Suppr超能文献

由晚期人类免疫缺陷病毒(HIV)感染性心内膜炎引起的凸面蛛网膜下腔出血:元凶和旁观者。

Convexal Subarachnoid Hemorrhage Caused by Infective Endocarditis in a Patient with Advanced Human Immunodeficiency Virus (HIV): The Culprits and Bystanders.

机构信息

Department of Neurology, Sam Houston State University College of Osteopathic Medicine, Huntsville, TX, USA.

Houston Medical Clerkship, Sugar Land, TX, USA.

出版信息

Am J Case Rep. 2021 May 14;22:e931376. doi: 10.12659/AJCR.931376.

Abstract

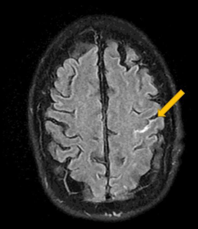
BACKGROUND Convexal subarachnoid hemorrhage (cSAH), a rare form of non-aneurysmal subarachnoid hemorrhage, is confined to cerebral convexities without extension into basal cisterns or ventricles. Typical presentation includes thunderclap/progressive headache or transient focal neurological symptoms; rare manifestations include seizures, intractable vomiting, or altered mental status. Here, we report the first case of convexal subarachnoid hemorrhage and multifocal ischemic lesions caused by infective endocarditis (IE) in a treatment-naïve advanced HIV patient. CASE REPORT A 52-year-old HAART-naïve, HIV-positive, African American man presented with altered mental status, shortness of breath, nonproductive cough, and generalized weakness. His past medical history was significant for congestive heart failure, chronic obstructive pulmonary disease, and end-stage renal disease (noncompliant with hemodialysis). Head computed tomography (CT) showed an isolated sulcal hemorrhage in the mid-left frontal lobe. Fluid-attenuated inversion recovery/gradient recalled echo sequences confirmed a hemorrhage in the left-mid-frontal sulcus, and diffusion-weighted imaging revealed multifocal bilateral ischemic lesions. Transesophageal echocardiography exhibited mitral valve vegetations. Multifocal ischemic lesions and cSAH caused by infectious endocarditis were confirmed. Initiation of intravenous vancomycin and piperacillin-tazobactam allowed the patient to have resolution of his altered mental status. A head CT 5 days later revealed the resolution of cSAH. CONCLUSIONS Infective endocarditis should be considered as an underlying etiology of cSAH, especially when present with multifocal ischemic lesions. Risk factors contributing to the development of cSAH in the IE patient population should be explored in future studies. HIV has not been previously reported in this subgroup and its prevalence should be considered. The prognosis for cSAH in relation to IE is generally favorable.

摘要

背景

凸面蛛网膜下腔出血(cSAH)是一种罕见的非动脉瘤性蛛网膜下腔出血形式,局限于大脑凸面,不延伸至基底池或脑室。典型表现包括霹雳/进行性头痛或短暂性局灶性神经症状;罕见表现包括癫痫发作、顽固性呕吐或意识状态改变。在此,我们报告首例由未经治疗的艾滋病病毒(HIV)感染引起的凸面蛛网膜下腔出血和多灶性缺血性病变的病例。

病例报告

一名 52 岁的未接受抗逆转录病毒治疗(HAART)的、HIV 阳性、非裔美国男性,以意识状态改变、呼吸急促、非生产性咳嗽和全身无力为表现就诊。他的既往病史包括充血性心力衰竭、慢性阻塞性肺疾病和终末期肾病(未遵医嘱行血液透析)。头部计算机断层扫描(CT)显示左中额叶孤立性脑沟出血。液体衰减反转恢复/梯度回波序列证实左中额沟有出血,弥散加权成像显示双侧多灶性缺血性病变。经食管超声心动图显示二尖瓣有赘生物。诊断为感染性心内膜炎引起的多灶性缺血性病变和 cSAH。静脉万古霉素和哌拉西林他唑巴坦的使用使患者的意识状态改变得到改善。5 天后的头部 CT 显示 cSAH 已吸收。

结论

感染性心内膜炎应被视为 cSAH 的潜在病因,尤其是当存在多灶性缺血性病变时。应在未来的研究中探讨导致 IE 患者发生 cSAH 的危险因素。HIV 在此亚组中尚未有报道,应考虑其流行率。IE 相关 cSAH 的预后通常较好。

https://cdn.ncbi.nlm.nih.gov/pmc/blobs/b31f/8130978/1842cc4d9e30/amjcaserep-22-e931376-g001.jpg

文献检索

告别复杂PubMed语法,用中文像聊天一样搜索,搜遍4000万医学文献。AI智能推荐,让科研检索更轻松。

立即免费搜索

文件翻译

保留排版,准确专业,支持PDF/Word/PPT等文件格式,支持 12+语言互译。

免费翻译文档

深度研究

AI帮你快速写综述,25分钟生成高质量综述,智能提取关键信息,辅助科研写作。

立即免费体验