• 文献检索
  • 文档翻译
  • 深度研究
  • 学术资讯
  • Suppr Zotero 插件Zotero 插件
  • 邀请有礼
  • 套餐&价格
  • 历史记录
应用&插件
Suppr Zotero 插件Zotero 插件浏览器插件Mac 客户端Windows 客户端微信小程序
定价
高级版会员购买积分包购买API积分包
服务
文献检索文档翻译深度研究API 文档MCP 服务
关于我们
关于 Suppr公司介绍联系我们用户协议隐私条款
关注我们

Suppr 超能文献

核心技术专利:CN118964589B侵权必究
粤ICP备2023148730 号-1Suppr @ 2026

文献检索

告别复杂PubMed语法,用中文像聊天一样搜索,搜遍4000万医学文献。AI智能推荐,让科研检索更轻松。

立即免费搜索

文件翻译

保留排版,准确专业,支持PDF/Word/PPT等文件格式,支持 12+语言互译。

免费翻译文档

深度研究

AI帮你快速写综述,25分钟生成高质量综述,智能提取关键信息,辅助科研写作。

立即免费体验

多药化疗联合放化疗治疗不可切除食管癌:一例报告

Unresectable esophageal cancer treated with multiple chemotherapies in combination with chemoradiotherapy: A case report.

作者信息

Yura Masahiro, Koyanagi Kazuo, Hara Asuka, Hayashi Keita, Tajima Yuki, Kaneko Yasushi, Fujisaki Hiroto, Hirata Akira, Takano Kiminori, Hongo Kumiko, Yo Kikuo, Yoneyama Kimiyasu, Tamai Yoshifumi, Dehari Reiko, Nakagawa Motohito

机构信息

Department of Surgery, Hiratsuka City Hospital, Kanagawa 2540065, Japan.

Department of Gastroenterological Surgery, Tokai University School of Medicine, Isehara 2591193, Japan.

出版信息

World J Clin Cases. 2021 Apr 26;9(12):2801-2810. doi: 10.12998/wjcc.v9.i12.2801.

DOI:10.12998/wjcc.v9.i12.2801
PMID:33969062
原文链接:https://pmc.ncbi.nlm.nih.gov/articles/PMC8058665/
Abstract

BACKGROUND

Definitive chemoradiotherapy (dCRT) using cisplatin plus 5fluorouracil (CF) with radiation is considered the standard treatment for unresectable locally advanced T4 esophageal squamous cell carcinoma (ESCC). Recently, induction chemotherapy has received attention as an effective treatment strategy.

