• 文献检索
  • 文档翻译
  • 深度研究
  • 学术资讯
  • Suppr Zotero 插件Zotero 插件
  • 邀请有礼
  • 套餐&价格
  • 历史记录
应用&插件
Suppr Zotero 插件Zotero 插件浏览器插件Mac 客户端Windows 客户端微信小程序
定价
高级版会员购买积分包购买API积分包
服务
文献检索文档翻译深度研究API 文档MCP 服务
关于我们
关于 Suppr公司介绍联系我们用户协议隐私条款
关注我们

Suppr 超能文献

核心技术专利:CN118964589B侵权必究
粤ICP备2023148730 号-1Suppr @ 2026

文献检索

告别复杂PubMed语法,用中文像聊天一样搜索,搜遍4000万医学文献。AI智能推荐,让科研检索更轻松。

立即免费搜索

文件翻译

保留排版,准确专业,支持PDF/Word/PPT等文件格式,支持 12+语言互译。

免费翻译文档

深度研究

AI帮你快速写综述,25分钟生成高质量综述,智能提取关键信息,辅助科研写作。

立即免费体验

DKK1 RNAscope 显色原位杂交检测法在胃和胃食管交界腺癌肿瘤中的验证。

Validation of a DKK1 RNAscope chromogenic in situ hybridization assay for gastric and gastroesophageal junction adenocarcinoma tumors.

机构信息

Flagship Biosciences, Westminster, CO, USA.

Athenaeum Pathology Consulting, Sudbury, MA, USA.

出版信息

Sci Rep. 2021 May 10;11(1):9920. doi: 10.1038/s41598-021-89060-3.

DOI:10.1038/s41598-021-89060-3
PMID:33972574
原文链接:https://pmc.ncbi.nlm.nih.gov/articles/PMC8110580/
Abstract

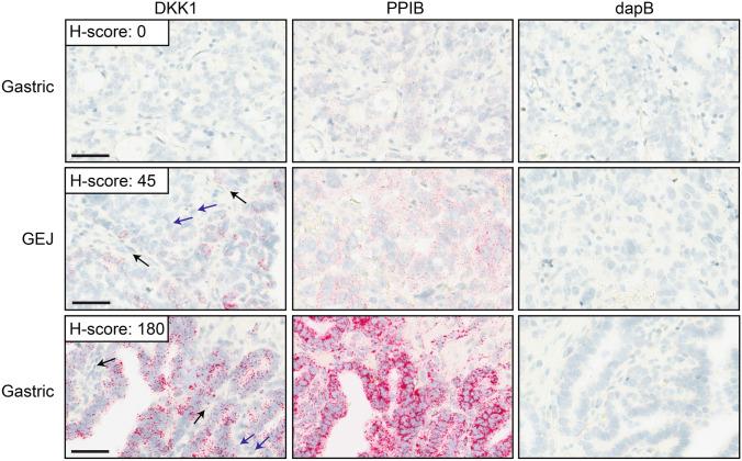
Dickkopf-1 (DKK1) is a secreted modulator of Wnt signaling that is frequently overexpressed in tumors and associated with poor clinical outcomes. DKN-01 is a humanized monoclonal therapeutic antibody that binds DKK1 with high affinity and has demonstrated clinical activity in gastric/gastroesophageal junction (G/GEJ) patients with elevated tumoral expression of DKK1. Here we report on the validation of a DKK1 RNAscope chromogenic in situ hybridization assay to assess DKK1 expression in G/GEJ tumor tissue. To reduce pathologist time, potential pathologist variability from manual scoring and support pathologist decision making, a digital image analysis algorithm that identifies tumor cells and quantifies the DKK1 signal was developed. Following CLIA guidelines the DKK1 RNAscope chromogenic in situ hybridization assay and digital image analysis algorithm were successfully validated for sensitivity, specificity, accuracy, and precision. The DKK1 RNAscope assay in conjunction with the digital image analysis solution is acceptable for prospective screening of G/GEJ adenocarcinoma patients. The work described here will further advance the companion diagnostic development of our DKK1 RNAscope assay and could generally be used as a guide for the validation of RNAscope assays with digital image quantification.

