• 文献检索
  • 文档翻译
  • 深度研究
  • 学术资讯
  • Suppr Zotero 插件Zotero 插件
  • 邀请有礼
  • 套餐&价格
  • 历史记录
应用&插件
Suppr Zotero 插件Zotero 插件浏览器插件Mac 客户端Windows 客户端微信小程序
定价
高级版会员购买积分包购买API积分包
服务
文献检索文档翻译深度研究API 文档MCP 服务
关于我们
关于 Suppr公司介绍联系我们用户协议隐私条款
关注我们

Suppr 超能文献

核心技术专利:CN118964589B侵权必究
粤ICP备2023148730 号-1Suppr @ 2026

文献检索

告别复杂PubMed语法,用中文像聊天一样搜索,搜遍4000万医学文献。AI智能推荐,让科研检索更轻松。

立即免费搜索

文件翻译

保留排版,准确专业,支持PDF/Word/PPT等文件格式,支持 12+语言互译。

免费翻译文档

深度研究

AI帮你快速写综述,25分钟生成高质量综述,智能提取关键信息,辅助科研写作。

立即免费体验

罕见病例:葡萄胎妊娠后妊娠滋养细胞肿瘤早期转化。

A Rare Case of Early Transformation of Gestational Trophoblastic Neoplasia Following Molar Pregnancy.

机构信息

Department of Obstetrics and Gynecology, Faculty of Medicine, Padjadjaran University - Dr. Hasan Sadikin Hospital, Bandung, Indonesia.

Department of Pathology Anatomy, Faculty of Medicine, Padjadjaran University - Dr. Hasan Sadikin Hospital, Bandung, Indonesia.

出版信息

Am J Case Rep. 2021 May 11;22:e930789. doi: 10.12659/AJCR.930789.

DOI:10.12659/AJCR.930789
PMID:33972495
原文链接:https://pmc.ncbi.nlm.nih.gov/articles/PMC8126585/
Abstract

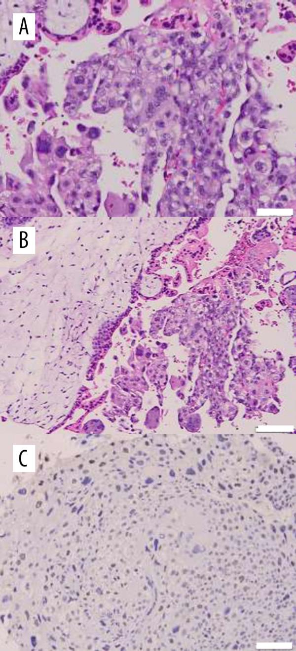
BACKGROUND Gestational trophoblastic disease (GTD) encompasses a group of disorders that arise from abnormal growth of trophoblastic tissue. The spectrum of GTD includes 2 major groups: benign and malignant. The benign form is a hydatidiform mole, either complete or partial; the malignant forms, referred to as gestational trophoblastic neoplasia (GTN), consist of invasive moles, choriocarcinomas, placental site trophoblastic tumors, and epithelioid trophoblastic tumors. Most patients who undergo evacuation of a hydatidiform mole by curettage have a disease-free period before a new tumor develops that can be considered malignant. In rare cases, metastasis occurs rapidly and manifests coincidentally before the hydatidiform mole can be evacuated. CASE REPORT A 19-year-old woman in Bandung City, West Java, Indonesia, was diagnosed with a molar pregnancy with early evidence of a mass in her vagina that was suspicious for stage II GTN. The early emergence of a vaginal mass was a rare case of early transformation of a molar pregnancy into GTN. CONCLUSIONS Careful evaluation is warranted of patients with characteristics typical of an intrauterine molar pregnancy who have an early presentation of a vaginal mass because of the possibility that the diagnosis could be GTN.