CASE SUMMARY

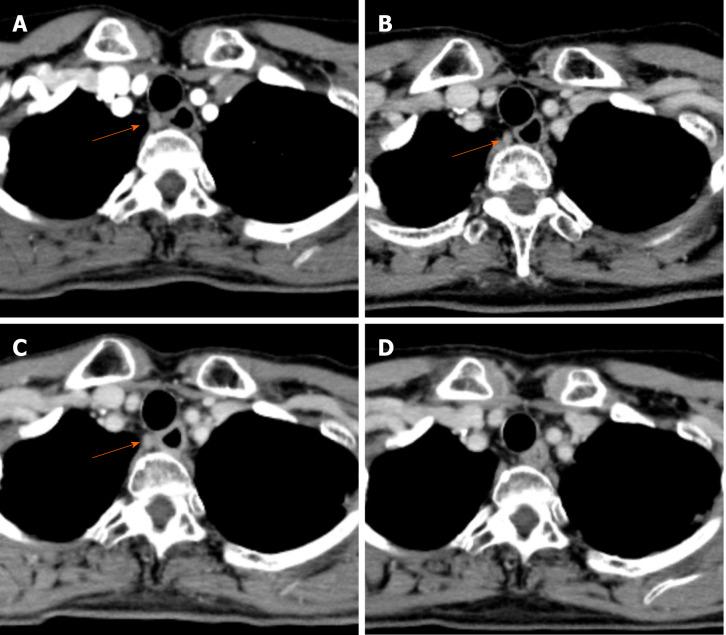
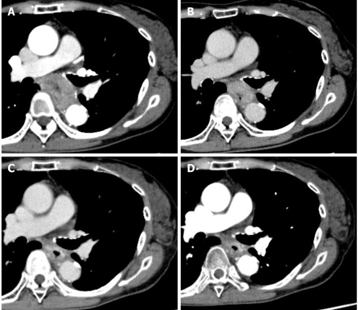
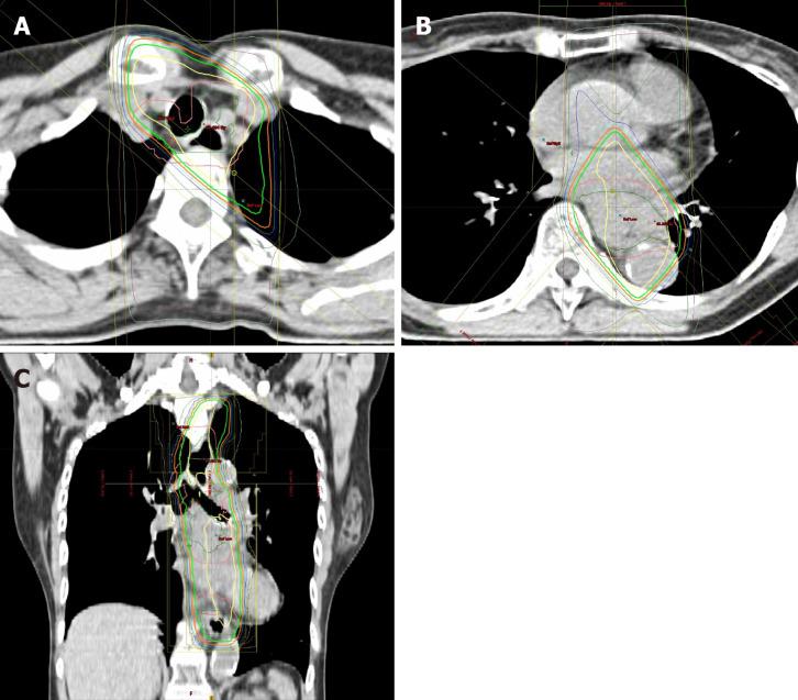
We report a successful case of a 59-year-old female with unresectable locally advanced T4 ESCC treated by two additional courses of chemotherapy with CF after induction chemotherapy with docetaxel, cisplatin and fluorouracil (DCF) followed by dCRT. Initial esophagogastroduodenoscopy (EGD) detected a type 2 advanced lesion located on the middle part of the esophagus, with stenosis. Computed tomography detected the primary tumor with suspected invasion of the left bronchus and 90° of direct contact with the aorta, and upper mediastinal lymph node metastasis. Pathological findings from biopsy revealed squamous cell carcinoma. We initially performed induction chemotherapy using three courses of DCF, but the lesion was still evaluated unresectable after DCF chemotherapy. Therefore, we subsequently performed dCRT treatment (CF and radiation). After dCRT, prominent reduction of the primary tumor was recognized but a residual tumor with ulceration was detected by EGD. Since the patient had some surgical risk, we performed two additional courses of CF and achieved a clinically complete response. After 14 mo from last administration of CF chemotherapy, recurrence has not been detected by computed tomography and EGD, and biopsy from the scar formation has revealed no cancer cells.

CONCLUSION

We report successful case with tumor remnants even after DCF and subsequent dCRT, for whom a complete response was finally achieved with two additional courses of CF chemotherapy. Additional CF chemotherapy could be one radical treatment option for residual ESCC after treatment with induction DCF followed by dCRT to avoid salvage surgery, especially for high-risk patients.