摘要

Dickkopf-1(DKK1)是一种分泌型 Wnt 信号调节剂,在肿瘤中经常过表达,并与不良的临床结局相关。DKN-01 是一种人源化的单克隆治疗性抗体,与 DKK1 具有高亲和力,并且在肿瘤中 DKK1 表达升高的胃/胃食管交界处(G/GEJ)患者中显示出临床活性。在这里,我们报告了一种 DKK1 RNAscope 显色原位杂交检测方法,用于评估 G/GEJ 肿瘤组织中的 DKK1 表达。为了减少病理学家的时间,减少手动评分的潜在病理学家变异性,并支持病理学家的决策,开发了一种数字图像分析算法,该算法可以识别肿瘤细胞并量化 DKK1 信号。根据 CLIA 指南,成功验证了 DKK1 RNAscope 显色原位杂交检测方法和数字图像分析算法的灵敏度、特异性、准确性和精密度。DKK1 RNAscope 检测与数字图像分析解决方案相结合,可用于 G/GEJ 腺癌患者的前瞻性筛查。这里描述的工作将进一步推进我们的 DKK1 RNAscope 检测的伴随诊断开发,并且通常可以用作具有数字图像定量的 RNAscope 检测验证的指南。

https://cdn.ncbi.nlm.nih.gov/pmc/blobs/aecb/8110580/ba98e24729c1/41598_2021_89060_Fig4_HTML.jpg
https://cdn.ncbi.nlm.nih.gov/pmc/blobs/aecb/8110580/1fcf503ae4f3/41598_2021_89060_Fig1_HTML.jpg
https://cdn.ncbi.nlm.nih.gov/pmc/blobs/aecb/8110580/25a52160773c/41598_2021_89060_Fig2_HTML.jpg
https://cdn.ncbi.nlm.nih.gov/pmc/blobs/aecb/8110580/dabd2d07f0de/41598_2021_89060_Fig3_HTML.jpg
https://cdn.ncbi.nlm.nih.gov/pmc/blobs/aecb/8110580/ba98e24729c1/41598_2021_89060_Fig4_HTML.jpg
https://cdn.ncbi.nlm.nih.gov/pmc/blobs/aecb/8110580/1fcf503ae4f3/41598_2021_89060_Fig1_HTML.jpg
https://cdn.ncbi.nlm.nih.gov/pmc/blobs/aecb/8110580/25a52160773c/41598_2021_89060_Fig2_HTML.jpg
https://cdn.ncbi.nlm.nih.gov/pmc/blobs/aecb/8110580/dabd2d07f0de/41598_2021_89060_Fig3_HTML.jpg
https://cdn.ncbi.nlm.nih.gov/pmc/blobs/aecb/8110580/ba98e24729c1/41598_2021_89060_Fig4_HTML.jpg

相似文献

1
Validation of a DKK1 RNAscope chromogenic in situ hybridization assay for gastric and gastroesophageal junction adenocarcinoma tumors.DKK1 RNAscope 显色原位杂交检测法在胃和胃食管交界腺癌肿瘤中的验证。
Sci Rep. 2021 May 10;11(1):9920. doi: 10.1038/s41598-021-89060-3.
2
HER2 in situ hybridization in gastric and gastroesophageal adenocarcinoma: comparison of automated dual ISH to FISH.人表皮生长因子受体2原位杂交技术在胃及胃食管腺癌中的应用:自动双重原位杂交技术与荧光原位杂交技术的比较
Appl Immunohistochem Mol Morphol. 2013 Dec;21(6):561-6. doi: 10.1097/PAI.0b013e3182849826.
3
Safety, Efficacy, and Biomarker Results from a Phase Ib Study of the Anti-DKK1 Antibody DKN-01 in Combination with Pembrolizumab in Advanced Esophagogastric Cancers.一项在晚期胃食管腺癌中联合使用抗 DKK1 抗体 DKN-01 和帕博利珠单抗的 Ib 期研究的安全性、疗效和生物标志物结果。
Mol Cancer Ther. 2021 Nov;20(11):2240-2249. doi: 10.1158/1535-7163.MCT-21-0273. Epub 2021 Sep 4.
4
Genome wide single cell analysis of chemotherapy resistant metastatic cells in a case of gastroesophageal adenocarcinoma.胃食管腺癌病例中化疗耐药转移性细胞的全基因组单细胞分析。
BMC Cancer. 2011 Oct 20;11:455. doi: 10.1186/1471-2407-11-455.
5
DKK1 is a predictive biomarker for response to DKN-01: Results of a phase 2 basket study in women with recurrent endometrial carcinoma.DKK1 是对 DKN-01 反应的预测性生物标志物:在复发性子宫内膜癌女性中进行的 2 期篮子研究结果。
Gynecol Oncol. 2023 May;172:82-91. doi: 10.1016/j.ygyno.2023.03.013. Epub 2023 Mar 29.
6
Evaluation of Expression of Human Epidermal Growth Factor Receptor 2 (HER2) in Gastric and Gastroesophageal Junction Adenocarcinoma Using IHC and Dual-ISH.应用免疫组织化学(IHC)和双色原位杂交(Dual-ISH)评估人表皮生长因子受体2(HER2)在胃及胃食管交界腺癌中的表达
Anticancer Res. 2018 Jan;38(1):367-372. doi: 10.21873/anticanres.12231.
7
HER2 Genetic Heterogeneity in Gastric Cancer: Evaluation According to the College of American Pathologists Breast Cancer Criteria.胃癌中HER2基因异质性:根据美国病理学家学会乳腺癌标准进行评估
Appl Immunohistochem Mol Morphol. 2015 Oct;23(9):628-32. doi: 10.1097/PAI.0000000000000136.
8
Early miR-223 Upregulation in Gastroesophageal Carcinogenesis.食管胃癌发生过程中miR-223的早期上调
Am J Clin Pathol. 2017 Mar 1;147(3):301-308. doi: 10.1093/ajcp/aqx004.
9
Current molecular biomarkers evaluation in gastric/gastroesophageal junction adenocarcinoma: pathologist does matter.当前胃/胃食管结合部腺癌的分子标志物评估:病理学家很重要。
Updates Surg. 2023 Feb;75(2):291-303. doi: 10.1007/s13304-022-01330-5. Epub 2022 Jul 14.
10
Andecaliximab/GS-5745 Alone and Combined with mFOLFOX6 in Advanced Gastric and Gastroesophageal Junction Adenocarcinoma: Results from a Phase I Study.安可达西单抗/GS-5745 单药及联合 mFOLFOX6 治疗晚期胃及胃食管结合部腺癌的 I 期研究结果。
Clin Cancer Res. 2018 Aug 15;24(16):3829-3837. doi: 10.1158/1078-0432.CCR-17-2469. Epub 2018 Apr 24.

