded. During the whole treatment phase, there was a notable change in the behavior of the patient. Surgical correction and subsequent maintenance of good oral hygiene may improve the disease condition, which in turn helps the patient in not only improving the aesthetics but also results in better social acceptance.

摘要

牙龈肿大可能是多因素导致的;它可能是由于营养缺乏,也可能是由多种药物引起。口腔卫生不良可能会使牙龈增生进一步恶化,患者可能因此咀嚼食物困难,说话也可能受到影响。由于口腔卫生差和牙龈过度生长的可怕外观,患者甚至可能被朋友或亲戚忽视,最终可能导致心理社会耻辱感。在此,我们报告一例22岁已婚女性牙龈肿大的病例。肿大非常严重,以至于下颌前部的牙齿几乎看不见。根据病史和组织学检查结果,该病例被诊断为特发性牙龈肿大。计划进行传统牙龈切除术。患者处于维持阶段,未记录到复发情况。在整个治疗阶段,患者的行为有显著变化。手术矫正以及随后保持良好的口腔卫生可能会改善病情,这不仅有助于患者改善美观,还能使其更好地被社会接受。

https://cdn.ncbi.nlm.nih.gov/pmc/blobs/5c2e/8092100/4fff540422ac/CCD-12-63-g006.jpg
https://cdn.ncbi.nlm.nih.gov/pmc/blobs/5c2e/8092100/9a0186b92634/CCD-12-63-g001.jpg
https://cdn.ncbi.nlm.nih.gov/pmc/blobs/5c2e/8092100/f6411cf47e80/CCD-12-63-g002.jpg
https://cdn.ncbi.nlm.nih.gov/pmc/blobs/5c2e/8092100/1b128c94f924/CCD-12-63-g003.jpg
https://cdn.ncbi.nlm.nih.gov/pmc/blobs/5c2e/8092100/9d4f3258825b/CCD-12-63-g004.jpg
https://cdn.ncbi.nlm.nih.gov/pmc/blobs/5c2e/8092100/3cf86fc28b8e/CCD-12-63-g005.jpg
https://cdn.ncbi.nlm.nih.gov/pmc/blobs/5c2e/8092100/4fff540422ac/CCD-12-63-g006.jpg
https://cdn.ncbi.nlm.nih.gov/pmc/blobs/5c2e/8092100/9a0186b92634/CCD-12-63-g001.jpg
https://cdn.ncbi.nlm.nih.gov/pmc/blobs/5c2e/8092100/f6411cf47e80/CCD-12-63-g002.jpg
https://cdn.ncbi.nlm.nih.gov/pmc/blobs/5c2e/8092100/1b128c94f924/CCD-12-63-g003.jpg
https://cdn.ncbi.nlm.nih.gov/pmc/blobs/5c2e/8092100/9d4f3258825b/CCD-12-63-g004.jpg
https://cdn.ncbi.nlm.nih.gov/pmc/blobs/5c2e/8092100/3cf86fc28b8e/CCD-12-63-g005.jpg
https://cdn.ncbi.nlm.nih.gov/pmc/blobs/5c2e/8092100/4fff540422ac/CCD-12-63-g006.jpg

