• 文献检索
  • 文档翻译
  • 深度研究
  • 学术资讯
  • Suppr Zotero 插件Zotero 插件
  • 邀请有礼
  • 套餐&价格
  • 历史记录
应用&插件
Suppr Zotero 插件Zotero 插件浏览器插件Mac 客户端Windows 客户端微信小程序
定价
高级版会员购买积分包购买API积分包
服务
文献检索文档翻译深度研究API 文档MCP 服务
关于我们
关于 Suppr公司介绍联系我们用户协议隐私条款
关注我们

Suppr 超能文献

核心技术专利:CN118964589B侵权必究
粤ICP备2023148730 号-1Suppr @ 2026

文献检索

告别复杂PubMed语法,用中文像聊天一样搜索,搜遍4000万医学文献。AI智能推荐,让科研检索更轻松。

立即免费搜索

文件翻译

保留排版,准确专业,支持PDF/Word/PPT等文件格式,支持 12+语言互译。

免费翻译文档

深度研究

AI帮你快速写综述,25分钟生成高质量综述,智能提取关键信息,辅助科研写作。

立即免费体验

颈静脉球血栓形成导致的脑干静脉梗死作为钝性头部外伤的严重并发症:一例报告

Brainstem Venous Infarction from Thrombosis on the Jugular Bulb as a Serious Complication of Blunt Head Trauma Injury: A Case Report.

作者信息

Lee Jungbin, Hwang Sun-Chul

机构信息

Department of Radiology, Soonchunhyang University Bucheon Hospital, Bucheon, Korea.

Department of Neurosurgery, Soonchunhyang University Bucheon Hospital, Bucheon, Korea.

出版信息

Korean J Neurotrauma. 2021 Apr 14;17(1):54-60. doi: 10.13004/kjnt.2021.17.e5. eCollection 2021 Apr.

DOI:10.13004/kjnt.2021.17.e5
PMID:33981644
原文链接:https://pmc.ncbi.nlm.nih.gov/articles/PMC8093019/
Abstract

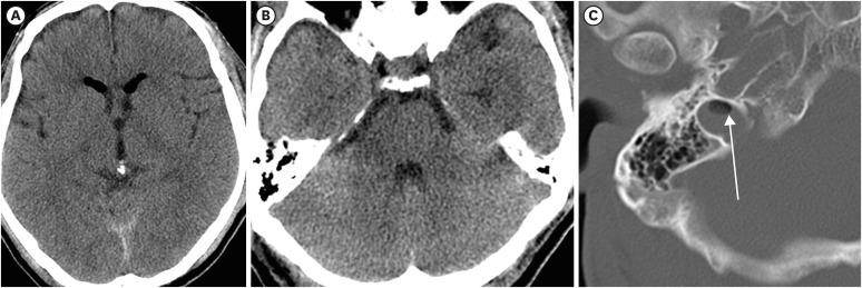
The incidence of dural venous sinus thrombosis (DVST) and the cerebral venous infarct have not exactly known, but DVST is closely related to the skull fracture around the venous sinus. A 56-year-old man experienced massive watery discharge after hitting on his face by a falling machine. He was alert and no cerebrospinal fluid discharge on admission. Air-density was shown on the jugular fossa in the brain computed tomography. On the 3th day of trauma, he suddenly had dyspnea and loss of consciousness and became comatose. Acute edema on medulla, pons and right cerebellar hemisphere and focal infarct on right medulla were visualized on the brain magnetic resonance imaging. And the sigmoid sinus and the jugular vein were occluded and venous circulation on the right posterior fossa was diminished on the cerebral angiography. Air-density on the sinus may be an indicator into developing venous thrombosis and brainstem venous infarct could be followed by the DVST round the jugular bulb.