摘要

背景

顺铂联合5-氟尿嘧啶(CF)同步放化疗被认为是不可切除的局部晚期T4期食管鳞状细胞癌(ESCC)的标准治疗方法。近年来,诱导化疗作为一种有效的治疗策略受到关注。

病例摘要

我们报告了1例成功治疗的病例,患者为59岁女性,患有不可切除的局部晚期T4期ESCC,在接受多西他赛、顺铂和氟尿嘧啶(DCF)诱导化疗后,再接受两周期CF化疗,随后进行同步放化疗。最初的食管胃十二指肠镜检查(EGD)发现食管中段有一处2型进展期病变并伴有狭窄。计算机断层扫描发现原发性肿瘤,怀疑侵犯左支气管,与主动脉直接接触90°,并有上纵隔淋巴结转移。活检病理结果显示为鳞状细胞癌。我们最初采用三周期DCF进行诱导化疗,但DCF化疗后病变仍被评估为不可切除。因此,我们随后进行了同步放化疗(CF和放疗)。同步放化疗后,原发性肿瘤明显缩小,但EGD检查发现有残留肿瘤伴溃疡形成。由于患者存在一定的手术风险,我们又进行了两周期CF化疗,实现了临床完全缓解。在最后一次CF化疗后14个月,计算机断层扫描和EGD检查未发现复发,瘢痕形成部位的活检未发现癌细胞。

结论

我们报告了1例成功的病例,该患者即使在接受DCF及随后的同步放化疗后仍有肿瘤残留,最终通过两周期额外的CF化疗实现了完全缓解。额外的CF化疗可能是诱导DCF治疗后再行同步放化疗的ESCC残留患者避免补救性手术的一种根治性治疗选择,尤其适用于高危患者。

https://cdn.ncbi.nlm.nih.gov/pmc/blobs/172c/8058665/b65d06203a3f/WJCC-9-2801-g006.jpg
https://cdn.ncbi.nlm.nih.gov/pmc/blobs/172c/8058665/6e2ba40fdca1/WJCC-9-2801-g001.jpg
https://cdn.ncbi.nlm.nih.gov/pmc/blobs/172c/8058665/5254c84c902e/WJCC-9-2801-g002.jpg
https://cdn.ncbi.nlm.nih.gov/pmc/blobs/172c/8058665/d30c7e15646e/WJCC-9-2801-g003.jpg
https://cdn.ncbi.nlm.nih.gov/pmc/blobs/172c/8058665/288ebe2140f0/WJCC-9-2801-g004.jpg
https://cdn.ncbi.nlm.nih.gov/pmc/blobs/172c/8058665/489e239fa0ec/WJCC-9-2801-g005.jpg
https://cdn.ncbi.nlm.nih.gov/pmc/blobs/172c/8058665/b65d06203a3f/WJCC-9-2801-g006.jpg
https://cdn.ncbi.nlm.nih.gov/pmc/blobs/172c/8058665/6e2ba40fdca1/WJCC-9-2801-g001.jpg
https://cdn.ncbi.nlm.nih.gov/pmc/blobs/172c/8058665/5254c84c902e/WJCC-9-2801-g002.jpg
https://cdn.ncbi.nlm.nih.gov/pmc/blobs/172c/8058665/d30c7e15646e/WJCC-9-2801-g003.jpg
https://cdn.ncbi.nlm.nih.gov/pmc/blobs/172c/8058665/288ebe2140f0/WJCC-9-2801-g004.jpg
https://cdn.ncbi.nlm.nih.gov/pmc/blobs/172c/8058665/489e239fa0ec/WJCC-9-2801-g005.jpg
https://cdn.ncbi.nlm.nih.gov/pmc/blobs/172c/8058665/b65d06203a3f/WJCC-9-2801-g006.jpg

