Zain Sultan, Mirchia Kanish, Hussien Abdelmohsen, Mirchia Kavya
College of Medicine, SUNY Upstate Medical University, 750 E Adams St, Syracuse, NY 13210, USA.
Department of Pathology, Upstate University Hospital, 750 E Adams St, Syracuse, NY 13210, USA.
Radiol Case Rep. 2021 May 1;16(7):1770-1776. doi: 10.1016/j.radcr.2021.04.019. eCollection 2021 Jul.
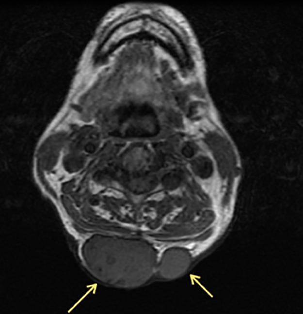
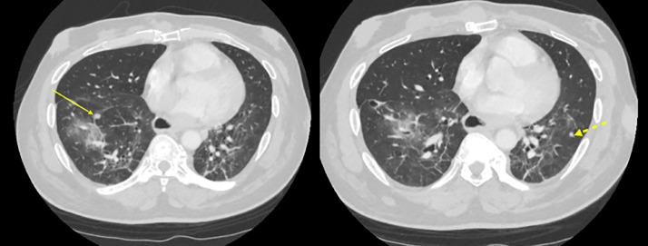
Malignant triton tumors are an extremely aggressive form of malignant peripheral nerve sheath tumor that display rhabdomyosarcomatous features. While these tumors are extremely rare, they have a much higher incidence in patients with neurofibromatosis-1. We present a case of a 64-year-old male with neurofibromatosis-1 who presented to the hospital with sudden worsening of shortness of breath and dysphagia to solids. Radiological examination revealed a large mass in the anterior mediastinum causing significant narrowing and displacement of the upper trachea and esophagus. Biopsy of the mass, done by interventional radiology, demonstrated features of an MTT. The mass was subsequently resected but without confirmation of tumor-free margins and the patient underwent adjuvant radiation therapy. Repeat radiological examination approximately four months later revealed growing malignancy and new metastases, which eventually contributed to the patient's death seven months after his presentation to the hospital.
恶性蝾螈瘤是一种极具侵袭性的恶性外周神经鞘瘤,具有横纹肌肉瘤特征。虽然这些肿瘤极为罕见,但在1型神经纤维瘤病患者中的发病率要高得多。我们报告一例64岁患有1型神经纤维瘤病的男性患者,他因突发呼吸急促和吞咽固体食物困难加重而入院。影像学检查显示前纵隔有一个大肿块,导致上气管和食管明显狭窄和移位。通过介入放射学对肿块进行活检,显示为恶性蝾螈瘤特征。随后切除了肿块,但未确认切缘无肿瘤,患者接受了辅助放疗。大约四个月后重复影像学检查发现肿瘤进展且出现新的转移灶,最终导致患者在入院七个月后死亡。