引用本文的文献

1
DKN-01 and tislelizumab as second-line therapy in DKK1-high gastroesophageal adenocarcinoma: DisTinGuish trial part B.DKN-01与替雷利珠单抗作为DKK1高表达胃食管腺癌二线治疗的研究:DisTinGuish试验B部分
Nat Commun. 2025 Jul 10;16(1):6393. doi: 10.1038/s41467-025-61420-x.
2
DKN-01 in Combination With Tislelizumab and Chemotherapy as First-Line Therapy in Advanced Gastric or Gastroesophageal Junction Adenocarcinoma: DisTinGuish.DKN-01联合替雷利珠单抗及化疗作为晚期胃或胃食管交界腺癌一线治疗:DisTinGuish研究
J Clin Oncol. 2025 Jan 20;43(3):339-349. doi: 10.1200/JCO.24.00410. Epub 2024 Oct 21.
3
Characterization of cell states in biliary tract cancers identifies mechanisms of therapeutic resistance in a phase II trial of DKN-01/nivolumab.

本文引用的文献

1
mDKN-01, a Novel Anti-DKK1 mAb, Enhances Innate Immune Responses in the Tumor Microenvironment.mDKN-01,一种新型的抗 DKK1 mAb,增强了肿瘤微环境中的固有免疫反应。
Mol Cancer Res. 2021 Apr;19(4):717-725. doi: 10.1158/1541-7786.MCR-20-0799. Epub 2020 Dec 22.
2
Dickkopf-1 Can Lead to Immune Evasion in Metastatic Castration-Resistant Prostate Cancer.Dickkopf-1可导致转移性去势抵抗性前列腺癌的免疫逃逸。
JCO Precis Oncol. 2020 Sep 29;4. doi: 10.1200/PO.20.00097. eCollection 2020.
3
Phase I and Biomarker Study of the Wnt Pathway Modulator DKN-01 in Combination with Gemcitabine/Cisplatin in Advanced Biliary Tract Cancer.
胆管癌中细胞状态的特征分析确定了DKN-01/纳武单抗II期试验中的治疗耐药机制。
medRxiv. 2024 Oct 8:2024.10.08.24315092. doi: 10.1101/2024.10.08.24315092.
4
Visualization of Individual RNA Molecules by Proximity Ligation-Based Chromogenic In Situ Hybridization Assay.基于邻近连接的显色原位杂交检测法对单个 RNA 分子的可视化。
Methods Mol Biol. 2024;2822:143-156. doi: 10.1007/978-1-0716-3918-4_11.
5
Correlation of TRPA1 RNAscope and Agonist Responses.TRPA1 RNAscope 与激动剂反应的相关性。
J Histochem Cytochem. 2024 May;72(5):275-287. doi: 10.1369/00221554241251904. Epub 2024 May 10.
6
Heterosynaptic plasticity of the visuo-auditory projection requires cholecystokinin released from entorhinal cortex afferents.视听觉投射的异突触可塑性需要来自内嗅皮层传入的胆囊收缩素释放。
Elife. 2024 Mar 4;13:e83356. doi: 10.7554/eLife.83356.
7
Spatial mapping of ectonucleotidase gene expression in the murine urinary bladder.小鼠膀胱中外核苷酸酶基因表达的空间图谱
Front Physiol. 2023 Nov 30;14:1306500. doi: 10.3389/fphys.2023.1306500. eCollection 2023.
8
Chromogenic hybridization reveals specific expression pattern of long non-coding RNA in formalin-fixed paraffin-embedded specimen.显色杂交揭示了长链非编码RNA在福尔马林固定石蜡包埋标本中的特异性表达模式。
Noncoding RNA Res. 2023 Nov 11;9(1):76-83. doi: 10.1016/j.ncrna.2023.11.004. eCollection 2024 Mar.
9
