• 文献检索
  • 文档翻译
  • 深度研究
  • 学术资讯
  • Suppr Zotero 插件Zotero 插件
  • 邀请有礼
  • 套餐&价格
  • 历史记录
应用&插件
Suppr Zotero 插件Zotero 插件浏览器插件Mac 客户端Windows 客户端微信小程序
定价
高级版会员购买积分包购买API积分包
服务
文献检索文档翻译深度研究API 文档MCP 服务
关于我们
关于 Suppr公司介绍联系我们用户协议隐私条款
关注我们

Suppr 超能文献

核心技术专利:CN118964589B侵权必究
粤ICP备2023148730 号-1Suppr @ 2026

文献检索

告别复杂PubMed语法,用中文像聊天一样搜索,搜遍4000万医学文献。AI智能推荐,让科研检索更轻松。

立即免费搜索

文件翻译

保留排版,准确专业,支持PDF/Word/PPT等文件格式,支持 12+语言互译。

免费翻译文档

深度研究

AI帮你快速写综述,25分钟生成高质量综述,智能提取关键信息,辅助科研写作。

立即免费体验

转移性前列腺癌的治疗该如何选择:一例病例报告及文献综述

Which Way to Choose for the Treatment of Metastatic Prostate Cancer: A Case Report and Literature Review.

作者信息

Yang Xiangwei, Jiang Donggen, Li Yamei, Zhang Tianzhi, Xu Duanya, Chen Xianju, Pang Jun

机构信息

Department of Urology, Kidney and Urology Center, Pelvic Floor Disorders Center, The Seventh Affiliated Hospital, Sun Yat-Sen University, Shenzhen, China.

Department of Pathology, The Seventh Affiliated Hospital, Sun Yat-Sen University, Shenzhen, China.

出版信息

Front Oncol. 2021 Apr 26;11:659442. doi: 10.3389/fonc.2021.659442. eCollection 2021.

DOI:10.3389/fonc.2021.659442
PMID:33981608
原文链接:https://pmc.ncbi.nlm.nih.gov/articles/PMC8107685/
Abstract

BACKGROUND

Prostate cancer (PCa) is the second most common cancer among males in the world and the majority of patients will eventually progress to the metastatic phase. How to choose an effective way for the treatment of metastatic PCa, especially in the later stage of the disease is still confusing. Herein we reported the case of a patient diagnosed with metastatic PCa and conducted a literature review on this issue.

CASE PRESENTATION

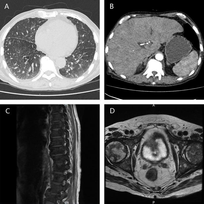
A 57-year-old man with metastatic PCa had been managed by Dr. J.P. since April 2012 when the patient was admitted to the Third Affiliated Hospital of Sun Yat-sen University by aggravating frequent urination and dysuria. The prostate-specific antigen (PSA) concentration was 140 ng/ml, and the diagnosis of PCa was confirmed by prostate biopsy, with Gleason score 4 + 5 = 9. Chest CT and bone scan indicated multiple metastases in the lungs and bones. Triptorelin, bicalutamide, zoledronic acid, and docetaxel were then administered, six cycles later, the metastatic tumors in the lungs disappeared and those in the bones lessened significantly, along with a remarkable reduction in PSA level (< 2 ng/ml). Intermittent androgen deprivation was subsequently conducted until August 2018, when the serum PSA level was found to be 250 ng/ml, again docetaxel 75 mg/m was administered immediately but the patient was intolerant this time. Instead, abiraterone was administered until March 2019 because of intolerable gastrointestinal side-effects and increasing PSA level. In October 2019, the patient came to our center, a modified approach of docetaxel (day 1 40 mg/m + day 8 35 mg/m) was administered. Luckily, the PSA level decreased rapidly, the bone pain was greatly relieved, and no obvious side effects occurred. However, four cycles later, docetaxel failed to work anymore, the metastatic tumor in the liver progressed. We proposed several regimens as alternatives, but they were soon denied due to the high prices or unavailability or uncertain effect of the drugs. In addition, the patient's condition deteriorated speedily and can no longer bear any aggressive treatment. Finally, the patient died of multiple organ failure in August 2020.