摘要

硬脑膜静脉窦血栓形成(DVST)和脑静脉梗死的发病率尚不完全清楚,但DVST与静脉窦周围的颅骨骨折密切相关。一名56岁男性被坠落的机器击中面部后出现大量水样分泌物。入院时他神志清醒,无脑脊液漏出。脑部计算机断层扫描显示颈静脉窝有空气密度影。外伤后第3天,他突然出现呼吸困难和意识丧失,陷入昏迷。脑部磁共振成像显示延髓、脑桥和右侧小脑半球急性水肿,右侧延髓局灶性梗死。脑血管造影显示乙状窦和颈静脉闭塞,右侧后颅窝静脉循环减少。窦内的空气密度影可能是发生静脉血栓形成的一个指标,颈静脉球周围的DVST可能继发脑干静脉梗死。

https://cdn.ncbi.nlm.nih.gov/pmc/blobs/5a2b/8093019/fa4e685839b3/kjn-17-54-g004.jpg
https://cdn.ncbi.nlm.nih.gov/pmc/blobs/5a2b/8093019/59c9406a375e/kjn-17-54-g001.jpg
https://cdn.ncbi.nlm.nih.gov/pmc/blobs/5a2b/8093019/3665635c00a2/kjn-17-54-g002.jpg
https://cdn.ncbi.nlm.nih.gov/pmc/blobs/5a2b/8093019/6836e5c3f852/kjn-17-54-g003.jpg
https://cdn.ncbi.nlm.nih.gov/pmc/blobs/5a2b/8093019/fa4e685839b3/kjn-17-54-g004.jpg
https://cdn.ncbi.nlm.nih.gov/pmc/blobs/5a2b/8093019/59c9406a375e/kjn-17-54-g001.jpg
https://cdn.ncbi.nlm.nih.gov/pmc/blobs/5a2b/8093019/3665635c00a2/kjn-17-54-g002.jpg
https://cdn.ncbi.nlm.nih.gov/pmc/blobs/5a2b/8093019/6836e5c3f852/kjn-17-54-g003.jpg
https://cdn.ncbi.nlm.nih.gov/pmc/blobs/5a2b/8093019/fa4e685839b3/kjn-17-54-g004.jpg

相似文献

1
Brainstem Venous Infarction from Thrombosis on the Jugular Bulb as a Serious Complication of Blunt Head Trauma Injury: A Case Report.颈静脉球血栓形成导致的脑干静脉梗死作为钝性头部外伤的严重并发症:一例报告
Korean J Neurotrauma. 2021 Apr 14;17(1):54-60. doi: 10.13004/kjnt.2021.17.e5. eCollection 2021 Apr.
2
Prevalence of traumatic dural venous sinus thrombosis in high-risk acute blunt head trauma patients evaluated with multidetector CT venography.多排螺旋 CT 静脉血管造影评估高危急性钝性颅脑创伤患者创伤性硬脑膜静脉窦血栓形成的发生率。
Radiology. 2010 May;255(2):570-7. doi: 10.1148/radiol.10091565.
3
Combination of Gas and Increasing Density in the Dural Venous Sinus After Blunt Head Trauma Contributes to Early Diagnosis of Dural Venous Sinus Thrombosis.钝性颅脑创伤后硬脑膜静脉窦内气体和密度增加有助于早期诊断硬脑膜静脉窦血栓形成。
World Neurosurg. 2021 Feb;146:274-276. doi: 10.1016/j.wneu.2020.11.084. Epub 2020 Nov 30.
4
Traumatic dural venous sinus gas predicts a higher likelihood of dural venous sinus thrombosis following blunt head trauma.创伤性硬脑膜静脉窦积气预示着钝性头部外伤后发生硬脑膜静脉窦血栓形成的可能性更高。
J Med Imaging Radiat Oncol. 2019 Jun;63(3):311-317. doi: 10.1111/1754-9485.12865. Epub 2019 Mar 15.
5
Dural sinus thrombosis - a rare manifestation of internal jugular venous occlusion.硬脑膜窦血栓形成——颈内静脉闭塞的一种罕见表现。
Saudi J Kidney Dis Transpl. 2012 Jul;23(4):799-803. doi: 10.4103/1319-2442.98164.
6
Dural Venous Sinus Thrombosis in Patients Presenting with Blunt Traumatic Brain Injuries and Skull Fractures: A Systematic Review and Meta-Analysis.颅脑创伤伴颅骨骨折患者的硬脑膜静脉窦血栓形成:系统评价和荟萃分析。
World Neurosurg. 2020 Oct;142:495-505.e3. doi: 10.1016/j.wneu.2020.06.117. Epub 2020 Jun 29.
7
A Prospective Cohort Study Characterizing Incidence of Dural Venous Sinus Thrombosis in Traumatic Brain Injury Patients with Skull Fractures.一项前瞻性队列研究,对颅骨骨折的创伤性脑损伤患者硬脑膜静脉窦血栓形成的发生率进行特征描述。
World Neurosurg. 2024 Apr;184:e374-e383. doi: 10.1016/j.wneu.2024.01.132. Epub 2024 Jan 30.
8
Cerebral venous congestion as indication for thrombolytic treatment.脑静脉淤血作为溶栓治疗的指征。
Cardiovasc Intervent Radiol. 2007 Jul-Aug;30(4):675-87. doi: 10.1007/s00270-007-9046-1.
9
Pediatric cerebral venous sinus thrombosis or compression in the setting of skull fractures from blunt head trauma.小儿钝性头部外伤导致颅骨骨折时的脑静脉窦血栓形成或受压。
J Neurosurg Pediatr. 2018 Mar;21(3):258-269. doi: 10.3171/2017.9.PEDS17311. Epub 2017 Dec 15.
10
Jugular bulb venous thrombosis caused by mild head injury: a case report.轻度头部损伤导致的颈静脉球部静脉血栓形成:一例报告
Surg Neurol. 2007 Dec;68(6):660-664. doi: 10.1016/j.surneu.2006.11.037.