相似文献

1
Unresectable esophageal cancer treated with multiple chemotherapies in combination with chemoradiotherapy: A case report.多药化疗联合放化疗治疗不可切除食管癌:一例报告
World J Clin Cases. 2021 Apr 26;9(12):2801-2810. doi: 10.12998/wjcc.v9.i12.2801.
2
A prospective, multicenter phase I/II study of induction chemotherapy with docetaxel, cisplatin and fluorouracil (DCF) followed by chemoradiotherapy in patients with unresectable locally advanced esophageal carcinoma.一项关于多西他赛、顺铂和氟尿嘧啶(DCF)诱导化疗后进行放化疗的前瞻性、多中心I/II期研究,该研究针对不可切除的局部晚期食管癌患者。
Cancer Chemother Pharmacol. 2016 Jul;78(1):91-9. doi: 10.1007/s00280-016-3062-2. Epub 2016 May 18.
3
Phase II study of chemoselection with docetaxel plus cisplatin and 5-fluorouracil induction chemotherapy and subsequent conversion surgery for locally advanced unresectable oesophageal cancer.多西他赛联合顺铂和5-氟尿嘧啶诱导化疗进行化学选择以及随后对局部晚期不可切除食管癌进行转化手术的II期研究
Br J Cancer. 2016 Nov 22;115(11):1328-1334. doi: 10.1038/bjc.2016.350. Epub 2016 Nov 3.
4
Safety of thoracoscopic esophagectomy after induction chemotherapy for locally advanced unresectable esophageal squamous cell carcinoma.诱导化疗后胸腔镜食管癌切除术治疗局部晚期不可切除食管鳞癌的安全性。
Asian J Endosc Surg. 2020 Apr;13(2):152-159. doi: 10.1111/ases.12731. Epub 2019 Jul 16.
5
Utility of initial induction chemotherapy with 5-fluorouracil, cisplatin, and docetaxel (DCF) for T4 esophageal cancer: a propensity score-matched analysis.5-氟尿嘧啶、顺铂和多西他赛(DCF)初始诱导化疗用于T4期食管癌的效用:一项倾向评分匹配分析。
Dis Esophagus. 2018 Apr 1;31(4). doi: 10.1093/dote/dox130.
6
Long-Term Outcome of Patients with Locally Advanced Clinically Unresectable Esophageal Cancer Undergoing Conversion Surgery after Induction Chemotherapy with Docetaxel Plus Cisplatin and 5-Fluorouracil.多西他赛联合顺铂和氟尿嘧啶诱导化疗后行转换手术治疗局部晚期临床不可切除食管癌患者的长期预后。
Ann Surg Oncol. 2021 Feb;28(2):712-721. doi: 10.1245/s10434-020-08865-0. Epub 2020 Aug 5.
7
[Long-Term Complete Response in Postoperative Multiple Lung and Mediastinal Lymph Node Metastases of Esophageal Cancer Using Systemic Chemotherapy with DCF Treatment - A Case Report].[采用DCF方案全身化疗治疗食管癌术后多发肺及纵隔淋巴结转移的长期完全缓解——病例报告]
Gan To Kagaku Ryoho. 2017 Jan;44(1):75-78.
8
Concurrent Chemoradiotherapy With Docetaxel, Cisplatin, and 5-Fluorouracil (DCF-RT) . Cisplatin and 5-Fluorouracil (CF-RT) for Patients With Unresectable Locally Advanced Esophageal Cancer in a Real-world Clinical Setting.多西他赛、顺铂和氟尿嘧啶同步放化疗(DCF-RT)。在真实临床环境中,不可切除局部晚期食管鳞癌患者采用顺铂和氟尿嘧啶(CF-RT)治疗。
Anticancer Res. 2021 Apr;41(4):2141-2145. doi: 10.21873/anticanres.14986.
9
Definitive chemoradiotherapy with docetaxel, cisplatin, and 5-fluorouracil (DCF-R) for advanced cervical esophageal cancer.多西他赛、顺铂和5-氟尿嘧啶的确定性放化疗(DCF-R)用于晚期颈段食管癌
Esophagus. 2018 Oct;15(4):281-285. doi: 10.1007/s10388-018-0627-7. Epub 2018 Jun 15.
10
The current status of multimodality treatment for unresectable locally advanced esophageal squamous cell carcinoma.不可切除的局部晚期食管鳞状细胞癌的多模态治疗现状
Asia Pac J Clin Oncol. 2018 Aug;14(4):291-299. doi: 10.1111/ajco.12995. Epub 2018 Jun 5.