CONCLUSION

The experiences of this case provide valuable evidence and reference for the treatment choices of metastatic PCa, in some circumstances modified and advanced regimens may produce unexpected effects.

摘要

背景

前列腺癌(PCa)是全球男性中第二常见的癌症,大多数患者最终会进展到转移阶段。如何选择有效的转移性PCa治疗方法,尤其是在疾病后期,仍然令人困惑。在此,我们报告了一例被诊断为转移性PCa的患者,并对该问题进行了文献综述。

病例介绍

一名患有转移性PCa的57岁男性自2012年4月起由J.P.医生负责治疗,当时患者因尿频和排尿困难加重而入住中山大学附属第三医院。前列腺特异性抗原(PSA)浓度为140 ng/ml,经前列腺活检确诊为PCa,Gleason评分为4 + 5 = 9。胸部CT和骨扫描显示肺部和骨骼有多处转移。随后给予曲普瑞林、比卡鲁胺、唑来膦酸和多西他赛,六个周期后,肺部的转移瘤消失,骨骼中的转移瘤明显缩小,PSA水平显著降低(< 2 ng/ml)。随后进行间歇性雄激素剥夺治疗,直到2018年8月,发现血清PSA水平为250 ng/ml,再次立即给予75 mg/m的多西他赛,但患者这次不耐受。相反,由于无法耐受的胃肠道副作用和PSA水平升高,给予阿比特龙治疗直至2019年3月。2019年10月,患者来到我们中心,给予改良的多西他赛方案(第1天40 mg/m + 第8天35 mg/m)。幸运的是,PSA水平迅速下降,骨痛大大缓解,且未出现明显副作用。然而,四个周期后,多西他赛不再起作用,肝脏中的转移瘤进展。我们提出了几种替代方案,但由于药物价格高、无法获得或效果不确定而很快被否定。此外,患者的病情迅速恶化,无法再承受任何积极的治疗。最后,患者于2020年8月死于多器官功能衰竭。

结论

该病例的经验为转移性PCa的治疗选择提供了有价值的证据和参考,在某些情况下,改良和先进的方案可能会产生意想不到的效果。

https://cdn.ncbi.nlm.nih.gov/pmc/blobs/f275/8107685/316c8d49eb6b/fonc-11-659442-g004.jpg
https://cdn.ncbi.nlm.nih.gov/pmc/blobs/f275/8107685/9853f45a9ea4/fonc-11-659442-g001.jpg
https://cdn.ncbi.nlm.nih.gov/pmc/blobs/f275/8107685/a442c9105ee4/fonc-11-659442-g002.jpg
https://cdn.ncbi.nlm.nih.gov/pmc/blobs/f275/8107685/a1d536deffa5/fonc-11-659442-g003.jpg
https://cdn.ncbi.nlm.nih.gov/pmc/blobs/f275/8107685/316c8d49eb6b/fonc-11-659442-g004.jpg
https://cdn.ncbi.nlm.nih.gov/pmc/blobs/f275/8107685/9853f45a9ea4/fonc-11-659442-g001.jpg
https://cdn.ncbi.nlm.nih.gov/pmc/blobs/f275/8107685/a442c9105ee4/fonc-11-659442-g002.jpg
https://cdn.ncbi.nlm.nih.gov/pmc/blobs/f275/8107685/a1d536deffa5/fonc-11-659442-g003.jpg
https://cdn.ncbi.nlm.nih.gov/pmc/blobs/f275/8107685/316c8d49eb6b/fonc-11-659442-g004.jpg