本文引用的文献

1
Traumatic dural venous sinus gas predicts a higher likelihood of dural venous sinus thrombosis following blunt head trauma.创伤性硬脑膜静脉窦积气预示着钝性头部外伤后发生硬脑膜静脉窦血栓形成的可能性更高。
J Med Imaging Radiat Oncol. 2019 Jun;63(3):311-317. doi: 10.1111/1754-9485.12865. Epub 2019 Mar 15.
2
Endovascular mechanical thrombectomy for cerebral venous sinus thrombosis: a systematic review.血管内机械取栓治疗脑静脉窦血栓形成:一项系统评价。
J Neurointerv Surg. 2017 Nov;9(11):1086-1092. doi: 10.1136/neurintsurg-2016-012938. Epub 2017 Feb 17.
3
Brainstem tegmental lesions in neonates with hypoxic-ischemic encephalopathy: Magnetic resonance diagnosis and clinical outcome.
新生儿缺氧缺血性脑病的脑干被盖部病变:磁共振诊断及临床转归
World J Radiol. 2016 Feb 28;8(2):117-23. doi: 10.4329/wjr.v8.i2.117.
4
Hypoxic-ischemic encephalopathy: a review for the clinician.缺氧缺血性脑病:临床医生的综述。
JAMA Pediatr. 2015 Apr;169(4):397-403. doi: 10.1001/jamapediatrics.2014.3269.
5
Cerebral venous sinus thrombosis: update on diagnosis and management.脑静脉窦血栓形成:诊断与治疗的最新进展。
Curr Cardiol Rep. 2014 Sep;16(9):523. doi: 10.1007/s11886-014-0523-2.
6
Profile of patients with cerebral venous sinus thrombosis with cerebellar involvement.小脑受累的脑静脉窦血栓形成患者特征。
J Stroke Cerebrovasc Dis. 2014 May-Jun;23(5):1106-11. doi: 10.1016/j.jstrokecerebrovasdis.2013.09.022. Epub 2013 Nov 12.
7
Dural sinus and internal jugular vein thrombosis complicating a blunt head injury in a pediatric patient.一名儿科患者钝性头部损伤并发硬脑膜窦和颈内静脉血栓形成。
Childs Nerv Syst. 2013 Aug;29(8):1231-4. doi: 10.1007/s00381-013-2184-7. Epub 2013 Jun 9.
8
Cerebral venous sinus thrombosis complicating traumatic head injury.外伤性颅脑损伤并发脑静脉窦血栓形成。
J Clin Neurosci. 2012 Jul;19(7):1058-9. doi: 10.1016/j.jocn.2012.01.002. Epub 2012 May 1.
9
Prevalence of traumatic dural venous sinus thrombosis in high-risk acute blunt head trauma patients evaluated with multidetector CT venography.多排螺旋 CT 静脉血管造影评估高危急性钝性颅脑创伤患者创伤性硬脑膜静脉窦血栓形成的发生率。
Radiology. 2010 May;255(2):570-7. doi: 10.1148/radiol.10091565.
10
Endovascular balloon angioplasty for treatment of posttraumatic venous sinus thrombosis. Case report.血管内球囊血管成形术治疗创伤后静脉窦血栓形成。病例报告。
J Neurosurg. 2009 Jul;111(1):17-21. doi: 10.3171/2009.2.JNS08491.