Suppr超能文献

无骨盆骨折的钝性腹部创伤中的髂总静脉损伤

Common Iliac Vein Injury in Blunt Abdominal Trauma Without Pelvic Fractures.

作者信息

Sheets Nicholas W, Roderick Olivas, Plurad David S

机构信息

Trauma and Acute Care Surgery, Riverside Community Hospital, Riverside, USA.

General Surgery, Riverside Community Hospital, Riverside, USA.

出版信息

Cureus. 2021 Apr 10;13(4):e14401. doi: 10.7759/cureus.14401.

Abstract

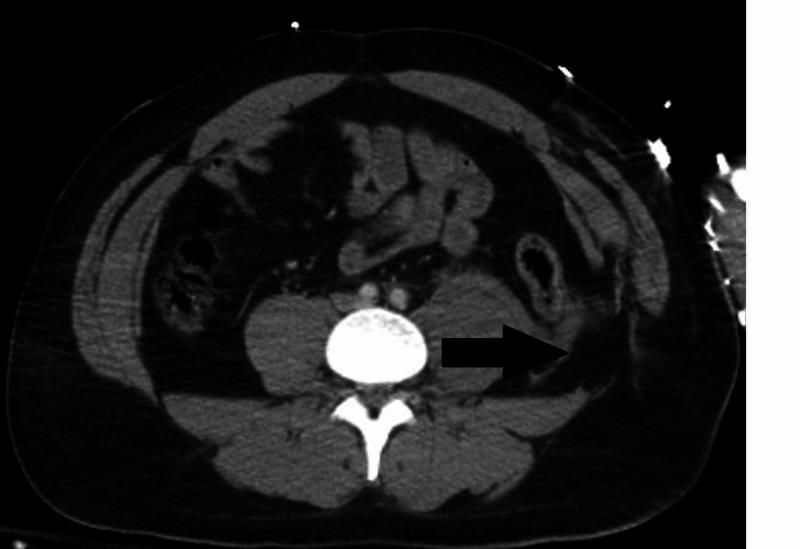
Iliac vein injury in the absence of pelvic fractures is rare. We present the case of a 27-year-old male involved in a motorcycle crash. Imaging demonstrated a lumbar hernia and pelvic hematoma in the absence of pelvic fractures. The patient became unstable and required emergency surgery demonstrating an iliac vein injury requiring ligation. Diagnosis and management of this rare injury is reviewed.

摘要

在没有骨盆骨折的情况下,髂静脉损伤很少见。我们报告一例27岁男性摩托车事故病例。影像学检查显示存在腰疝和骨盆血肿,但无骨盆骨折。患者病情不稳定,需要紧急手术,术中发现髂静脉损伤并进行了结扎。本文对这种罕见损伤的诊断和处理进行了综述。

https://cdn.ncbi.nlm.nih.gov/pmc/blobs/5680/8110284/934010713c83/cureus-0013-00000014401-i01.jpg

文献AI研究员

20分钟写一篇综述,助力文献阅读效率提升50倍。

立即体验

用中文搜PubMed

大模型驱动的PubMed中文搜索引擎

马上搜索

文档翻译

学术文献翻译模型,支持多种主流文档格式。

立即体验