相似文献

1
Idiopathic Gingival Enlargement Causing Social Stigma.特发性牙龈增生导致社会污名化。
Contemp Clin Dent. 2021 Jan-Mar;12(1):63-66. doi: 10.4103/ccd.ccd_181_20. Epub 2021 Mar 20.
2
Idiopathic gingival enlargement and its management.特发性牙龈肥大及其治疗
J Indian Soc Periodontol. 2010 Oct;14(4):263-5. doi: 10.4103/0972-124X.76935.
3
Idiopathic Gingival Enlargement: A Case Report.特发性牙龈肥大:一例报告
Cureus. 2024 Jul 23;16(7):e65195. doi: 10.7759/cureus.65195. eCollection 2024 Jul.
4
Non-surgical treatment of idiopathic gingival enlargement: A case report.特发性牙龈肥大的非手术治疗:一例报告。
Medicine (Baltimore). 2024 May 10;103(19):e37448. doi: 10.1097/MD.0000000000037448.
5
Prevention and treatment considerations in patients with drug-induced gingival enlargement.药物性牙龈增生患者的防治要点
Curr Opin Periodontol. 1997;4:59-63.
6
[Unilateral idiopathic gingival fibromatosis--a case report].[单侧特发性牙龈纤维瘤病——一例报告]
Przegl Lek. 2016;73(4):262-5.
7
Ipsilateral idiopathic gingival enlargement and it's management using conventional gingivectomy and diode laser: A recurrent case after 15 years.同侧特发性牙龈增生及其采用传统牙龈切除术和二极管激光治疗:15年后的复发病例
J Indian Soc Periodontol. 2013 May;17(3):387-90. doi: 10.4103/0972-124X.115649.
8
[Surgical correction of excessive gingival enlargements. Case studies].[牙龈过度增生的外科矫正。病例研究]
Fogorv Sz. 2013 Jun;106(2):61-70.
9
Idiopathic Gingival Fibromatosis: Report of a Rare Case.特发性牙龈纤维瘤病:1例罕见病例报告
Cureus. 2024 Aug 21;16(8):e67448. doi: 10.7759/cureus.67448. eCollection 2024 Aug.
10
Nonsyndromic with Recurrent Idiopathic Gingival Fibromatosis: A Rare Case Report.非综合征性复发性特发性牙龈纤维瘤病:一例罕见病例报告
Int J Clin Pediatr Dent. 2021 Jan-Feb;14(1):158-160. doi: 10.5005/jp-journals-10005-1933.

本文引用的文献

1
Interdisciplinary assessment and management of a patient with a fibrous gingival enlargement of unknown origin: A case report.一例不明原因纤维性牙龈增生患者的多学科评估与管理:病例报告
Clin Case Rep. 2019 Dec 12;8(1):159-165. doi: 10.1002/ccr3.2605. eCollection 2020 Jan.
2
Gingival fibromatosis with congenital hypertrichosis.牙龈纤维瘤病伴先天性多毛症。
J Indian Soc Periodontol. 2020 Jan-Feb;24(1):80-82. doi: 10.4103/jisp.jisp_26_19. Epub 2019 Oct 4.
3
Gingival Enlargement Caused by Vitamin C Deficiency (Scurvy) in a Boy.
一名男孩因维生素C缺乏(坏血病)导致牙龈肿大。
J Dent Child (Chic). 2018 Jan 15;85(1):40-42.
4
Cyclosporine A: Novel concepts in its role in drug-induced gingival overgrowth.环孢素A:其在药物性牙龈增生中作用的新概念。
Dent Res J (Isfahan). 2015 Nov-Dec;12(6):499-506. doi: 10.4103/1735-3327.170546.
5
Efficacy of chlorhexidine and green tea mouthwashes in the management of dental plaque-induced gingivitis: A comparative clinical study.洗必泰和绿茶漱口水在治疗牙菌斑性牙龈炎中的疗效:一项对比临床研究。
Contemp Clin Dent. 2015 Oct-Dec;6(4):505-9. doi: 10.4103/0976-237X.169845.
6
Gingival enlargements: Differential diagnosis and review of literature.牙龈增生:鉴别诊断与文献综述
World J Clin Cases. 2015 Sep 16;3(9):779-88. doi: 10.12998/wjcc.v3.i9.779.
7
Idiopathic gingival enlargement and its management.特发性牙龈肥大及其治疗
J Indian Soc Periodontol. 2010 Oct;14(4):263-5. doi: 10.4103/0972-124X.76935.
8
Idiopathic gingival fibromatosis associated with generalized aggressive periodontitis: a case report.与广泛侵袭性牙周炎相关的特发性牙龈纤维瘤病:一例报告
J Can Dent Assoc. 2009 May;75(4):291-5.