Suppr超能文献

第二例因颈椎间盘突出导致单侧足下垂的中枢性病因报告:病例报告及文献综述

Second ever reported case of central cause of unilateral foot drop due to cervical disc herniation: Case report and review of literature.

作者信息

Alhardallo Mutaz, El Ansari Walid, Baco Abdul Moeen

机构信息

Department of Orthopedic Surgery, Hamad General Hospital, Hamad Medical Corporation, Doha, Qatar.

Department of Surgery, Hamad General Hospital, Doha, Qatar; College of Medicine, Qatar University, Doha, Qatar; School of Health and Education, University of Skövde, Skövde, Sweden.

出版信息

Int J Surg Case Rep. 2021 Jun;83:105928. doi: 10.1016/j.ijscr.2021.105928. Epub 2021 Apr 29.

Abstract

BACKGROUND

Foot drop is defined as a weakness in the ankle and foot dorsiflexors. A disruption of the neural pathway starting from the motor prefrontal cortex and ending in the peroneal nerve can lead to foot drop. Foot drop due to lower motor neuron injury is well documented. However, foot drop due to a central cause of cervical disc prolapse is very rare.

CASE PRESENTATION

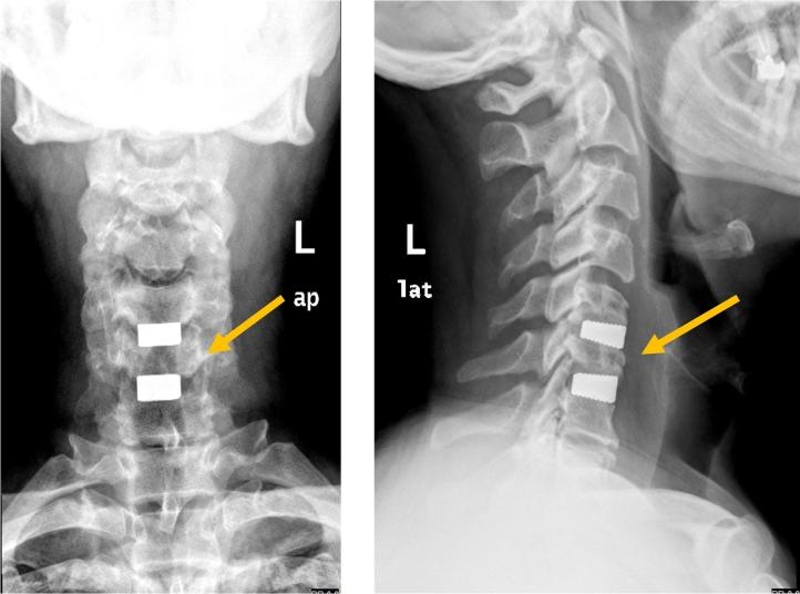
A 55-year-old male presenting with neck pain, right and left arms radicular pain and numbness, and unilateral right foot drop following cervical disc prolapse. The patient presented with upper motor neuron lesion signs. MRI showed cervical disc prolapse at two levels, confirming central cause of foot drop. The patient underwent anterior cervical decompression and fusion surgery.

DISCUSSION

Following decompression and fusion of involved cervical spine disc pathology, the patient had complete recovery of his right foot drop.

CONCLUSIONS

Central causes, although rare, should be considered in the differential diagnosis of foot drop. Causes could be due to the compression effect of the cortico-spinal tract of the cervical spinal cord. Satisfactory results can be achieved upon correcting the causative lesion.

摘要

背景

足下垂定义为踝关节和足部背屈肌无力。从运动前额叶皮质开始至腓总神经结束的神经通路中断可导致足下垂。因下运动神经元损伤导致的足下垂已有充分记录。然而,由颈椎间盘突出症这一中枢性病因导致的足下垂非常罕见。

病例报告

一名55岁男性,因颈椎间盘突出症出现颈部疼痛、双侧手臂放射性疼痛和麻木,以及单侧右足下垂。患者表现出上运动神经元损伤体征。磁共振成像显示两个节段的颈椎间盘突出,证实了足下垂的中枢性病因。该患者接受了颈椎前路减压融合手术。

讨论

在对受累颈椎间盘病变进行减压和融合后,患者的右足下垂完全恢复。

结论

中枢性病因虽然罕见,但在足下垂的鉴别诊断中应予以考虑。病因可能是颈脊髓皮质脊髓束的压迫作用。纠正致病病变后可取得满意效果。

https://cdn.ncbi.nlm.nih.gov/pmc/blobs/ce9f/8141523/e3b6e540dd97/gr1.jpg

文献检索

告别复杂PubMed语法,用中文像聊天一样搜索,搜遍4000万医学文献。AI智能推荐,让科研检索更轻松。

立即免费搜索

文件翻译

保留排版,准确专业,支持PDF/Word/PPT等文件格式,支持 12+语言互译。

免费翻译文档

深度研究

AI帮你快速写综述,25分钟生成高质量综述,智能提取关键信息,辅助科研写作。

立即免费体验