摘要

背景

妊娠滋养细胞疾病(GTD)包括一组源于滋养细胞异常生长的疾病。GTD 的范围包括 2 个主要类别:良性和恶性。良性形式为葡萄胎,完全或部分性;恶性形式为妊娠滋养细胞肿瘤(GTN),包括侵袭性葡萄胎、绒毛膜癌、胎盘部位滋养细胞肿瘤和上皮样滋养细胞肿瘤。大多数接受刮宫术清除葡萄胎的患者在新肿瘤发展之前有一段无病期,可被认为是恶性的。在极少数情况下,转移迅速发生,并在可以清除葡萄胎之前同时出现。病例报告:印度尼西亚西爪哇省万隆市一名 19 岁女性被诊断为葡萄胎妊娠,阴道内有肿块的早期迹象,疑似 II 期 GTN。阴道肿块的早期出现是葡萄胎妊娠早期转化为 GTN 的罕见病例。结论:对于具有典型宫内葡萄胎特征且阴道肿块早期出现的患者,应进行仔细评估,因为可能诊断为 GTN。

https://cdn.ncbi.nlm.nih.gov/pmc/blobs/c0ef/8126585/62135a7699ca/amjcaserep-22-e930789-g005.jpg
https://cdn.ncbi.nlm.nih.gov/pmc/blobs/c0ef/8126585/b45e77f43b66/amjcaserep-22-e930789-g001.jpg
https://cdn.ncbi.nlm.nih.gov/pmc/blobs/c0ef/8126585/f11709f27517/amjcaserep-22-e930789-g002.jpg
https://cdn.ncbi.nlm.nih.gov/pmc/blobs/c0ef/8126585/971ea1c57be4/amjcaserep-22-e930789-g003.jpg
https://cdn.ncbi.nlm.nih.gov/pmc/blobs/c0ef/8126585/1f4037839e9d/amjcaserep-22-e930789-g004.jpg
https://cdn.ncbi.nlm.nih.gov/pmc/blobs/c0ef/8126585/62135a7699ca/amjcaserep-22-e930789-g005.jpg
https://cdn.ncbi.nlm.nih.gov/pmc/blobs/c0ef/8126585/b45e77f43b66/amjcaserep-22-e930789-g001.jpg
https://cdn.ncbi.nlm.nih.gov/pmc/blobs/c0ef/8126585/f11709f27517/amjcaserep-22-e930789-g002.jpg
https://cdn.ncbi.nlm.nih.gov/pmc/blobs/c0ef/8126585/971ea1c57be4/amjcaserep-22-e930789-g003.jpg
https://cdn.ncbi.nlm.nih.gov/pmc/blobs/c0ef/8126585/1f4037839e9d/amjcaserep-22-e930789-g004.jpg
https://cdn.ncbi.nlm.nih.gov/pmc/blobs/c0ef/8126585/62135a7699ca/amjcaserep-22-e930789-g005.jpg

相似文献

1
A Rare Case of Early Transformation of Gestational Trophoblastic Neoplasia Following Molar Pregnancy.罕见病例:葡萄胎妊娠后妊娠滋养细胞肿瘤早期转化。
Am J Case Rep. 2021 May 11;22:e930789. doi: 10.12659/AJCR.930789.
2
A Case of Rapid Transformation from Hydatidiform Mole to Invasive Mole: The Importance of β-hCG (Human Chorionic Gonadotropin) Serum Levels in Follow-Up Evaluation.一例从葡萄胎到侵袭性葡萄胎的快速转化:β-hCG(人绒毛膜促性腺激素)血清水平在随访评估中的重要性。
Am J Case Rep. 2021 Jun 15;22:e931156. doi: 10.12659/AJCR.931156.
3
Surgery including fertility-sparing treatment of GTD.手术治疗,包括保留生育功能的滋养细胞肿瘤治疗。
Best Pract Res Clin Obstet Gynaecol. 2021 Jul;74:97-108. doi: 10.1016/j.bpobgyn.2020.10.005. Epub 2020 Oct 10.
4
Gestational Trophoblastic Disease妊娠滋养细胞疾病
5
Advances in diagnostics and management of gestational trophoblastic disease.妊娠滋养细胞疾病的诊断和治疗进展。
Radiol Oncol. 2022 Oct 27;56(4):430-439. doi: 10.2478/raon-2022-0038. eCollection 2022 Dec 1.
6
Gestational trophoblastic neoplasia after human chorionic gonadotropin normalization in a retrospective cohort of 7761 patients in France.法国一项回顾性队列研究,纳入 7761 例患者,分析人绒毛膜促性腺激素正常后发生妊娠滋养细胞肿瘤的情况。
Am J Obstet Gynecol. 2021 Oct;225(4):401.e1-401.e9. doi: 10.1016/j.ajog.2021.05.006. Epub 2021 May 18.
7
[Value of laparoscopic surgery in the diagnosis of suspected gestational trophoblastic neoplasia cases with uterine mass].[腹腔镜手术在诊断子宫肿块疑似妊娠滋养细胞肿瘤病例中的价值]
Zhonghua Fu Chan Ke Za Zhi. 2015 Dec;50(12):910-4.
8
Gestational trophoblastic disease- rare, sometimes dramatic, and what we know so far.妊娠滋养细胞疾病——罕见,有时病情严重,以及我们目前所了解的情况。
Semin Diagn Pathol. 2022 May;39(3):228-237. doi: 10.1053/j.semdp.2022.03.002. Epub 2022 Mar 22.
9
Diagnosis and management of gestational trophoblastic disease: 2021 update.妊娠滋养细胞疾病的诊断与管理:2021年更新
Int J Gynaecol Obstet. 2021 Oct;155 Suppl 1(Suppl 1):86-93. doi: 10.1002/ijgo.13877.
10
Clinical presentation and diagnosis of Gestational Trophoblastic Disease.妊娠滋养细胞疾病的临床表现与诊断。
Best Pract Res Clin Obstet Gynaecol. 2021 Jul;74:42-52. doi: 10.1016/j.bpobgyn.2020.12.001. Epub 2020 Dec 21.