European Society of Toxicologic Pathology (Pathology 2.0 Molecular Pathology Special Interest Group): Review of In Situ Hybridization Techniques for Drug Research and Development.欧洲毒理学病理学会(病理 2.0 分子病理学特别兴趣小组):药物研究与开发中原位杂交技术的综述。
Toxicol Pathol. 2023 Apr;51(3):92-111. doi: 10.1177/01926233231178282. Epub 2023 Jul 14.
10
QuantISH: RNA in situ hybridization image analysis framework for quantifying cell type-specific target RNA expression and variability.QuantISH:用于量化细胞类型特异性靶 RNA 表达和变异性的 RNA 原位杂交图像分析框架。
Lab Invest. 2022 Jul;102(7):753-761. doi: 10.1038/s41374-022-00743-5. Epub 2022 Feb 15.
Wnt信号通路调节剂DKN-01联合吉西他滨/顺铂治疗晚期胆管癌的I期及生物标志物研究
Clin Cancer Res. 2020 Dec 1;26(23):6158-6167. doi: 10.1158/1078-0432.CCR-20-1310. Epub 2020 Sep 2.
4
The anti-DKK1 antibody DKN-01 as an immunomodulatory combination partner for the treatment of cancer.抗 DKK1 抗体 DKN-01 作为一种免疫调节联合治疗伙伴用于癌症治疗。
Expert Opin Investig Drugs. 2020 Jul;29(7):639-644. doi: 10.1080/13543784.2020.1769065. Epub 2020 May 25.
5
Wnt signaling modulator DKK1 as an immunotherapeutic target in ovarian cancer.Wnt 信号调节剂 DKK1 作为卵巢癌的免疫治疗靶点。
Gynecol Oncol. 2020 Jun;157(3):765-774. doi: 10.1016/j.ygyno.2020.03.010. Epub 2020 Mar 16.
6
Rogaratinib in patients with advanced cancers selected by FGFR mRNA expression: a phase 1 dose-escalation and dose-expansion study.FGFR mRNA 表达筛选的晚期癌症患者中罗加替尼:一项 1 期剂量递增和扩展研究。
Lancet Oncol. 2019 Oct;20(10):1454-1466. doi: 10.1016/S1470-2045(19)30412-7. Epub 2019 Aug 9.
7
Next-generation characterization of the Cancer Cell Line Encyclopedia.下一代癌症细胞系百科全书的特征描述。
Nature. 2019 May;569(7757):503-508. doi: 10.1038/s41586-019-1186-3. Epub 2019 May 8.
8
Assessment of PD-L1 mRNA and protein expression in non-small cell lung cancer, head and neck squamous cell carcinoma and urothelial carcinoma tissue specimens using RNAScope and immunohistochemistry.使用 RNAScope 和免疫组织化学评估非小细胞肺癌、头颈部鳞状细胞癌和尿路上皮癌组织标本中的 PD-L1 mRNA 和蛋白表达。
PLoS One. 2019 Apr 15;14(4):e0215393. doi: 10.1371/journal.pone.0215393. eCollection 2019.
9
Estrogen Receptor-α Quantification in Breast Cancer: Concordance Between Immunohistochemical Assays and mRNA-In Situ Hybridization for ESR1 Gene.乳腺癌中雌激素受体-α的定量检测:免疫组织化学检测与 ESR1 基因 mRNA 原位杂交的一致性。
Appl Immunohistochem Mol Morphol. 2020 May/Jun;28(5):347-353. doi: 10.1097/PAI.0000000000000760.
10
Comparison between digital image analysis and visual assessment of immunohistochemical HER2 expression in breast cancer.乳腺癌中免疫组化HER2表达的数字图像分析与视觉评估的比较。
Pathol Res Pract. 2018 Dec;214(12):2087-2092. doi: 10.1016/j.prp.2018.10.015. Epub 2018 Oct 23.