引用本文的文献

1
An esophageal stent integrated with wireless battery-free movable photodynamic-therapy unit for targeted tumor treatment.一种集成无线无电池可移动光动力治疗单元的食管支架,用于靶向肿瘤治疗。
Mater Today Bio. 2024 Dec 9;30:101394. doi: 10.1016/j.mtbio.2024.101394. eCollection 2025 Feb.
2
Targeted Photodynamic Diagnosis and Therapy for Esophageal Cancer: Potential Role of Functionalized Nanomedicine.食管癌的靶向光动力诊断与治疗:功能化纳米药物的潜在作用
Pharmaceutics. 2021 Nov 16;13(11):1943. doi: 10.3390/pharmaceutics13111943.

本文引用的文献

1
Appropriate Candidates for Salvage Esophagectomy of Initially Unresectable Locally Advanced T4 Esophageal Squamous Cell Carcinoma.局部晚期 T4 期食管鳞癌初始不可切除患者行挽救性食管切除术的合适人选。
Ann Surg Oncol. 2020 Sep;27(9):3163-3170. doi: 10.1245/s10434-020-08440-7. Epub 2020 Apr 20.
2
Long-term outcomes of multimodal therapy combining definitive chemoradiotherapy and salvage surgery for T4 esophageal squamous cell carcinoma.多模态治疗(包括根治性放化疗和挽救性手术)治疗 T4 期食管鳞癌的长期疗效。
Int J Clin Oncol. 2020 Apr;25(4):552-560. doi: 10.1007/s10147-019-01590-z. Epub 2019 Dec 11.
3
Salvage esophagectomy for initially unresectable locally advanced T4 esophageal squamous cell carcinoma.
根治性食管切除术治疗初诊不可切除的局部晚期 T4 食管鳞癌。
Esophagus. 2020 Jan;17(1):59-66. doi: 10.1007/s10388-019-00700-0. Epub 2019 Oct 8.
4
The Benefits of Docetaxel Plus Cisplatin and 5-Fluorouracil Induction Therapy in Conversion to Curative Treatment for Locally Advanced Esophageal Squamous Cell Carcinoma.多西他赛联合顺铂和氟尿嘧啶诱导治疗对局部晚期食管鳞癌转化为根治性治疗的益处。
World J Surg. 2019 Aug;43(8):2006-2015. doi: 10.1007/s00268-019-05000-3.
5
Global cancer statistics 2018: GLOBOCAN estimates of incidence and mortality worldwide for 36 cancers in 185 countries.全球癌症统计数据 2018:GLOBOCAN 对全球 185 个国家/地区 36 种癌症的发病率和死亡率的估计。
CA Cancer J Clin. 2018 Nov;68(6):394-424. doi: 10.3322/caac.21492. Epub 2018 Sep 12.
6
Esophageal cancer practice guidelines 2017 edited by the Japan esophageal society: part 2.日本食管癌学会编辑的《2017年食管癌诊疗指南》:第2部分
Esophagus. 2019 Jan;16(1):25-43. doi: 10.1007/s10388-018-0642-8. Epub 2018 Aug 31.
7
Esophageal cancer practice guidelines 2017 edited by the Japan Esophageal Society: part 1.日本食管癌学会编辑的《2017年食管癌诊疗指南》:第1部分。
Esophagus. 2019 Jan;16(1):1-24. doi: 10.1007/s10388-018-0641-9. Epub 2018 Aug 31.
8
Comprehensive Registry of Esophageal Cancer in Japan, 2010.2010年日本食管癌综合登记处
Esophagus. 2017;14(3):189-214. doi: 10.1007/s10388-017-0578-4. Epub 2017 May 19.
9
Japanese Classification of Esophageal Cancer, 11th Edition: part I.《日本食管癌分类第11版:第一部分》
Esophagus. 2017;14(1):1-36. doi: 10.1007/s10388-016-0551-7. Epub 2016 Nov 10.
10
Phase II study of chemoselection with docetaxel plus cisplatin and 5-fluorouracil induction chemotherapy and subsequent conversion surgery for locally advanced unresectable oesophageal cancer.多西他赛联合顺铂和5-氟尿嘧啶诱导化疗进行化学选择以及随后对局部晚期不可切除食管癌进行转化手术的II期研究
Br J Cancer. 2016 Nov 22;115(11):1328-1334. doi: 10.1038/bjc.2016.350. Epub 2016 Nov 3.