本文引用的文献

1
Vaginal metastasis of gestational trophoblastic neoplasia resulting in hemorrhage: A case report.妊娠滋养细胞肿瘤阴道转移致出血:一例报告
Gynecol Oncol Rep. 2020 Sep 23;34:100651. doi: 10.1016/j.gore.2020.100651. eCollection 2020 Nov.
2
Management of Gestational Trophoblastic Disease: Green-top Guideline No. 38 - June 2020.妊娠滋养细胞疾病的管理:绿帽指南第38号 - 2020年6月
BJOG. 2021 Feb;128(3):e1-e27. doi: 10.1111/1471-0528.16266. Epub 2020 Sep 29.
3
Understanding and management of gestational trophoblastic disease.
妊娠滋养细胞疾病的认识与管理
F1000Res. 2019 Apr 10;8. doi: 10.12688/f1000research.14953.1. eCollection 2019.
4
Role of chemotherapy and thrombolysis in treatment of choriocarcinoma accompanied with pulmonary embolism: A case report with literature review.化疗和溶栓在绒毛膜癌伴肺栓塞治疗中的作用:一例病例报告并文献复习
Medicine (Baltimore). 2017 Sep;96(36):e7866. doi: 10.1097/MD.0000000000007866.
5
Gestational Trophoblastic Disease: Clinical and Imaging Features.妊娠滋养细胞疾病:临床与影像学特征
Radiographics. 2017 Mar-Apr;37(2):681-700. doi: 10.1148/rg.2017160140.
6
Large posterior vaginal cyst in pregnancy.妊娠期间的巨大阴道后囊肿
BMJ Case Rep. 2015 Jan 20;2015:bcr2014208874. doi: 10.1136/bcr-2014-208874.
7
Subsequent pregnancy outcomes after complete and partial molar pregnancy, recurrent molar pregnancy, and gestational trophoblastic neoplasia: an update from the New England Trophoblastic Disease Center.完全性和部分性葡萄胎、复发性葡萄胎及妊娠滋养细胞肿瘤后的后续妊娠结局:来自新英格兰滋养细胞疾病中心的最新报告
J Reprod Med. 2014 May-Jun;59(5-6):188-94.
8
Metastatic vulvo-vaginal choriocarcinoma mimicking a Bartholin cyst and vulvar hematoma-two unusual presentations.转移性外阴阴道绒毛膜癌酷似巴氏腺囊肿和外阴血肿——两种不寻常的表现。
J Turk Ger Gynecol Assoc. 2012 Sep 1;13(3):218-20. doi: 10.5152/jtgga.2011.73. eCollection 2012.
9
Management of molar pregnancy.葡萄胎的管理
J Prenat Med. 2009 Jan;3(1):15-7.
10
Gestational trophoblastic disease I: epidemiology, pathology, clinical presentation and diagnosis of gestational trophoblastic disease, and management of hydatidiform mole.妊娠滋养细胞疾病 I:流行病学、病理学、临床表现和诊断、葡萄胎的处理。
Am J Obstet Gynecol. 2010 Dec;203(6):531-9. doi: 10.1016/j.ajog.2010.06.073. Epub 2010 Aug 21.