相似文献

1
Which Way to Choose for the Treatment of Metastatic Prostate Cancer: A Case Report and Literature Review.转移性前列腺癌的治疗该如何选择:一例病例报告及文献综述
Front Oncol. 2021 Apr 26;11:659442. doi: 10.3389/fonc.2021.659442. eCollection 2021.
2
More advantages in detecting bone and soft tissue metastases from prostate cancer using F-PSMA PET/CT.使用F-PSMA PET/CT检测前列腺癌骨和软组织转移方面有更多优势。
Hell J Nucl Med. 2019 Jan-Apr;22(1):6-9. doi: 10.1967/s002449910952. Epub 2019 Mar 7.
3
EAU guidelines on prostate cancer. Part II: Treatment of advanced, relapsing, and castration-resistant prostate cancer.EAU 前列腺癌指南。第二部分:晚期、复发性和去势抵抗性前列腺癌的治疗。
Eur Urol. 2014 Feb;65(2):467-79. doi: 10.1016/j.eururo.2013.11.002. Epub 2013 Nov 12.
4
EAU-ESTRO-SIOG Guidelines on Prostate Cancer. Part II: Treatment of Relapsing, Metastatic, and Castration-Resistant Prostate Cancer.EAU-ESTRO-SIOG 前列腺癌诊治指南。第二部分:复发、转移和去势抵抗性前列腺癌的治疗。
Eur Urol. 2017 Apr;71(4):630-642. doi: 10.1016/j.eururo.2016.08.002. Epub 2016 Aug 31.
5
Complete response with early introduction of cabazitaxel in a patient with multiple lung metastases of castration-resistant prostate cancer following the early detection of metastases using liquid biopsy: a case report.液体活检早期检测转移后,在一名接受 cabazitaxel 早期治疗的去势抵抗性前列腺癌多发肺转移患者中的完全缓解:病例报告。
BMC Cancer. 2019 Jun 11;19(1):562. doi: 10.1186/s12885-019-5782-2.
6
Prostate Cancer Detected by Choroidal Tumor and Complete Response to Hormonal Therapy: Case Report and Literature Review of 24 Patients With Choroidal Metastasis From Prostate Cancer.前列腺癌伴脉络膜转移并对激素治疗完全缓解:24 例前列腺癌脉络膜转移患者的病例报告及文献复习。
J Investig Med High Impact Case Rep. 2021 Jan-Dec;9:23247096211026471. doi: 10.1177/23247096211026471.
7
Spread of prostate carcinoma to the perirectal lymph node basin: analysis of 112 rectal resections over a 10-year span for primary rectal adenocarcinoma.前列腺癌向直肠周围淋巴结区域的扩散:对10年间因原发性直肠腺癌行直肠切除术的112例病例的分析。
Am J Surg Pathol. 2004 Sep;28(9):1154-62. doi: 10.1097/01.pas.0000131543.80147.3d.
8
Treatment gains from the "sandwich method" of abiraterone acetate for men with metastatic prostate cancer: a case report and sharing of our experience.醋酸阿比特龙“三明治法”治疗转移性前列腺癌男性患者的疗效:病例报告及经验分享
Transl Androl Urol. 2020 Jun;9(3):1448-1458. doi: 10.21037/tau-19-851.
9
A case of metastatic cancer with markedly elevated PSA level that was not detected by repeat prostate biopsy.一例转移性癌症患者,其前列腺特异性抗原(PSA)水平显著升高,但经重复前列腺活检未检测到。
BMC Res Notes. 2014 Jan 29;7:64. doi: 10.1186/1756-0500-7-64.
10
[Recrudescent prostate cancer with a low serum PSA level and a high serum CEA level treated with docetaxel : a case report].多西他赛治疗血清前列腺特异抗原水平低而癌胚抗原水平高的复发性前列腺癌:一例报告
Hinyokika Kiyo. 2013 Mar;59(3):183-8.

本文引用的文献

1
Metastatic Hormone-Sensitive Prostate Cancer (mHSPC): Advances and Treatment Strategies in the First-Line Setting.转移性激素敏感性前列腺癌(mHSPC):一线治疗中的进展与治疗策略
Oncol Ther. 2020 Dec;8(2):209-230. doi: 10.1007/s40487-020-00119-z. Epub 2020 Jun 15.
2
Abiraterone Rechallenge Based on Sequential Testing of Androgen Receptor Splice Variant 7 Expression in Circulating Tumor Cells: A Case Report.基于循环肿瘤细胞中雄激素受体剪接变体7表达的序贯检测进行阿比特龙再挑战:一例报告
Front Oncol. 2020 Apr 8;10:495. doi: 10.3389/fonc.2020.00495. eCollection 2020.
3
Enzalutamide with Standard First-Line Therapy in Metastatic Prostate Cancer.
恩扎卢胺联合标准一线治疗转移性前列腺癌。
N Engl J Med. 2019 Jul 11;381(2):121-131. doi: 10.1056/NEJMoa1903835. Epub 2019 Jun 2.
4
Apalutamide for Metastatic, Castration-Sensitive Prostate Cancer.阿帕鲁胺治疗转移性去势敏感性前列腺癌。
N Engl J Med. 2019 Jul 4;381(1):13-24. doi: 10.1056/NEJMoa1903307. Epub 2019 May 31.
5
Taxane-based chemohormonal therapy for metastatic hormone-sensitive prostate cancer.基于紫杉烷的化学激素疗法治疗转移性激素敏感性前列腺癌。
Cochrane Database Syst Rev. 2018 Oct 15;10(10):CD012816. doi: 10.1002/14651858.CD012816.pub2.
6
Survival benefit, disease progression and quality-of-life outcomes of abiraterone acetate plus prednisone versus docetaxel in metastatic hormone-sensitive prostate cancer: A network meta-analysis.醋酸阿比特龙联合泼尼松与多西他赛治疗转移性激素敏感前列腺癌的生存获益、疾病进展和生活质量结局:一项网络荟萃分析。
Eur J Cancer. 2018 Nov;103:78-87. doi: 10.1016/j.ejca.2018.08.010. Epub 2018 Sep 12.
7
Global cancer statistics 2018: GLOBOCAN estimates of incidence and mortality worldwide for 36 cancers in 185 countries.全球癌症统计数据 2018:GLOBOCAN 对全球 185 个国家/地区 36 种癌症的发病率和死亡率的估计。
CA Cancer J Clin. 2018 Nov;68(6):394-424. doi: 10.3322/caac.21492. Epub 2018 Sep 12.
8
Addition of abiraterone, docetaxel, bisphosphonate, celecoxib or combinations to androgen-deprivation therapy (ADT) for metastatic hormone-sensitive prostate cancer (mHSPC): a network meta-analysis.雄激素剥夺治疗(ADT)联合阿比特龙、多西他赛、双膦酸盐、塞来昔布或联合方案治疗转移性去势敏感性前列腺癌(mHSPC)的网状 Meta 分析。
Prostate Cancer Prostatic Dis. 2018 Nov;21(4):516-523. doi: 10.1038/s41391-018-0055-8. Epub 2018 Jun 6.
9
What is the optimal systemic treatment of men with metastatic, hormone-naive prostate cancer? A STOPCAP systematic review and network meta-analysis.对于转移性、激素-naive 前列腺癌的男性患者,最佳的全身治疗方法是什么?一项 STOPCAP 系统评价和网络荟萃分析。
Ann Oncol. 2018 May 1;29(5):1249-1257. doi: 10.1093/annonc/mdy071.
10
Abiraterone acetate/androgen deprivation therapy combination versus docetaxel/androgen deprivation therapy combination in advanced hormone-sensitive prostate cancer: a network meta-analysis on safety and efficacy.醋酸阿比特龙/雄激素剥夺疗法联合方案与多西他赛/雄激素剥夺疗法联合方案治疗晚期激素敏感性前列腺癌的疗效与安全性的网状Meta分析
Curr Med Res Opin. 2018 May;34(5):903-910. doi: 10.1080/03007995.2018.1447450. Epub 2018 Mar 27.